PADI4 Recombinant Rabbit Monoclonal Antibody [PSH01-33]
cat.: HA750711
Product Type: Recombinant Rabbit monoclonal IgG, primary antibodies
Species reactivity: Human, Mouse, Rat
Applications: WB, IHC-P
Clonality: Monoclonal
Clone number: PSH01-33
Form: Liquid
Storage condition: Store at +4℃ after thawing. Aliquot store at -20℃. Avoid repeated freeze / thaw cycles.
Storage buffer: 1*PBS (pH7.4).
Concentration: 1ug/ul
Purification: Protein A affinity purified.
Molecular weight: Predicted band size: 74 kDa
Isotype: IgG
Immunogen: Recombinant protein within human PADI4 aa 1-663 / 663.
Positive control: Human spleen tissue, mouse spleen tissue, rat lung tissue.
Subcellular location: Cytoplasm, Nucleus, Cytoplasmic granule.
Recommended Dilutions:
  WB
  IHC-P

1:1,000
1:200-1:1,000
Uniprot #: SwissProt: Q9UM07 Human | Q9Z183 Mouse | O88807 Rat
Alternative names: EC 3.5.3.15 HL 60 PAD HL-60 PAD PAD 4 PAD PADI 4 PADI 5 PADI H protein Padi4 PADI4_HUMAN PADI5 PDI 4 PDI 5 PDI4 PDI5 Peptidyl arginine deiminase type IV Peptidyl arginine deiminase type V Peptidylarginine deiminase IV Protein arginine deiminase Protein arginine deiminase type 4 Protein arginine deiminase type IV Protein-arginine deiminase type IV Protein-arginine deiminase type-4
Images
HA750711_1.jpg Fig1: Western blot analysis of PADI4 on different lysates with Rabbit anti-PADI4 antibody (HA750711) at 1/1,000 dilution.

Lane 1: 293T overexpress PADI4 whole cell lysate
Lane 2: 293T whole cell lysate

Lysates/proteins at 20 µg/Lane.

Predicted band size: 74 kDa
Observed band size: 74 kDa

Exposure time: 1 minute;

4-20% SDS-PAGE gel.

Proteins were transferred to a PVDF membrane and blocked with 5% NFDM/TBST for 1 hour at room temperature. The primary antibody (HA750711) at 1/1,000 dilution was used in 5% NFDM/TBST at room temperature for 2 hours. Goat Anti-Rabbit IgG - HRP Secondary Antibody (HA1001) at 1:100,000 dilution was used for 1 hour at room temperature.
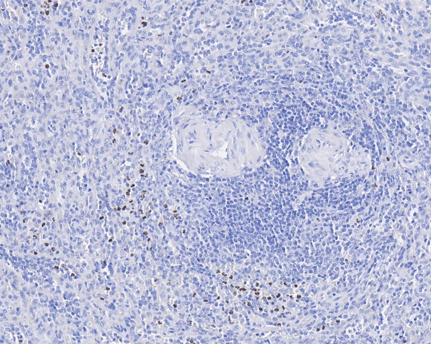
HA750711_2.jpg Fig2: Immunohistochemical analysis of paraffin-embedded human spleen tissue with Rabbit anti-PADI4 antibody (HA750711) at 1/1,000 dilution.

The section was pre-treated using heat mediated antigen retrieval with sodium citrate buffer (pH 6.0) (high pressure) for 2 minutes. The tissues were blocked in 1% BSA for 20 minutes at room temperature, washed with ddH2O and PBS, and then probed with the primary antibody (HA750711) at 1/1,000 dilution for 1 hour at room temperature. The detection was performed using an HRP conjugated compact polymer system. DAB was used as the chromogen. Tissues were counterstained with hematoxylin and mounted with DPX.
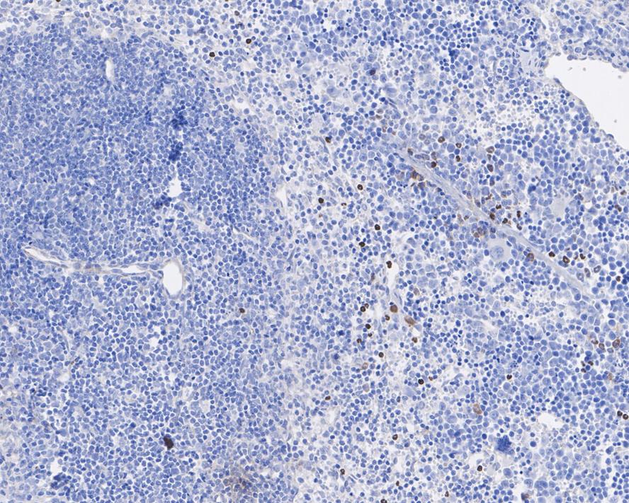
HA750711_3.jpg Fig3: Immunohistochemical analysis of paraffin-embedded mouse spleen tissue with Rabbit anti-PADI4 antibody (HA750711) at 1/200 dilution.

The section was pre-treated using heat mediated antigen retrieval with sodium citrate buffer (pH 6.0) (high pressure) for 2 minutes. The tissues were blocked in 1% BSA for 20 minutes at room temperature, washed with ddH2O and PBS, and then probed with the primary antibody (HA750711) at 1/200 dilution for 1 hour at room temperature. The detection was performed using an HRP conjugated compact polymer system. DAB was used as the chromogen. Tissues were counterstained with hematoxylin and mounted with DPX.
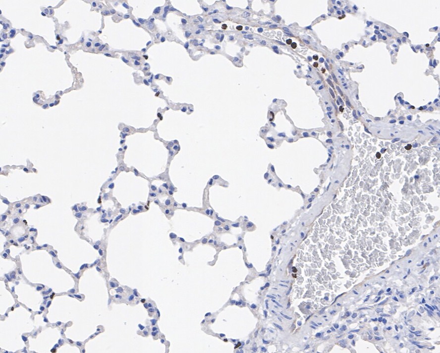
HA750711_4.jpg Fig4: Immunohistochemical analysis of paraffin-embedded rat lung tissue with Rabbit anti-PADI4 antibody (HA750711) at 1/200 dilution.

The section was pre-treated using heat mediated antigen retrieval with sodium citrate buffer (pH 6.0) (high pressure) for 2 minutes. The tissues were blocked in 1% BSA for 20 minutes at room temperature, washed with ddH2O and PBS, and then probed with the primary antibody (HA750711) at 1/200 dilution for 1 hour at room temperature. The detection was performed using an HRP conjugated compact polymer system. DAB was used as the chromogen. Tissues were counterstained with hematoxylin and mounted with DPX.
Note: All products are “FOR RESEARCH USE ONLY AND ARE NOT INTENDED FOR DIAGNOSTIC OR THERAPEUTIC USE”.