LAP3 Recombinant Rabbit Monoclonal Antibody [PSH01-34]
cat.: HA750712
Product Type: Recombinant Rabbit monoclonal IgG, primary antibodies
Species reactivity: Human, Mouse, Rat
Applications: WB, IHC-P
Clonality: Monoclonal
Clone number: PSH01-34
Form: Liquid
Storage condition: Store at +4℃ after thawing. Aliquot store at -20℃. Avoid repeated freeze / thaw cycles.
Storage buffer: 1*PBS (pH7.4).
Concentration: 1ug/ul
Purification: Protein A affinity purified.
Molecular weight: Predicted band size: 56 kDa
Isotype: IgG
Immunogen: Recombinant protein within human LAP3 aa 1-519 / 519.
Positive control: HeLa cell lysate, HepG2 cell lysate, HEK-293 cell lysate, U-87 MG cell lysate, K-562 cell lysate, A549 cell lysate, LO2 cell lysate, mouse liver tissue lysate, rat liver tissue lysate, human liver tissue, human testis tissue, mouse liver tissue, rat liver tissue.
Subcellular location: Cytoplasm
Recommended Dilutions:
  WB
  IHC-P

1:1,000-1:5,000
1:1,000
Uniprot #: SwissProt: P28838 Human | Q9CPY7 Mouse | Q68FS4 Rat
Alternative names: AMPL_HUMAN Cytosol aminopeptidase epididymis secretory protein Li 106 HEL-S-106 LAP 3 LAP LAP-3 Lap3 LAPEP Leucine aminopeptidase 3 Leucyl aminopeptidase PEPS Peptidase S Proline aminopeptidase Prolyl aminopeptidase
Images
HA750712_1.jpg Fig1: Western blot analysis of LAP3 on different lysates with Rabbit anti-LAP3 antibody (HA750712) at 1/1,000 dilution.

Lane 1: HeLa cell lysate (20 µg/Lane)
Lane 2: HepG2 cell lysate (20 µg/Lane)
Lane 3: HEK-293 cell lysate (20 µg/Lane)
Lane 4: U-87 MG cell lysate (20 µg/Lane)
Lane 5: K-562 cell lysate (20 µg/Lane)
Lane 6: A549 cell lysate (20 µg/Lane)
Lane 7: LO2 cell lysate (20 µg/Lane)
Lane 8: Mouse liver tissue lysate (40 µg/Lane)
Lane 9: Rat liver tissue lysate (40 µg/Lane)

Predicted band size: 56 kDa
Observed band size: 50 kDa

Exposure time: 1 minute 40 seconds;

4-20% SDS-PAGE gel.

Proteins were transferred to a PVDF membrane and blocked with 5% NFDM/TBST for 1 hour at room temperature. The primary antibody (HA750712) at 1/1,000 dilution was used in 5% NFDM/TBST at room temperature for 2 hours. Goat Anti-Rabbit IgG - HRP Secondary Antibody (HA1001) at 1:100,000 dilution was used for 1 hour at room temperature.
HA750712_2.jpg Fig2: Western blot analysis of LAP3 on different lysates with Rabbit anti-LAP3 antibody (HA750712) at 1/5,000 dilution.

Lane 1: HepG2-si NT cell lysate
Lane 2: HepG2-si LAP3 cell lysate

Lysates/proteins at 10 µg/Lane.

Predicted band size: 56 kDa
Observed band size: 50 kDa

Exposure time: 7 seconds;

4-20% SDS-PAGE gel.

Proteins were transferred to a PVDF membrane and blocked with 5% NFDM/TBST for 1 hour at room temperature. The primary antibody (HA750712) at 1/5,000 dilution was used in 5% NFDM/TBST at 4℃ overnight. Goat Anti-Rabbit IgG - HRP Secondary Antibody (HA1001) at 1/50,000 dilution was used for 1 hour at room temperature.
HA750712_3.jpg Fig3: Immunohistochemical analysis of paraffin-embedded human liver tissue with Rabbit anti-LAP3 antibody (HA750712) at 1/1,000 dilution.

The section was pre-treated using heat mediated antigen retrieval with Tris-EDTA buffer (pH 9.0) for 20 minutes. The tissues were blocked in 1% BSA for 20 minutes at room temperature, washed with ddH2O and PBS, and then probed with the primary antibody (HA750712) at 1/1,000 dilution for 1 hour at room temperature. The detection was performed using an HRP conjugated compact polymer system. DAB was used as the chromogen. Tissues were counterstained with hematoxylin and mounted with DPX.
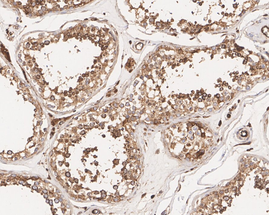
HA750712_4.jpg Fig4: Immunohistochemical analysis of paraffin-embedded human testis tissue with Rabbit anti-LAP3 antibody (HA750712) at 1/1,000 dilution.

The section was pre-treated using heat mediated antigen retrieval with Tris-EDTA buffer (pH 9.0) for 20 minutes. The tissues were blocked in 1% BSA for 20 minutes at room temperature, washed with ddH2O and PBS, and then probed with the primary antibody (HA750712) at 1/1,000 dilution for 1 hour at room temperature. The detection was performed using an HRP conjugated compact polymer system. DAB was used as the chromogen. Tissues were counterstained with hematoxylin and mounted with DPX.
HA750712_5.jpg Fig5: Immunohistochemical analysis of paraffin-embedded mouse liver tissue with Rabbit anti-LAP3 antibody (HA750712) at 1/1,000 dilution.

The section was pre-treated using heat mediated antigen retrieval with Tris-EDTA buffer (pH 9.0) for 20 minutes. The tissues were blocked in 1% BSA for 20 minutes at room temperature, washed with ddH2O and PBS, and then probed with the primary antibody (HA750712) at 1/1,000 dilution for 1 hour at room temperature. The detection was performed using an HRP conjugated compact polymer system. DAB was used as the chromogen. Tissues were counterstained with hematoxylin and mounted with DPX.
HA750712_6.jpg Fig6: Immunohistochemical analysis of paraffin-embedded rat liver tissue with Rabbit anti-LAP3 antibody (HA750712) at 1/1,000 dilution.

The section was pre-treated using heat mediated antigen retrieval with Tris-EDTA buffer (pH 9.0) for 20 minutes. The tissues were blocked in 1% BSA for 20 minutes at room temperature, washed with ddH2O and PBS, and then probed with the primary antibody (HA750712) at 1/1,000 dilution for 1 hour at room temperature. The detection was performed using an HRP conjugated compact polymer system. DAB was used as the chromogen. Tissues were counterstained with hematoxylin and mounted with DPX.
Note: All products are “FOR RESEARCH USE ONLY AND ARE NOT INTENDED FOR DIAGNOSTIC OR THERAPEUTIC USE”.