FXR1 Recombinant Rabbit Monoclonal Antibody [PSH01-35]
cat.: HA750713
Product Type: Recombinant Rabbit monoclonal IgG, primary antibodies
Species reactivity: Human, Mouse, Rat, Monkey
Applications: WB, IHC-P, IF-Cell, IP
Clonality: Monoclonal
Clone number: PSH01-35
Form: Liquid
Storage condition: Store at +4℃ after thawing. Aliquot store at -20℃. Avoid repeated freeze / thaw cycles.
Storage buffer: 1*PBS (pH7.4).
Concentration: 1ug/ul
Purification: Protein A affinity purified.
Molecular weight: Predicted band size: 70 kDa
Isotype: IgG
Immunogen: Recombinant protein within human FXR1 aa 1-150 / 621.
Positive control: HeLa cell lysate, 293T cell lysate, HepG2 cell lysate, A549 cell lysate, K-562 cell lysate, COS-1 cell lysate, NIH/3T3 cell lysate, C2C12 cell lysate, PC-12 cell lysate, human testis tissue, mouse brain tissue, rat brain tissue, PC-12.
Subcellular location: Cytoplasm, Cytoplasmic ribonucleoprotein granule, Stress granule, Cell projection, dendrite, dendritic spine, axon, Nucleus envelope, Postsynapse.
Recommended Dilutions:
  WB
  IHC-P
  IF-Cell

1:1,000
1:200
1:100
Uniprot #: SwissProt: P51114 Human | Q61584 Mouse | Q5XI81 Rat
Alternative names: Fragile X mental retardation autosomal homolog 1 Fragile X mental retardation syndrome related protein 1 Fragile X mental retardation syndrome-related protein 1 FXR1 FXR1_HUMAN FXR1P hFXR1p
Images
HA750713_1.jpg Fig1: Western blot analysis of FXR1 on different lysates with Rabbit anti-FXR1 antibody (HA750713) at 1/1,000 dilution.

Lane 1: HeLa cell lysate
Lane 2: 293T cell lysate
Lane 3: HepG2 cell lysate
Lane 4: A549 cell lysate
Lane 5: K-562 cell lysate
Lane 6: COS-1 cell lysate
Lane 7: NIH/3T3 cell lysate
Lane 8: C2C12 cell lysate
Lane 9: PC-12 cell lysate

Lysates/proteins at 30 µg/Lane.

Predicted band size: 70 kDa
Observed band size: 70/75 kDa

Exposure time: 3 minutes 10 seconds;

4-20% SDS-PAGE gel.

Proteins were transferred to a PVDF membrane and blocked with 5% NFDM/TBST for 1 hour at room temperature. The primary antibody (HA750713) at 1/1,000 dilution was used in 5% NFDM/TBST at room temperature for 2 hours. Goat Anti-Rabbit IgG - HRP Secondary Antibody (HA1001) at 1/100,000 dilution was used for 1 hour at room temperature.
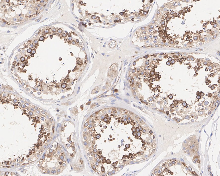
HA750713_2.jpg Fig2: Immunohistochemical analysis of paraffin-embedded human testis tissue with Rabbit anti-FXR1 antibody (HA750713) at 1/200 dilution.

The section was pre-treated using heat mediated antigen retrieval with Tris-EDTA buffer (pH 9.0) for 20 minutes. The tissues were blocked in 1% BSA for 20 minutes at room temperature, washed with ddH2O and PBS, and then probed with the primary antibody (HA750713) at 1/200 dilution for 1 hour at room temperature. The detection was performed using an HRP conjugated compact polymer system. DAB was used as the chromogen. Tissues were counterstained with hematoxylin and mounted with DPX.
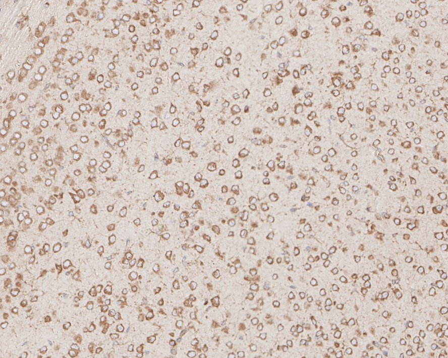
HA750713_3.jpg Fig3: Immunohistochemical analysis of paraffin-embedded mouse brain tissue with Rabbit anti-FXR1 antibody (HA750713) at 1/200 dilution.

The section was pre-treated using heat mediated antigen retrieval with Tris-EDTA buffer (pH 9.0) for 20 minutes. The tissues were blocked in 1% BSA for 20 minutes at room temperature, washed with ddH2O and PBS, and then probed with the primary antibody (HA750713) at 1/200 dilution for 1 hour at room temperature. The detection was performed using an HRP conjugated compact polymer system. DAB was used as the chromogen. Tissues were counterstained with hematoxylin and mounted with DPX.
HA750713_4.jpg Fig4: Immunohistochemical analysis of paraffin-embedded rat brain tissue with Rabbit anti-FXR1 antibody (HA750713) at 1/200 dilution.

The section was pre-treated using heat mediated antigen retrieval with Tris-EDTA buffer (pH 9.0) for 20 minutes. The tissues were blocked in 1% BSA for 20 minutes at room temperature, washed with ddH2O and PBS, and then probed with the primary antibody (HA750713) at 1/200 dilution for 1 hour at room temperature. The detection was performed using an HRP conjugated compact polymer system. DAB was used as the chromogen. Tissues were counterstained with hematoxylin and mounted with DPX.
HA750713_5.jpg Fig5: Immunocytochemistry analysis of PC-12 cells labeling FXR1 with Rabbit anti-FXR1 antibody (HA750713) at 1/100 dilution.

Cells were fixed in 4% paraformaldehyde for 20 minutes at room temperature, permeabilized with 0.1% Triton X-100 in PBS for 5 minutes at room temperature, then blocked with 1% BSA in 10% negative goat serum for 1 hour at room temperature. Cells were then incubated with Rabbit anti-FXR1 antibody (HA750713) at 1/100 dilution in 1% BSA in PBST overnight at 4 ℃. Goat Anti-Rabbit IgG H&L (iFluor™ 488, HA1121) was used as the secondary antibody at 1/1,000 dilution. PBS instead of the primary antibody was used as the secondary antibody only control. Nuclear DNA was labelled in blue with DAPI.

Beta tubulin (M1305-2, red) was stained at 1/100 dilution overnight at +4℃. Goat Anti-Mouse IgG H&L (iFluor™ 594, HA1126) was used as the secondary antibody at 1/1,000 dilution.
HA750713_6.jpg Fig6: FXR1 was immunoprecipitated from 0.2 mg HepG2 cell lysate with HA750713 at 2 µg/10 µl beads. Western blot was performed from the immunoprecipitate using HA750713 at 1/1,000 dilution. HRP Conjugated Anti-Rabbit IgG for IP Nano-secondary antibody at 1/5,000 dilution was used for 1 hour at room temperature.

Lane 1: HepG2 cell lysate (input)
Lane 2: HA750713 IP in HepG2 cell lysate
Lane 3: Rabbit IgG instead of HA750713 in HepG2 cell lysate

Blocking/Dilution buffer: primary antibody dilution (K1803)
Exposure time: 10 seconds; ECL: K1801
Note: All products are “FOR RESEARCH USE ONLY AND ARE NOT INTENDED FOR DIAGNOSTIC OR THERAPEUTIC USE”.