OLFM4 Recombinant Rabbit Monoclonal Antibody [PSH01-36]
cat.: HA750714
Product Type: Recombinant Rabbit monoclonal IgG, primary antibodies
Species reactivity: Human
Applications: WB, IHC-P
Clonality: Monoclonal
Clone number: PSH01-36
Form: Liquid
Storage condition: Store at +4℃ after thawing. Aliquot store at -20℃. Avoid repeated freeze / thaw cycles.
Storage buffer: 1*PBS (pH7.4).
Concentration: 1ug/ul
Purification: Protein A affinity purified.
Molecular weight: Predicted band size: 57 kDa
Isotype: IgG
Immunogen: Recombinant protein within human OLFM4 aa 1-510 / 510.
Positive control: Human liver tissue.
Subcellular location: Secreted, extracellular space, Mitochondrion.
Recommended Dilutions:
  WB
  IHC-P

1:1,000
1:500
Uniprot #: SwissProt: Q6UX06 Human
Alternative names: Antiapoptotic protein GW112 bA209J19.1 G-CSF-stimulated clone 1 protein GC1 GW112 hGC 1 hGC-1 hOLfD KIAA4294 olfactomedin 4 Olfactomedin-4 OlfD OLFM4 OLFM4_HUMAN OLM4 UNQ362
Images
HA750714_1.jpg Fig1: Western blot analysis of OLFM4 on different lysates with Rabbit anti-OLFM4 antibody (HA750714) at 1/1,000 dilution.

Lane 1: OLFM4 recombinant protein
Lane 2: OLFM4 recombinant protein with immunising peptide

Lysates/proteins at 50 ng/Lane.

Exposure time: 43 seconds;

4-20% SDS-PAGE gel.

Proteins were transferred to a PVDF membrane and blocked with 5% NFDM/TBST for 1 hour at room temperature. The primary antibody (HA750714) at 1/1,000 dilution was used in 5% NFDM/TBST at room temperature for 2 hours. Goat Anti-Rabbit IgG - HRP Secondary Antibody (HA1001) at 1/100,000 dilution was used for 1 hour at room temperature.
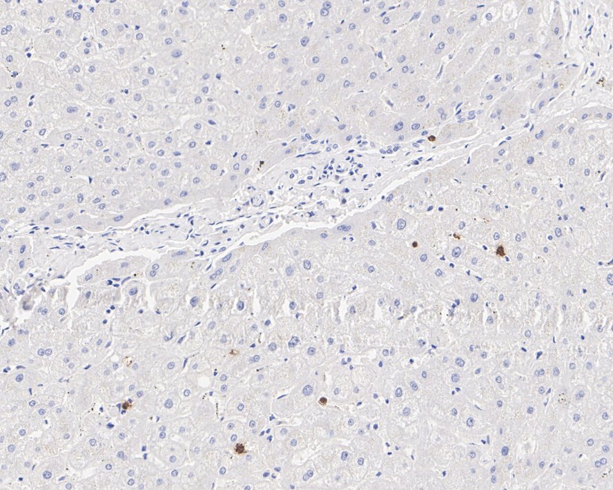
HA750714_2.jpg Fig2: Immunohistochemical analysis of paraffin-embedded human liver tissue with Rabbit anti-OLFM4 antibody (HA750714) at 1/500 dilution.

The section was pre-treated using heat mediated antigen retrieval with Tris-EDTA buffer (pH 9.0) for 20 minutes. The tissues were blocked in 1% BSA for 20 minutes at room temperature, washed with ddH2O and PBS, and then probed with the primary antibody (HA750714) at 1/500 dilution for 1 hour at room temperature. The detection was performed using an HRP conjugated compact polymer system. DAB was used as the chromogen. Tissues were counterstained with hematoxylin and mounted with DPX.
Note: All products are “FOR RESEARCH USE ONLY AND ARE NOT INTENDED FOR DIAGNOSTIC OR THERAPEUTIC USE”.