TMP21 Recombinant Rabbit Monoclonal Antibody [PSH01-41]
cat.: HA750719
Product Type: Recombinant Rabbit monoclonal IgG, primary antibodies
Species reactivity: Human, Mouse, Rat
Applications: WB, IHC-P, IF-Tissue, IF-Cell, FC
Clonality: Monoclonal
Clone number: PSH01-41
Form: Liquid
Storage condition: Store at +4℃ after thawing. Aliquot store at -20℃. Avoid repeated freeze / thaw cycles.
Storage buffer: 1*PBS (pH7.4).
Concentration: 1ug/ul
Purification: Protein A affinity purified.
Molecular weight: Predicted band size: 25 kDa
Isotype: IgG
Immunogen: Recombinant protein within human TMP21 aa 1-200 / 219.
Positive control: HeLa cell lysate, 293T cell lysate, Raji cell lysate, Jurkat cell lysate, HepG2 cell lysate, U-87 MG cell lysate, PC-12 cell lysate, mouse pancreas tissue lysate, rat pancreas tissue lysate, rat liver tissue lysate, human breast tissue, human colon tissue, human liver tissue, mouse pancreas tissue, rat pancreas tissue, HeLa.
Subcellular location: Endoplasmic reticulum membrane, Endoplasmic reticulum-Golgi intermediate compartment membrane, Golgi apparatus membrane, Golgi apparatus, cis-Golgi network membrane, Golgi apparatus, trans-Golgi network membrane, Cytoplasmic vesicle, secretory vesicle membrane, Cell membrane, Melanosome.
Recommended Dilutions:
  WB
  IHC-P
  IF-Tissue
  IF-Cell
  FC

1:5,000
1:200
1:200
1:250
1:500-1:1,000
Uniprot #: SwissProt: P49755 Human | Q9D1D4 Mouse | Q63584 Rat
Alternative names: 1110014C03Rik 21 kDa transmembrane trafficking protein 21 kDa transmembrane-trafficking protein MGC102351 p23 p24 family protein delta 1 p24 family protein delta-1 p24(DELTA) p24delta p24delta1 S31I125 S31III125 TMED 10 Tmed10 TMEDA_HUMAN Tmp 21 I Tmp 21 Tmp 21 I Tmp-21-I Transmembrane emp24 domain containing protein 10 Transmembrane emp24 domain-containing protein 10 Transmembrane emp24-like trafficking protein 10 (yeast) Transmembrane protein Tmp21 Transmembrane trafficking protein 21kD
Images
HA750719_1.jpg Fig1: Western blot analysis of TMP21 on different lysates with Rabbit anti-TMP21 antibody (HA750719) at 1/5,000 dilution.

Lane 1: HeLa cell lysate (20 µg/Lane)
Lane 2: 293T cell lysate (20 µg/Lane)
Lane 3: Raji cell lysate (20 µg/Lane)
Lane 4: Jurkat cell lysate (20 µg/Lane)
Lane 5: HepG2 cell lysate (20 µg/Lane)
Lane 6: U-87 MG cell lysate (20 µg/Lane)
Lane 7: PC-12 cell lysate (20 µg/Lane)
Lane 8: Mouse pancreas tissue lysate (40 µg/Lane)
Lane 9: Rat pancreas tissue lysate (40 µg/Lane)
Lane 10: Rat liver tissue lysate (40 µg/Lane)

Predicted band size: 25 kDa
Observed band size: 19 kDa

Exposure time: 5 minutes 10 seconds;

4-20% SDS-PAGE gel.

Proteins were transferred to a PVDF membrane and blocked with 5% NFDM/TBST for 1 hour at room temperature. The primary antibody (HA750719) at 1/5,000 dilution was used in 5% NFDM/TBST at room temperature for 2 hours. Goat Anti-Rabbit IgG - HRP Secondary Antibody (HA1001) at 1/50,000 dilution was used for 1 hour at room temperature.
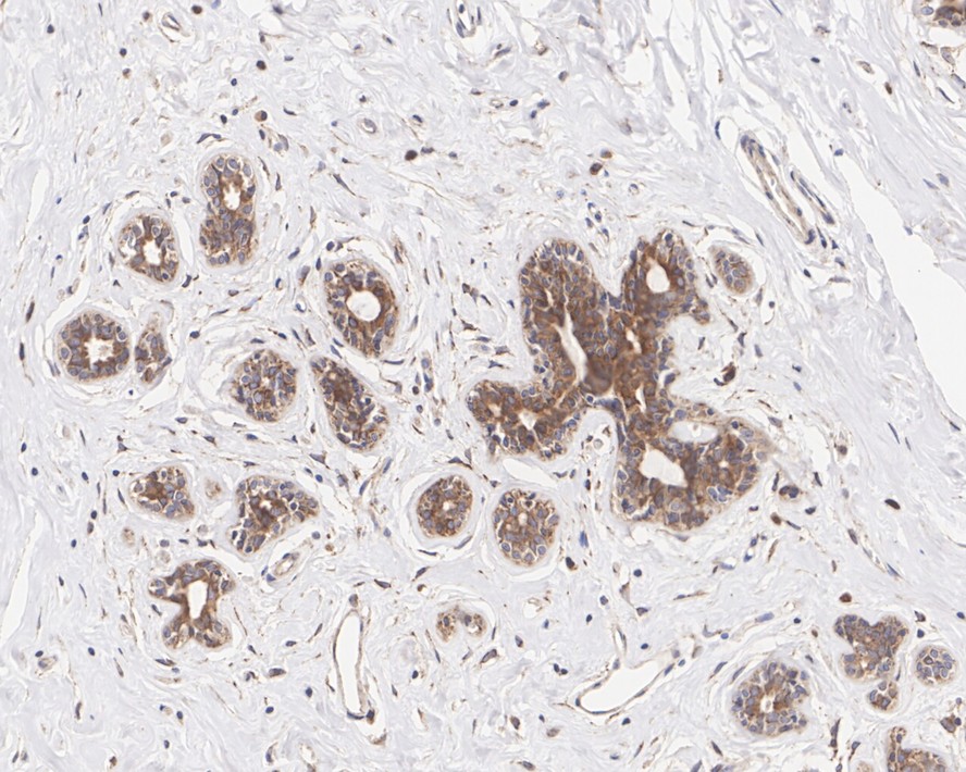
HA750719_2.jpg Fig2: Immunohistochemical analysis of paraffin-embedded human breast tissue with Rabbit anti-TMP21 antibody (HA750719) at 1/200 dilution.

The section was pre-treated using heat mediated antigen retrieval with Tris-EDTA buffer (pH 9.0) for 20 minutes. The tissues were blocked in 1% BSA for 20 minutes at room temperature, washed with ddH2O and PBS, and then probed with the primary antibody (HA750719) at 1/200 dilution for 1 hour at room temperature. The detection was performed using an HRP conjugated compact polymer system. DAB was used as the chromogen. Tissues were counterstained with hematoxylin and mounted with DPX.
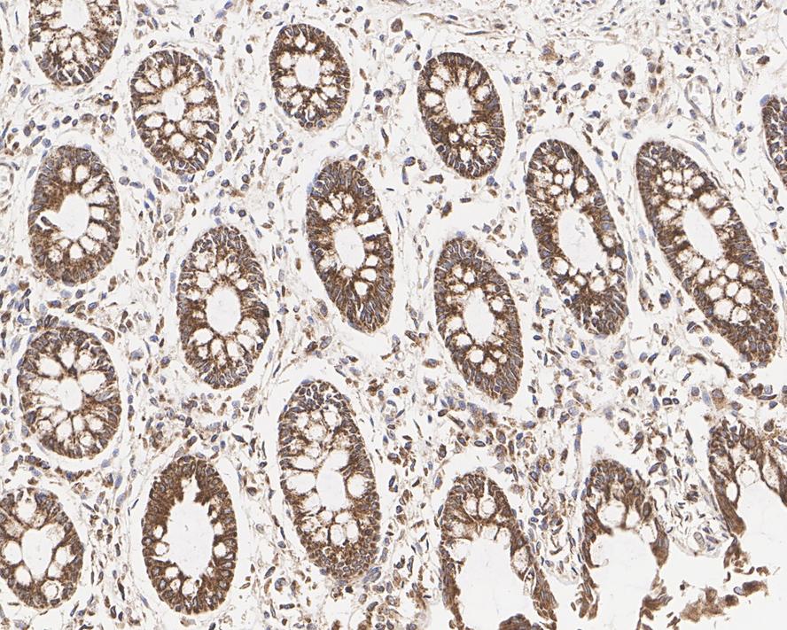
HA750719_3.jpg Fig3: Immunohistochemical analysis of paraffin-embedded human colon tissue with Rabbit anti-TMP21 antibody (HA750719) at 1/200 dilution.

The section was pre-treated using heat mediated antigen retrieval with Tris-EDTA buffer (pH 9.0) for 20 minutes. The tissues were blocked in 1% BSA for 20 minutes at room temperature, washed with ddH2O and PBS, and then probed with the primary antibody (HA750719) at 1/200 dilution for 1 hour at room temperature. The detection was performed using an HRP conjugated compact polymer system. DAB was used as the chromogen. Tissues were counterstained with hematoxylin and mounted with DPX.
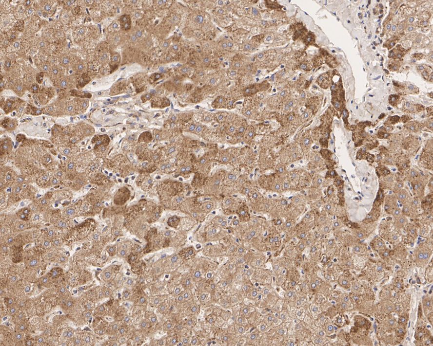
HA750719_4.jpg Fig4: Immunohistochemical analysis of paraffin-embedded human liver tissue with Rabbit anti-TMP21 antibody (HA750719) at 1/200 dilution.

The section was pre-treated using heat mediated antigen retrieval with Tris-EDTA buffer (pH 9.0) for 20 minutes. The tissues were blocked in 1% BSA for 20 minutes at room temperature, washed with ddH2O and PBS, and then probed with the primary antibody (HA750719) at 1/200 dilution for 1 hour at room temperature. The detection was performed using an HRP conjugated compact polymer system. DAB was used as the chromogen. Tissues were counterstained with hematoxylin and mounted with DPX.
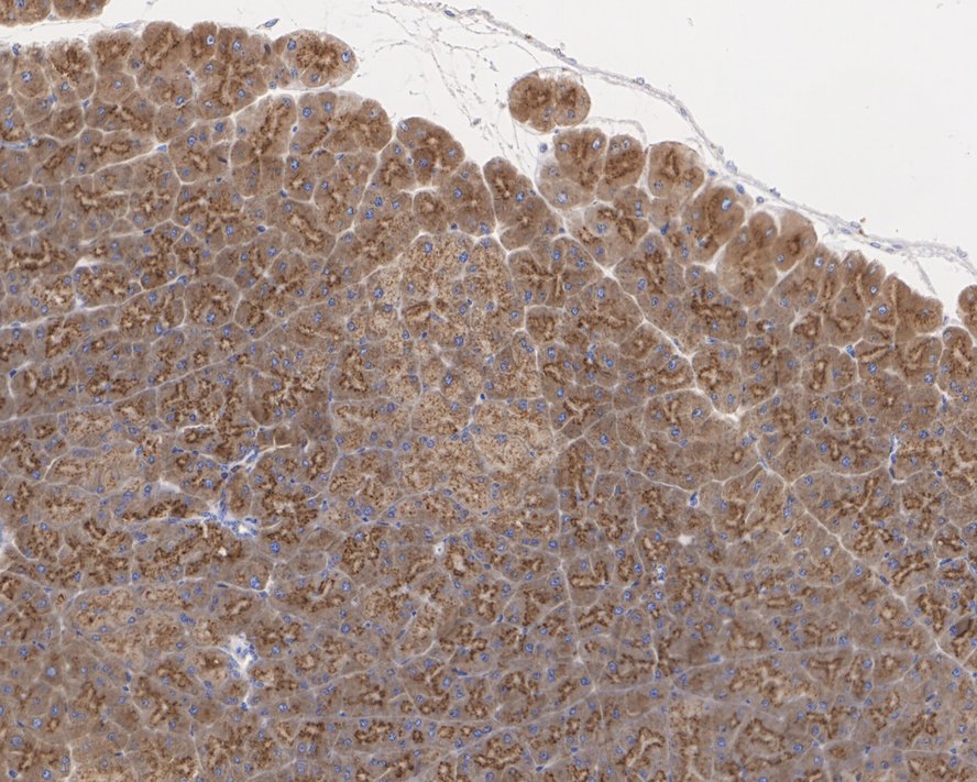
HA750719_5.jpg Fig5: Immunohistochemical analysis of paraffin-embedded mouse pancreas tissue with Rabbit anti-TMP21 antibody (HA750719) at 1/200 dilution.

The section was pre-treated using heat mediated antigen retrieval with Tris-EDTA buffer (pH 9.0) for 20 minutes. The tissues were blocked in 1% BSA for 20 minutes at room temperature, washed with ddH2O and PBS, and then probed with the primary antibody (HA750719) at 1/200 dilution for 1 hour at room temperature. The detection was performed using an HRP conjugated compact polymer system. DAB was used as the chromogen. Tissues were counterstained with hematoxylin and mounted with DPX.
HA750719_6.jpg Fig6: Immunohistochemical analysis of paraffin-embedded rat pancreas tissue with Rabbit anti-TMP21 antibody (HA750719) at 1/200 dilution.

The section was pre-treated using heat mediated antigen retrieval with Tris-EDTA buffer (pH 9.0) for 20 minutes. The tissues were blocked in 1% BSA for 20 minutes at room temperature, washed with ddH2O and PBS, and then probed with the primary antibody (HA750719) at 1/200 dilution for 1 hour at room temperature. The detection was performed using an HRP conjugated compact polymer system. DAB was used as the chromogen. Tissues were counterstained with hematoxylin and mounted with DPX.
HA750719_7.jpg Fig7: Immunofluorescence analysis of paraffin-embedded human breast tissue labeling TMP21 with Rabbit anti-TMP21 antibody (HA750719) at 1/200 dilution.

The section was pre-treated using heat mediated antigen retrieval with Tris-EDTA buffer (pH 9.0) for 20 minutes. The tissues were blocked in 10% negative goat serum for 1 hour at room temperature, washed with PBS, and then probed with the primary antibody (HA750719, green) at 1/200 dilution overnight at 4 ℃, washed with PBS. Goat Anti-Rabbit IgG H&L (iFluor™ 488, HA1121) was used as the secondary antibody at 1/1,000 dilution. Nuclei were counterstained with DAPI (blue).
HA750719_8.jpg Fig8: Immunofluorescence analysis of paraffin-embedded rat pancreas tissue labeling TMP21 with Rabbit anti-TMP21 antibody (HA750719) at 1/200 dilution.

The section was pre-treated using heat mediated antigen retrieval with Tris-EDTA buffer (pH 9.0) for 20 minutes. The tissues were blocked in 10% negative goat serum for 1 hour at room temperature, washed with PBS, and then probed with the primary antibody (HA750719, green) at 1/200 dilution overnight at 4 ℃, washed with PBS. Goat Anti-Rabbit IgG H&L (iFluor™ 488, HA1121) was used as the secondary antibody at 1/1,000 dilution. Nuclei were counterstained with DAPI (blue).
HA750719_9.jpg Fig9: Immunocytochemistry analysis of HeLa cells labeling TMP21 with Rabbit anti-TMP21 antibody (HA750719) at 1/250 dilution.

Cells were fixed in 4% paraformaldehyde for 20 minutes at room temperature, permeabilized with 0.1% Triton X-100 in PBS for 5 minutes at room temperature, then blocked with 1% BSA in 10% negative goat serum for 1 hour at room temperature. Cells were then incubated with Rabbit anti-TMP21 antibody (HA750719) at 1/250 dilution in 1% BSA in PBST overnight at 4 ℃. Goat Anti-Rabbit IgG H&L (iFluor™ 488, HA1121) was used as the secondary antibody at 1/1,000 dilution. PBS instead of the primary antibody was used as the secondary antibody only control. Nuclear DNA was labelled in blue with DAPI.

Beta tubulin (M1305-2, red) was stained at 1/100 dilution overnight at +4℃. Goat Anti-Mouse IgG H&L (iFluor™ 594, HA1126) was used as the secondary antibody at 1/1,000 dilution.
HA750719_10.jpg Fig10: Flow cytometric analysis of HeLa cells labeling TMP21.

Cells were fixed and permeabilized. Then stained with the primary antibody (HA750719, 1ug/ml) (red) compared with Rabbit IgG Isotype Control (green). After incubation of the primary antibody at +4℃ for an hour, the cells were stained with a iFluor™ 488 conjugate-Goat anti-Rabbit IgG Secondary antibody (HA1121) at 1/1,000 dilution for 30 minutes at +4℃. Unlabelled sample was used as a control (cells without incubation with primary antibody; black).
Note: All products are “FOR RESEARCH USE ONLY AND ARE NOT INTENDED FOR DIAGNOSTIC OR THERAPEUTIC USE”.