Cofilin Recombinant Rabbit Monoclonal Antibody [PSH01-44]
cat.: HA750721
Product Type: Recombinant Rabbit monoclonal IgG, primary antibodies
Species reactivity: Human, Mouse, Rat, Monkey
Applications: WB, IHC-P, IF-Cell, FC
Clonality: Monoclonal
Clone number: PSH01-44
Form: Liquid
Storage condition: Store at +4℃ after thawing. Aliquot store at -20℃. Avoid repeated freeze / thaw cycles.
Storage buffer: 1*PBS (pH7.4).
Concentration: 1ug/ul
Purification: Protein A affinity purified.
Molecular weight: Predicted band size: 19 kDa
Isotype: IgG
Immunogen: Synthetic peptide within human Cofilin aa 51-100 / 166.
Positive control: Hela cell lysate, HEK-293 cell lysate, MCF7 cell lysate, MDA-MB-468 cell lysate, SH-SY5Y cell lysate, HUVEC cell lysate, Jurkat cell lysate, COS-1 cell lysate, VERO cell lysate, NIH/3T3 cell lysate, PC-12 cell lysate, Neuro-2a cell lysate, K-562 cell lysate, A431 cell lysate, human breast carcinoma tissue, human lung carcinoma tissue, human stomach tissue, rat colon tissue, HeLa, NIH/3T3.
Subcellular location: Nucleus matrix, Cytoplasm, Cytoskeleton, Cell projection.
Recommended Dilutions:
  WB
  IHC-P
  IF-Cell
  FC

1:1,000
1:100
1:100
1:500-1:1,000
Uniprot #: SwissProt: P23528 Human | P18760 Mouse | P45592 Rat
Alternative names: 18 kDa phosphoprotein CFL 1 CFL CFL1 COF1_HUMAN Cofilin 1 Cofilin 1 non muscle Cofilin Cofilin non muscle isoform Cofilin-1 epididymis secretory protein Li 15 HEL-S-15 non-muscle isoform p18
Images
HA750721_1.jpg Fig1: Western blot analysis of Cofilin on different lysates with Rabbit anti-Cofilin antibody (HA750721) at 1/1,000 dilution.

Lane 1: Hela cell lysate (30 µg/Lane)
Lane 2: HEK-293 cell lysate (30 µg/Lane)
Lane 3: MCF7 cell lysate (30 µg/Lane)
Lane 4: MDA-MB-468 cell lysate (30 µg/Lane)
Lane 5: SH-SY5Y cell lysate (30 µg/Lane)
Lane 6: HUVEC cell lysate (30 µg/Lane)
Lane 7: Jurkat cell lysate (30 µg/Lane)
Lane 8: COS-1 cell lysate (30 µg/Lane)
Lane 9: VERO cell lysate (30 µg/Lane)
Lane 10: NIH/3T3 cell lysate (30 µg/Lane)
Lane 11: PC-12 cell lysate (30 µg/Lane)
Lane 12: Neuro-2a cell lysate (30 µg/Lane)
Lane 13: K-562 cell lysate (30 µg/Lane)
Lane 14: A431 cell lysate (30 µg/Lane)

Predicted band size: 19 kDa
Observed band size: 19 kDa

Exposure time: 2 minutes 37 seconds;

4-20% SDS-PAGE gel.

Proteins were transferred to a PVDF membrane and blocked with 5% NFDM/TBST for 1 hour at room temperature. The primary antibody (HA750721) at 1/1,000 dilution was used in 5% NFDM/TBST at room temperature for 2 hours. Goat Anti-Rabbit IgG - HRP Secondary Antibody (HA1001) at 1:100,000 dilution was used for 1 hour at room temperature.
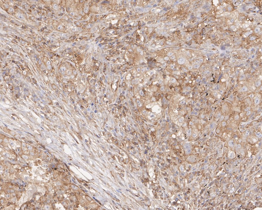
HA750721_2.jpg Fig2: Immunohistochemical analysis of paraffin-embedded human breast carcinoma tissue with Rabbit anti-Cofilin antibody (HA750721) at 1/100 dilution.

The section was pre-treated using heat mediated antigen retrieval with sodium citrate buffer (pH 6.0) (high pressure) for 2 minutes. The tissues were blocked in 1% BSA for 20 minutes at room temperature, washed with ddH2O and PBS, and then probed with the primary antibody (HA750721) at 1/100 dilution for 1 hour at room temperature. The detection was performed using an HRP conjugated compact polymer system. DAB was used as the chromogen. Tissues were counterstained with hematoxylin and mounted with DPX.
HA750721_3.jpg Fig3: Immunohistochemical analysis of paraffin-embedded human lung carcinoma tissue with Rabbit anti-Cofilin antibody (HA750721) at 1/100 dilution.

The section was pre-treated using heat mediated antigen retrieval with sodium citrate buffer (pH 6.0) (high pressure) for 2 minutes. The tissues were blocked in 1% BSA for 20 minutes at room temperature, washed with ddH2O and PBS, and then probed with the primary antibody (HA750721) at 1/100 dilution for 1 hour at room temperature. The detection was performed using an HRP conjugated compact polymer system. DAB was used as the chromogen. Tissues were counterstained with hematoxylin and mounted with DPX.
HA750721_4.jpg Fig4: Immunohistochemical analysis of paraffin-embedded human stomach tissue with Rabbit anti-Cofilin antibody (HA750721) at 1/100 dilution.

The section was pre-treated using heat mediated antigen retrieval with sodium citrate buffer (pH 6.0) (high pressure) for 2 minutes. The tissues were blocked in 1% BSA for 20 minutes at room temperature, washed with ddH2O and PBS, and then probed with the primary antibody (HA750721) at 1/100 dilution for 1 hour at room temperature. The detection was performed using an HRP conjugated compact polymer system. DAB was used as the chromogen. Tissues were counterstained with hematoxylin and mounted with DPX.
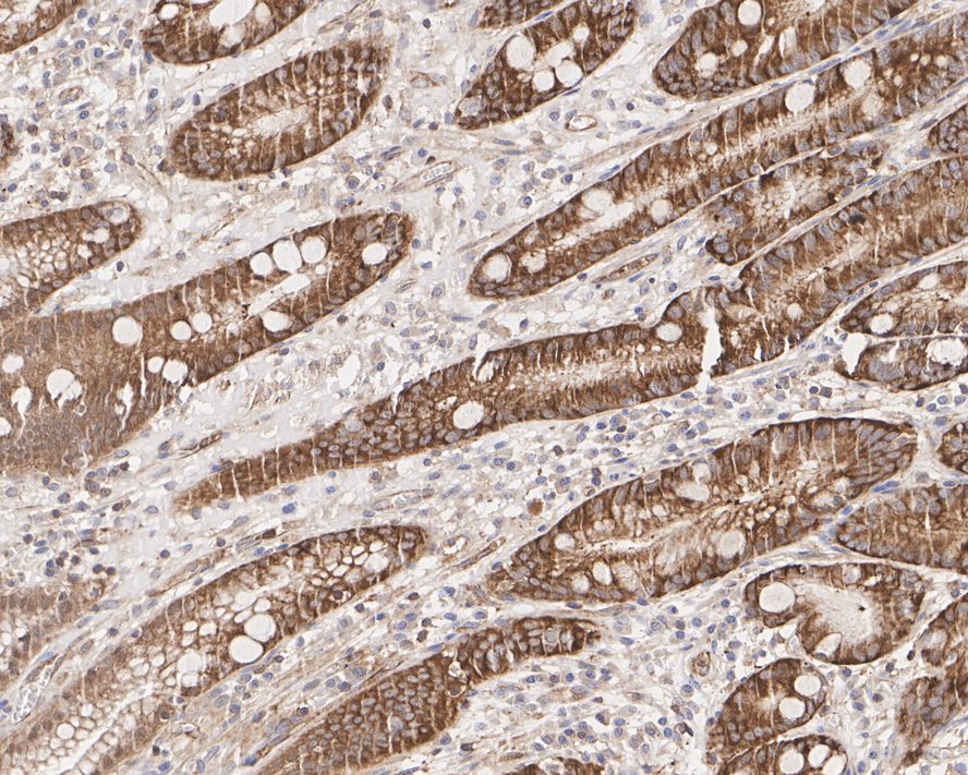
HA750721_5.jpg Fig5: Immunohistochemical analysis of paraffin-embedded rat colon tissue with Rabbit anti-Cofilin antibody (HA750721) at 1/100 dilution.

The section was pre-treated using heat mediated antigen retrieval with sodium citrate buffer (pH 6.0) (high pressure) for 2 minutes. The tissues were blocked in 1% BSA for 20 minutes at room temperature, washed with ddH2O and PBS, and then probed with the primary antibody (HA750721) at 1/100 dilution for 1 hour at room temperature. The detection was performed using an HRP conjugated compact polymer system. DAB was used as the chromogen. Tissues were counterstained with hematoxylin and mounted with DPX.
HA750721_6.jpg Fig6: Immunocytochemistry analysis of HeLa cells labeling Cofilin with Rabbit anti-Cofilin antibody (HA750721) at 1/100 dilution.

Cells were fixed in 4% paraformaldehyde for 20 minutes at room temperature, permeabilized with 0.1% Triton X-100 in PBS for 5 minutes at room temperature, then blocked with 1% BSA in 10% negative goat serum for 1 hour at room temperature. Cells were then incubated with Rabbit anti-Cofilin antibody (HA750721) at 1/100 dilution in 1% BSA in PBST overnight at 4 ℃. Goat Anti-Rabbit IgG H&L (iFluor™ 488, HA1121) was used as the secondary antibody at 1/1,000 dilution. PBS instead of the primary antibody was used as the secondary antibody only control. Nuclear DNA was labelled in blue with DAPI.

Beta tubulin (M1305-2, red) was stained at 1/100 dilution overnight at +4℃. Goat Anti-Mouse IgG H&L (iFluor™ 594, HA1126) was used as the secondary antibody at 1/1,000 dilution.
HA750721_7.jpg Fig7: Immunocytochemistry analysis of NIH/3T3 cells labeling Cofilin with Rabbit anti-Cofilin antibody (HA750721) at 1/100 dilution.

Cells were fixed in 4% paraformaldehyde for 20 minutes at room temperature, permeabilized with 0.1% Triton X-100 in PBS for 5 minutes at room temperature, then blocked with 1% BSA in 10% negative goat serum for 1 hour at room temperature. Cells were then incubated with Rabbit anti-Cofilin antibody (HA750721) at 1/100 dilution in 1% BSA in PBST overnight at 4 ℃. Goat Anti-Rabbit IgG H&L (iFluor™ 488, HA1121) was used as the secondary antibody at 1/1,000 dilution. PBS instead of the primary antibody was used as the secondary antibody only control. Nuclear DNA was labelled in blue with DAPI.

Beta tubulin (M1305-2, red) was stained at 1/100 dilution overnight at +4℃. Goat Anti-Mouse IgG H&L (iFluor™ 594, HA1126) was used as the secondary antibody at 1/1,000 dilution.
HA750721_8.jpg Fig8: Flow cytometric analysis of HeLa cells labeling Cofilin.

Cells were fixed and permeabilized. Then stained with the primary antibody (HA750721, 1ug/ml) (red) compared with Rabbit IgG Isotype Control (green). After incubation of the primary antibody at +4℃ for an hour, the cells were stained with a iFluor™ 488 conjugate-Goat anti-Rabbit IgG Secondary antibody (HA1121) at 1/1,000 dilution for 30 minutes at +4℃. Unlabelled sample was used as a control (cells without incubation with primary antibody; black).
HA750721_9.jpg Fig9: Flow cytometric analysis of NIH/3T3 cells labeling Cofilin.

Cells were fixed and permeabilized. Then stained with the primary antibody (HA750721, 1ug/ml) (red) compared with Rabbit IgG Isotype Control (green). After incubation of the primary antibody at +4℃ for an hour, the cells were stained with a iFluor™ 488 conjugate-Goat anti-Rabbit IgG Secondary antibody (HA1121) at 1/1,000 dilution for 30 minutes at +4℃. Unlabelled sample was used as a control (cells without incubation with primary antibody; black).
Note: All products are “FOR RESEARCH USE ONLY AND ARE NOT INTENDED FOR DIAGNOSTIC OR THERAPEUTIC USE”.