MALT1 Recombinant Rabbit Monoclonal Antibody [PSH02-32]
cat.: HA750722
Product Type: Recombinant Rabbit monoclonal IgG, primary antibodies
Species reactivity: Human, Mouse, Rat
Applications: WB, IHC-P, IF-Cell
Clonality: Monoclonal
Clone number: PSH02-32
Form: Liquid
Storage condition: Store at +4℃ after thawing. Aliquot store at -20℃. Avoid repeated freeze / thaw cycles.
Storage buffer: 1*PBS (pH7.4).
Concentration: 1ug/ul
Purification: Protein A affinity purified.
Molecular weight: Predicted band size:92 kDa
Isotype: IgG
Immunogen: Recombinant protein within Human MALT1 aa 1-400 / 824 (Q9UDY8).
Positive control: HCT116 cell lysate, HeLa cell lysate, Ramos cell lysate, K-562 cell lysate, Jurkat cell lysate, HepG2 cell lysate, 786-0 cell lysate, LNCaP cell lysate, PC-3M cell lysate, SW480 cell lysate, Mouse lymph node tissue lysate, Mouse thymus tissue lysate, Rat thymus tissue lysate, human colon cancer tissue, human colon tissue, Ramos.
Subcellular location: Cytoplasm, perinuclear region, Nucleus
Recommended Dilutions:
  WB
  IHC-P
  IF-Cell

1:1,000
1:2,000-1:5,000
1:100
Uniprot #: SwissProt: Q9UDY8 Human | Q2TBA3 Mouse | D4A980 Rat
Alternative names: Caspase like protein DKFZp434L132 IMD12 MALT 1 MALT associated translocation MALT lymphoma associated translocation MALT lymphoma-associated translocation Malt1 MALT1 paracaspase MALT1_HUMAN MLT 1 MLT MLT1 Mucosa associated lymphoid tissue lymphoma translocation gene 1 Mucosa associated lymphoid tissue lymphoma translocation protein 1 Mucosa-associated lymphoid tissue lymphoma translocation protein 1 Paracaspase Paracaspase-1 PCASP1
Images
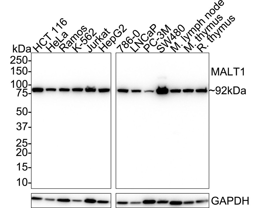
HA750722_1.jpg Fig1: Western blot analysis of MALT1 on different lysates with Rabbit anti-MALT1 antibody (HA750722) at 1/1,000 dilution.

Lane 1: HCT116 cell lysate (20 µg/Lane)
Lane 2: HeLa cell lysate (20 µg/Lane)
Lane 3: Ramos cell lysate (20 µg/Lane)
Lane 4: K-562 cell lysate (20 µg/Lane)
Lane 5: Jurkat cell lysate (20 µg/Lane)
Lane 6: HepG2 cell lysate (20 µg/Lane)
Lane 7: 786-0 cell lysate (20 µg/Lane)
Lane 8: LNCaP cell lysate (20 µg/Lane)
Lane 9: PC-3M cell lysate (20 µg/Lane)
Lane 10: SW480 cell lysate (20 µg/Lane)
Lane 11: Mouse lymph node tissue lysate (no heat) (40 µg/Lane)
Lane 12: Mouse thymus tissue lysate (40 µg/Lane)
Lane 13: Rat thymus tissue lysate (40 µg/Lane)

Notice: no heat means the lysate is not boiled.

Predicted band size: 92 kDa
Observed band size: 92 kDa

Exposure time: 43 seconds; ECL: K1801;

4-20% SDS-PAGE gel.

Proteins were transferred to a PVDF membrane and blocked with 5% NFDM/TBST for 1 hour at room temperature. The primary antibody (HA750722) at 1/1,000 dilution was used in 5% NFDM/TBST at 4℃ overnight. Goat Anti-Rabbit IgG - HRP Secondary Antibody (HA1001) at 1/50,000 dilution was used for 1 hour at room temperature.
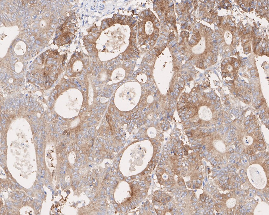
HA750722_2.jpg Fig2: Immunohistochemical analysis of paraffin-embedded human colon cancer tissue with Rabbit anti-MALT1 antibody (HA750722) at 1/5,000 dilution.

The section was pre-treated using heat mediated antigen retrieval with sodium citrate buffer (pH 6.0) (high pressure) for 2 minutes. The tissues were blocked in 1% BSA for 20 minutes at room temperature, washed with ddH2O and PBS, and then probed with the primary antibody (HA750722) at 1/5,000 dilution for 1 hour at room temperature. The detection was performed using an HRP conjugated compact polymer system. DAB was used as the chromogen. Tissues were counterstained with hematoxylin and mounted with DPX.
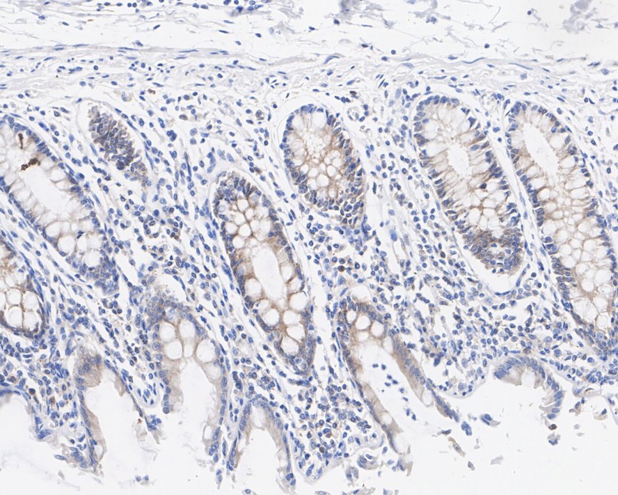
HA750722_3.jpg Fig3: Immunohistochemical analysis of paraffin-embedded human colon tissue with Rabbit anti-MALT1 antibody (HA750722) at 1/2,000 dilution.

The section was pre-treated using heat mediated antigen retrieval with sodium citrate buffer (pH 6.0) (high pressure) for 2 minutes. The tissues were blocked in 1% BSA for 20 minutes at room temperature, washed with ddH2O and PBS, and then probed with the primary antibody (HA750722) at 1/2,000 dilution for 1 hour at room temperature. The detection was performed using an HRP conjugated compact polymer system. DAB was used as the chromogen. Tissues were counterstained with hematoxylin and mounted with DPX.
HA750722_4.jpg Fig4: Immunocytochemistry analysis of Ramos cells labeling MALT1 with Rabbit anti-MALT1 antibody (HA750722) at 1/100 dilution.

Cells were fixed in 100% precooled methanol for 5 minutes at room temperature, then blocked with 1% BSA in 10% negative goat serum for 1 hour at room temperature. Cells were then incubated with Rabbit anti-MALT1 antibody (HA750722) at 1/100 dilution in 1% BSA in PBST overnight at 4 ℃. Goat Anti-Rabbit IgG H&L (iFluor™ 488, HA1121) was used as the secondary antibody at 1/1,000 dilution. PBS instead of the primary antibody was used as the secondary antibody only control. Nuclear DNA was labelled in blue with DAPI.

Beta tubulin (M1305-2, red) was stained at 1/100 dilution overnight at +4℃. Goat Anti-Mouse IgG H&L (iFluor™ 594, HA1126) was used as the secondary antibody at 1/1,000 dilution.
Note: All products are “FOR RESEARCH USE ONLY AND ARE NOT INTENDED FOR DIAGNOSTIC OR THERAPEUTIC USE”.