MCAK Recombinant Rabbit Monoclonal Antibody [PSH01-51]
cat.: HA750727
Product Type: Recombinant Rabbit monoclonal IgG, primary antibodies
Species reactivity: Human, Mouse, Rat
Applications: WB, IHC-P
Clonality: Monoclonal
Clone number: PSH01-51
Form: Liquid
Storage condition: Store at +4℃ after thawing. Aliquot store at -20℃. Avoid repeated freeze / thaw cycles.
Storage buffer: 1*PBS (pH7.4).
Concentration: 1ug/ul
Purification: Protein A affinity purified.
Molecular weight: Predicted band size: 81.3 kDa
Isotype: IgG
Immunogen: Recombinant protein within human MCAK aa 200-650.
Positive control: HeLa cell lysate, HepG2 cell lysate, K-562 cell lysate, Jurkat cell lysate, 293T cell lysate, human testis tissue, mouse testis tissue, rat testis tissue.
Subcellular location: Centromere, Chromosome, Cytoplasm, Cytoskeleton, Kinetochore
Recommended Dilutions:
  WB
  IHC-P

1:1,000
1:200
Uniprot #: SwissProt: Q99661 Human
Alternative names: 4930402F02Rik CT139 ESTM5 KIF 2C kif2c KIF2C_HUMAN Kinesein Family Member 2C Kinesin family member 2C kinesin like 6 (mitotic centromere associated kinesin) Kinesin like 6 Kinesin like protein 6 Kinesin like protein KIF2C Kinesin-like protein 6 Kinesin-like protein KIF2C KNS L6 KNSL 6 KNSL6 MCAK MGC11883 Mitotic centromere associated kinesin Mitotic centromere-associated kinesin OTTHUMP00000010066 X83316
Images
HA750727_1.jpg Fig1: Western blot analysis of MCAK on different lysates with Rabbit anti-MCAK antibody (HA750727) at 1/1,000 dilution.

Lane 1: HeLa cell lysate
Lane 2: HepG2 cell lysate
Lane 3: K-562 cell lysate
Lane 4: Jurkat cell lysate
Lane 5: 293T cell lysate

Lysates/proteins at 20 µg/Lane.

Predicted band size: 81 kDa
Observed band size: 81 kDa

Exposure time: 5 minutes;

4-20% SDS-PAGE gel.

Proteins were transferred to a PVDF membrane and blocked with 5% NFDM/TBST for 1 hour at room temperature. The primary antibody (HA750727) at 1/1,000 dilution was used in 5% NFDM/TBST at 4℃ overnight. Goat Anti-Rabbit IgG - HRP Secondary Antibody (HA1001) at 1/50,000 dilution was used for 1 hour at room temperature.
HA750727_2.jpg Fig2: Western blot analysis of MCAK on different lysates with Rabbit anti-MCAK antibody (HA750727) at 1/2,000 dilution.

Lane 1: HAP1-parental cell lysate
Lane 2: HAP1-MCAK KD cell lysate

Lysates/proteins at 10 µg/Lane.

Predicted band size: 81 kDa
Observed band size: 81 kDa

Exposure time: 21 seconds; ECL: K1801;

4-20% SDS-PAGE gel.

Proteins were transferred to a PVDF membrane and blocked with 5% NFDM/TBST for 1 hour at room temperature. The primary antibody (HA750727) at 1/2,000 dilution was used in primary antibody dilution (K1803) at 4℃ overnight. Goat Anti-Rabbit IgG - HRP Secondary Antibody (HA1001) at 1/50,000 dilution was used for 1 hour at room temperature.
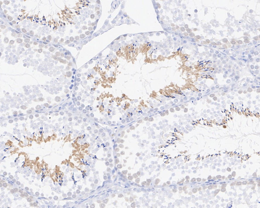
HA750727_3.jpg Fig3: Immunohistochemical analysis of paraffin-embedded human testis tissue with Rabbit anti-MCAK antibody (HA750727) at 1/200 dilution.

The section was pre-treated using heat mediated antigen retrieval with sodium citrate buffer (pH 6.0) (high pressure) for 2 minutes. The tissues were blocked in 1% BSA for 20 minutes at room temperature, washed with ddH2O and PBS, and then probed with the primary antibody (HA750727) at 1/200 dilution for 1 hour at room temperature. The detection was performed using an HRP conjugated compact polymer system. DAB was used as the chromogen. Tissues were counterstained with hematoxylin and mounted with DPX.
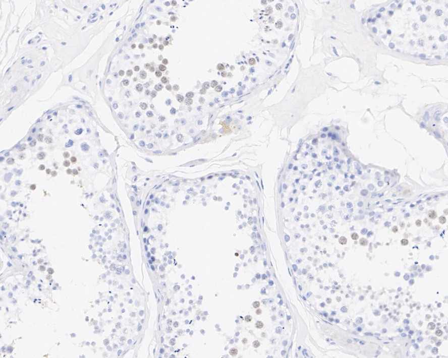
HA750727_4.jpg Fig4: Immunohistochemical analysis of paraffin-embedded mouse testis tissue with Rabbit anti-MCAK antibody (HA750727) at 1/200 dilution.

The section was pre-treated using heat mediated antigen retrieval with sodium citrate buffer (pH 6.0) (high pressure) for 2 minutes. The tissues were blocked in 1% BSA for 20 minutes at room temperature, washed with ddH2O and PBS, and then probed with the primary antibody (HA750727) at 1/200 dilution for 1 hour at room temperature. The detection was performed using an HRP conjugated compact polymer system. DAB was used as the chromogen. Tissues were counterstained with hematoxylin and mounted with DPX.
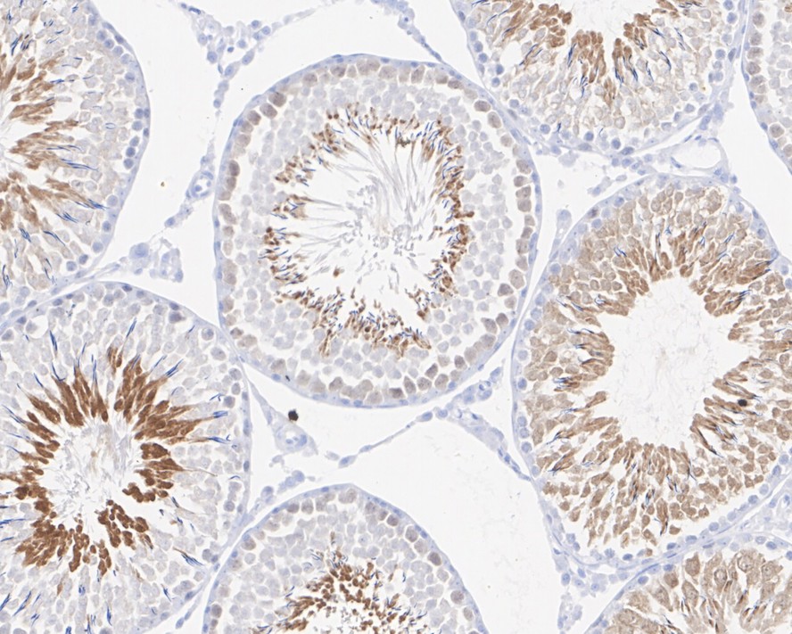
HA750727_5.jpg Fig5: Immunohistochemical analysis of paraffin-embedded rat testis tissue with Rabbit anti-MCAK antibody (HA750727) at 1/200 dilution.

The section was pre-treated using heat mediated antigen retrieval with sodium citrate buffer (pH 6.0) (high pressure) for 2 minutes. The tissues were blocked in 1% BSA for 20 minutes at room temperature, washed with ddH2O and PBS, and then probed with the primary antibody (HA750727) at 1/200 dilution for 1 hour at room temperature. The detection was performed using an HRP conjugated compact polymer system. DAB was used as the chromogen. Tissues were counterstained with hematoxylin and mounted with DPX.
Note: All products are “FOR RESEARCH USE ONLY AND ARE NOT INTENDED FOR DIAGNOSTIC OR THERAPEUTIC USE”.