GANAB Recombinant Rabbit Monoclonal Antibody [PSH01-52]
cat.: HA750728
Product Type: Recombinant Rabbit monoclonal IgG, primary antibodies
Species reactivity: Human, Mouse, Rat
Applications: WB, IHC-P, IF-Tissue, IP
Clonality: Monoclonal
Clone number: PSH01-52
Form: Liquid
Storage condition: Store at +4℃ after thawing. Aliquot store at -20℃. Avoid repeated freeze / thaw cycles.
Storage buffer: 1*PBS (pH7.4).
Concentration: 1ug/ul
Purification: Protein A affinity purified.
Molecular weight: Predicted band size: 107 kDa
Isotype: IgG
Immunogen: Recombinant protein within human GANAB aa 29-450.
Positive control: HeLa cell lysate, HepG2 cell lysate, HEK-293 cell lysate, Raji cell lysate, NIH/3T3 cell lysate, C2C12 cell lysate, PC-12 cell lysate, human thyroid tissue, LoVo cell lysate, U-2 OS cell lysate, K-562 cell lysate, Jurkat cell lysate, HL-60 cell lysate, RAW264.7 cell lysate, mouse spleen tissue lysate, mouse epididymis tissue, mouse placenta tissue lysate, rat brain tissue lysate, human liver tissue lysate, human liver tissue, human placenta tissue.
Subcellular location: Endoplasmic reticulum, Golgi apparatus.
Recommended Dilutions:
  WB
  IHC-P
  IF-Tissue
  IP

1:1,000-1:5,000
1:1,000
1:200
1-2μg/sample
Uniprot #: SwissProt: Q14697 Human | Q8BHN3 Mouse | D3ZAN3 Rat
Alternative names: Alpha glucosidase II alpha subunit Alpha-glucosidase 2 G2AN GANAB GANAB_HUMAN Glu II Glucosidase alpha neutral AB Glucosidase II alpha Glucosidase II subunit alpha GluII KIAA0088 Neutral alpha glucosidase AB Neutral alpha glucosidase AB precursor Neutral alpha-glucosidase AB
Images
HA750728_1.jpg Fig1: Western blot analysis of GANAB on different lysates with Rabbit anti-GANAB antibody (HA750728) at 1/5,000 dilution and competitor's antibody at 1/1,000 dilution.

Lane 1: HeLa cell lysate
Lane 2: HepG2 cell lysate
Lane 3: HEK-293 cell lysate
Lane 4: Raji cell lysate
Lane 5: NIH/3T3 cell lysate
Lane 6: C2C12 cell lysate
Lane 7: PC-12 cell lysate

Lysates/proteins at 15 µg/Lane.

Predicted band size: 107 kDa
Observed band size: 107 kDa

Exposure time: 1 minute 21 seconds; ECL: K1801;

4-20% SDS-PAGE gel.

Proteins were transferred to a PVDF membrane and blocked with 5% NFDM/TBST for 1 hour at room temperature. The primary antibody (HA750728) at 1/5,000 dilution and competitor's antibody at 1/1,000 dilution were used in 5% NFDM/TBST at 4℃ overnight. Goat Anti-Rabbit IgG - HRP Secondary Antibody (HA1001) at 1/50,000 dilution was used for 1 hour at room temperature.
HA750728_2.jpg Fig2: Immunofluorescence analysis of paraffin-embedded human thyroid tissue labeling GANAB with Rabbit anti-GANAB antibody (HA750728) at 1/200 dilution.

The section was pre-treated using heat mediated antigen retrieval with Tris-EDTA buffer (pH 9.0) for 20 minutes. The tissues were blocked in 10% negative goat serum for 1 hour at room temperature, washed with PBS, and then probed with the primary antibody (HA750728, green) at 1/200 dilution overnight at 4 ℃, washed with PBS. Goat Anti-Rabbit IgG H&L (iFluor™ 488, HA1121) was used as the secondary antibody at 1/1,000 dilution. Nuclei were counterstained with DAPI (blue).
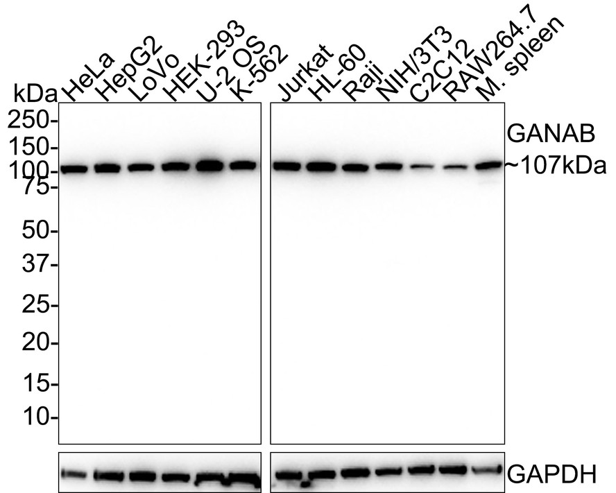
HA750728_3.jpg Fig3: Western blot analysis of GANAB on different lysates with Rabbit anti-GANAB antibody (HA750728) at 1/1,000 dilution.

Lane 1: HeLa cell lysate (20 µg/Lane)
Lane 2: HepG2 cell lysate (20 µg/Lane)
Lane 3: LoVo cell lysate (20 µg/Lane)
Lane 4: HEK-293 cell lysate (20 µg/Lane)
Lane 5: U-2 OS cell lysate (20 µg/Lane)
Lane 6: K-562 cell lysate (20 µg/Lane)
Lane 7: Jurkat cell lysate (20 µg/Lane)
Lane 8: HL-60 cell lysate (20 µg/Lane)
Lane 9: Raji cell lysate (20 µg/Lane)
Lane 10: NIH/3T3 cell lysate (20 µg/Lane)
Lane 11: C2C12 cell lysate (20 µg/Lane)
Lane 12: RAW264.7 cell lysate (20 µg/Lane)
Lane 13: Mouse spleen tissue lysate (40 µg/Lane)

Predicted band size: 107 kDa
Observed band size: 107 kDa

Exposure time: 1 minute 2 seconds; ECL: K1801;

4-20% SDS-PAGE gel.

Proteins were transferred to a PVDF membrane and blocked with 5% NFDM/TBST for 1 hour at room temperature. The primary antibody (HA750728) at 1/1,000 dilution was used in 5% NFDM/TBST at room temperature for 2 hours. Goat Anti-Rabbit IgG - HRP Secondary Antibody (HA1001) at 1/50,000 dilution was used for 1 hour at room temperature.
HA750728_4.jpg Fig4: Immunofluorescence analysis of paraffin-embedded mouse epididymis tissue labeling GANAB with Rabbit anti-GANAB antibody (HA750728) at 1/200 dilution.

The section was pre-treated using heat mediated antigen retrieval with Tris-EDTA buffer (pH 9.0) for 20 minutes. The tissues were blocked in 10% negative goat serum for 1 hour at room temperature, washed with PBS, and then probed with the primary antibody (HA750728, green) at 1/200 dilution overnight at 4 ℃, washed with PBS. Goat Anti-Rabbit IgG H&L (iFluor™ 488, HA1121) was used as the secondary antibody at 1/1,000 dilution. Nuclei were counterstained with DAPI (blue).
HA750728_5.jpg Fig5: Western blot analysis of GANAB on different lysates with Rabbit anti-GANAB antibody (HA750728) at 1/1,000 dilution.

Lane 1: PC-12 cell lysate (20 µg/Lane)
Lane 2: Mouse placenta tissue lysate (40 µg/Lane)
Lane 3: Rat brain tissue lysate (40 µg/Lane)
Lane 4: Human liver tissue lysate (40 µg/Lane)

Predicted band size: 107 kDa
Observed band size: 107 kDa

Exposure time: 3 minutes 10 seconds; ECL: K1801;

4-20% SDS-PAGE gel.

Proteins were transferred to a PVDF membrane and blocked with 5% NFDM/TBST for 1 hour at room temperature. The primary antibody (HA750728) at 1/1,000 dilution was used in 5% NFDM/TBST at room temperature for 2 hours. Goat Anti-Rabbit IgG - HRP Secondary Antibody (HA1001) at 1/50,000 dilution was used for 1 hour at room temperature.
HA750728_6.jpg Fig6: Western blot analysis of GANAB on different lysates with Rabbit anti-GANAB antibody (HA750728) at 1/5,000 dilution.

Lane 1: HeLa-si NT cell lysate
Lane 2: HeLa-si GANAB cell lysate

Lysates/proteins at 10 µg/Lane.

Predicted band size: 107 kDa
Observed band size: 107 kDa

Exposure time: 3 seconds; ECL: K1801;

4-20% SDS-PAGE gel.

Proteins were transferred to a PVDF membrane and blocked with 5% NFDM/TBST for 1 hour at room temperature. The primary antibody (HA750728) at 1/5,000 dilution was used in 5% NFDM/TBST at 4℃ overnight. Goat Anti-Rabbit IgG - HRP Secondary Antibody (HA1001) at 1/50,000 dilution was used for 1 hour at room temperature.
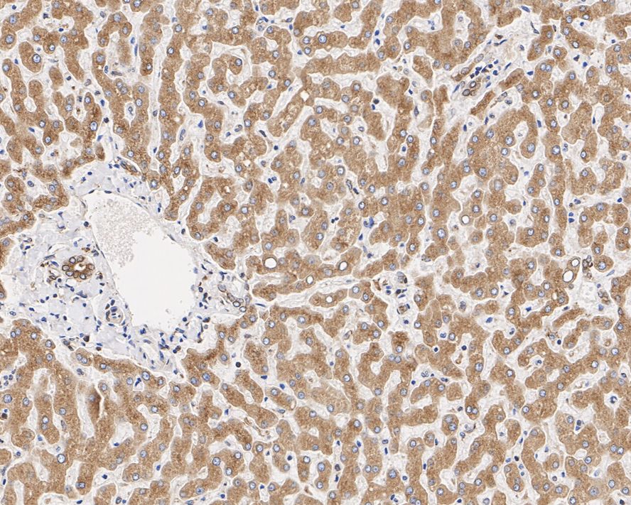
HA750728_7.jpg Fig7: Immunohistochemical analysis of paraffin-embedded human liver tissue with Rabbit anti-GANAB antibody (HA750728) at 1/1,000 dilution.

The section was pre-treated using heat mediated antigen retrieval with Tris-EDTA buffer (pH 9.0) for 20 minutes. The tissues were blocked in 1% BSA for 20 minutes at room temperature, washed with ddH2O and PBS, and then probed with the primary antibody (HA750728) at 1/1,000 dilution for 1 hour at room temperature. The detection was performed using an HRP conjugated compact polymer system. DAB was used as the chromogen. Tissues were counterstained with hematoxylin and mounted with DPX.
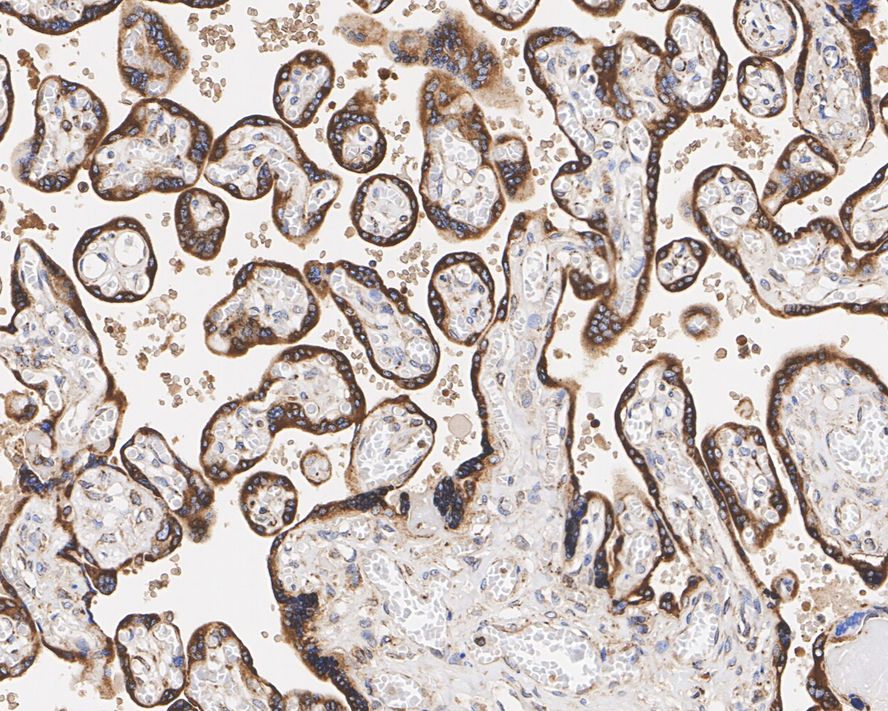
HA750728_8.jpg Fig8: Immunohistochemical analysis of paraffin-embedded human placenta tissue with Rabbit anti-GANAB antibody (HA750728) at 1/1,000 dilution.

The section was pre-treated using heat mediated antigen retrieval with Tris-EDTA buffer (pH 9.0) for 20 minutes. The tissues were blocked in 1% BSA for 20 minutes at room temperature, washed with ddH2O and PBS, and then probed with the primary antibody (HA750728) at 1/1,000 dilution for 1 hour at room temperature. The detection was performed using an HRP conjugated compact polymer system. DAB was used as the chromogen. Tissues were counterstained with hematoxylin and mounted with DPX.
HA750728_9.jpg Fig9: Immunohistochemical analysis of paraffin-embedded human thyroid tissue with Rabbit anti-GANAB antibody (HA750728) at 1/1,000 dilution.

The section was pre-treated using heat mediated antigen retrieval with Tris-EDTA buffer (pH 9.0) for 20 minutes. The tissues were blocked in 1% BSA for 20 minutes at room temperature, washed with ddH2O and PBS, and then probed with the primary antibody (HA750728) at 1/1,000 dilution for 1 hour at room temperature. The detection was performed using an HRP conjugated compact polymer system. DAB was used as the chromogen. Tissues were counterstained with hematoxylin and mounted with DPX.
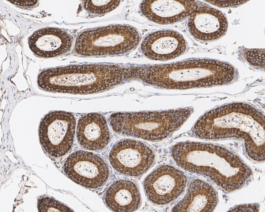
HA750728_10.jpg Fig10: Immunohistochemical analysis of paraffin-embedded mouse epididymis tissue with Rabbit anti-GANAB antibody (HA750728) at 1/1,000 dilution.

The section was pre-treated using heat mediated antigen retrieval with Tris-EDTA buffer (pH 9.0) for 20 minutes. The tissues were blocked in 1% BSA for 20 minutes at room temperature, washed with ddH2O and PBS, and then probed with the primary antibody (HA750728) at 1/1,000 dilution for 1 hour at room temperature. The detection was performed using an HRP conjugated compact polymer system. DAB was used as the chromogen. Tissues were counterstained with hematoxylin and mounted with DPX.
HA750728_11.jpg Fig11: GANAB was immunoprecipitated in 0.2mg HeLa cell lysate with HA750728 at 2 µg/10 µl beads. Western blot was performed from the immunoprecipitate using HA750728 at 1/1,000 dilution. Anti-Rabbit IgG for IP Nano-secondary antibody (NBI01H) at 1/5,000 dilution was used for 1 hour at room temperature.

Lane 1: HeLa cell lysate (input)
Lane 2: Rabbit IgG instead of HA750728 in HeLa cell lysate
Lane 3: HA750728 IP in HeLa cell lysate

Blocking/Dilution buffer: 5% NFDM/TBST
Exposure time: 1 minute 21 seconds; ECL: K1801
Note: All products are “FOR RESEARCH USE ONLY AND ARE NOT INTENDED FOR DIAGNOSTIC OR THERAPEUTIC USE”.