GANAB Recombinant Rabbit Monoclonal Antibody [PSH01-53]
cat.: HA750729
Product Type: Recombinant Rabbit monoclonal IgG, primary antibodies
Species reactivity: Human
Applications: WB, IHC-P, IF-Tissue
Clonality: Monoclonal
Clone number: PSH01-53
Form: Liquid
Storage condition: Store at +4℃ after thawing. Aliquot store at -20℃. Avoid repeated freeze / thaw cycles.
Storage buffer: 1*PBS (pH7.4).
Concentration: 1ug/ul
Purification: Protein A affinity purified.
Molecular weight: Predicted band size: 107 kDa
Isotype: IgG
Immunogen: Recombinant protein within human GANAB aa 29-450.
Positive control: HeLa cell lysate, HepG2 cell lysate, LoVo cell lysate, HEK-293 cell lysate, U-2 OS cell lysate, K-562 cell lysate, Jurkat cell lysate, HL-60 cell lysate, Raji cell lysate, human thyroid tissue, human liver tissue, human placenta tissue.
Subcellular location: Endoplasmic reticulum, Golgi apparatus.
Recommended Dilutions:
  WB
  IHC-P
  IF-Tissue

1:1,000
1:1,000
1:200
Uniprot #: SwissProt: Q14697 Human
Alternative names: Alpha glucosidase II alpha subunit Alpha-glucosidase 2 G2AN GANAB GANAB_HUMAN Glu II Glucosidase alpha neutral AB Glucosidase II alpha Glucosidase II subunit alpha GluII KIAA0088 Neutral alpha glucosidase AB Neutral alpha glucosidase AB precursor Neutral alpha-glucosidase AB
Images
HA750729_1.jpg Fig1: Western blot analysis of GANAB on different lysates with Rabbit anti-GANAB antibody (HA750729) at 1/1,000 dilution.

Lane 1: HeLa cell lysate (20 µg/Lane)
Lane 2: HepG2 cell lysate (20 µg/Lane)
Lane 3: LoVo cell lysate (20 µg/Lane)
Lane 4: HEK-293 cell lysate (20 µg/Lane)
Lane 5: U-2 OS cell lysate (20 µg/Lane)
Lane 6: K-562 cell lysate (20 µg/Lane)
Lane 7: Jurkat cell lysate (20 µg/Lane)
Lane 8: HL-60 cell lysate (20 µg/Lane)
Lane 9: Raji cell lysate (20 µg/Lane)

Predicted band size: 107 kDa
Observed band size: 107 kDa

Exposure time: 1 minute 2 seconds; ECL: K1801;

4-20% SDS-PAGE gel.

Proteins were transferred to a PVDF membrane and blocked with 5% NFDM/TBST for 1 hour at room temperature. The primary antibody (HA750729) at 1/1,000 dilution was used in 5% NFDM/TBST at room temperature for 2 hours. Goat Anti-Rabbit IgG - HRP Secondary Antibody (HA1001) at 1/50,000 dilution was used for 1 hour at room temperature.
HA750729_2.jpg Fig2: Immunofluorescence analysis of paraffin-embedded human thyroid tissue labeling GANAB with Rabbit anti-GANAB antibody (HA750729) at 1/200 dilution.

The section was pre-treated using heat mediated antigen retrieval with Tris-EDTA buffer (pH 9.0) for 20 minutes. The tissues were blocked in 10% negative goat serum for 1 hour at room temperature, washed with PBS, and then probed with the primary antibody (HA750729, green) at 1/200 dilution overnight at 4 ℃, washed with PBS. Goat Anti-Rabbit IgG H&L (iFluor™ 488, HA1121) was used as the secondary antibody at 1/1,000 dilution. Nuclei were counterstained with DAPI (blue).
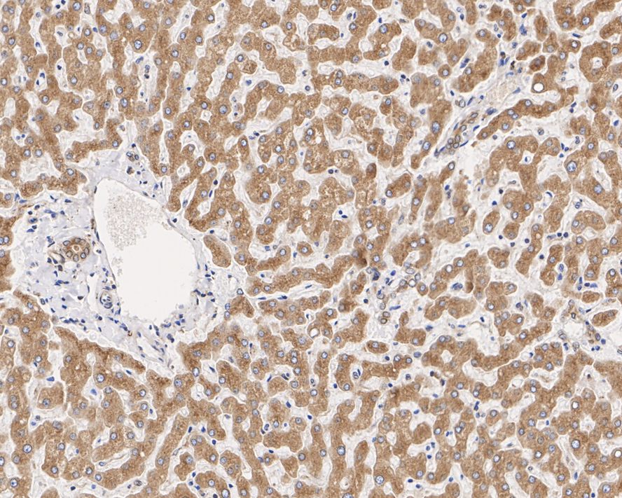
HA750729_3.jpg Fig3: Immunohistochemical analysis of paraffin-embedded human liver tissue with Rabbit anti-GANAB antibody (HA750729) at 1/1,000 dilution.

The section was pre-treated using heat mediated antigen retrieval with Tris-EDTA buffer (pH 9.0) for 20 minutes. The tissues were blocked in 1% BSA for 20 minutes at room temperature, washed with ddH2O and PBS, and then probed with the primary antibody (HA750729) at 1/1,000 dilution for 1 hour at room temperature. The detection was performed using an HRP conjugated compact polymer system. DAB was used as the chromogen. Tissues were counterstained with hematoxylin and mounted with DPX.
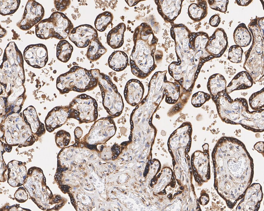
HA750729_4.jpg Fig4: Immunohistochemical analysis of paraffin-embedded human placenta tissue with Rabbit anti-GANAB antibody (HA750729) at 1/1,000 dilution.

The section was pre-treated using heat mediated antigen retrieval with Tris-EDTA buffer (pH 9.0) for 20 minutes. The tissues were blocked in 1% BSA for 20 minutes at room temperature, washed with ddH2O and PBS, and then probed with the primary antibody (HA750729) at 1/1,000 dilution for 1 hour at room temperature. The detection was performed using an HRP conjugated compact polymer system. DAB was used as the chromogen. Tissues were counterstained with hematoxylin and mounted with DPX.
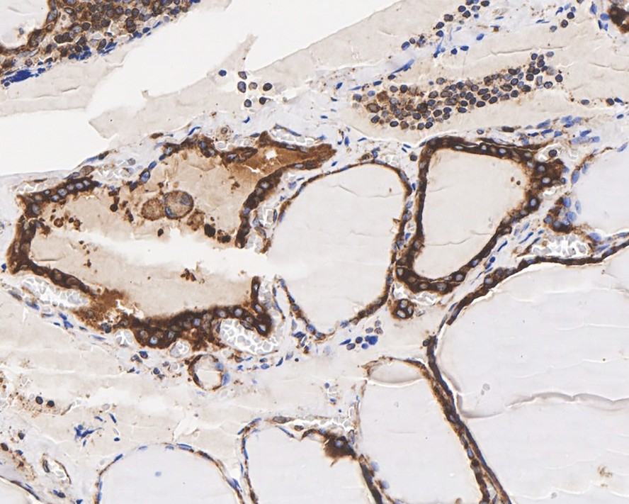
HA750729_5.jpg Fig5: Immunohistochemical analysis of paraffin-embedded human thyroid tissue with Rabbit anti-GANAB antibody (HA750729) at 1/1,000 dilution.

The section was pre-treated using heat mediated antigen retrieval with Tris-EDTA buffer (pH 9.0) for 20 minutes. The tissues were blocked in 1% BSA for 20 minutes at room temperature, washed with ddH2O and PBS, and then probed with the primary antibody (HA750729) at 1/1,000 dilution for 1 hour at room temperature. The detection was performed using an HRP conjugated compact polymer system. DAB was used as the chromogen. Tissues were counterstained with hematoxylin and mounted with DPX.
Note: All products are “FOR RESEARCH USE ONLY AND ARE NOT INTENDED FOR DIAGNOSTIC OR THERAPEUTIC USE”.