CGBP Recombinant Rabbit Monoclonal Antibody [PSH01-54]
cat.: HA750730
Product Type: Recombinant Rabbit monoclonal IgG, primary antibodies
Species reactivity: Human, Mouse, Rat
Applications: WB, IHC-P
Clonality: Monoclonal
Clone number: PSH01-54
Form: Liquid
Storage condition: Store at +4℃ after thawing. Aliquot store at -20℃. Avoid repeated freeze / thaw cycles.
Storage buffer: 1*PBS (pH7.4).
Concentration: 1ug/ul
Purification: Protein A affinity purified.
Molecular weight: Predicted band size: 76 kDa
Isotype: IgG
Immunogen: Recombinant protein within Human CGBP aa 300-656.
Subcellular location: Nucleus.
Recommended Dilutions:
  WB
  IHC-P

1:1,000
1:200
Uniprot #: SwissProt: Q9P0U4 Human | Q9CWW7 Mouse
Entrez Gene: 291440 Rat
Alternative names: 2410002I16Rik 5830420C16Rik AI426635 CFP 1 CFP1 CpG binding protein CpG-binding protein CXXC 1 CXXC finger 1 CXXC finger 1 PHD domain CXXC finger protein 1 CXXC type zinc finger protein 1 CXXC-type zinc finger protein 1 CXXC1 CXXC1_HUMAN DNA binding protein with PHD finger and CXXC domain hCGBP HsT2645 PCCX 1 PCCX1 PHD finger and CXXC domain containing protein 1 PHD finger and CXXC domain-containing protein 1 PHF 18 PHF18 Protein containing CXXC domain 1 SPP 1 SPP1 ZCGPC 1 ZCGPC1 Zinc finger, CpG binding type containing 1
Images
HA750730_1.jpg Fig1: Western blot analysis of CGBP on different lysates with Rabbit anti-CGBP antibody (HA750730) at 1/1,000 dilution.

Lane 1: HepG2 cell lysate (20 µg/Lane)
Lane 2: NIH/3T3 cell lysate (20 µg/Lane)
Lane 3: K-562 cell lysate (20 µg/Lane)
Lane 4: MCF7 cell lysate (20 µg/Lane)
Lane 5: RAW264.7 cell lysate (20 µg/Lane)
Lane 6: Mouse brain tissue lysate (40 µg/Lane)
Lane 7: L6 cell lysate (20 µg/Lane)
Lane 8: PC-12 cell lysate (20 µg/Lane)

Predicted band size: 76 kDa
Observed band size: 76 kDa

Exposure time: 5 minutes 10 seconds;

4-20% SDS-PAGE gel.

Proteins were transferred to a PVDF membrane and blocked with 5% NFDM/TBST for 1 hour at room temperature. The primary antibody (HA750730) at 1/1,000 dilution was used in 5% NFDM/TBST at 4℃ overnight. Goat Anti-Rabbit IgG - HRP Secondary Antibody (HA1001) at 1/50,000 dilution was used for 1 hour at room temperature.
HA750730_2.jpg Fig2: Immunohistochemical analysis of paraffin-embedded human breast tissue with Rabbit anti-CGBP antibody (HA750730) at 1/200 dilution.

The section was pre-treated using heat mediated antigen retrieval with sodium citrate buffer (pH 6.0) (high pressure) for 2 minutes. The tissues were blocked in 1% BSA for 20 minutes at room temperature, washed with ddH2O and PBS, and then probed with the primary antibody (HA750730) at 1/200 dilution for 1 hour at room temperature. The detection was performed using an HRP conjugated compact polymer system. DAB was used as the chromogen. Tissues were counterstained with hematoxylin and mounted with DPX.
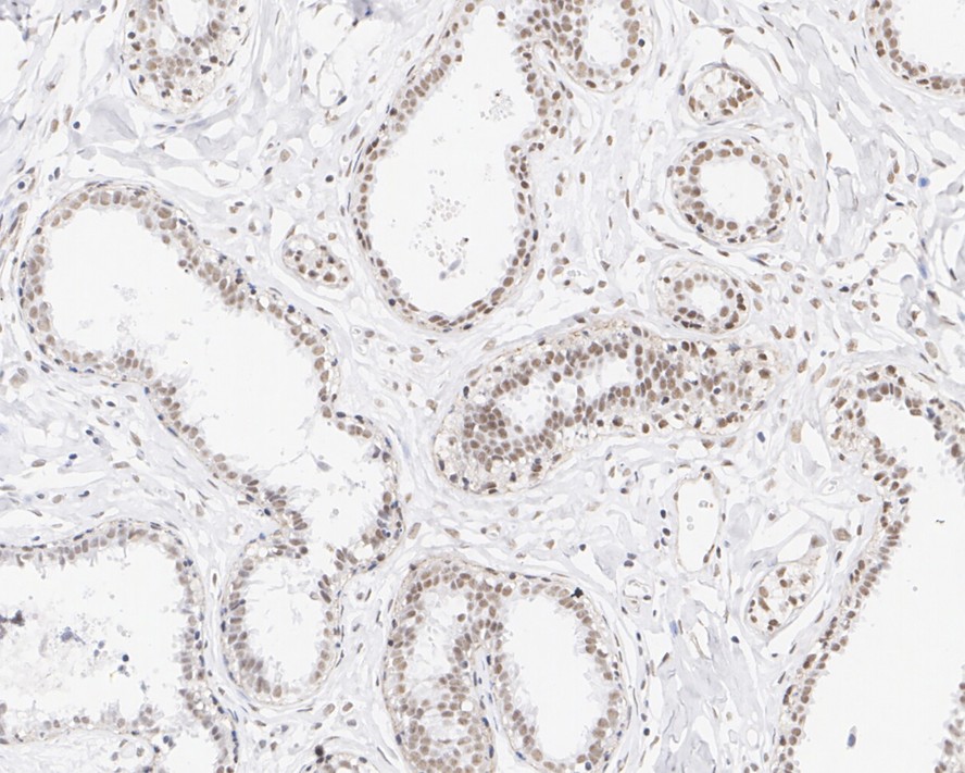
HA750730_3.jpg Fig3: Immunohistochemical analysis of paraffin-embedded human testis tissue with Rabbit anti-CGBP antibody (HA750730) at 1/200 dilution.

The section was pre-treated using heat mediated antigen retrieval with sodium citrate buffer (pH 6.0) (high pressure) for 2 minutes. The tissues were blocked in 1% BSA for 20 minutes at room temperature, washed with ddH2O and PBS, and then probed with the primary antibody (HA750730) at 1/200 dilution for 1 hour at room temperature. The detection was performed using an HRP conjugated compact polymer system. DAB was used as the chromogen. Tissues were counterstained with hematoxylin and mounted with DPX.
HA750730_4.jpg Fig4: Immunohistochemical analysis of paraffin-embedded mouse brain tissue with Rabbit anti-CGBP antibody (HA750730) at 1/200 dilution.

The section was pre-treated using heat mediated antigen retrieval with sodium citrate buffer (pH 6.0) (high pressure) for 2 minutes. The tissues were blocked in 1% BSA for 20 minutes at room temperature, washed with ddH2O and PBS, and then probed with the primary antibody (HA750730) at 1/200 dilution for 1 hour at room temperature. The detection was performed using an HRP conjugated compact polymer system. DAB was used as the chromogen. Tissues were counterstained with hematoxylin and mounted with DPX.
HA750730_5.jpg Fig5: Immunohistochemical analysis of paraffin-embedded rat brain tissue with Rabbit anti-CGBP antibody (HA750730) at 1/200 dilution.

The section was pre-treated using heat mediated antigen retrieval with sodium citrate buffer (pH 6.0) (high pressure) for 2 minutes. The tissues were blocked in 1% BSA for 20 minutes at room temperature, washed with ddH2O and PBS, and then probed with the primary antibody (HA750730) at 1/200 dilution for 1 hour at room temperature. The detection was performed using an HRP conjugated compact polymer system. DAB was used as the chromogen. Tissues were counterstained with hematoxylin and mounted with DPX.
HA750730_6.jpg Fig6: Immunohistochemical analysis of paraffin-embedded rat hippocampus tissue with Rabbit anti-CGBP antibody (HA750730) at 1/200 dilution.

The section was pre-treated using heat mediated antigen retrieval with sodium citrate buffer (pH 6.0) (high pressure) for 2 minutes. The tissues were blocked in 1% BSA for 20 minutes at room temperature, washed with ddH2O and PBS, and then probed with the primary antibody (HA750730) at 1/200 dilution for 1 hour at room temperature. The detection was performed using an HRP conjugated compact polymer system. DAB was used as the chromogen. Tissues were counterstained with hematoxylin and mounted with DPX.
Note: All products are “FOR RESEARCH USE ONLY AND ARE NOT INTENDED FOR DIAGNOSTIC OR THERAPEUTIC USE”.