PCB Recombinant Rabbit Monoclonal Antibody [PSH01-56]
cat.: HA750732
Product Type: Recombinant Rabbit monoclonal IgG, primary antibodies
Species reactivity: Human, Mouse, Rat
Applications: WB, IHC-P, IF-Cell, FC
Clonality: Monoclonal
Clone number: PSH01-56
Form: Liquid
Storage condition: Store at +4℃ after thawing. Aliquot store at -20℃. Avoid repeated freeze / thaw cycles.
Storage buffer: 1*PBS (pH7.4).
Concentration: 1ug/ul
Purification: Protein A affinity purified.
Molecular weight: Predicted band size: 130 kDa
Isotype: IgG
Immunogen: Recombinant protein within Human PCB aa 450-1178.
Positive control: HepG2 cell lysate, Huh7 cell lysate, HeLa cell lysate, PC-12 cell lysate, Mouse kidney tissue lysate, Mouse liver node tissue lysate, Mouse lymph node tissue lysate, Rat liver tissue lysate, Rat brain tissue lysate, human liver tissue, mouse liver tissue, mouse lymph node tissue, rat liver tissue, PC-12.
Subcellular location: Mitochondrion matrix.
Recommended Dilutions:
  WB
  IHC-P
  IF-Cell
  FC

1:1,000
1:200-1:1,000
1:250
1:1,000
Uniprot #: SwissProt: P11498 Human | Q05920 Mouse | P52873 Rat
Alternative names: mitochondrial OTTHUMP00000235155 OTTHUMP00000235156 PC PCB Pcx PYC_HUMAN Pyruvate carboxylase Pyruvate carboxylase mitochondrial Pyruvic carboxylase
Images
HA750732_1.jpg Fig1: Western blot analysis of PCB on different lysates with Rabbit anti-PCB antibody (HA750732) at 1/1,000 dilution.

Lane 1: HepG2 cell lysate
Lane 2: Huh7 cell lysate
Lane 3: HeLa cell lysate
Lane 4: PC-12 cell lysate
Lane 5: Mouse kidney tissue lysate
Lane 6: Mouse liver node tissue lysate
Lane 7: Mouse lymph node tissue lysate
Lane 8: Rat liver tissue lysate
Lane 9: Rat brain tissue lysate

Lysates/proteins at 30 µg/Lane.

Predicted band size: 130 kDa
Observed band size: 130 kDa

Exposure time: 24 seconds; ECL: K1801;

4-20% SDS-PAGE gel.

Proteins were transferred to a PVDF membrane and blocked with 5% NFDM/TBST for 1 hour at room temperature. The primary antibody (HA750732) at 1/1,000 dilution was used in 5% NFDM/TBST at room temperature for 2 hours. Goat Anti-Rabbit IgG - HRP Secondary Antibody (HA1001) at 1/50,000 dilution was used for 1 hour at room temperature.
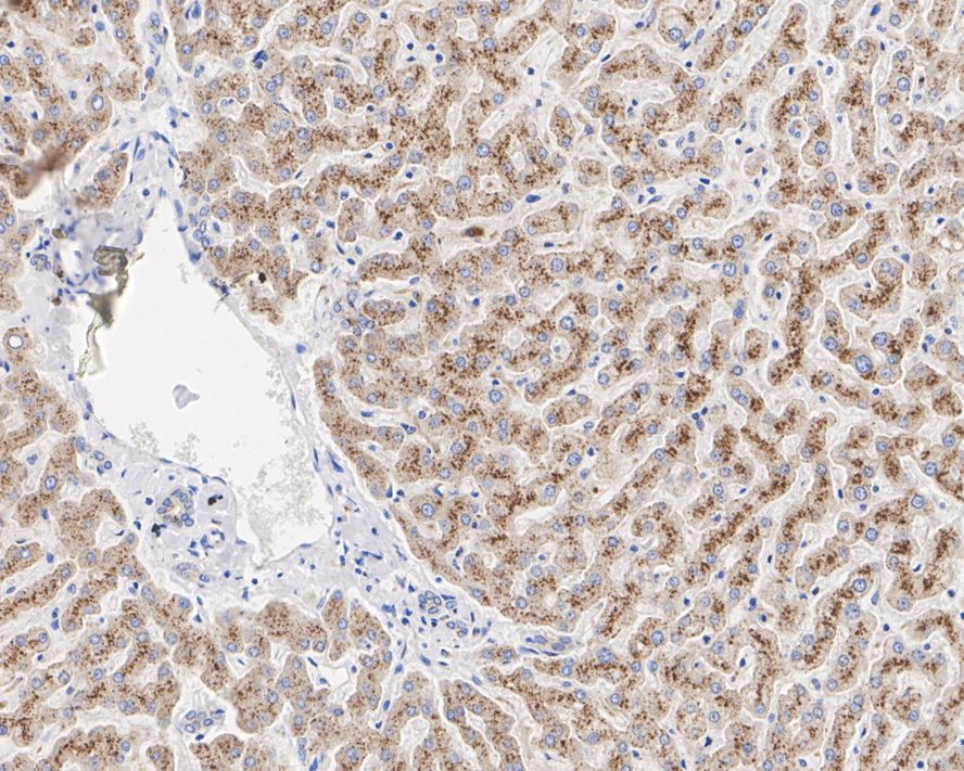
HA750732_2.jpg Fig2: Immunohistochemical analysis of paraffin-embedded human liver tissue with Rabbit anti-PCB antibody (HA750732) at 1/1,000 dilution.

The section was pre-treated using heat mediated antigen retrieval with Tris-EDTA buffer (pH 9.0) for 20 minutes. The tissues were blocked in 1% BSA for 20 minutes at room temperature, washed with ddH2O and PBS, and then probed with the primary antibody (HA721699) at 1/1,000 dilution for 1 hour at room temperature. The detection was performed using an HRP conjugated compact polymer system. DAB was used as the chromogen. Tissues were counterstained with hematoxylin and mounted with DPX.
HA750732_3.jpg Fig3: Immunohistochemical analysis of paraffin-embedded mouse liver tissue with Rabbit anti- PCB antibody (HA750732) at 1/1,000 dilution.

The section was pre-treated using heat mediated antigen retrieval with Tris-EDTA buffer (pH 9.0) for 20 minutes. The tissues were blocked in 1% BSA for 20 minutes at room temperature, washed with ddH2O and PBS, and then probed with the primary antibody (HA721699) at 1/1,000 dilution for 1 hour at room temperature. The detection was performed using an HRP conjugated compact polymer system. DAB was used as the chromogen. Tissues were counterstained with hematoxylin and mounted with DPX.
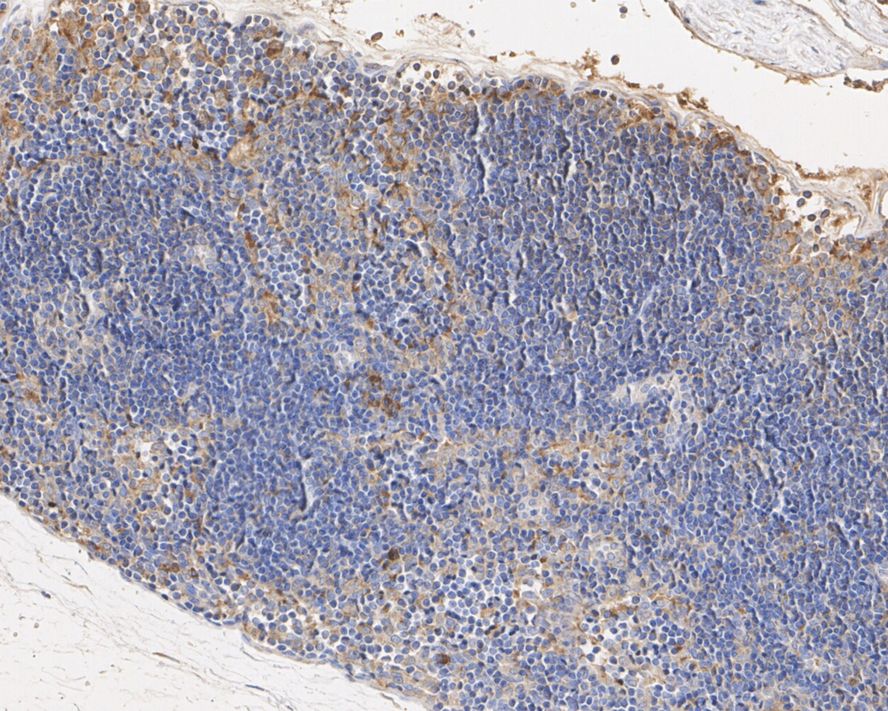
HA750732_4.jpg Fig4: Immunohistochemical analysis of paraffin-embedded mouse lymph node tissue with Rabbit anti-PBC antibody (HA750732) at 1/200 dilution.

The section was pre-treated using heat mediated antigen retrieval with Tris-EDTA buffer (pH 9.0) for 20 minutes. The tissues were blocked in 1% BSA for 20 minutes at room temperature, washed with ddH2O and PBS, and then probed with the primary antibody (HA721699) at 1/200 dilution for 1 hour at room temperature. The detection was performed using an HRP conjugated compact polymer system. DAB was used as the chromogen. Tissues were counterstained with hematoxylin and mounted with DPX.
HA750732_5.jpg Fig5: Immunohistochemical analysis of paraffin-embedded rat liver tissue with Rabbit anti-PBC antibody (HA750732) at 1/1,000 dilution.

The section was pre-treated using heat mediated antigen retrieval with Tris-EDTA buffer (pH 9.0) for 20 minutes. The tissues were blocked in 1% BSA for 20 minutes at room temperature, washed with ddH2O and PBS, and then probed with the primary antibody (HA721699) at 1/1,000 dilution for 1 hour at room temperature. The detection was performed using an HRP conjugated compact polymer system. DAB was used as the chromogen. Tissues were counterstained with hematoxylin and mounted with DPX.
HA750732_6.jpg Fig6: Immunocytochemistry analysis of PC-12 cells labeling PBC with Rabbit anti-PCB antibody (HA750732) at 1/250 dilution.

Cells were fixed in 4% paraformaldehyde for 20 minutes at room temperature, permeabilized with 0.1% Triton X-100 in PBS for 5 minutes at room temperature, then blocked with 1% BSA in 10% negative goat serum for 1 hour at room temperature. Cells were then incubated with Rabbit anti-PCB antibody (HA721699) at 1/250 dilution in 1% BSA in PBST overnight at 4 ℃. Goat Anti-Rabbit IgG H&L (iFluor™ 488, HA1121) was used as the secondary antibody at 1/1,000 dilution. PBS instead of the primary antibody was used as the secondary antibody only control. Nuclear DNA was labelled in blue with DAPI.

Beta tubulin (M1305-2, red) was stained at 1/100 dilution overnight at +4℃. Goat Anti-Mouse IgG H&L (iFluor™ 594, HA1126) was used as the secondary antibody at 1/1,000 dilution.
HA750732_7.jpg Fig7: Flow cytometric analysis of PC-12 cells labeling PBC.

Cells were fixed and permeabilized. Then stained with the primary antibody (HA750732, 1/1,000) (red) compared with Rabbit IgG Isotype Control (green). After incubation of the primary antibody at +4℃ for an hour, the cells were stained with a iFluor™ 488 conjugate-Goat anti-Rabbit IgG Secondary antibody (HA1121) at 1/1,000 dilution for 30 minutes at +4℃. Unlabelled sample was used as a control (cells without incubation with primary antibody; black).
Note: All products are “FOR RESEARCH USE ONLY AND ARE NOT INTENDED FOR DIAGNOSTIC OR THERAPEUTIC USE”.