PSMB10 Recombinant Rabbit Monoclonal Antibody [PSH01-58]
cat.: HA750734
Product Type: Recombinant Rabbit monoclonal IgG, primary antibodies
Species reactivity: Human, Mouse
Applications: WB, IHC-P
Clonality: Monoclonal
Clone number: PSH01-58
Form: Liquid
Storage condition: Store at +4℃ after thawing. Aliquot store at -20℃. Avoid repeated freeze / thaw cycles.
Storage buffer: 1*PBS (pH7.4).
Concentration: 1ug/ul
Purification: Protein A affinity purified.
Molecular weight: Predicted band size: 29 kDa
Isotype: IgG
Immunogen: Recombinant protein within human PSMB10 aa 1-273.
Positive control: HeLa treated with 100ng/mL IFN-γ for 48 hours cell lysate, HeLa cell lysate, Daudi cell lysate, Raji cell lysate, THP-1 cell lysate, Ramos cell lysate, U-937 cell lysate, HL-60 cell lysate, Jurkat cell lysate, SiHa cell lysate, mouse spleen tissue lysate, mouse thymus tissue lysate, human lung tissue.
Subcellular location: Cytoplasm, Nucleus.
Recommended Dilutions:
  WB
  IHC-P

1:1,000
1:1,000
Uniprot #: SwissProt: P40306 Human | O35955 Mouse
Alternative names: beta2i FLJ00366 LMP10 Low molecular mass protein 10 Macropain subunit MECl 1 Macropain subunit MECl-1 MECL1 MGC1665 Multicatalytic endopeptidase complex subunit MECl 1 Multicatalytic endopeptidase complex subunit MECl-1 OTTHUMP00000174858 Proteasome (prosome macropain) subunit beta type 10 Proteasome beta 10 subunit Proteasome catalytic subunit 2i Proteasome MECl 1 Proteasome MECl-1 Proteasome subunit beta 2i Proteasome subunit beta 7i Proteasome subunit beta type 10 Proteasome subunit beta type-10 Proteasome subunit beta-2i Proteasome subunit MECL1 PSB10_HUMAN PSMB 10 Psmb10
Images
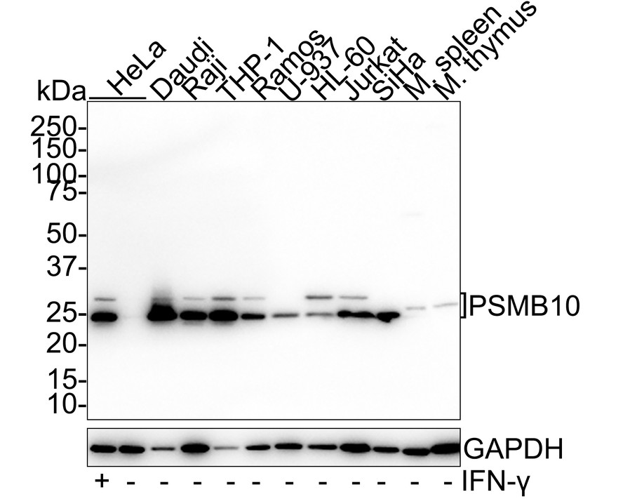
HA750734_1.jpg Fig1: Western blot analysis of PSMB10 on different lysates with Rabbit anti-PSMB10 antibody (HA750734) at 1/1,000 dilution.

Lane 1: HeLa treated with 100ng/mL IFN-γ for 48 hours cell lysate (20 µg/Lane)
Lane 2: HeLa cell lysate (20 µg/Lane)
Lane 3: Daudi cell lysate (20 µg/Lane)
Lane 4: Raji cell lysate (20 µg/Lane)
Lane 5: THP-1 cell lysate (20 µg/Lane)
Lane 6: Ramos cell lysate (20 µg/Lane)
Lane 7: U-937 cell lysate (20 µg/Lane)
Lane 8: HL-60 cell lysate (20 µg/Lane)
Lane 9: Jurkat cell lysate (20 µg/Lane)
Lane 10: SiHa cell lysate (20 µg/Lane)
Lane 11: Mouse spleen tissue lysate (40 µg/Lane)
Lane 12: Mouse thymus tissue lysate (40 µg/Lane)

Predicted band size: 29 kDa
Observed band size: 25/29 kDa

Exposure time: 43 seconds;

4-20% SDS-PAGE gel.

Proteins were transferred to a PVDF membrane and blocked with 5% NFDM/TBST for 1 hour at room temperature. The primary antibody (HA750734) at 1/1,000 dilution was used in 5% NFDM/TBST at room temperature for 2 hours. Goat Anti-Rabbit IgG - HRP Secondary Antibody (HA1001) at 1/50,000 dilution was used for 1 hour at room temperature.
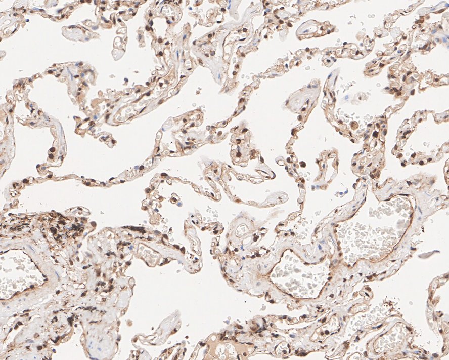
HA750734_2.jpg Fig2: Immunohistochemical analysis of paraffin-embedded human lung tissue with Rabbit anti-PSMB10 antibody (HA750734) at 1/1,000 dilution.

The section was pre-treated using heat mediated antigen retrieval with Tris-EDTA buffer (pH 9.0) for 20 minutes. The tissues were blocked in 1% BSA for 20 minutes at room temperature, washed with ddH2O and PBS, and then probed with the primary antibody (HA750734) at 1/1,000 dilution for 1 hour at room temperature. The detection was performed using an HRP conjugated compact polymer system. DAB was used as the chromogen. Tissues were counterstained with hematoxylin and mounted with DPX.
Note: All products are “FOR RESEARCH USE ONLY AND ARE NOT INTENDED FOR DIAGNOSTIC OR THERAPEUTIC USE”.