KPNB1 Recombinant Rabbit Monoclonal Antibody [PSH01-60]
cat.: HA750736
Product Type: Recombinant Rabbit monoclonal IgG, primary antibodies
Species reactivity: Human, Mouse, Rat
Applications: WB, IHC-P, IF-Tissue, IP
Clonality: Monoclonal
Clone number: PSH01-60
Form: Liquid
Storage condition: Store at +4℃ after thawing. Aliquot store at -20℃. Avoid repeated freeze / thaw cycles.
Storage buffer: 1*PBS (pH7.4).
Concentration: 1ug/ul
Purification: Protein A affinity purified.
Molecular weight: Predicted band size: 97.2 kDa
Isotype: IgG
Immunogen: Recombinant protein within human KPNB1 aa 1-550.
Positive control: HeLa cell lysate, HepG2 cell lysate, A431 cell lysate, A549 cell lysate, Jurkat cell lysate, K-562 cell lysate, Caco-2 cell lysate, NIH/3T3 cell lysate, PC-12 cell lysate, C6 cell lysate, mouse spleen tissue lysate, mouse testis tissue lysate, rat spleen tissue lysate, rat testis tissue lysate, human colon tissue, human kidney tissue, human testis tissue, rat kidney tissue.
Subcellular location: Cytoplasm. Nucleus envelope.
Recommended Dilutions:
  WB
  IHC-P
  IF-Tissue
  IP

1:1,000
1:1,000
1:200
1-2μg/sample
Uniprot #: SwissProt: Q14974 Human | P70168 Mouse | P52296 Rat
Alternative names: IMB 1 IMB1 IMB1_HUMAN Impnb Importin 90 Importin beta 1 Importin beta 1 subunit Importin subunit beta-1 Importin-90 IPOB Karyopherin beta 1 Karyopherin beta 1 subunit Karyopherin subunit beta-1 KPNB 1 Kpnb1 MGC2155 MGC2156 MGC2157 NTF 97 NTF97 NTF97/Importin beta Nuclear factor P97 Pore targeting complex 97 kDa subunit PTAC97
Images
HA750736_1.jpg Fig1: Western blot analysis of KPNB1 on different lysates with Rabbit anti-KPNB1 antibody (HA750736) at 1/1,000 dilution.

Lane 1: HeLa cell lysate (20 µg/Lane)
Lane 2: HepG2 cell lysate (20 µg/Lane)
Lane 3: A431 cell lysate (20 µg/Lane)
Lane 4: A549 cell lysate (20 µg/Lane)
Lane 5: Jurkat cell lysate (20 µg/Lane)
Lane 6: K-562 cell lysate (20 µg/Lane)
Lane 7: Caco-2 cell lysate (20 µg/Lane)
Lane 8: NIH/3T3 cell lysate (20 µg/Lane)
Lane 9: PC-12 cell lysate (20 µg/Lane)
Lane 10: C6 cell lysate (20 µg/Lane)
Lane 11: Mouse spleen tissue lysate (40 µg/Lane)
Lane 12: Mouse testis tissue lysate (40 µg/Lane)
Lane 13: Rat spleen tissue lysate (40 µg/Lane)
Lane 14: Rat testis tissue lysate (40 µg/Lane)

Predicted band size: 97 kDa
Observed band size: 97 kDa

Exposure time: 1 minute;

4-20% SDS-PAGE gel.

Proteins were transferred to a PVDF membrane and blocked with 5% NFDM/TBST for 1 hour at room temperature. The primary antibody (HA750736) at 1/1,000 dilution was used in 5% NFDM/TBST at room temperature for 2 hours. Goat Anti-Rabbit IgG - HRP Secondary Antibody (HA1001) at 1/100,000 dilution was used for 1 hour at room temperature.
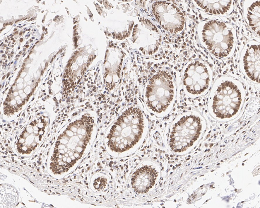
HA750736_2.jpg Fig2: Immunohistochemical analysis of paraffin-embedded human colon tissue with Rabbit anti-KPNB1 antibody (HA750736) at 1/1,000 dilution.

The section was pre-treated using heat mediated antigen retrieval with sodium citrate buffer (pH 6.0) (high pressure) for 2 minutes. The tissues were blocked in 1% BSA for 20 minutes at room temperature, washed with ddH2O and PBS, and then probed with the primary antibody (HA750736) at 1/1,000 dilution for 1 hour at room temperature. The detection was performed using an HRP conjugated compact polymer system. DAB was used as the chromogen. Tissues were counterstained with hematoxylin and mounted with DPX.
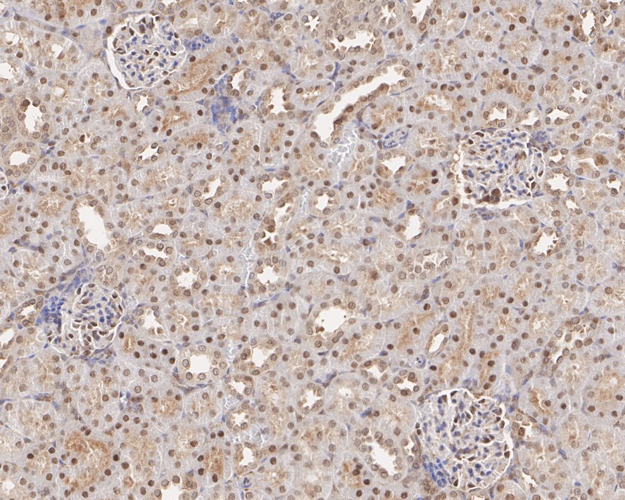
HA750736_3.jpg Fig3: Immunohistochemical analysis of paraffin-embedded human kidney tissue with Rabbit anti-KPNB1 antibody (HA750736) at 1/1,000 dilution.

The section was pre-treated using heat mediated antigen retrieval with sodium citrate buffer (pH 6.0) (high pressure) for 2 minutes. The tissues were blocked in 1% BSA for 20 minutes at room temperature, washed with ddH2O and PBS, and then probed with the primary antibody (HA750736) at 1/1,000 dilution for 1 hour at room temperature. The detection was performed using an HRP conjugated compact polymer system. DAB was used as the chromogen. Tissues were counterstained with hematoxylin and mounted with DPX.
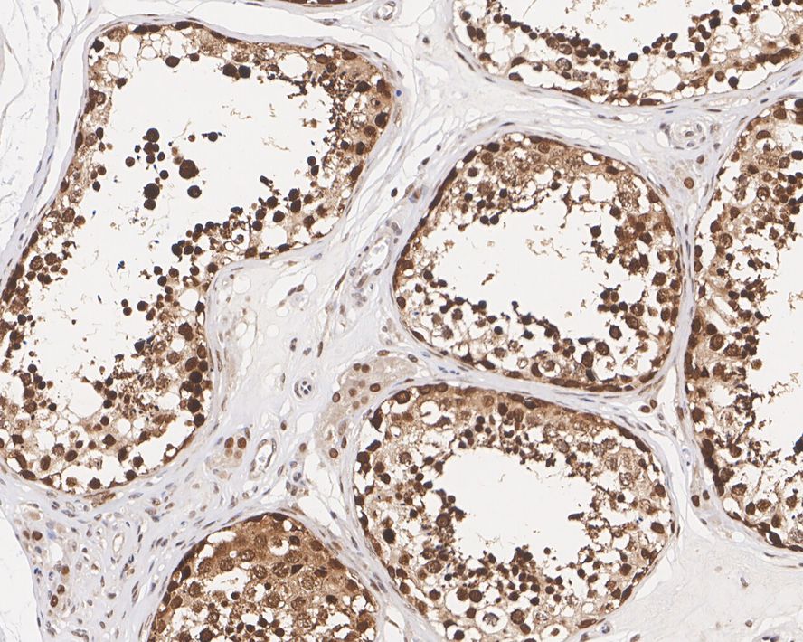
HA750736_4.jpg Fig4: Immunohistochemical analysis of paraffin-embedded human testis tissue with Rabbit anti-KPNB1 antibody (HA750736) at 1/1,000 dilution.

The section was pre-treated using heat mediated antigen retrieval with sodium citrate buffer (pH 6.0) (high pressure) for 2 minutes. The tissues were blocked in 1% BSA for 20 minutes at room temperature, washed with ddH2O and PBS, and then probed with the primary antibody (HA750736) at 1/1,000 dilution for 1 hour at room temperature. The detection was performed using an HRP conjugated compact polymer system. DAB was used as the chromogen. Tissues were counterstained with hematoxylin and mounted with DPX.
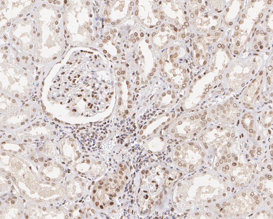
HA750736_5.jpg Fig5: Immunohistochemical analysis of paraffin-embedded rat kidney tissue with Rabbit anti-KPNB1 antibody (HA750736) at 1/1,000 dilution.

The section was pre-treated using heat mediated antigen retrieval with sodium citrate buffer (pH 6.0) (high pressure) for 2 minutes. The tissues were blocked in 1% BSA for 20 minutes at room temperature, washed with ddH2O and PBS, and then probed with the primary antibody (HA750736) at 1/1,000 dilution for 1 hour at room temperature. The detection was performed using an HRP conjugated compact polymer system. DAB was used as the chromogen. Tissues were counterstained with hematoxylin and mounted with DPX.
HA750736_6.jpg Fig6: Immunofluorescence analysis of paraffin-embedded human testis tissue labeling KPNB1 with Rabbit anti-KPNB1 antibody (HA750736) at 1/200 dilution.

The section was pre-treated using heat mediated antigen retrieval with Tris-EDTA buffer (pH 9.0) for 20 minutes. The tissues were blocked in 10% negative goat serum for 1 hour at room temperature, washed with PBS, and then probed with the primary antibody (HA750736, green) at 1/200 dilution overnight at 4 ℃, washed with PBS. Goat Anti-Rabbit IgG H&L (iFluor™ 488, HA1121) was used as the secondary antibody at 1/1,000 dilution. Nuclei were counterstained with DAPI (blue).
HA750736_7.jpg Fig7: KPNB1 was immunoprecipitated in 0.2mg HeLa cell lysate with HA750736 at 2 µg/10 µl beads. Western blot was performed from the immunoprecipitate using HA750736 at 1/1,000 dilution. Anti-Rabbit IgG for IP Nano-secondary antibody (NBI01H) at 1/5,000 dilution was used for 1 hour at room temperature.

Lane 1: HeLa cell lysate (input)
Lane 2: Rabbit IgG instead of HA750736 in HeLa cell lysate
Lane 3: HA750736 IP in HeLa cell lysate

Blocking/Dilution buffer: 5% NFDM/TBST
Exposure time: 24 seconds
Note: All products are “FOR RESEARCH USE ONLY AND ARE NOT INTENDED FOR DIAGNOSTIC OR THERAPEUTIC USE”.