MAVS Recombinant Rabbit Monoclonal Antibody [PSH01-65]
cat.: HA750741
Product Type: Recombinant Rabbit monoclonal IgG, primary antibodies
Species reactivity: Human
Applications: WB, IHC-P, IF-Cell, IF-Tissue
Clonality: Monoclonal
Clone number: PSH01-65
Form: Liquid
Storage condition: Store at +4℃ after thawing. Aliquot store at -20℃. Avoid repeated freeze / thaw cycles.
Storage buffer: 1*PBS (pH7.4).
Concentration: 1ug/ul
Purification: Protein A affinity purified.
Molecular weight: Predicted band size: 56.5 kDa
Isotype: IgG
Immunogen: Synthetic peptide within human MAVS aa 450-504 (Cytoplasmic).
Positive control: MCF7 cell lysate, A431 cell lysate, A549 cell lysate, Jurkat cell lysate, THP-1 cell lysate, HepG2 cell lysate, human colon tissue, human kideny tissue, human endometrium tissue, A431, MCF7.
Subcellular location: Membrane, Mitochondrion, Mitochondrion outer membrane, Peroxisome
Recommended Dilutions:
  WB
  IHC-P
  IF-Cell
  IF-Tissue

1:1,000
1:200-1:1,000
1:100
1:200
Uniprot #: SwissProt: Q7Z434 Human
Alternative names: CARD adapter inducing interferon beta CARD adaptor inducing IFN beta Cardif DKFZp666M015 FLJ27482 FLJ41962 IFN B promoter stimulator 1 Interferon beta promoter stimulator protein 1 Ips 1 IPS-1 Ips1 KIAA1271 MAVS MAVS_HUMAN Mitochondrial anti viral signaling protein Mitochondrial Antiviral Signaling Mitochondrial antiviral signaling protein Mitochondrial antiviral-signaling protein Putative NF kappa B activating protein 031N Putative NF-kappa-B-activating protein 031N Virus induced signaling adapter virus induced signaling adaptor Virus-induced-signaling adapter VISA
Images
HA750741_1.jpg Fig1: Western blot analysis of MAVS on different lysates with Rabbit anti-MAVS antibody (HA750741) at 1/1,000 dilution.

Lane 1: MCF7 cell lysate
Lane 2: A431 cell lysate
Lane 3: A549 cell lysate
Lane 4: Jurkat cell lysate
Lane 5: THP-1 cell lysate
Lane 6: HepG2 cell lysate

Lysates/proteins at 20 µg/Lane.

Predicted band size: 56.5 kDa
Observed band size: 57/75 kDa

Exposure time: 1 minute 46 seconds;

4-20% SDS-PAGE gel.

Proteins were transferred to a PVDF membrane and blocked with 5% NFDM/TBST for 1 hour at room temperature. The primary antibody (HA750741) at 1/1,000 dilution was used in 5% NFDM/TBST at room temperature for 2 hours. Goat Anti-Rabbit IgG - HRP Secondary Antibody (HA1001) at 1/100,000 dilution was used for 1 hour at room temperature.
HA750741_2.jpg Fig2: Immunofluorescence analysis of paraffin-embedded human colon tissue labeling MAVS with Rabbit anti-MAVS antibody (HA750741) at 1/200 dilution.

The section was pre-treated using heat mediated antigen retrieval with Tris-EDTA buffer (pH 9.0) for 20 minutes. The tissues were blocked in 10% negative goat serum for 1 hour at room temperature, washed with PBS, and then probed with the primary antibody (HA750741, green) at 1/200 dilution overnight at 4 ℃, washed with PBS. Goat Anti-Rabbit IgG H&L (iFluor™ 488, HA1121) was used as the secondary antibody at 1/1,000 dilution. Nuclei were counterstained with DAPI (blue).
HA750741_3.jpg Fig3: Immunohistochemical analysis of paraffin-embedded human kideny tissue with Rabbit anti-MAVS antibody (HA750741) at 1/1,000 dilution.

The section was pre-treated using heat mediated antigen retrieval with Tris-EDTA buffer (pH 9.0) for 20 minutes. The tissues were blocked in 1% BSA for 20 minutes at room temperature, washed with ddH2O and PBS, and then probed with the primary antibody (HA750741) at 1/1,000 dilution for 1 hour at room temperature. The detection was performed using an HRP conjugated compact polymer system. DAB was used as the chromogen. Tissues were counterstained with hematoxylin and mounted with DPX.
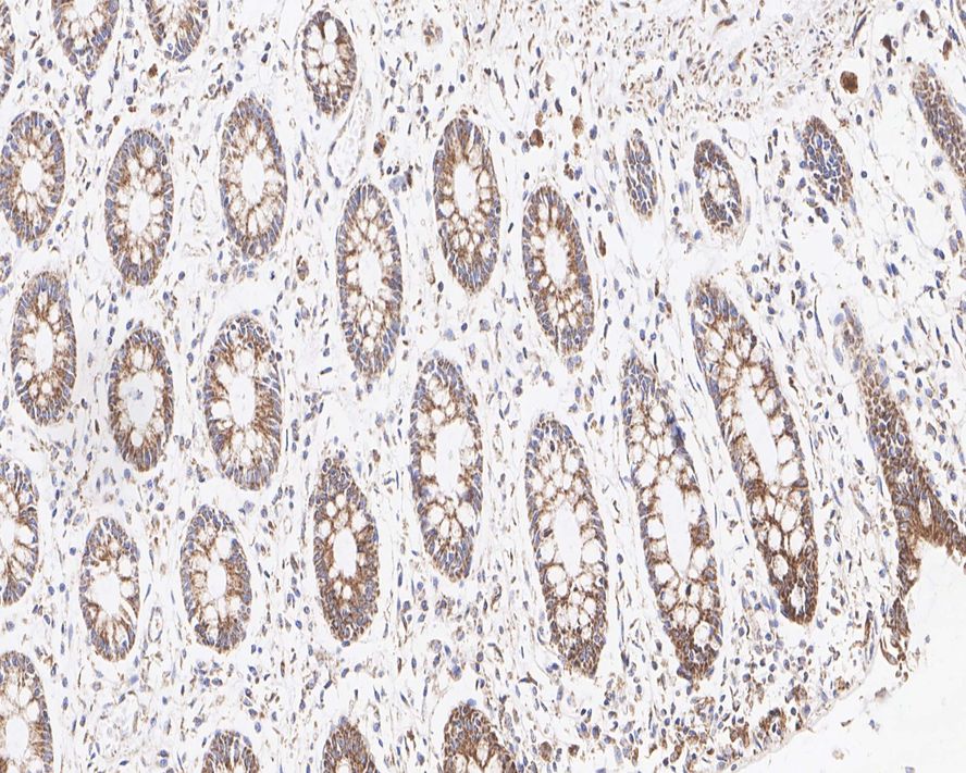
HA750741_4.jpg Fig4: Immunohistochemical analysis of paraffin-embedded human colon tissue with Rabbit anti-MAVS antibody (HA750741) at 1/1,000 dilution.

The section was pre-treated using heat mediated antigen retrieval with Tris-EDTA buffer (pH 9.0) for 20 minutes. The tissues were blocked in 1% BSA for 20 minutes at room temperature, washed with ddH2O and PBS, and then probed with the primary antibody (HA750741) at 1/1,000 dilution for 1 hour at room temperature. The detection was performed using an HRP conjugated compact polymer system. DAB was used as the chromogen. Tissues were counterstained with hematoxylin and mounted with DPX.
HA750741_5.jpg Fig5: Immunohistochemical analysis of paraffin-embedded human endometrium tissue with Rabbit anti-MAVS antibody (HA750741) at 1/200 dilution.

The section was pre-treated using heat mediated antigen retrieval with Tris-EDTA buffer (pH 9.0) for 20 minutes. The tissues were blocked in 1% BSA for 20 minutes at room temperature, washed with ddH2O and PBS, and then probed with the primary antibody (HA750741) at 1/200 dilution for 1 hour at room temperature. The detection was performed using an HRP conjugated compact polymer system. DAB was used as the chromogen. Tissues were counterstained with hematoxylin and mounted with DPX.
HA750741_6.jpg Fig6: Immunocytochemistry analysis of A431 cells labeling MAVS with Rabbit anti-MAVS antibody (HA750741) at 1/100 dilution.

Cells were fixed in 4% paraformaldehyde for 20 minutes at room temperature, permeabilized with 0.1% Triton X-100 in PBS for 5 minutes at room temperature, then blocked with 1% BSA in 10% negative goat serum for 1 hour at room temperature. Cells were then incubated with Rabbit anti-MAVS antibody (HA750741) at 1/100 dilution in 1% BSA in PBST overnight at 4 ℃. Goat Anti-Rabbit IgG H&L (iFluor™ 488, HA1121) was used as the secondary antibody at 1/1,000 dilution. PBS instead of the primary antibody was used as the secondary antibody only control. Nuclear DNA was labelled in blue with DAPI.

Beta tubulin (M1305-2, red) was stained at 1/100 dilution overnight at +4℃. Goat Anti-Mouse IgG H&L (iFluor™ 594, HA1126) was used as the secondary antibody at 1/1,000 dilution.
HA750741_7.jpg Fig7: Immunocytochemistry analysis of MCF7 cells labeling MAVS with Rabbit anti-MAVS antibody (HA750741) at 1/100 dilution.

Cells were fixed in 4% paraformaldehyde for 20 minutes at room temperature, permeabilized with 0.1% Triton X-100 in PBS for 5 minutes at room temperature, then blocked with 1% BSA in 10% negative goat serum for 1 hour at room temperature. Cells were then incubated with Rabbit anti-MAVS antibody (HA750741) at 1/100 dilution in 1% BSA in PBST overnight at 4 ℃. Goat Anti-Rabbit IgG H&L (iFluor™ 488, HA1121) was used as the secondary antibody at 1/1,000 dilution. PBS instead of the primary antibody was used as the secondary antibody only control. Nuclear DNA was labelled in blue with DAPI.

Beta tubulin (M1305-2, red) was stained at 1/100 dilution overnight at +4℃. Goat Anti-Mouse IgG H&L (iFluor™ 594, HA1126) was used as the secondary antibody at 1/1,000 dilution.
Note: All products are “FOR RESEARCH USE ONLY AND ARE NOT INTENDED FOR DIAGNOSTIC OR THERAPEUTIC USE”.