CLP Recombinant Rabbit Monoclonal Antibody [PSH01-72]
cat.: HA750747
Product Type: Recombinant Rabbit monoclonal IgG, primary antibodies
Species reactivity: Human, Mouse, Rat
Applications: IHC-P, IF-Tissue
Clonality: Monoclonal
Clone number: PSH01-72
Form: Liquid
Storage condition: Store at +4℃ after thawing. Aliquot store at -20℃. Avoid repeated freeze / thaw cycles.
Storage buffer: 1*PBS (pH7.4).
Concentration: 1ug/ul
Purification: Protein A affinity purified.
Molecular weight: Predicted band size: 19 kDa
Isotype: IgG
Immunogen: Recombinant protein within human CLP aa 1-170 / 170.
Positive control: Human spleen tissue, mouse spleen tissue, rat spleen tissue.
Subcellular location: Secreted, Vesicle.
Recommended Dilutions:
  IHC-P
  IF-Tissue

1:1,000-1:2,000
1:50
Uniprot #: SwissProt: P49913 Human | P51437 Mouse | G3V8S9 Rat
Alternative names: 18 kDa cationic antimicrobial protein Antibacterial peptide LL-37 Antibacterial protein FALL-39 CAMP CAMP_HUMAN CAP 18 CAP-18 CAP18 Cathelicidin antimicrobial peptide Cathelin-like protein Cathelin-related antimicrobial peptide CATHL3 Cationic antimicrobial protein, 18-KD CLP Cnlp Cramp CRAMP, mouse, homolog of FALL 39 FALL-39 peptide antibiotic FALL39 hCAP 18 hCAP-18 hCAP18 HSD26 LL37 MCLP Peptide antibiotic, PR-39, porcine, homolog of
Images
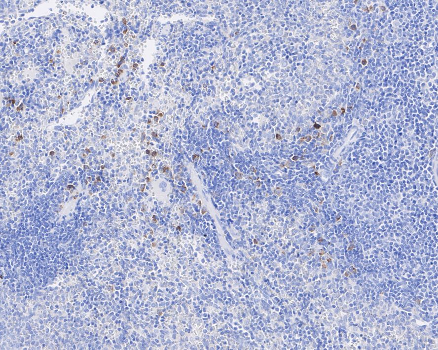
HA750747_1.jpg Fig1: Immunohistochemical analysis of paraffin-embedded human spleen tissue with Rabbit anti-CLP antibody (HA750747) at 1/2,000 dilution.

The section was pre-treated using heat mediated antigen retrieval with Tris-EDTA buffer (pH 9.0) for 20 minutes. The tissues were blocked in 1% BSA for 20 minutes at room temperature, washed with ddH2O and PBS, and then probed with the primary antibody (HA750747) at 1/2,000 dilution for 1 hour at room temperature. The detection was performed using an HRP conjugated compact polymer system. DAB was used as the chromogen. Tissues were counterstained with hematoxylin and mounted with DPX.
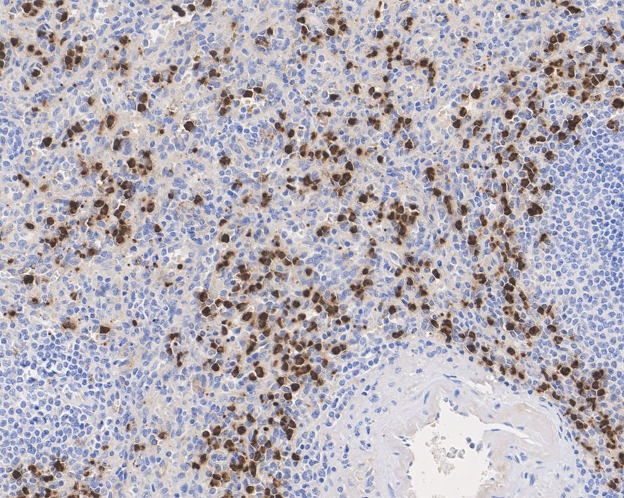
HA750747_2.jpg Fig2: Immunohistochemical analysis of paraffin-embedded mouse spleen tissue with Rabbit anti-CLP antibody (HA750747) at 1/1,000 dilution.

The section was pre-treated using heat mediated antigen retrieval with Tris-EDTA buffer (pH 9.0) for 20 minutes. The tissues were blocked in 1% BSA for 20 minutes at room temperature, washed with ddH2O and PBS, and then probed with the primary antibody (HA750747) at 1/1,000 dilution for 1 hour at room temperature. The detection was performed using an HRP conjugated compact polymer system. DAB was used as the chromogen. Tissues were counterstained with hematoxylin and mounted with DPX.
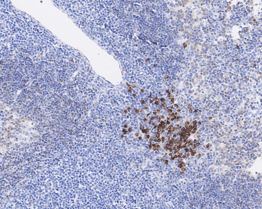
HA750747_3.jpg Fig3: Immunohistochemical analysis of paraffin-embedded rat spleen tissue with Rabbit anti-CLP antibody (HA750747) at 1/1,000 dilution.

The section was pre-treated using heat mediated antigen retrieval with Tris-EDTA buffer (pH 9.0) for 20 minutes. The tissues were blocked in 1% BSA for 20 minutes at room temperature, washed with ddH2O and PBS, and then probed with the primary antibody (HA750747) at 1/1,000 dilution for 1 hour at room temperature. The detection was performed using an HRP conjugated compact polymer system. DAB was used as the chromogen. Tissues were counterstained with hematoxylin and mounted with DPX.
HA750747_4.jpg Fig4: Immunohistochemical analysis of paraffin-embedded human brain tissue (negative) with Rabbit anti-CLP antibody (HA750747) at 1/1,000 dilution.

The section was pre-treated using heat mediated antigen retrieval with Tris-EDTA buffer (pH 9.0) for 20 minutes. The tissues were blocked in 1% BSA for 20 minutes at room temperature, washed with ddH2O and PBS, and then probed with the primary antibody (HA750747) at 1/1,000 dilution for 1 hour at room temperature. The detection was performed using an HRP conjugated compact polymer system. DAB was used as the chromogen. Tissues were counterstained with hematoxylin and mounted with DPX.
HA750747_5.jpg Fig5: Immunofluorescence analysis of paraffin-embedded human spleen tissue labeling CLP with Rabbit anti-CLP antibody (HA750747) at 1/50 dilution.

The section was pre-treated using heat mediated antigen retrieval with Tris-EDTA buffer (pH 9.0) for 20 minutes. The tissues were blocked in 10% negative goat serum for 1 hour at room temperature, washed with PBS, and then probed with the primary antibody (HA750747, green) at 1/50 dilution overnight at 4 ℃, washed with PBS. Goat Anti-Rabbit IgG H&L (iFluor™ 488, HA1121) was used as the secondary antibody at 1/1,000 dilution. Nuclei were counterstained with DAPI (blue).
Note: All products are “FOR RESEARCH USE ONLY AND ARE NOT INTENDED FOR DIAGNOSTIC OR THERAPEUTIC USE”.