KDM3A / JHDM2A Recombinant Rabbit Monoclonal Antibody [PSH01-77]
cat.: HA750751
Product Type: Recombinant Rabbit monoclonal IgG, primary antibodies
Species reactivity: Human, Mouse
Applications: WB, IHC-P
Clonality: Monoclonal
Clone number: PSH01-77
Form: Liquid
Storage condition: Store at +4℃ after thawing. Aliquot store at -20℃. Avoid repeated freeze / thaw cycles.
Storage buffer: 1*PBS (pH7.4).
Concentration: 1ug/ul
Purification: Protein A affinity purified.
Molecular weight: Predicted band size: 147 kDa
Isotype: IgG
Immunogen: Recombinant protein within human KDM3A aa 1-400 / 1,321.
Positive control: HCT116 cell lysate, Hela cell lysate, MCF7 cell lysate, Ramos cell lysate, Jurkat cell lysate, NIH/3T3 cell lysate, human testis tissue, mouse testis tissue.
Subcellular location: Cytoplasm, Nucleus
Recommended Dilutions:
  WB
  IHC-P

1:1,000
1:200-1:1,000
Uniprot #: SwissProt: Q9Y4C1 Human | Q6PCM1 Mouse
Alternative names: DKFZp686A24246 DKFZp686P07111 JHDM2A JHMD2A JmjC domain-containing histone demethylation protein 2A JMJD1 JMJD1A Jumonji C domain containing histone demethylase 2A Jumonji domain containing 1 Jumonji domain containing 1A Jumonji domain containing protein 1A Jumonji domain-containing protein 1A Kdm3a KDM3A_HUMAN KIAA0742 Lysine (K) specific demethylase 3A Lysine-specific demethylase 3A Testis specific protein A TSGA
Images
HA750751_1.jpg Fig1: Western blot analysis of KDM3A / JHDM2A on different lysates with Rabbit anti-KDM3A / JHDM2A antibody (HA750751) at 1/1,000 dilution.

Lane 1: HCT116 cell lysate
Lane 2: Hela cell lysate
Lane 3: MCF7 cell lysate
Lane 4: Ramos cell lysate
Lane 5: Jurkat cell lysate
Lane 6: NIH/3T3 cell lysate

Lysates/proteins at 30 µg/Lane.

Predicted band size: 147 kDa
Observed band size: 150 kDa

Exposure time: 2 minutes 50 seconds;

4-20% SDS-PAGE gel.

Proteins were transferred to a PVDF membrane and blocked with 5% NFDM/TBST for 1 hour at room temperature. The primary antibody (HA750751) at 1/1,000 dilution was used in 5% NFDM/TBST at 4℃ overnight. Goat Anti-Rabbit IgG - HRP Secondary Antibody (HA1001) at 1/50,000 dilution was used for 1 hour at room temperature.
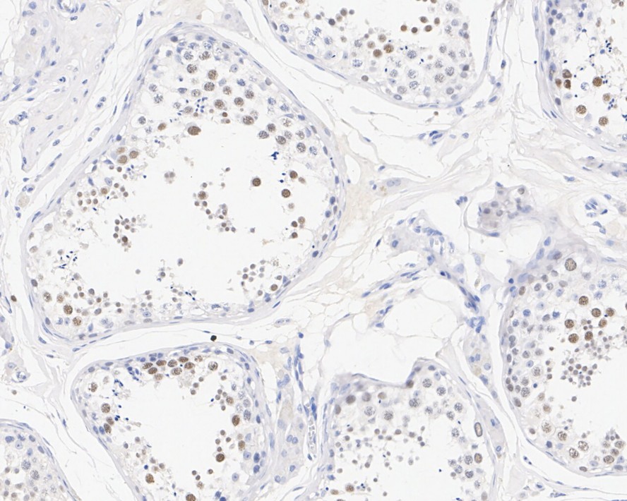
HA750751_2.jpg Fig2: Immunohistochemical analysis of paraffin-embedded human testis tissue with Rabbit anti-KDM3A / JHDM2A antibody (HA750751) at 1/200 dilution.

The section was pre-treated using heat mediated antigen retrieval with sodium citrate buffer (pH 6.0) (high pressure) for 2 minutes. The tissues were blocked in 1% BSA for 20 minutes at room temperature, washed with ddH2O and PBS, and then probed with the primary antibody (HA750751) at 1/200 dilution for 1 hour at room temperature. The detection was performed using an HRP conjugated compact polymer system. DAB was used as the chromogen. Tissues were counterstained with hematoxylin and mounted with DPX.
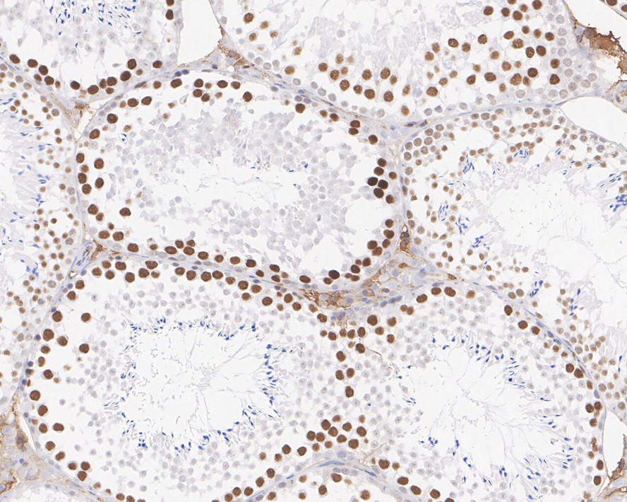
HA750751_3.jpg Fig3: Immunohistochemical analysis of paraffin-embedded mouse testis tissue with Rabbit anti-KDM3A / JHDM2A antibody (HA750751) at 1/1,000 dilution.

The section was pre-treated using heat mediated antigen retrieval with sodium citrate buffer (pH 6.0) (high pressure) for 2 minutes. The tissues were blocked in 1% BSA for 20 minutes at room temperature, washed with ddH2O and PBS, and then probed with the primary antibody (HA750751) at 1/1,000 dilution for 1 hour at room temperature. The detection was performed using an HRP conjugated compact polymer system. DAB was used as the chromogen. Tissues were counterstained with hematoxylin and mounted with DPX.
Note: All products are “FOR RESEARCH USE ONLY AND ARE NOT INTENDED FOR DIAGNOSTIC OR THERAPEUTIC USE”.