NSUN3 Recombinant Rabbit Monoclonal Antibody [PSH01-97]
cat.: HA750771
Product Type: Recombinant Rabbit monoclonal IgG, primary antibodies
Species reactivity: Human, Mouse, Rat
Applications: WB, IHC-P, IF-Cell, FC
Clonality: Monoclonal
Clone number: PSH01-97
Form: Liquid
Storage condition: Store at +4℃ after thawing. Aliquot store at -20℃. Avoid repeated freeze / thaw cycles.
Storage buffer: 1*PBS (pH7.4).
Concentration: 1ug/ul
Purification: Protein A affinity purified.
Molecular weight: Predicted band size: 38 kDa
Isotype: IgG
Immunogen: Recombinant protein within human NSUN3 aa 1-340 / 340.
Positive control: HeLa cell lysate, K-562 cell lysate, HL-60 cell lysate, 293T cell lysate, mouse thymus tissue lysate, mouse colon tissue lysate, mouse testis tissue lysate, RAW264.7 cell lysate, C2C12 cell lysate, Neuro-2a cell lysate, PC-12 cell lysate, human kidney tissue, human liver tissue, rat colon tissue, K-562, RAW264.7, PC-12.
Subcellular location: Mitochondrion matrix.
Recommended Dilutions:
  WB
  IHC-P
  IF-Cell
  FC

1:1,000
1:200
1:100-1:200
1:1,000
Uniprot #: SwissProt: Q9H649 Human | Q8CCT7 Mouse
Entrez Gene: 100360437 Rat
Alternative names: 6720484A09Rik AU022521 FLJ22109 FLJ22609 MST077 MSTP077 NOL1/NOP2/Sun domain family 3 NOL1/NOP2/Sun domain family member 3 NOP2/Sun domain family member 3 NSUN3 NSUN3_HUMAN OTTMUSP00000028633 Putative methyltransferase NSUN3 UG0651E06
Images
HA750771_1.jpg Fig1: Western blot analysis of NSUN3 on different lysates with Rabbit anti-NSUN3 antibody (HA750771) at 1/1,000 dilution.

Lane 1: HeLa cell lysate (40 µg/Lane)
Lane 2: K-562 cell lysate (40 µg/Lane)
Lane 3: HL-60 cell lysate (40 µg/Lane)
Lane 4: 293T cell lysate (40 µg/Lane)
Lane 5: Mouse thymus tissue lysate (40 µg/Lane)
Lane 6: Mouse colon tissue lysate (40 µg/Lane)
Lane 7: Mouse testis tissue lysate (40 µg/Lane)

Predicted band size: 38 kDa
Observed band size: 38 kDa

Exposure time: 3 minutes 10 seconds;

4-20% SDS-PAGE gel.

Proteins were transferred to a PVDF membrane and blocked with 5% NFDM/TBST for 1 hour at room temperature. The primary antibody (HA750771) at 1/1,000 dilution was used in 5% NFDM/TBST at 4℃ overnight. Goat Anti-Rabbit IgG - HRP Secondary Antibody (HA1001) at 1/50,000 dilution was used for 1 hour at room temperature.
HA750771_2.jpg Fig2: Western blot analysis of NSUN3 on different lysates with Rabbit anti-NSUN3 antibody (HA750771) at 1/1,000 dilution.

Lane 1: RAW264.7 cell lysate (30 µg/Lane)
Lane 2: C2C12 cell lysate (30 µg/Lane)
Lane 3: Neuro-2a cell lysate (30 µg/Lane)
Lane 4: PC-12 cell lysate (30 µg/Lane)

Predicted band size: 38 kDa
Observed band size: 38 kDa

Exposure time: 1 minute 59 seconds;

4-20% SDS-PAGE gel.

Proteins were transferred to a PVDF membrane and blocked with 5% NFDM/TBST for 1 hour at room temperature. The primary antibody (HA750771) at 1/1,000 dilution was used in 5% NFDM/TBST at room temperature for 2 hours. Goat Anti-Rabbit IgG - HRP Secondary Antibody (HA1001) at 1/50,000 dilution was used for 1 hour at room temperature.
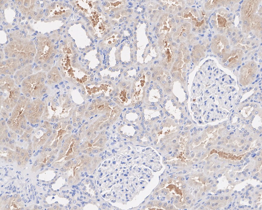
HA750771_3.jpg Fig3: Immunohistochemical analysis of paraffin-embedded human kidney tissue with Rabbit anti-NSUN3 antibody (HA750771) at 1/200 dilution.

The section was pre-treated using heat mediated antigen retrieval with Tris-EDTA buffer (pH 9.0) for 20 minutes. The tissues were blocked in 1% BSA for 20 minutes at room temperature, washed with ddH2O and PBS, and then probed with the primary antibody (HA750771) at 1/200 dilution for 1 hour at room temperature. The detection was performed using an HRP conjugated compact polymer system. DAB was used as the chromogen. Tissues were counterstained with hematoxylin and mounted with DPX.
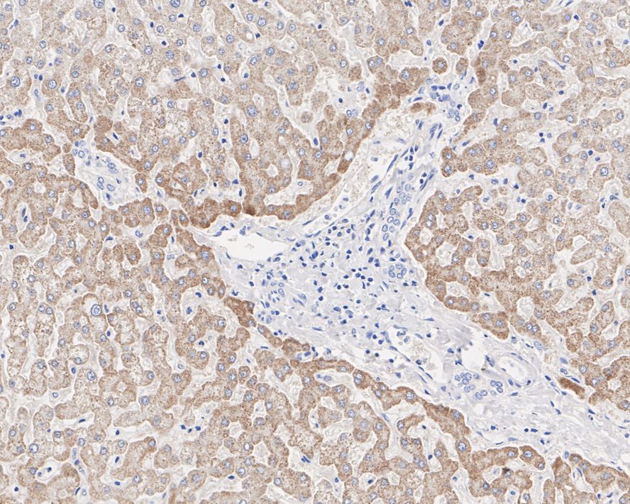
HA750771_4.jpg Fig4: Immunohistochemical analysis of paraffin-embedded human liver tissue with Rabbit anti-NSUN3 antibody (HA750771) at 1/200 dilution.

The section was pre-treated using heat mediated antigen retrieval with Tris-EDTA buffer (pH 9.0) for 20 minutes. The tissues were blocked in 1% BSA for 20 minutes at room temperature, washed with ddH2O and PBS, and then probed with the primary antibody (HA750771) at 1/200 dilution for 1 hour at room temperature. The detection was performed using an HRP conjugated compact polymer system. DAB was used as the chromogen. Tissues were counterstained with hematoxylin and mounted with DPX.
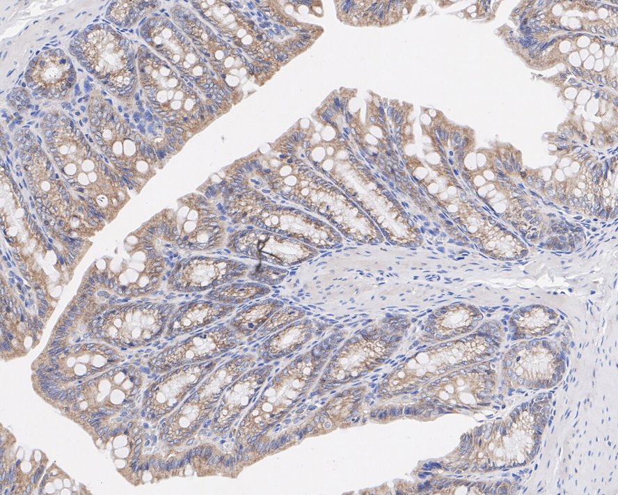
HA750771_5.jpg Fig5: Immunohistochemical analysis of paraffin-embedded rat colon tissue with Rabbit anti-NSUN3 antibody (HA750771) at 1/200 dilution.

The section was pre-treated using heat mediated antigen retrieval with Tris-EDTA buffer (pH 9.0) for 20 minutes. The tissues were blocked in 1% BSA for 20 minutes at room temperature, washed with ddH2O and PBS, and then probed with the primary antibody (HA750771) at 1/200 dilution for 1 hour at room temperature. The detection was performed using an HRP conjugated compact polymer system. DAB was used as the chromogen. Tissues were counterstained with hematoxylin and mounted with DPX.
HA750771_6.jpg Fig6: Immunocytochemistry analysis of K-562 cells labeling NSUN3 with Rabbit anti-NSUN3 antibody (HA750771) at 1/100 dilution.

Cells were fixed in 4% paraformaldehyde for 20 minutes at room temperature, permeabilized with 0.1% Triton X-100 in PBS for 5 minutes at room temperature, then blocked with 1% BSA in 10% negative goat serum for 1 hour at room temperature. Cells were then incubated with Rabbit anti-NSUN3 antibody (HA750771) at 1/100 dilution in 1% BSA in PBST overnight at 4 ℃. Goat Anti-Rabbit IgG H&L (iFluor™ 488, HA1121) was used as the secondary antibody at 1/1,000 dilution. PBS instead of the primary antibody was used as the secondary antibody only control. Nuclear DNA was labelled in blue with DAPI.

Beta tubulin (M1305-2, red) was stained at 1/100 dilution overnight at +4℃. Goat Anti-Mouse IgG H&L (iFluor™ 594, HA1126) was used as the secondary antibody at 1/1,000 dilution.
HA750771_7.jpg Fig7: Immunocytochemistry analysis of RAW264.7 cells labeling NSUN3 with Rabbit anti-NSUN3 antibody (HA750771) at 1/100 dilution.

Cells were fixed in 4% paraformaldehyde for 20 minutes at room temperature, permeabilized with 0.1% Triton X-100 in PBS for 5 minutes at room temperature, then blocked with 1% BSA in 10% negative goat serum for 1 hour at room temperature. Cells were then incubated with Rabbit anti-NSUN3 antibody (HA750771) at 1/100 dilution in 1% BSA in PBST overnight at 4 ℃. Goat Anti-Rabbit IgG H&L (iFluor™ 488, HA1121) was used as the secondary antibody at 1/1,000 dilution. PBS instead of the primary antibody was used as the secondary antibody only control. Nuclear DNA was labelled in blue with DAPI.

Beta tubulin (M1305-2, red) was stained at 1/100 dilution overnight at +4℃. Goat Anti-Mouse IgG H&L (iFluor™ 594, HA1126) was used as the secondary antibody at 1/1,000 dilution.
HA750771_8.jpg Fig8: Flow cytometric analysis of K-562 cells labeling NSUN3.

Cells were fixed and permeabilized. Then stained with the primary antibody (HA750771, 1μg/mL) (red) compared with Rabbit IgG Isotype Control (green). After incubation of the primary antibody at +4℃ for an hour, the cells were stained with a iFluor™ 488 conjugate-Goat anti-Rabbit IgG Secondary antibody (HA1121) at 1/1,000 dilution for 30 minutes at +4℃. Unlabelled sample was used as a control (cells without incubation with primary antibody; black).
HA750771_9.jpg Fig9: Immunocytochemistry analysis of PC-12 cells labeling NSUN3 with Rabbit anti-NSUN3 antibody (HA750771) at 1/200 dilution.

Cells were fixed in 4% paraformaldehyde for 20 minutes at room temperature, permeabilized with 0.1% Triton X-100 in PBS for 5 minutes at room temperature, then blocked with 1% BSA in 10% negative goat serum for 1 hour at room temperature. Cells were then incubated with Rabbit anti-NSUN3 antibody (HA750771) at 1/200 dilution in 1% BSA in PBST overnight at 4 ℃. Goat Anti-Rabbit IgG H&L (iFluor™ 488, HA1121) was used as the secondary antibody at 1/1,000 dilution. PBS instead of the primary antibody was used as the secondary antibody only control. Nuclear DNA was labelled in blue with DAPI.

Beta tubulin (M1305-2, red) was stained at 1/100 dilution overnight at +4℃. Goat Anti-Mouse IgG H&L (iFluor™ 594, HA1126) was used as the secondary antibody at 1/1,000 dilution.
HA750771_10.jpg Fig10: Western blot analysis of NSUN3 on different lysates with Rabbit anti-NSUN3 antibody (HA750771) at 1/2,000 dilution.

Lane 1: RAW264.7-si NT cell lysate
Lane 2: RAW264.7-si NSUN3 cell lysate

Lysates/proteins at 10 µg/Lane.

Predicted band size: 38 kDa
Observed band size: 38 kDa

Exposure time: 10 seconds; ECL: K1801;

4-20% SDS-PAGE gel.

Proteins were transferred to a PVDF membrane and blocked with 5% NFDM/TBST for 1 hour at room temperature. The primary antibody (HA750771) at 1/2,000 dilution was used in 5% NFDM/TBST at 4℃ overnight. Goat Anti-Rabbit IgG - HRP Secondary Antibody (HA1001) at 1/50,000 dilution was used for 1 hour at room temperature.
HA750771_11.jpg Fig11: Flow cytometric analysis of RAW264.7 cells labeling NSUN3.

Cells were fixed and permeabilized. Then stained with the primary antibody (HA750771, 1μg/mL) (red) compared with Rabbit IgG Isotype Control (green). After incubation of the primary antibody at +4℃ for an hour, the cells were stained with a iFluor™ 488 conjugate-Goat anti-Rabbit IgG Secondary antibody (HA1121) at 1/1,000 dilution for 30 minutes at +4℃. Unlabelled sample was used as a control (cells without incubation with primary antibody; black).
Note: All products are “FOR RESEARCH USE ONLY AND ARE NOT INTENDED FOR DIAGNOSTIC OR THERAPEUTIC USE”.