Human IL-18 Recombinant Rabbit Monoclonal Antibody [PSH02-08]
cat.: HA750778
Product Type: Recombinant Rabbit monoclonal IgG, primary antibodies
Species reactivity: Human
Applications: WB, IHC-P, IF-Tissue, IP
Clonality: Monoclonal
Clone number: PSH02-08
Form: Liquid
Storage condition: Store at +4℃ after thawing. Aliquot store at -20℃. Avoid repeated freeze / thaw cycles.
Storage buffer: 1*PBS (pH7.4).
Concentration: 1ug/ul
Purification: Protein A affinity purified.
Molecular weight: Predicted band size: 22 kDa
Isotype: IgG
Immunogen: Recombinant protein within Human IL-18 aa 37-193.
Positive control: U-2 OS cell lysate, A549 cell lysate, HeLa cell lysate, HepG2 cell lysate, human liver tissue, human spleen tissue, human tonsil tissue.
Subcellular location: Cytoplasm, Secreted.
Recommended Dilutions:
  WB
  IHC-P
  IF-Tissue
  IP

1:1,000
1:5,000-1:10,000
1:1,000
1-2μg/sample
Uniprot #: SwissProt: Q14116 Human
Alternative names: Iboctadekin IFN gamma inducing factor IFN-gamma-inducing factor IGIF IL 1 gamma IL 18 IL 1g IL-1 gamma IL-18 IL1 gamma IL18 IL18 protein IL18_HUMAN IL1F4 IL1g IL1gamma ILIF4 Interferon gamma inducing factor Interferon gamma-inducing factor Interleukin 1 gamma Interleukin 18 (interferon-gamma-inducing factor) Interleukin 18 Interleukin-1 gamma Interleukin-18 Interleukin18 MGC12320
Images
HA750778_1.jpg Fig1: Western blot analysis of Human IL-18 on different lysates with Rabbit anti-Human IL-18 antibody (HA750778) at 1/1,000 dilution.

Lane 1: U-2 OS cell lysate (20 µg/Lane)
Lane 2: A549 cell lysate (20 µg/Lane)
Lane 3: HeLa cell lysate (20 µg/Lane)
Lane 4: HepG2 cell lysate (20 µg/Lane)

Predicted band size: 22 kDa
Observed band size: 20 kDa

Exposure time: 1 minute 45 seconds;
4-20% SDS-PAGE gel.

Proteins were transferred to a PVDF membrane and blocked with 5% NFDM/TBST for 1 hour at room temperature. The primary antibody (HA750778) at 1/1,000 dilution was used in 5% NFDM/TBST at room temperature for 2 hours. Goat Anti-Rabbit IgG - HRP Secondary Antibody (HA1001) at 1/100,000 dilution was used for 1 hour at room temperature.
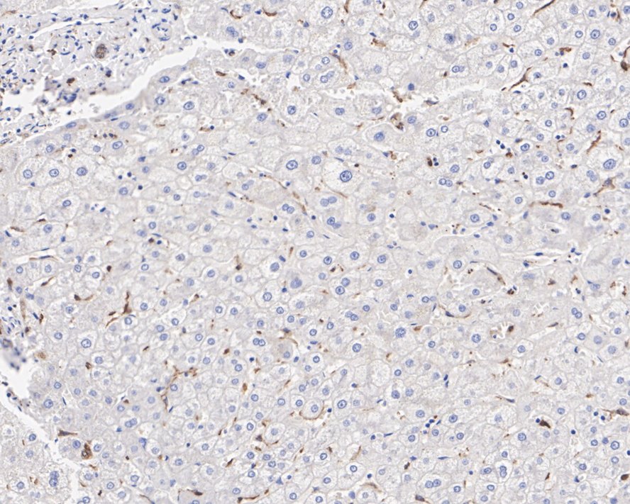
HA750778_2.jpg Fig2: Immunohistochemical analysis of paraffin-embedded human liver tissue with Rabbit anti-Human IL-18 antibody (HA750778) at 1/5,000 dilution.

The section was pre-treated using heat mediated antigen retrieval with Tris-EDTA buffer (pH 9.0) for 20 minutes. The tissues were blocked in 1% BSA for 20 minutes at room temperature, washed with ddH2O and PBS, and then probed with the primary antibody (HA750778) at 1/5,000 dilution for 1 hour at room temperature. The detection was performed using an HRP conjugated compact polymer system. DAB was used as the chromogen. Tissues were counterstained with hematoxylin and mounted with DPX.
HA750778_3.jpg Fig3: Immunohistochemical analysis of paraffin-embedded human spleen tissue with Rabbit anti-Human IL-18 antibody (HA750778) at 1/10,000 dilution.

The section was pre-treated using heat mediated antigen retrieval with Tris-EDTA buffer (pH 9.0) for 20 minutes. The tissues were blocked in 1% BSA for 20 minutes at room temperature, washed with ddH2O and PBS, and then probed with the primary antibody (HA750778) at 1/10,000 dilution for 1 hour at room temperature. The detection was performed using an HRP conjugated compact polymer system. DAB was used as the chromogen. Tissues were counterstained with hematoxylin and mounted with DPX.
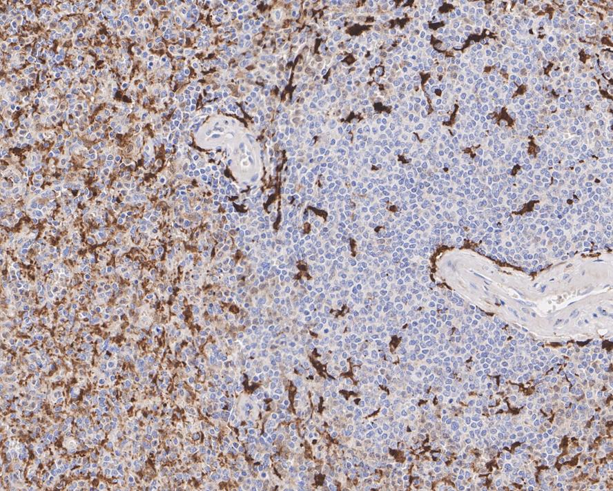
HA750778_4.jpg Fig4: Immunohistochemical analysis of paraffin-embedded human tonsil tissue with Rabbit anti-Human IL-18 antibody (HA750778) at 1/10,000 dilution.

The section was pre-treated using heat mediated antigen retrieval with Tris-EDTA buffer (pH 9.0) for 20 minutes. The tissues were blocked in 1% BSA for 20 minutes at room temperature, washed with ddH2O and PBS, and then probed with the primary antibody (HA750778) at 1/10,000 dilution for 1 hour at room temperature. The detection was performed using an HRP conjugated compact polymer system. DAB was used as the chromogen. Tissues were counterstained with hematoxylin and mounted with DPX.
HA750778_5.jpg Fig5: Application: IF-Tissue

Species: Human

Site: spleen

Sample: Paraffin-embedded section

Antibody concentration: 1/1,000
HA750778_6.jpg Fig6: Human IL-18 was immunoprecipitated from 0.2 mg A549 cell lysate with HA750778 at 2 µg/10 µl beads. Western blot was performed from the immunoprecipitate using HA750778 at 1/1,000 dilution. HRP Conjugated Anti-Rabbit IgG for IP Nano-secondary antibody at 1/5,000 dilution was used for 1 hour at room temperature.

Lane 1: A549 cell lysate (input)
Lane 2: Rabbit IgG instead of HA750778 in A549 cell lysate
Lane 3: HA750778 IP in A549 cell lysate

Blocking/Dilution buffer: 5% NFDM/TBST
Exposure time: 5 seconds; ECL: K1801
Note: All products are “FOR RESEARCH USE ONLY AND ARE NOT INTENDED FOR DIAGNOSTIC OR THERAPEUTIC USE”.