PTGR1 Recombinant Rabbit Monoclonal Antibody [PSH02-12]
cat.: HA750782
Product Type: Recombinant Rabbit monoclonal IgG, primary antibodies
Species reactivity: Human, Rat, Mouse
Applications: WB, IHC-P, FC
Clonality: Monoclonal
Clone number: PSH02-12
Form: Liquid
Storage condition: Store at +4℃ after thawing. Aliquot store at -20℃. Avoid repeated freeze / thaw cycles.
Storage buffer: 1*PBS (pH7.4).
Concentration: 1ug/ul
Purification: Protein A affinity purified.
Molecular weight: Predicted band size: 36 kDa
Isotype: IgG
Immunogen: Recombinant protein within human PTGR1 aa 1-329 / 329.
Positive control: HT-29 cell lysate, A549 cell lysate, SiHa cell lysate, A431 cell lysate, rat kidney tissue lysate, rat liver tissue lysate, human small intestine tissue, HeLa.
Subcellular location: Cytoplasm.
Recommended Dilutions:
  WB
  IHC-P
  FC

1:1,000
1:1,000
1:1,000
Uniprot #: SwissProt: Q14914 Human | Q91YR9 Mouse | P97584 Rat
Alternative names: 15-oxoprostaglandin 13-reductase FLJ99229 leukotriene B4 12-hydroxydehydrogenase LTB4DH MGC34943 NADP-dependent leukotriene B4 12-hydroxydehydrogenase PGR1 PRG-1 Prostaglandin reductase 1 Ptgr1 PTGR1_HUMAN RP11-16L21.1 ZADH3 zinc binding alcohol dehydrogenase domain containing 3
Images
HA750782_1.jpg Fig1: Western blot analysis of PTGR1 on different lysates with Rabbit anti-PTGR1 antibody (HA750782) at 1/1,000 dilution.

Lane 1: HT-29 cell lysate (20 µg/Lane)
Lane 2: A549 cell lysate (20 µg/Lane)
Lane 3: SiHa cell lysate (20 µg/Lane)
Lane 4: A431 cell lysate (20 µg/Lane)
Lane 5: Rat kidney tissue lysate (40 µg/Lane)
Lane 6: Rat liver tissue lysate (40 µg/Lane)

Predicted band size: 36 kDa
Observed band size: 36 kDa

Exposure time: 1 minute 2 seconds;

4-20% SDS-PAGE gel.

Proteins were transferred to a PVDF membrane and blocked with 5% NFDM/TBST for 1 hour at room temperature. The primary antibody (HA750782) at 1/1,000 dilution was used in 5% NFDM/TBST at room temperature for 2 hours. Goat Anti-Rabbit IgG - HRP Secondary Antibody (HA1001) at 1/50,000 dilution was used for 1 hour at room temperature.
HA750782_2.jpg Fig2: Western blot analysis of PTGR1 on different lysates with Rabbit anti-PTGR1 antibody (HA750782) at 1/1,000 dilution.

Lane 1: A549-WT cell lysate
Lane 2: A549-si-PTGR1 cell lysate

Lysates/proteins at 20 µg/Lane.

Predicted band size: 36 kDa
Observed band size: 36 kDa

Exposure time: 1 minute 14 seconds;

4-20% SDS-PAGE gel.

Proteins were transferred to a PVDF membrane and blocked with 5% NFDM/TBST for 1 hour at room temperature. The primary antibody (HA750782) at 1/1,000 dilution was used in 5% NFDM/TBST at 4℃ overnight. Goat Anti-Rabbit IgG - HRP Secondary Antibody (HA1001) at 1/50,000 dilution was used for 1 hour at room temperature.
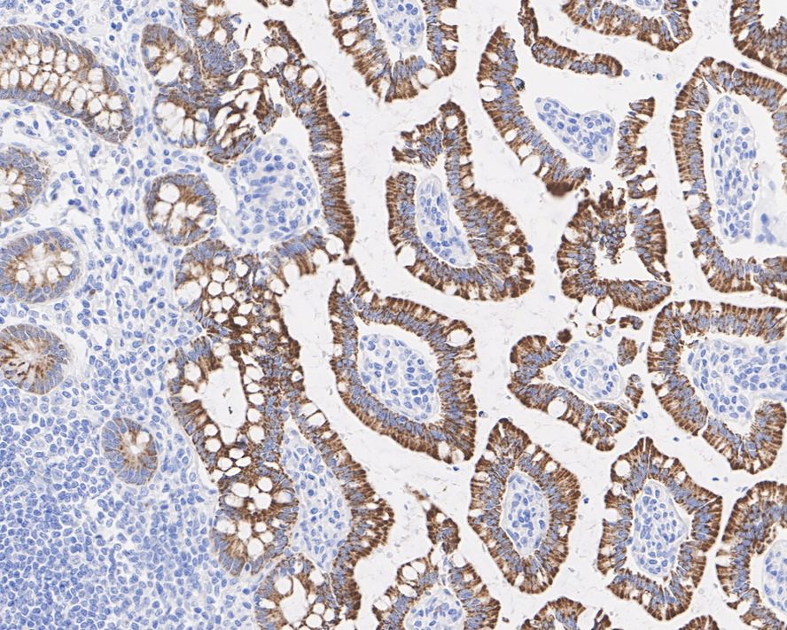
HA750782_3.jpg Fig3: Immunohistochemical analysis of paraffin-embedded human small intestine tissue with Rabbit anti-PTGR1 antibody (HA750782) at 1/1,000 dilution.

The section was pre-treated using heat mediated antigen retrieval with Tris-EDTA buffer (pH 9.0) for 20 minutes. The tissues were blocked in 1% BSA for 20 minutes at room temperature, washed with ddH2O and PBS, and then probed with the primary antibody (HA750782) at 1/1,000 dilution for 1 hour at room temperature. The detection was performed using an HRP conjugated compact polymer system. DAB was used as the chromogen. Tissues were counterstained with hematoxylin and mounted with DPX.
HA750782_4.jpg Fig4: Flow cytometric analysis of HeLa cells labeling PTGR1.

Cells were fixed and permeabilized. Then stained with the primary antibody (HA750782, 1/1,000) (red) compared with Rabbit IgG Isotype Control (green). After incubation of the primary antibody at +4℃ for an hour, the cells were stained with a iFluor™ 488 conjugate-Goat anti-Rabbit IgG Secondary antibody (HA1121) at 1/1,000 dilution for 30 minutes at +4℃. Unlabelled sample was used as a control (cells without incubation with primary antibody; black).
Note: All products are “FOR RESEARCH USE ONLY AND ARE NOT INTENDED FOR DIAGNOSTIC OR THERAPEUTIC USE”.