PACT (PKR activating protein) / PRKRA Recombinant Rabbit Monoclonal Antibody [PSH02-14]
cat.: HA750784
Product Type: Recombinant Rabbit monoclonal IgG, primary antibodies
Species reactivity: Human, Mouse, Rat
Applications: WB, IHC-P, IF-Cell, IF-Tissue, FC
Clonality: Monoclonal
Clone number: PSH02-14
Form: Liquid
Storage condition: Store at +4℃ after thawing. Aliquot store at -20℃. Avoid repeated freeze / thaw cycles.
Storage buffer: 1*PBS (pH7.4).
Concentration: 1ug/ul
Purification: Protein A affinity purified.
Molecular weight: Predicted band size: 34 kDa
Isotype: IgG
Immunogen: Recombinant protein within human PACT aa 1-313 (O75569).
Positive control: K-562 cell lysate, HeLa cell lysate, MCF7 cell lysate, C2C12 cell lysate, PC-12 cell lysate, Mouse testis tissue lysate, Rat testis tissue lysate, human testis tissue, rat brain tissue, rat hippocampus tissue, 293T, PC-12.
Subcellular location: Cytoplasm, perinuclear region.
Recommended Dilutions:
  WB
  IHC-P
  IF-Cell
  IF-Tissue
  FC

1:1,000-1:2,000
1:1,000~1:5,000
1:100
1: 200
1:1,000
Uniprot #: SwissProt: O75569 Human | Q9WTX2 Mouse | Q4V8C7 Rat
Alternative names: DYT16 HSD14 Interferon inducible double stranded RNA dependent protein kinase activator A interferon-inducible double stranded RNA-dependent activator Interferon-inducible double stranded RNA-dependent protein kinase activator A PACT PKR associated protein X PKR associating protein X PKR-associated protein X PKR-associating protein X PRKRA PRKRA_HUMAN Protein activator of the interferon induced protein kinase Protein activator of the interferon-induced protein kinase Protein kinase Protein kinase interferon inducible double stranded RNA dependent activator RAX
Images
HA750784_1.jpg Fig1: Western blot analysis of PACT (PKR activating protein) / PRKRA on different lysates with Rabbit anti-PACT (PKR activating protein) / PRKRA antibody (HA750784) at 1/2,000 dilution and competitor's antibody at 1/1,000 dilution.

Lane 1: K-562 cell lysate
Lane 2: HeLa cell lysate
Lane 3: MCF7 cell lysate
Lane 4: C2C12 cell lysate
Lane 5: PC-12 cell lysate
Lane 6: Mouse testis tissue lysate
Lane 7: Rat testis tissue lysate

Lysates/proteins at 20 µg/Lane.

Predicted band size: 34 kDa
Observed band size: 34 kDa

Exposure time: 30 seconds; ECL: K1801;

4-20% SDS-PAGE gel.

Proteins were transferred to a PVDF membrane and blocked with 5% NFDM/TBST for 1 hour at room temperature. The primary antibody (HA750784) at 1/2,000 dilution and competitor's antibody at 1/1,000 dilution were used in 5% NFDM/TBST at 4℃ overnight. Goat Anti-Rabbit IgG - HRP Secondary Antibody (HA1001) at 1/50,000 dilution was used for 1 hour at room temperature.
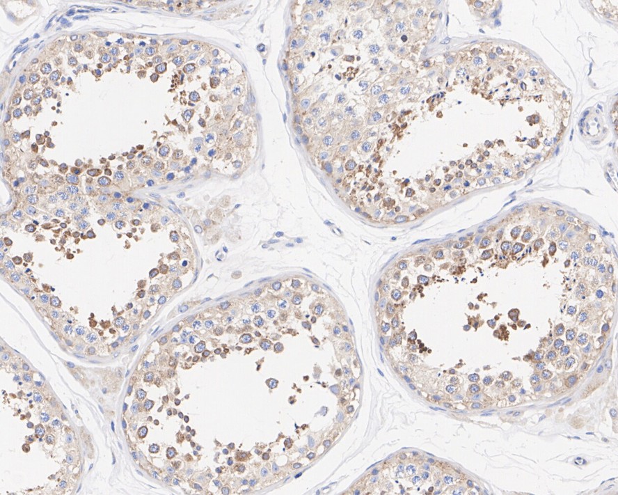
HA750784_2.jpg Fig2: Immunohistochemical analysis of paraffin-embedded human testis tissue with Rabbit anti-PACT (PKR activating protein) / PRKRA antibody (HA750784) at 1/1,000 dilution.

The section was pre-treated using heat mediated antigen retrieval with Tris-EDTA buffer (pH 9.0) for 20 minutes. The tissues were blocked in 1% BSA for 20 minutes at room temperature, washed with ddH2O and PBS, and then probed with the primary antibody (HA750784) at 1/1,000 dilution for 1 hour at room temperature. The detection was performed using an HRP conjugated compact polymer system. DAB was used as the chromogen. Tissues were counterstained with hematoxylin and mounted with DPX.
HA750784_3.jpg Fig3: Western blot analysis of PACT (PKR activating protein) / PRKRA on different lysates with Rabbit anti-PACT (PKR activating protein) / PRKRA antibody (HA750784) at 1/2,000 dilution.

Lane 1: HeLa-si NT cell lysate
Lane 2: HeLa-si PRKRA cell lysate

Lysates/proteins at 10 µg/Lane.

Predicted band size: 34 kDa
Observed band size: 34 kDa

Exposure time: 16 seconds; ECL: K1801;
4-20% SDS-PAGE gel.

Proteins were transferred to a PVDF membrane and blocked with 5% NFDM/TBST for 1 hour at room temperature. The primary antibody (HA750784) at 1/2,000 dilution was used in 5% NFDM/TBST at 4℃ overnight. Goat Anti-Rabbit IgG - HRP Secondary Antibody (HA1001) at 1/100,000 dilution was used for 1 hour at room temperature.
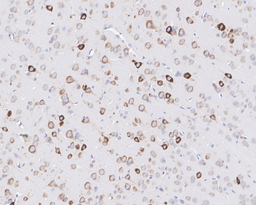
HA750784_4.jpg Fig4: Immunohistochemical analysis of paraffin-embedded rat brain tissue with Rabbit anti-PACT (PKR activating protein) / PRKRA antibody (HA750784) at 1/5,000 dilution.

The section was pre-treated using heat mediated antigen retrieval with Tris-EDTA buffer (pH 9.0) for 20 minutes. The tissues were blocked in 1% BSA for 20 minutes at room temperature, washed with ddH2O and PBS, and then probed with the primary antibody (HA750784) at 1/5,000 dilution for 1 hour at room temperature. The detection was performed using an HRP conjugated compact polymer system. DAB was used as the chromogen. Tissues were counterstained with hematoxylin and mounted with DPX.
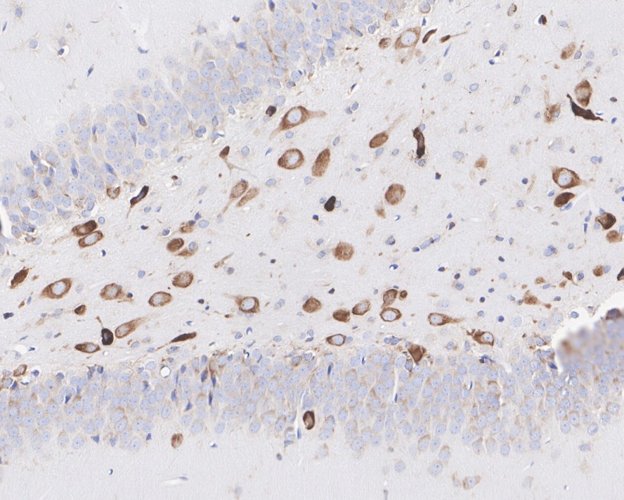
HA750784_5.jpg Fig5: Immunohistochemical analysis of paraffin-embedded rat hippocampus tissue with Rabbit anti-PACT (PKR activating protein) / PRKRA antibody (HA750784) at 1/5,000 dilution.

The section was pre-treated using heat mediated antigen retrieval with Tris-EDTA buffer (pH 9.0) for 20 minutes. The tissues were blocked in 1% BSA for 20 minutes at room temperature, washed with ddH2O and PBS, and then probed with the primary antibody (HA750784) at 1/5,000 dilution for 1 hour at room temperature. The detection was performed using an HRP conjugated compact polymer system. DAB was used as the chromogen. Tissues were counterstained with hematoxylin and mounted with DPX.
HA750784_6.jpg Fig6: Immunocytochemistry analysis of 293T cells labeling PACT (PKR activating protein) / PRKRA with Rabbit anti-PACT (PKR activating protein) / PRKRA antibody (HA750784) at 1/100 dilution.

Cells were fixed in 4% paraformaldehyde for 20 minutes at room temperature, permeabilized with 0.1% Triton X-100 in PBS for 5 minutes at room temperature, then blocked with 1% BSA in 10% negative goat serum for 1 hour at room temperature. Cells were then incubated with Rabbit anti-PACT (PKR activating protein) / PRKRA antibody (HA750784) at 1/100 dilution in 1% BSA in PBST overnight at 4 ℃. Goat Anti-Rabbit IgG H&L (iFluor™ 488, HA1121) was used as the secondary antibody at 1/1,000 dilution. PBS instead of the primary antibody was used as the secondary antibody only control. Nuclear DNA was labelled in blue with DAPI.

Beta tubulin (M1305-2, red) was stained at 1/100 dilution overnight at +4℃. Goat Anti-Mouse IgG H&L (iFluor™ 594, HA1126) was used as the secondary antibody at 1/1,000 dilution.
HA750784_7.jpg Fig7: Immunocytochemistry analysis of PC-12 cells labeling PACT (PKR activating protein) / PRKRA with Rabbit anti-PACT (PKR activating protein) / PRKRA antibody (HA750784) at 1/100 dilution.

Cells were fixed in 4% paraformaldehyde for 20 minutes at room temperature, permeabilized with 0.1% Triton X-100 in PBS for 5 minutes at room temperature, then blocked with 1% BSA in 10% negative goat serum for 1 hour at room temperature. Cells were then incubated with Rabbit anti-PACT (PKR activating protein) / PRKRA antibody (HA750784) at 1/100 dilution in 1% BSA in PBST overnight at 4 ℃. Goat Anti-Rabbit IgG H&L (iFluor™ 488, HA1121) was used as the secondary antibody at 1/1,000 dilution. PBS instead of the primary antibody was used as the secondary antibody only control. Nuclear DNA was labelled in blue with DAPI.

Beta tubulin (M1305-2, red) was stained at 1/100 dilution overnight at +4℃. Goat Anti-Mouse IgG H&L (iFluor™ 594, HA1126) was used as the secondary antibody at 1/1,000 dilution.
HA750784_8.jpg Fig8: Immunofluorescence analysis of paraffin-embedded rat brain tissue labeling PACT (PKR activating protein) / PRKRA with Rabbit anti-PACT (PKR activating protein) / PRKRA antibody (HA750784) at 1/200 dilution.

The section was pre-treated using heat mediated antigen retrieval with Tris-EDTA buffer (pH 9.0) for 20 minutes. The tissues were blocked in 10% negative goat serum for 1 hour at room temperature, washed with PBS, and then probed with the primary antibody (HA750784, green) at 1/200 dilution overnight at 4 ℃, washed with PBS. Goat Anti-Rabbit IgG H&L (iFluor™ 488, HA1121) was used as the secondary antibody at 1/1,000 dilution. Nuclei were counterstained with DAPI (blue).
HA750784_9.jpg Fig9: Immunofluorescence analysis of paraffin-embedded rat hippocampus tissue labeling PACT (PKR activating protein) / PRKRA with Rabbit anti-PACT (PKR activating protein) / PRKRA antibody (HA750784) at 1/200 dilution.

The section was pre-treated using heat mediated antigen retrieval with Tris-EDTA buffer (pH 9.0) for 20 minutes. The tissues were blocked in 10% negative goat serum for 1 hour at room temperature, washed with PBS, and then probed with the primary antibody (HA750784, green) at 1/200 dilution overnight at 4 ℃, washed with PBS. Goat Anti-Rabbit IgG H&L (iFluor™ 488, HA1121) was used as the secondary antibody at 1/1,000 dilution. Nuclei were counterstained with DAPI (blue).
HA750784_10.jpg Fig10: Flow cytometric analysis of 293T cells labeling PACT (PKR activating protein) / PRKRA.

Cells were fixed and permeabilized. Then stained with the primary antibody (HA750784, 1μg/mL) (red) compared with Rabbit IgG Isotype Control (green). After incubation of the primary antibody at +4℃ for an hour, the cells were stained with a iFluor™ 488 conjugate-Goat anti-Rabbit IgG Secondary antibody (HA1121) at 1/1,000 dilution for 30 minutes at +4℃. Unlabelled sample was used as a control (cells without incubation with primary antibody; black).
Note: All products are “FOR RESEARCH USE ONLY AND ARE NOT INTENDED FOR DIAGNOSTIC OR THERAPEUTIC USE”.