CD168 Recombinant Rabbit Monoclonal Antibody [PSH02-16]
cat.: HA750786
Product Type: Recombinant Rabbit monoclonal IgG, primary antibodies
Species reactivity: Human
Applications: WB, IF-Cell, IHC-P, FC
Clonality: Monoclonal
Clone number: PSH02-16
Form: Liquid
Storage condition: Store at +4℃ after thawing. Aliquot store at -20℃. Avoid repeated freeze / thaw cycles.
Storage buffer: 1*PBS (pH7.4).
Concentration: 1ug/ul
Purification: Protein A affinity purified.
Molecular weight: Predicted band size: 84 kDa
Isotype: IgG
Immunogen: Recombinant protein within human CD168 aa 1-350 / 724 (O75330).
Positive control: K-562 cell lysate, SW480 cell lysate, HepG2 cell lysate, Raji cell lysate, MCF7 cell lysate, SK-Br-3 cell lysate, HeLa cell lysate, Jurkat cell lysate, HeLa, human colon carcinoma tissue, human testis tissue, human tonsil tissue.
Subcellular location: Cell surface, Cytoplasm, cytoskeleton, spindle.
Recommended Dilutions:
  WB
  IF-Cell
  IHC-P
  FC

1:1,000
1:100
1:1,000
1:1,000
Uniprot #: SwissProt: O75330 Human
Alternative names: CD168 CD168 antigen HMMR HMMR_HUMAN Hyaluronan mediated motility receptor Hyaluronan-mediated motility receptor (RHAMM) IHABP Intracellular hyaluronic acid-binding protein MGC119494 MGC119495 OTTHUMP00000196920 Receptor for hyaluronan-mediated motility RHAMM
Images
HA750786_1.jpg Fig1: Western blot analysis of CD168 on different lysates with Rabbit anti-CD168 antibody (HA750786) at 1/1,000 dilution.

Lane 1: K-562 cell lysate
Lane 2: SW480 cell lysate
Lane 3: HepG2 cell lysate
Lane 4: Raji cell lysate
Lane 5: MCF7 cell lysate
Lane 6: SK-Br-3 cell lysate
Lane 7: HeLa cell lysate
Lane 8: Jurkat cell lysate

Lysates/proteins at 20 µg/Lane.

Predicted band size: 84 kDa
Observed band size: 84 kDa

Exposure time: 1 minute 46 seconds;

4-20% SDS-PAGE gel.

Proteins were transferred to a PVDF membrane and blocked with 5% NFDM/TBST for 1 hour at room temperature. The primary antibody (HA750786) at 1/1,000 dilution was used in 5% NFDM/TBST at room temperature for 2 hours. Goat Anti-Rabbit IgG - HRP Secondary Antibody (HA1001) at 1/50,000 dilution was used for 1 hour at room temperature.
HA750786_2.jpg Fig2: Immunocytochemistry analysis of HeLa cells labeling CD168 with Rabbit anti-CD168 antibody (HA750786) at 1/100 dilution.

Cells were fixed in 4% paraformaldehyde for 20 minutes at room temperature, permeabilized with 0.1% Triton X-100 in PBS for 5 minutes at room temperature, then blocked with 1% BSA in 10% negative goat serum for 1 hour at room temperature. Cells were then incubated with Rabbit anti-CD168 antibody (HA750786) at 1/100 dilution in 1% BSA in PBST overnight at 4 ℃. Goat Anti-Rabbit IgG H&L (iFluor™ 488, HA1121) was used as the secondary antibody at 1/1,000 dilution. PBS instead of the primary antibody was used as the secondary antibody only control. Nuclear DNA was labelled in blue with DAPI.

Beta tubulin (M1305-2, red) was stained at 1/100 dilution overnight at +4℃. Goat Anti-Mouse IgG H&L (iFluor™ 594, HA1126) was used as the secondary antibody at 1/1,000 dilution.
HA750786_3.jpg Fig3: Western blot analysis of CD168 on different lysates with Rabbit anti-CD168 antibody (HA750786) at 1/2,000 dilution.

Lane 1: HAP1-parental cell lysate
Lane 2: HAP1-CD168 KD cell lysate

Lysates/proteins at 10 µg/Lane.

Predicted band size: 84 kDa
Observed band size: 84 kDa

Exposure time: 15 seconds; ECL: K1801;

4-20% SDS-PAGE gel.

Proteins were transferred to a PVDF membrane and blocked with 5% NFDM/TBST for 1 hour at room temperature. The primary antibody (HA750786) at 1/2,000 dilution was used in primary antibody dilution (K1803) at 4℃ overnight. Goat Anti-Rabbit IgG - HRP Secondary Antibody (HA1001) at 1/50,000 dilution was used for 1 hour at room temperature.
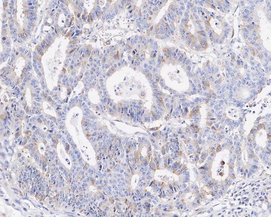
HA750786_4.jpg Fig4: Immunohistochemical analysis of paraffin-embedded human colon carcinoma tissue with Rabbit anti-CD168 antibody (HA750786) at 1/1,000 dilution.

The section was pre-treated using heat mediated antigen retrieval with Tris-EDTA buffer (pH 9.0) for 20 minutes. The tissues were blocked in 1% BSA for 20 minutes at room temperature, washed with ddH2O and PBS, and then probed with the primary antibody (HA750786) at 1/1,000 dilution for 1 hour at room temperature. The detection was performed using an HRP conjugated compact polymer system. DAB was used as the chromogen. Tissues were counterstained with hematoxylin and mounted with DPX.
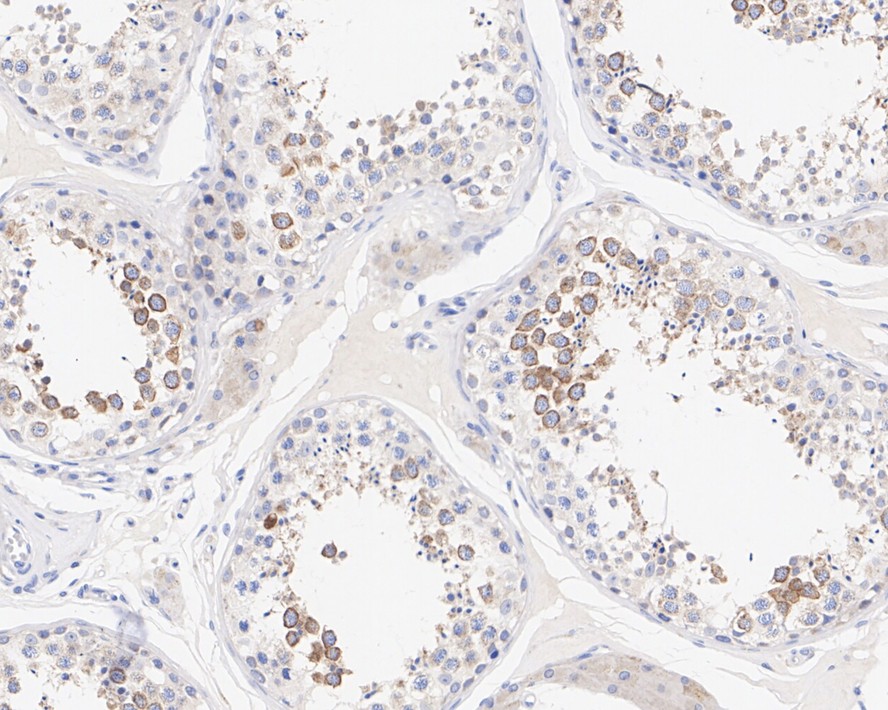
HA750786_5.jpg Fig5: Immunohistochemical analysis of paraffin-embedded human testis tissue with Rabbit anti-CD168 antibody (HA750786) at 1/1,000 dilution.

The section was pre-treated using heat mediated antigen retrieval with Tris-EDTA buffer (pH 9.0) for 20 minutes. The tissues were blocked in 1% BSA for 20 minutes at room temperature, washed with ddH2O and PBS, and then probed with the primary antibody (HA750786) at 1/1,000 dilution for 1 hour at room temperature. The detection was performed using an HRP conjugated compact polymer system. DAB was used as the chromogen. Tissues were counterstained with hematoxylin and mounted with DPX.
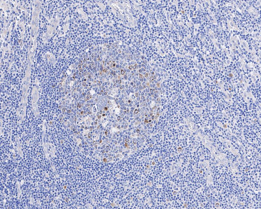
HA750786_6.jpg Fig6: Immunohistochemical analysis of paraffin-embedded human tonsil tissue with Rabbit anti-CD168 antibody (HA750786) at 1/1,000 dilution.

The section was pre-treated using heat mediated antigen retrieval with Tris-EDTA buffer (pH 9.0) for 20 minutes. The tissues were blocked in 1% BSA for 20 minutes at room temperature, washed with ddH2O and PBS, and then probed with the primary antibody (HA750786) at 1/1,000 dilution for 1 hour at room temperature. The detection was performed using an HRP conjugated compact polymer system. DAB was used as the chromogen. Tissues were counterstained with hematoxylin and mounted with DPX.
HA750786_7.jpg Fig7: Flow cytometric analysis of HeLa cells labeling CD168.

Cells were fixed and permeabilized. Then stained with the primary antibody (HA750786, 1μg/mL) (red) compared with Rabbit IgG Isotype Control (green). After incubation of the primary antibody at +4℃ for an hour, the cells were stained with a iFluor™ 488 conjugate-Goat anti-Rabbit IgG Secondary antibody (HA1121) at 1/1,000 dilution for 30 minutes at +4℃. Unlabelled sample was used as a control (cells without incubation with primary antibody; black).
Note: All products are “FOR RESEARCH USE ONLY AND ARE NOT INTENDED FOR DIAGNOSTIC OR THERAPEUTIC USE”.