beta Amyloid 1-42 Recombinant Rabbit Monoclonal Antibody [PSH02-83]
cat.: HA750790
Product Type: Recombinant Rabbit monoclonal IgG, primary antibodies
Species reactivity: Human, Mouse, Cynomolgus monkey, Pig
Applications: WB, IHC-P, IF-Tissue
Clonality: Monoclonal
Clone number: PSH02-83
Form: Liquid
Storage condition: Store at +4℃ after thawing. Aliquot store at -20℃. Avoid repeated freeze / thaw cycles.
Storage buffer: 1*PBS (pH7.4).
Concentration: 1ug/ul
Purification: Protein A affinity purified.
Molecular weight: Predicted band size: 4 kDa
Isotype: IgG
Immunogen: Synthetic peptide within Human beta Amyloid 1-42 peptide.
Positive control: APP/PS1, 6-month mouse of AD brain tissue.
Subcellular location: Cell membrane, Membrane, Perikaryon, Cell projection, growth cone, Membrane, clathrin-coated pit, Early endosome, Cytoplasmic vesicle.
Recommended Dilutions:
  WB
  IHC-P
  IF-Tissue

1:1,000
1:1,000-1:10,000
1:50
Uniprot #: SwissProt: P05067 Human | P12023 Mouse
Alternative names: A4 A4_HUMAN AAA ABETA ABPP AICD-50 AICD-57 AICD-59 AID(50) AID(57) AID(59) Alzheimer disease amyloid protein Amyloid intracellular domain 50 Amyloid intracellular domain 57 Amyloid intracellular domain 59 APP APPI Beta amyloid protein 42 Beta APP42 Beta-APP40 Beta-APP42 C31 Cerebral vascular amyloid peptide CVAP Gamma-CTF(50) Gamma-CTF(57) Gamma-CTF(59) PN-II PreA4 Protease nexin-II S-APP-alpha S-APP-beta
Images
HA750790_1.jpg Fig1: Western blot analysis of beta Amyloid 1-42 on different peptides with Rabbit anti-beta Amyloid 1-42 antibody (HA750790) at 1/1,000 dilution.

Lane 1: Human Aβ37 full length peptide (negative)
Lane 2: Human Aβ38 full length peptide (negative)
Lane 3: Human Aβ39 full length peptide (negative)
Lane 4: Human Aβ40 full length peptide (negative)
Lane 5: Human Aβ41 full length peptide (negative)
Lane 6: Human Aβ42 full length peptide (positive)
Lane 7: Human Aβ43 full length peptide (negative)
Lane 8: Mouse Aβ42 full length peptide (positive)

Lysates/proteins at 100 ng/Lane.

Predicted band size: 4 kDa
Observed band size: 4 kDa

Exposure time: 59 seconds; ECL: K1801;

4-20% SDS-PAGE gel.

Proteins were transferred to a PVDF membrane and blocked with 5% NFDM/TBST for 1 hour at room temperature. The primary antibody (HA750790) at 1/1,000 dilution was used in 5% NFDM/TBST at 4℃ overnight. Goat Anti-Rabbit IgG - HRP Secondary Antibody (HA1001) at 1/50,000 dilution was used for 1 hour at room temperature.
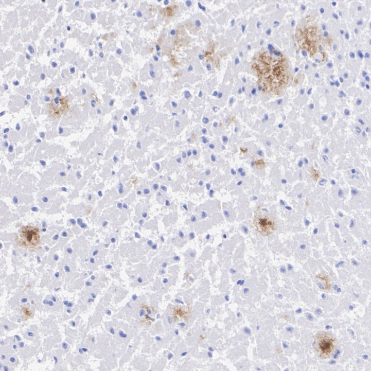
HA750790_2.jpg Fig2: Immunohistochemical analysis of paraffin-embedded APP/PS1, 6-month mouse of AD brain tissue with Rabbit anti-beta Amyloid 1-42 antibody (HA750790) at 1/10,000 dilution.

The section was pre-treated using heat mediated antigen retrieval with Tris-EDTA buffer (pH 9.0) for 20 minutes. The tissues were blocked in 1% BSA for 20 minutes at room temperature, washed with ddH2O and PBS, and then probed with the primary antibody (HA750790) at 1/10,000 dilution for 1 hour at room temperature. The detection was performed using an HRP conjugated compact polymer system. DAB was used as the chromogen. Tissues were counterstained with hematoxylin and mounted with DPX.
HA750790_3.jpg Fig3: Immunohistochemical analysis of paraffin-embedded mouse brain tissue (negative control) with Rabbit anti-beta Amyloid 1-42 antibody (HA750790) at 1/1,000 dilution.

The section was pre-treated using heat mediated antigen retrieval with Tris-EDTA buffer (pH 9.0) for 20 minutes. The tissues were blocked in 1% BSA for 20 minutes at room temperature, washed with ddH2O and PBS, and then probed with the primary antibody (HA750790) at 1/1,000 dilution for 1 hour at room temperature. The detection was performed using an HRP conjugated compact polymer system. DAB was used as the chromogen. Tissues were counterstained with hematoxylin and mounted with DPX.
HA750790_4.jpg Fig4: Immunofluorescence analysis of paraffin-embedded APP/PS1, 6-month mouse of AD brain tissue labeling beta Amyloid 1-42 with Rabbit anti-beta Amyloid 1-42 antibody (HA750790) at 1/50 dilution.

The section was pre-treated using heat mediated antigen retrieval with Tris-EDTA buffer (pH 9.0) for 20 minutes. The tissues were blocked in 10% negative goat serum for 1 hour at room temperature, washed with PBS, and then probed with the primary antibody (HA750790, green) at 1/50 dilution overnight at 4 ℃, washed with PBS. Goat Anti-Rabbit IgG H&L (iFluor™ 488, HA1121) was used as the secondary antibody at 1/1,000 dilution. Nuclei were counterstained with DAPI (blue).
Note: All products are “FOR RESEARCH USE ONLY AND ARE NOT INTENDED FOR DIAGNOSTIC OR THERAPEUTIC USE”.