Phospho-p70 S6 Kinase (T389) Recombinant Rabbit Monoclonal Antibody [PSH02-23]
cat.: HA750791
Product Type: Recombinant Rabbit monoclonal IgG, primary antibodies
Species reactivity: Human, Mouse, Rat
Applications: WB, IF-Cell, IHC-P
Clonality: Monoclonal
Clone number: PSH02-23
Form: Liquid
Storage condition: Store at +4℃ after thawing. Aliquot store at -20℃. Avoid repeated freeze / thaw cycles.
Storage buffer: 1*PBS (pH7.4).
Concentration: 1ug/ul
Purification: Protein A affinity purified.
Molecular weight: Predicted band size: 59 kDa
Isotype: IgG
Immunogen: Synthetic peptide within human P70 S6 Kinase aa 371-420 / 525.
Positive control: MCF7 cell lysate, MCF7 treated with 20% FBS overnight then add 100nM Calyculin A for 30 minutes cell lysate, NIH/3T3 treated with 20% FBS overnight then add 100nM Calyculin A for 30 minutes cell lysate, human breast carcinoma tissue, MCF7 starved for 4 hours then treated with 200ng/mL EGF for 15 minutes cell lysate, C6 cell lysate, C6 treated with 100nM Calyculin A for 30 minutes cell lysate, human liver carcinoma tissue, 293T cell lysate, 293T serum starved overnight cell lysate, 293T serum starved overnight then treated with 100nM Insulin for 15 minutes cell lysate, MCF7 cells treated with 20% FBS overnight then add 100nM Calyculin A for 30 minutes.
Subcellular location: Synapse, synaptosome, Mitochondrion outer membrane, Mitochondrion.
Recommended Dilutions:
  WB
  IF-Cell
  IHC-P

1:1,000-1:2,000
1:100
1:1,000
Uniprot #: SwissProt: P23443 Human | Q8BSK8 Mouse
Entrez Gene: 83840 Rat
Alternative names: 70 kDa ribosomal protein S6 kinase 1 p70 alpha p70 S6 kinase alpha p70 S6K p70 S6KA p70(S6K) alpha p70s6kA PS6K Ribosomal protein S6 kinase 70kDa polypeptide 1 ribosomal protein S6 kinase beta 1 ribosomal protein S6 kinase I Ribosomal protein S6 kinase, 70-kD RPS6KB1 S6K S6K1 Serine/threonine kinase 14 alpha Serine/threonine protein kinase 14A STK14A
Images
HA750791_1.jpg Fig1: Western blot analysis of Phospho-p70 S6 Kinase (T389) on different lysates with Rabbit anti-Phospho-p70 S6 Kinase (T389) antibody (HA750791) at 1/2,000 dilution and competitor's antibody at 1/2,000 dilution.

Lane 1: MCF7 cell lysate
Lane 2: MCF7 treated with 20% FBS overnight then add 100nM Calyculin A for 30 minutes cell lysate
Lane 3: NIH/3T3 cell lysate
Lane 4: NIH/3T3 treated with 20% FBS overnight then add 100nM Calyculin A for 30 minutes cell lysate

Lysates/proteins at 15 µg/Lane.

Predicted band size: 59 kDa
Observed band size: 70/85 kDa

Exposure time: Lane 1-4 (left): 1 minute 2 seconds; Lane 1-4 (right): 3 minutes; ECL: K1801;

4-20% SDS-PAGE gel.

Proteins were transferred to a PVDF membrane and blocked with 5% NFDM/TBST for 1 hour at room temperature. The primary antibody (HA750791) at 1/2,000 dilution and competitor's antibody at 1/2,000 dilution were used in 5% NFDM/TBST at 4℃ overnight. Goat Anti-Rabbit IgG - HRP Secondary Antibody (HA1001) at 1/50,000 dilution was used for 1 hour at room temperature.
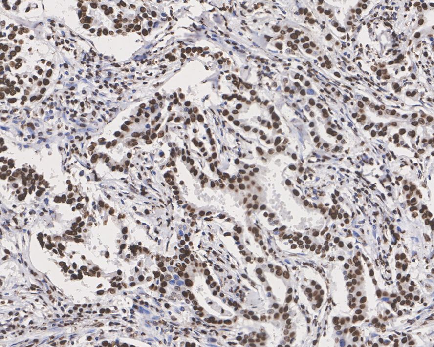
HA750791_2.jpg Fig2: Immunohistochemical analysis of paraffin-embedded human breast carcinoma tissue with Rabbit anti-Phospho-p70 S6 Kinase (T389) antibody (HA750791) at 1/1,000 dilution.

The section was pre-treated using heat mediated antigen retrieval with sodium citrate buffer (pH 6.0) (high pressure) for 2 minutes. The tissues were blocked in 1% BSA for 20 minutes at room temperature, washed with ddH2O and PBS, and then probed with the primary antibody (HA750791) at 1/1,000 dilution for 1 hour at room temperature. The detection was performed using an HRP conjugated compact polymer system. DAB was used as the chromogen. Tissues were counterstained with hematoxylin and mounted with DPX.
HA750791_3.jpg Fig3: Western blot analysis of Phospho-p70 S6 Kinase (T389) on different lysates with Rabbit anti-Phospho-p70 S6 Kinase (T389) antibody (HA750791) at 1/1,000 dilution.

Lane 1: MCF7 cell lysate
Lane 2: MCF7 starved for 4 hours then treated with 200ng/mL EGF for 15 minutes cell lysate
Lane 3: C6 cell lysate
Lane 4: C6 treated with 100nM Calyculin A for 30 minutes cell lysate

Lysates/proteins at 20 µg/Lane.

Predicted band size: 59 kDa
Observed band size: 70/85 kDa

Exposure time: 46 seconds; ECL: K1802;

4-20% SDS-PAGE gel.

Proteins were transferred to a PVDF membrane and blocked with 5% NFDM/TBST for 1 hour at room temperature. The primary antibody (HA750791) at 1/1,000 dilution was used in 5% NFDM/TBST at 4℃ overnight. Goat Anti-Rabbit IgG - HRP Secondary Antibody (HA1001) at 1/50,000 dilution was used for 1 hour at room temperature.
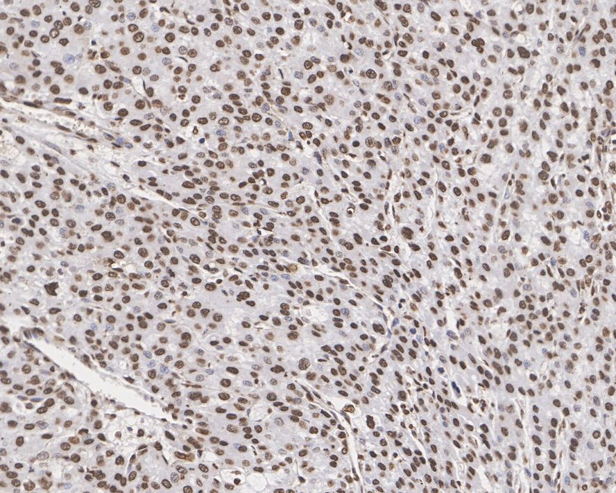
HA750791_4.jpg Fig4: Immunohistochemical analysis of paraffin-embedded human liver carcinoma tissue with Rabbit anti-Phospho-p70 S6 Kinase (T389) antibody (HA750791) at 1/1,000 dilution.

The section was pre-treated using heat mediated antigen retrieval with sodium citrate buffer (pH 6.0) (high pressure) for 2 minutes. The tissues were blocked in 1% BSA for 20 minutes at room temperature, washed with ddH2O and PBS, and then probed with the primary antibody (HA750791) at 1/1,000 dilution for 1 hour at room temperature. The detection was performed using an HRP conjugated compact polymer system. DAB was used as the chromogen. Tissues were counterstained with hematoxylin and mounted with DPX.
HA750791_5.jpg Fig5: Western blot analysis of Phospho-p70 S6 Kinase (T389) on different lysates with Rabbit anti-Phospho-p70 S6 Kinase (T389) antibody (HA750791) at 1/2,000 dilution.

Lane 1: 293T cell lysate
Lane 2: 293T serum starved overnight cell lysate
Lane 3: 293T serum starved overnight then treated with 100nM Insulin for 15 minutes cell lysate

Lysates/proteins at 20 µg/Lane.

Predicted band size: 59 kDa
Observed band size: 70/85 kDa

Exposure time: 3 minutes 20 seconds; ECL: K1801;

4-20% SDS-PAGE gel.

Proteins were transferred to a PVDF membrane and blocked with 5% NFDM/TBST for 1 hour at room temperature. The primary antibody (HA750791) at 1/2,000 dilution was used in 5% NFDM/TBST at 4℃ overnight. Goat Anti-Rabbit IgG - HRP Secondary Antibody (HA1001) at 1/50,000 dilution was used for 1 hour at room temperature.
HA750791_6.jpg Fig6: Immunocytochemistry analysis of MCF7 cells treated with or without 20% FBS overnight then add 100nM Calyculin A for 30 minutes labeling Phospho-p70 S6 Kinase (T389) with Rabbit anti-Phospho-p70 S6 Kinase (T389) antibody (HA750791) at 1/100 dilution.

Cells were fixed in 4% paraformaldehyde for 20 minutes at room temperature, permeabilized with 0.1% Triton X-100 in PBS for 5 minutes at room temperature, then blocked with 1% BSA in 10% negative goat serum for 1 hour at room temperature. Cells were then incubated with Rabbit anti-Phospho-p70 S6 Kinase (T389) antibody (HA750791) at 1/100 dilution in 1% BSA in PBST overnight at 4 ℃. Goat Anti-Rabbit IgG H&L (iFluor™ 488, HA1121) was used as the secondary antibody at 1/1,000 dilution. PBS instead of the primary antibody was used as the secondary antibody only control. Nuclear DNA was labelled in blue with DAPI.

Beta tubulin (M1305-2, red) was stained at 1/100 dilution overnight at +4℃. Goat Anti-Mouse IgG H&L (iFluor™ 594, HA1126) was used as the secondary antibody at 1/1,000 dilution.
Note: All products are “FOR RESEARCH USE ONLY AND ARE NOT INTENDED FOR DIAGNOSTIC OR THERAPEUTIC USE”.