Cannabinoid receptor 1 Recombinant Rabbit Monoclonal Antibody [PSH02-43]
cat.: HA750808
Product Type: Recombinant Rabbit monoclonal IgG, primary antibodies
Species reactivity: Human, Mouse, Rat
Applications: WB, IHC-P
Clonality: Monoclonal
Clone number: PSH02-43
Form: Liquid
Storage condition: Store at +4℃ after thawing. Aliquot store at -20℃. Avoid repeated freeze / thaw cycles.
Storage buffer: PBS (pH7.4).
Concentration: 1ug/ul
Purification: Protein A affinity purified.
Molecular weight: Predicted band size: 53 kDa
Isotype: IgG
Immunogen: Recombinant protein within human Cannabinoid receptor 1 aa 1-472 /472.
Positive control: Human brain tissue lysate, mouse brain tissue lysate, mouse cerebellum tissue lysate, rat brain tissue lysate, rat cerebellum tissue lysate, mouse brain tissue, mouse hippocampus tissue, rat brain tissue, rat hippocampus tissue.
Subcellular location: Cell membrane, Membrane raft, Mitochondrion outer membrane, Cell projection, axon, Presynapse.
Recommended Dilutions:
  WB
  IHC-P

1:2,000
1:200-1:1,000
Uniprot #: SwissProt: P21554 Human | P47746 Mouse | P20272 Rat
Alternative names: CANN6 Cannabinoid receptor 1 CB-R CB1 CB1A CB1K5 CB1R Central cannabinoid receptor CNR CNR1 CNR1_HUMAN OTTHUMP00000016838 OTTHUMP00000214579
Images
HA750808_1.jpg Fig1: Western blot analysis of Cannabinoid receptor 1 on different lysates with Rabbit anti-Cannabinoid receptor 1 antibody (HA750808) at 1/1,000 dilution.

Lane 1: Human brain tissue lysate
Lane 2: Human liver tissue lysate (negative control)
Lane 3: Mouse brain tissue lysate
Lane 4: Mouse cerebellum tissue lysate
Lane 5: Mouse liver tissue lysate (negative control)
Lane 6: Rat brain tissue lysate
Lane 7: Rat cerebellum tissue lysate
Lane 8: Rat liver tissue lysate (negative control)

Lysates/proteins at 20 µg/Lane.

Predicted band size: 53 kDa
Observed band size: 53 kDa

Exposure time: 42 seconds;

4-20% SDS-PAGE gel.

Proteins were transferred to a PVDF membrane and blocked with 5% NFDM/TBST for 1 hour at room temperature. The primary antibody (HA750808) at 1/1,000 dilution was used in 5% NFDM/TBST at 4℃ overnight. Goat Anti-Rabbit IgG - HRP Secondary Antibody (HA1001) at 1/50,000 dilution was used for 1 hour at room temperature.
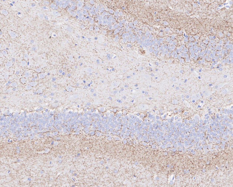
HA750808_2.jpg Fig2: Immunohistochemical analysis of paraffin-embedded mouse brain tissue with Rabbit anti-Cannabinoid receptor 1 antibody (HA750808) at 1/200 dilution.

The section was pre-treated using heat mediated antigen retrieval with Tris-EDTA buffer (pH 9.0) for 20 minutes. The tissues were blocked in 1% BSA for 20 minutes at room temperature, washed with ddH2O and PBS, and then probed with the primary antibody (HA750808) at 1/200 dilution for 1 hour at room temperature. The detection was performed using an HRP conjugated compact polymer system. DAB was used as the chromogen. Tissues were counterstained with hematoxylin and mounted with DPX.
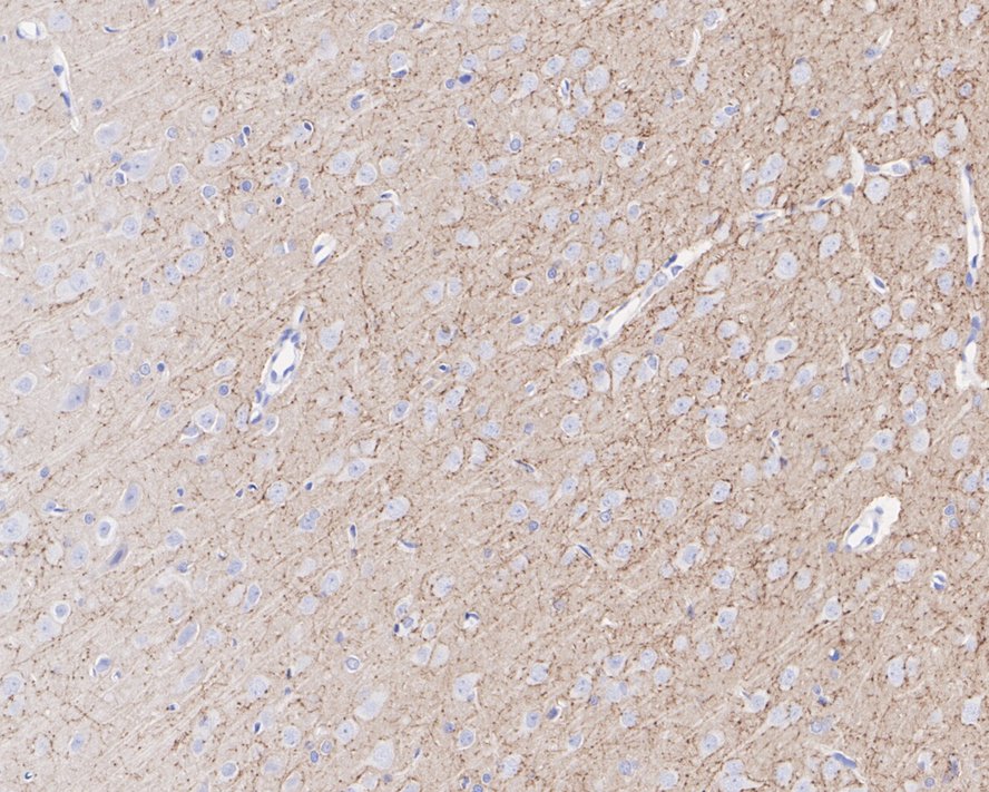
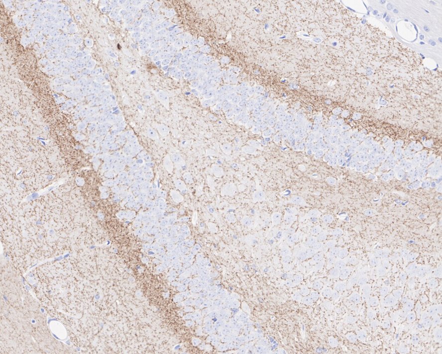
HA750808_3.jpg Fig3: Immunohistochemical analysis of paraffin-embedded mouse hippocampus tissue with Rabbit anti-Cannabinoid receptor 1 antibody (HA750808) at 1/1,000 dilution.

The section was pre-treated using heat mediated antigen retrieval with Tris-EDTA buffer (pH 9.0) for 20 minutes. The tissues were blocked in 1% BSA for 20 minutes at room temperature, washed with ddH2O and PBS, and then probed with the primary antibody (HA750808) at 1/1,000 dilution for 1 hour at room temperature. The detection was performed using an HRP conjugated compact polymer system. DAB was used as the chromogen. Tissues were counterstained with hematoxylin and mounted with DPX.
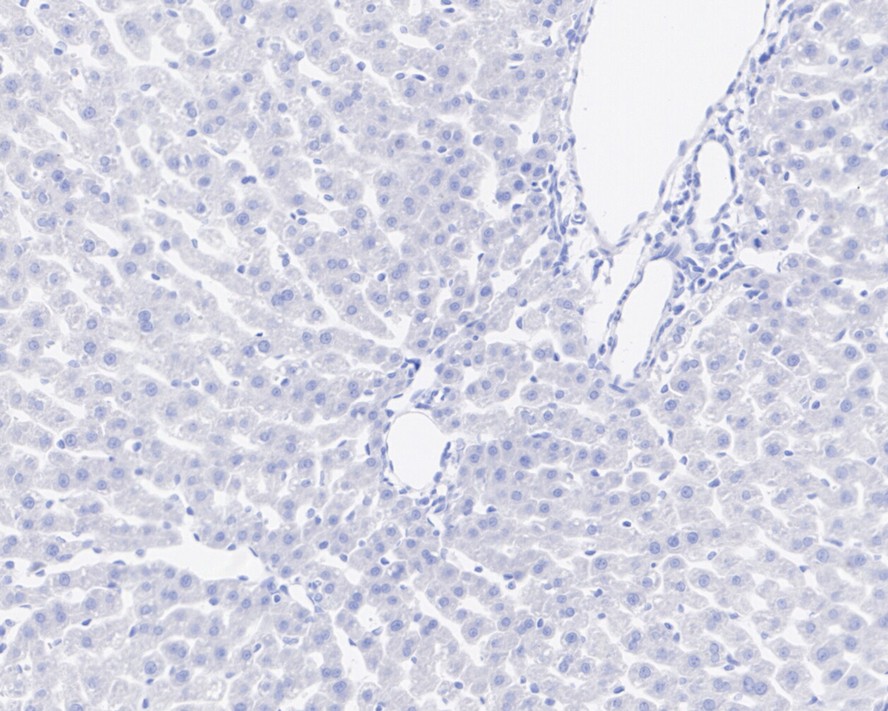
HA750808_4.jpg Fig4: Immunohistochemical analysis of paraffin-embedded mouse liver (negative control) tissue with Rabbit anti-Cannabinoid receptor 1 antibody (HA750808) at 1/1,000 dilution.

The section was pre-treated using heat mediated antigen retrieval with Tris-EDTA buffer (pH 9.0) for 20 minutes. The tissues were blocked in 1% BSA for 20 minutes at room temperature, washed with ddH2O and PBS, and then probed with the primary antibody (HA750808) at 1/1,000 dilution for 1 hour at room temperature. The detection was performed using an HRP conjugated compact polymer system. DAB was used as the chromogen. Tissues were counterstained with hematoxylin and mounted with DPX.
HA750808_5.jpg Fig5: Immunohistochemical analysis of paraffin-embedded rat brain tissue with Rabbit anti-Cannabinoid receptor 1 antibody (HA750808) at 1/1,000 dilution.

The section was pre-treated using heat mediated antigen retrieval with Tris-EDTA buffer (pH 9.0) for 20 minutes. The tissues were blocked in 1% BSA for 20 minutes at room temperature, washed with ddH2O and PBS, and then probed with the primary antibody (HA750808) at 1/1,000 dilution for 1 hour at room temperature. The detection was performed using an HRP conjugated compact polymer system. DAB was used as the chromogen. Tissues were counterstained with hematoxylin and mounted with DPX.
HA750808_6.jpg Fig6: Immunohistochemical analysis of paraffin-embedded rat hippocampus tissue with Rabbit anti-Cannabinoid receptor 1 antibody (HA750808) at 1/1,000 dilution.

The section was pre-treated using heat mediated antigen retrieval with Tris-EDTA buffer (pH 9.0) for 20 minutes. The tissues were blocked in 1% BSA for 20 minutes at room temperature, washed with ddH2O and PBS, and then probed with the primary antibody (HA750808) at 1/1,000 dilution for 1 hour at room temperature. The detection was performed using an HRP conjugated compact polymer system. DAB was used as the chromogen. Tissues were counterstained with hematoxylin and mounted with DPX.
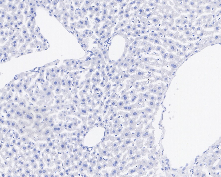
HA750808_7.jpg Fig7: Immunohistochemical analysis of paraffin-embedded rat liver (negative control) tissue with Rabbit anti-Cannabinoid receptor 1 antibody (HA750808) at 1/1,000 dilution.

The section was pre-treated using heat mediated antigen retrieval with Tris-EDTA buffer (pH 9.0) for 20 minutes. The tissues were blocked in 1% BSA for 20 minutes at room temperature, washed with ddH2O and PBS, and then probed with the primary antibody (HA750808) at 1/1,000 dilution for 1 hour at room temperature. The detection was performed using an HRP conjugated compact polymer system. DAB was used as the chromogen. Tissues were counterstained with hematoxylin and mounted with DPX.
Note: All products are “FOR RESEARCH USE ONLY AND ARE NOT INTENDED FOR DIAGNOSTIC OR THERAPEUTIC USE”.