GOLPH4/GPP130 Recombinant Rabbit Monoclonal Antibody [PSH02-98]
cat.: HA750853
Product Type: Recombinant Rabbit monoclonal IgG, primary antibodies
Species reactivity: Human
Applications: WB, IHC-P, IF-Cell, IF-Tissue, FC
Clonality: Monoclonal
Clone number: PSH02-98
Form: Liquid
Storage condition: Store at +4℃ after thawing. Aliquot store at -20℃. Avoid repeated freeze / thaw cycles.
Storage buffer: 1*PBS (pH7.4).
Concentration: 1ug/ul
Purification: Protein A affinity purified.
Molecular weight: Predicted band size: 82 kDa
Isotype: IgG
Immunogen: Synthetic peptide within human GOLPH4 aa 1-696 / 696.
Positive control: HeLa cell lysate, HepG2 cell lysate, U-2 OS cell lysate, LO2 cell lysate, HUVEC cell lysate, SiHa cell lysate, human colon tissue, human liver tissue, HeLa, HepG2.
Subcellular location: Golgi apparatus > Golgi stack membrane. Endosome membrane. Localizes to cis and medial Golgi cisternae. Probably cycles between early Golgi and distal compartments like endosome.
Recommended Dilutions:
  WB
  IHC-P
  IF-Cell
  IF-Tissue
  FC

1:2,000-1:10,000
1:1,000
1:1,500
1:200
1:1,000
Uniprot #: SwissProt: O00461 Human
Alternative names: 130 kDa golgi localized phosphoprotein cis cis Golgi localized calcium binding protein GIMPc Golgi integral membrane protein 4 Golgi integral membrane protein Golgi phosphoprotein 4 Golgi phosphoprotein of 130 kDa Golgi-localized phosphoprotein of 130 kDa GOLI4_HUMAN golim4 GOLPH 4 GPP 130 GPP130 P 138 P138 type II Golgi membrane protein
Images
HA750853_1.jpg Fig1: Western blot analysis of GOLPH4/GPP130 on different lysates with Rabbit anti-GOLPH4/GPP130 antibody (HA750853) at 1/5,000 dilution and competitor's antibody at 1/1,000 dilution.

Lane 1: HeLa cell lysate
Lane 2: HepG2 cell lysate
Lane 3: U-2 OS cell lysate
Lane 4: LO2 cell lysate
Lane 5: HUVEC cell lysate
Lane 6: SiHa cell lysate

Lysates/proteins at 15 µg/Lane.

Predicted band size: 82 kDa
Observed band size: 130/82 kDa

Exposure time: Lane 1-6 (left): 1 minute 2 seconds; Lane 1-6 (right): 3 minutes; ECL: K1801;

4-20% SDS-PAGE gel.

Proteins were transferred to a PVDF membrane and blocked with 5% NFDM/TBST for 1 hour at room temperature. The primary antibody (HA750853) at 1/5,000 dilution and competitor's antibody at 1/1,000 dilution were used in 5% NFDM/TBST at 4℃ overnight. Goat Anti-Rabbit IgG - HRP Secondary Antibody (HA1001) at 1/50,000 dilution was used for 1 hour at room temperature.
HA750853_2.jpg Fig2: Western blot analysis of GOLPH4/GPP130 on different lysates with Rabbit anti-GOLPH4/GPP130 antibody (HA750853) at 1/2,000 dilution.

Lane 1: HepG2-si NT cell lysate (10 µg/Lane)
Lane 2: HepG2-si GOLPH4 cell lysate (10 µg/Lane)

Predicted band size: 82 kDa
Observed band size: 130 kDa

Exposure time: 53 seconds; ECL: K1801;
4-20% SDS-PAGE gel.

Proteins were transferred to a PVDF membrane and blocked with 5% NFDM/TBST for 1 hour at room temperature. The primary antibody (HA750853) at 1/2,000 dilution was used in 5% NFDM/TBST at 4℃ overnight. Goat Anti-Rabbit IgG - HRP Secondary Antibody (HA1001) at 1/100,000 dilution was used for 1 hour at room temperature.
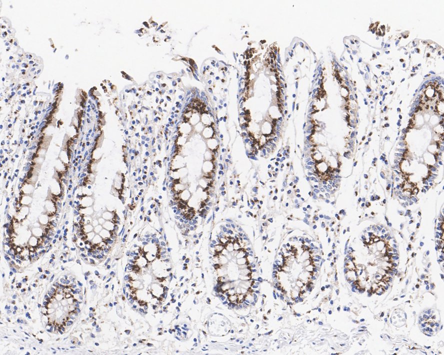
HA750853_3.jpg Fig3: Immunohistochemical analysis of paraffin-embedded human colon tissue with Rabbit anti-GOLPH4/GPP130 antibody (HA750853) at 1/1,000 dilution.

The section was pre-treated using heat mediated antigen retrieval with Tris-EDTA buffer (pH 9.0) for 20 minutes. The tissues were blocked in 1% BSA for 20 minutes at room temperature, washed with ddH2O and PBS, and then probed with the primary antibody (HA750853) at 1/1,000 dilution for 1 hour at room temperature. The detection was performed using an HRP conjugated compact polymer system. DAB was used as the chromogen. Tissues were counterstained with hematoxylin and mounted with DPX.
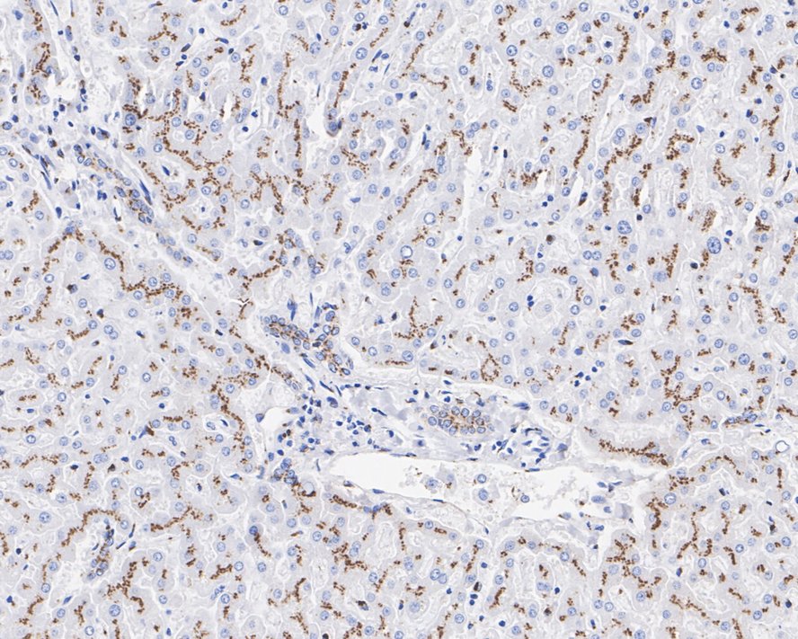
HA750853_4.jpg Fig4: Immunohistochemical analysis of paraffin-embedded human liver tissue with Rabbit anti-GOLPH4/GPP130 antibody (HA750853) at 1/1,000 dilution.

The section was pre-treated using heat mediated antigen retrieval with Tris-EDTA buffer (pH 9.0) for 20 minutes. The tissues were blocked in 1% BSA for 20 minutes at room temperature, washed with ddH2O and PBS, and then probed with the primary antibody (HA750853) at 1/1,000 dilution for 1 hour at room temperature. The detection was performed using an HRP conjugated compact polymer system. DAB was used as the chromogen. Tissues were counterstained with hematoxylin and mounted with DPX.
HA750853_5.jpg Fig5: Immunofluorescence analysis of paraffin-embedded human colon tissue labeling GOLPH4/GPP130 with Rabbit anti-GOLPH4/GPP130 antibody (HA750853) at 1/200 dilution.

The section was pre-treated using heat mediated antigen retrieval with Tris-EDTA buffer (pH 9.0) for 20 minutes. The tissues were blocked in 10% negative goat serum for 1 hour at room temperature, washed with PBS, and then probed with the primary antibody (HA750853, green) at 1/200 dilution overnight at 4 ℃, washed with PBS. Goat Anti-Rabbit IgG H&L (iFluor™ 488, HA1121) was used as the secondary antibody at 1/1,000 dilution. Nuclei were counterstained with DAPI (blue).
HA750853_6.jpg Fig6: Immunofluorescence analysis of paraffin-embedded human liver tissue labeling GOLPH4/GPP130 with Rabbit anti-GOLPH4/GPP130 antibody (HA750853) at 1/200 dilution.

The section was pre-treated using heat mediated antigen retrieval with Tris-EDTA buffer (pH 9.0) for 20 minutes. The tissues were blocked in 10% negative goat serum for 1 hour at room temperature, washed with PBS, and then probed with the primary antibody (HA750853, green) at 1/200 dilution overnight at 4 ℃, washed with PBS. Goat Anti-Rabbit IgG H&L (iFluor™ 488, HA1121) was used as the secondary antibody at 1/1,000 dilution. Nuclei were counterstained with DAPI (blue).
HA750853_7.jpg Fig7: Immunocytochemistry analysis of HeLa cells labeling GOLPH4/GPP130 with Rabbit anti-GOLPH4/GPP130 antibody (HA750853) at 1/1,500 dilution.

Cells were fixed in 4% paraformaldehyde for 20 minutes at room temperature, permeabilized with 0.1% Triton X-100 in PBS for 5 minutes at room temperature, then blocked with 1% BSA in 10% negative goat serum for 1 hour at room temperature. Cells were then incubated with Rabbit anti-GOLPH4/GPP130 antibody (HA750853) at 1/1,500 dilution in 1% BSA in PBST overnight at 4 ℃. Goat Anti-Rabbit IgG H&L (iFluor™ 488, HA1121) was used as the secondary antibody at 1/1,000 dilution. PBS instead of the primary antibody was used as the secondary antibody only control. Nuclear DNA was labelled in blue with DAPI.
HA750853_8.jpg Fig8: Immunocytochemistry analysis of HepG2 cells labeling GOLPH4/GPP130 with Rabbit anti-GOLPH4/GPP130 antibody (HA750853) at 1/1,500 dilution.

Cells were fixed in 4% paraformaldehyde for 20 minutes at room temperature, permeabilized with 0.1% Triton X-100 in PBS for 5 minutes at room temperature, then blocked with 1% BSA in 10% negative goat serum for 1 hour at room temperature. Cells were then incubated with Rabbit anti-GOLPH4/GPP130 antibody (HA750853) at 1/1,500 dilution in 1% BSA in PBST overnight at 4 ℃. Goat Anti-Rabbit IgG H&L (iFluor™ 488, HA1121) was used as the secondary antibody at 1/1,000 dilution. PBS instead of the primary antibody was used as the secondary antibody only control. Nuclear DNA was labelled in blue with DAPI.
HA750853_9.jpg Fig9: Flow cytometric analysis of HeLa cells labeling GOLPH4/GPP130.

Cells were fixed and permeabilized. Then stained with the primary antibody (HA750853, 1μg/mL) (red) compared with Rabbit IgG Isotype Control (green). After incubation of the primary antibody at +4℃ for an hour, the cells were stained with a iFluor™ 488 conjugate-Goat anti-Rabbit IgG Secondary antibody (HA1121) at 1/1,000 dilution for 30 minutes at +4℃. Unlabelled sample was used as a control (cells without incubation with primary antibody; black).
Note: All products are “FOR RESEARCH USE ONLY AND ARE NOT INTENDED FOR DIAGNOSTIC OR THERAPEUTIC USE”.