TRIM29 Recombinant Rabbit Monoclonal Antibody [PSH02-99]
cat.: HA750854
Product Type: Recombinant Rabbit monoclonal IgG, primary antibodies
Species reactivity: Human, Mouse, Rat
Applications: WB, IHC-P, IF-Cell, FC
Clonality: Monoclonal
Clone number: PSH02-99
Form: Liquid
Storage condition: Store at +4℃ after thawing. Aliquot store at -20℃. Avoid repeated freeze / thaw cycles.
Storage buffer: 1*PBS (pH7.4).
Concentration: 1ug/ul
Purification: Protein A affinity purified.
Molecular weight: Predicted band size: 66 kDa
Isotype: IgG
Immunogen: Synthetic peptide within human TRIM29 aa 1-588 / 588.
Positive control: A431 cell lysate, SiHa cell lysate, SW1990 cell lysate, HT-29 cell lysate, A431, human prostate tissue, human skin tissue, mouse skin tissue, rat skin tissue.
Subcellular location: Cytoplasm.
Recommended Dilutions:
  WB
  IHC-P
  IF-Cell
  FC

1:2,000
1:500-1:2,000
1:100
1:1,000
Uniprot #: SwissProt: Q14134 Human | Q8R2Q0 Mouse
Entrez Gene: 300656 Rat
Alternative names: Ataxia telangiectasia group D associated protein Ataxia telangiectasia group D-associated protein ATDC FLJ36085 TRI29_HUMAN TRIM 29 TRIM29 Tripartite motif containing 29 Tripartite motif containing protein 29 Tripartite motif protein 29 Tripartite motif protein TRIM29 Tripartite motif-containing protein 29
Images
HA750854_1.jpg Fig1: Western blot analysis of TRIM29 on different lysates with Rabbit anti-TRIM29 antibody (HA750854) at 1/1,000 dilution.

Lane 1: A431 cell lysate
Lane 2: SiHa cell lysate
Lane 3: SW1990 cell lysate
Lane 4: HT-29 cell lysate

Lysates/proteins at 20 µg/Lane.

Predicted band size: 66 kDa
Observed band size: 70 kDa

Exposure time: 5 minutes;

4-20% SDS-PAGE gel.

Proteins were transferred to a PVDF membrane and blocked with 5% NFDM/TBST for 1 hour at room temperature. The primary antibody (HA750854) at 1/2,000 dilution was used in 5% NFDM/TBST at 4℃ overnight. Goat Anti-Rabbit IgG - HRP Secondary Antibody (HA1001) at 1/50,000 dilution was used for 1 hour at room temperature.
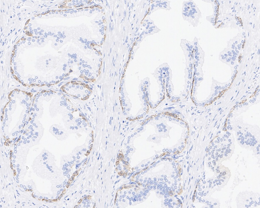
HA750854_2.jpg Fig2: Immunohistochemical analysis of paraffin-embedded human prostate tissue with Rabbit anti-TRIM29 antibody (HA750854) at 1/500 dilution.

The section was pre-treated using heat mediated antigen retrieval with Tris-EDTA buffer (pH 9.0) for 20 minutes. The tissues were blocked in 1% BSA for 20 minutes at room temperature, washed with ddH2O and PBS, and then probed with the primary antibody (HA750854) at 1/500 dilution for 1 hour at room temperature. The detection was performed using an HRP conjugated compact polymer system. DAB was used as the chromogen. Tissues were counterstained with hematoxylin and mounted with DPX.
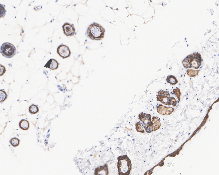
HA750854_3.jpg Fig3: Immunohistochemical analysis of paraffin-embedded human skin tissue with Rabbit anti-TRIM29 antibody (HA750854) at 1/500 dilution.

The section was pre-treated using heat mediated antigen retrieval with Tris-EDTA buffer (pH 9.0) for 20 minutes. The tissues were blocked in 1% BSA for 20 minutes at room temperature, washed with ddH2O and PBS, and then probed with the primary antibody (HA750854) at 1/500 dilution for 1 hour at room temperature. The detection was performed using an HRP conjugated compact polymer system. DAB was used as the chromogen. Tissues were counterstained with hematoxylin and mounted with DPX.
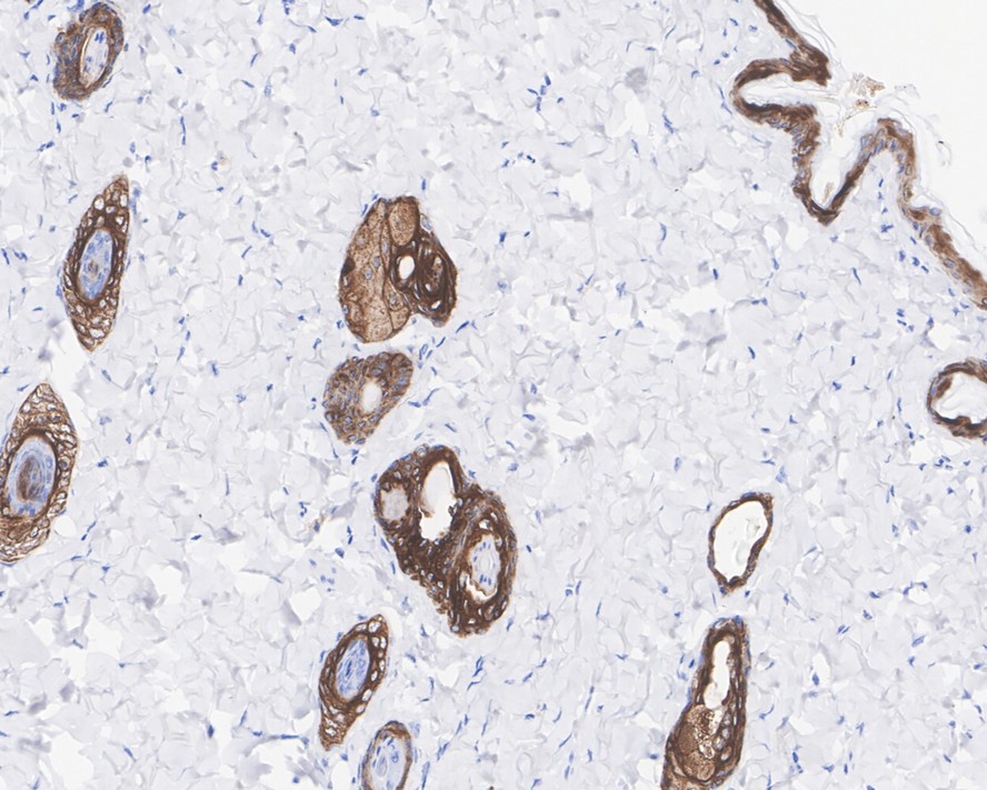
HA750854_4.jpg Fig4: Immunohistochemical analysis of paraffin-embedded mouse skin tissue with Rabbit anti-TRIM29 antibody (HA750854) at 1/2000 dilution.

The section was pre-treated using heat mediated antigen retrieval with Tris-EDTA buffer (pH 9.0) for 20 minutes. The tissues were blocked in 1% BSA for 20 minutes at room temperature, washed with ddH2O and PBS, and then probed with the primary antibody (HA750854) at 1/2000 dilution for 1 hour at room temperature. The detection was performed using an HRP conjugated compact polymer system. DAB was used as the chromogen. Tissues were counterstained with hematoxylin and mounted with DPX.
HA750854_5.jpg Fig5: Immunohistochemical analysis of paraffin-embedded rat skin tissue with Rabbit anti-TRIM29 antibody (HA750854) at 1/2000 dilution.

The section was pre-treated using heat mediated antigen retrieval with Tris-EDTA buffer (pH 9.0) for 20 minutes. The tissues were blocked in 1% BSA for 20 minutes at room temperature, washed with ddH2O and PBS, and then probed with the primary antibody (HA750854) at 1/2000 dilution for 1 hour at room temperature. The detection was performed using an HRP conjugated compact polymer system. DAB was used as the chromogen. Tissues were counterstained with hematoxylin and mounted with DPX.
HA750854_6.jpg Fig6: Immunocytochemistry analysis of A431 cells labeling TRIM29 with Rabbit anti-TRIM29 antibody (HA750854) at 1/100 dilution.

Cells were fixed in 4% paraformaldehyde for 20 minutes at room temperature, permeabilized with 0.1% Triton X-100 in PBS for 5 minutes at room temperature, then blocked with 1% BSA in 10% negative goat serum for 1 hour at room temperature. Cells were then incubated with Rabbit anti-TRIM29 antibody (HA750854) at 1/100 dilution in 1% BSA in PBST overnight at 4 ℃. Goat Anti-Rabbit IgG H&L (iFluor™ 488, HA1121) was used as the secondary antibody at 1/1,000 dilution. PBS instead of the primary antibody was used as the secondary antibody only control. Nuclear DNA was labelled in blue with DAPI.

Beta tubulin (M1305-2, red) was stained at 1/100 dilution overnight at +4℃. Goat Anti-Mouse IgG H&L (iFluor™ 594, HA1126) was used as the secondary antibody at 1/1,000 dilution.
HA750854_7.jpg Fig7: Flow cytometric analysis of A431 cells labeling TRIM29.

Cells were fixed and permeabilized. Then stained with the primary antibody (HA750854, 1μg/mL) (red) compared with Rabbit IgG Isotype Control (green). After incubation of the primary antibody at +4℃ for an hour, the cells were stained with a iFluor™ 488 conjugate-Goat anti-Rabbit IgG Secondary antibody (HA1121) at 1/1,000 dilution for 30 minutes at +4℃. Unlabelled sample was used as a control (cells without incubation with primary antibody; black).
Note: All products are “FOR RESEARCH USE ONLY AND ARE NOT INTENDED FOR DIAGNOSTIC OR THERAPEUTIC USE”.