Axin1 Recombinant Rabbit Monoclonal Antibody [PSH03-00]
cat.: HA750855
Product Type: Recombinant Rabbit monoclonal IgG, primary antibodies
Species reactivity: Human
Applications: WB, IHC-P
Clonality: Monoclonal
Clone number: PSH03-00
Form: Liquid
Storage condition: Store at +4℃ after thawing. Aliquot store at -20℃. Avoid repeated freeze / thaw cycles.
Storage buffer: 1*PBS (pH7.4).
Concentration: 1ug/ul
Purification: Protein A affinity purified.
Molecular weight: Predicted band size: 95.6 kDa
Isotype: IgG
Immunogen: Synthetic peptide within Human Axin1 aa 1-400 / 862.
Positive control: SW480 cell lysate, HeLa cell lysate, 293T cell lysate, K-562 cell lysate, Huh7 cell lysate, human colon cancer tissue.
Subcellular location: Cytoplasm. Nucleus. Membrane. Cell membrane.
Recommended Dilutions:
  WB
  IHC-P

1:2,000
1:500-1:2,000
Uniprot #: SwissProt: O15169 Human
Alternative names: AI316800 AXIN Axin 1 Axin-1 axin1 AXIN1_HUMAN Axis inhibition protein 1 Axis Inhibitor 1 Fu fused Fused, mouse, homolog of hAxin Kb Ki kinky knobbly MGC132911 MGC52315 PPP1R49 Protein Fused Protein phosphatase 1 regulatory subunit 49
Images
HA750855_1.jpg Fig1: Western blot analysis of Axin1 on different lysates with Rabbit anti-Axin1 antibody (HA750855) at 1/2,000 dilution.

Lane 1: SW480 cell lysate (10 µg/Lane)
Lane 2: HeLa cell lysate (10 µg/Lane)
Lane 3: 293T cell lysate (10 µg/Lane)
Lane 4: K-562 cell lysate (10 µg/Lane)
Lane 5: Huh7 cell lysate (10 µg/Lane)

Predicted band size: 96 kDa
Observed band size: 110 kDa

Exposure time: 3 minutes;

4-20% SDS-PAGE gel.

Proteins were transferred to a PVDF membrane and blocked with 5% NFDM/TBST for 1 hour at room temperature. The primary antibody (HA750855) at 1/2,000 dilution was used in 5% NFDM/TBST at 4℃ overnight. Goat Anti-Rabbit IgG - HRP Secondary Antibody (HA1001) at 1/50,000 dilution was used for 1 hour at room temperature.
HA750855_2.jpg Fig2: Western blot analysis of Axin1 on different lysates with Rabbit anti-Axin1 antibody (HA750855) at 1/2,000 dilution.

Lane 1: HAP1-parental cell lysate
Lane 2: HAP1-Axin1 KD cell lysate

Lysates/proteins at 10 µg/Lane.

Predicted band size: 96 kDa
Observed band size: 110 kDa

Exposure time: 140 seconds; ECL: K1801;

4-20% SDS-PAGE gel.

Proteins were transferred to a PVDF membrane and blocked with 5% NFDM/TBST for 1 hour at room temperature. The primary antibody (HA750855) at 1/2,000 dilution was used in K1803 at 4℃ overnight. Goat Anti-Rabbit IgG - HRP Secondary Antibody (HA1001) at 1/50,000 dilution was used for 1 hour at room temperature.
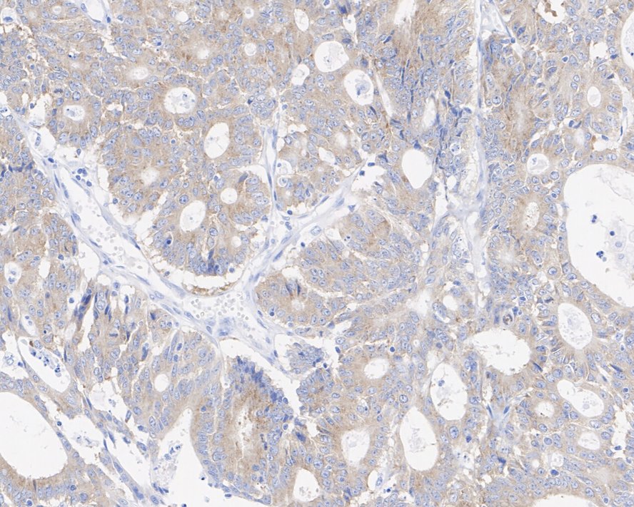
HA750855_3.jpg Fig3: Immunohistochemical analysis of paraffin-embedded human colon cancer tissue with Rabbit anti-Axin1 antibody (HA750855) at 1/2,000 dilution.

The section was pre-treated using heat mediated antigen retrieval with sodium citrate buffer (pH 6.0) (high pressure) for 2 minutes. The tissues were blocked in 1% BSA for 20 minutes at room temperature, washed with ddH2O and PBS, and then probed with the primary antibody (HA750855) at 1/2,000 dilution for 1 hour at room temperature. The detection was performed using an HRP conjugated compact polymer system. DAB was used as the chromogen. Tissues were counterstained with hematoxylin and mounted with DPX.
Note: All products are “FOR RESEARCH USE ONLY AND ARE NOT INTENDED FOR DIAGNOSTIC OR THERAPEUTIC USE”.