Calsequestrin 2 Recombinant Rabbit Monoclonal Antibody [PSH03-16]
cat.: HA750857
Product Type: Recombinant Rabbit monoclonal IgG, primary antibodies
Species reactivity: Human, Mouse, Rat
Applications: WB, IHC-P, IF-Tissue
Clonality: Monoclonal
Clone number: PSH03-16
Form: Liquid
Storage condition: Store at +4℃ after thawing. Aliquot store at -20℃. Avoid repeated freeze / thaw cycles.
Storage buffer: 1*PBS (pH7.4).
Concentration: 1ug/ul
Purification: Protein A affinity purified.
Molecular weight: Predicted band size: 46 kDa
Isotype: IgG
Immunogen: Recombinant protein within human Calsequestrin 2 aa 1-399 / 399.
Positive control: Mouse skeletal muscle tissue lysate, mouse heart tissue lysate, rat skeletal muscle tissue lysate, rat heart tissue lysate, human skeletal muscle tissue, mouse skeletal muscle tissue, rat skeletal muscle tissue, mouse heart tissue.
Subcellular location: Sarcoplasmic reticulum lumen.
Recommended Dilutions:
  WB
  IHC-P
  IF-Tissue

1:2,000-1:10,000
1:1,000
1:500
Uniprot #: SwissProt: O14958 Human | O09161 Mouse | P51868 Rat
Alternative names: AA033488 AW146219 Calsequestrin 2 (cardiac muscle) Calsequestrin 2 fast twitch cardiac muscle Calsequestrin Calsequestrin cardiac muscle isoform Calsequestrin fast twitch cardiac muscle Calsequestrin-2 Calsequestrin2 cardCSQ Cardiac calsequestrin 2 cardiac muscle isoform CASQ 2 CASQ2 CASQ2_HUMAN cCSQ ESTM52 FLJ26321 FLJ93514 PDIB2
Images
HA750857_1.jpg Fig1: Western blot analysis of Calsequestrin 2 on different lysates with Rabbit anti-Calsequestrin 2 antibody (HA750857) at 1/10,000 dilution and competitor's antibody at 1/5,000 dilution.

Lane 1: Mouse skeletal muscle tissue lysate (15 µg/Lane)
Lane 2: Mouse heart tissue lysate (15 µg/Lane)
Lane 3: Mouse brain tissue lysate (negative) (15 µg/Lane)
Lane 4: Rat skeletal muscle tissue lysate (15 µg/Lane)
Lane 5: Rat heart tissue lysate (15 µg/Lane)
Lane 6: Rat brain tissue lysate (negative) (15 µg/Lane)

Predicted band size: 46 kDa
Observed band size: 55 kDa

Exposure time: 1 minute 2 seconds; ECL: K1801;
4-20% SDS-PAGE gel.

Proteins were transferred to a PVDF membrane and blocked with 5% NFDM/TBST for 1 hour at room temperature. The primary antibody (HA750857) at 1/10,000 dilution and competitor's antibody at 1/5,000 dilution were used in 5% NFDM/TBST at 4℃ overnight. Goat Anti-Rabbit IgG - HRP Secondary Antibody (HA1001) at 1/50,000 dilution was used for 1 hour at room temperature.
HA750857_2.jpg Fig2: Immunofluorescence analysis of paraffin-embedded human skeletal muscle tissue labeling Calsequestrin 2 with Rabbit anti-Calsequestrin 2 antibody (HA750857) at 1/500 dilution.

The section was pre-treated using heat mediated antigen retrieval with Tris-EDTA buffer (pH 9.0) for 20 minutes. The tissues were blocked in 10% negative goat serum for 1 hour at room temperature, washed with PBS, and then probed with the primary antibody (HA750857, green) at 1/500 dilution overnight at 4 ℃, washed with PBS. Goat Anti-Rabbit IgG H&L (iFluor™ 488, HA1121) was used as the secondary antibody at 1/1,000 dilution. Nuclei were counterstained with DAPI (blue).
HA750857_3.jpg Fig3: Immunofluorescence analysis of paraffin-embedded mouse skeletal muscle tissue labeling Calsequestrin 2 with Rabbit anti-Calsequestrin 2 antibody (HA750857) at 1/500 dilution.

The section was pre-treated using heat mediated antigen retrieval with Tris-EDTA buffer (pH 9.0) for 20 minutes. The tissues were blocked in 10% negative goat serum for 1 hour at room temperature, washed with PBS, and then probed with the primary antibody (HA750857, green) at 1/500 dilution overnight at 4 ℃, washed with PBS. Goat Anti-Rabbit IgG H&L (iFluor™ 488, HA1121) was used as the secondary antibody at 1/1,000 dilution. Nuclei were counterstained with DAPI (blue).
HA750857_4.jpg Fig4: Immunofluorescence analysis of paraffin-embedded rat skeletal muscle tissue labeling Calsequestrin 2 with Rabbit anti-Calsequestrin 2 antibody (HA750857) at 1/500 dilution.

The section was pre-treated using heat mediated antigen retrieval with Tris-EDTA buffer (pH 9.0) for 20 minutes. The tissues were blocked in 10% negative goat serum for 1 hour at room temperature, washed with PBS, and then probed with the primary antibody (HA750857, green) at 1/500 dilution overnight at 4 ℃, washed with PBS. Goat Anti-Rabbit IgG H&L (iFluor™ 488, HA1121) was used as the secondary antibody at 1/1,000 dilution. Nuclei were counterstained with DAPI (blue).
HA750857_5.jpg Fig5: Immunohistochemical analysis of paraffin-embedded human skeletal muscle tissue with Rabbit anti-Calsequestrin 2 antibody (HA750857) at 1/1,000 dilution.

The section was pre-treated using heat mediated antigen retrieval with Tris-EDTA buffer (pH 9.0) for 20 minutes. The tissues were blocked in 1% BSA for 20 minutes at room temperature, washed with ddH2O and PBS, and then probed with the primary antibody (HA750857) at 1/1,000 dilution for 1 hour at room temperature. The detection was performed using an HRP conjugated compact polymer system. DAB was used as the chromogen. Tissues were counterstained with hematoxylin and mounted with DPX.
HA750857_6.jpg Fig6: Immunohistochemical analysis of paraffin-embedded mouse heart tissue with Rabbit anti-Calsequestrin 2 antibody (HA750857) at 1/1,000 dilution.

The section was pre-treated using heat mediated antigen retrieval with Tris-EDTA buffer (pH 9.0) for 20 minutes. The tissues were blocked in 1% BSA for 20 minutes at room temperature, washed with ddH2O and PBS, and then probed with the primary antibody (HA750857) at 1/1,000 dilution for 1 hour at room temperature. The detection was performed using an HRP conjugated compact polymer system. DAB was used as the chromogen. Tissues were counterstained with hematoxylin and mounted with DPX.
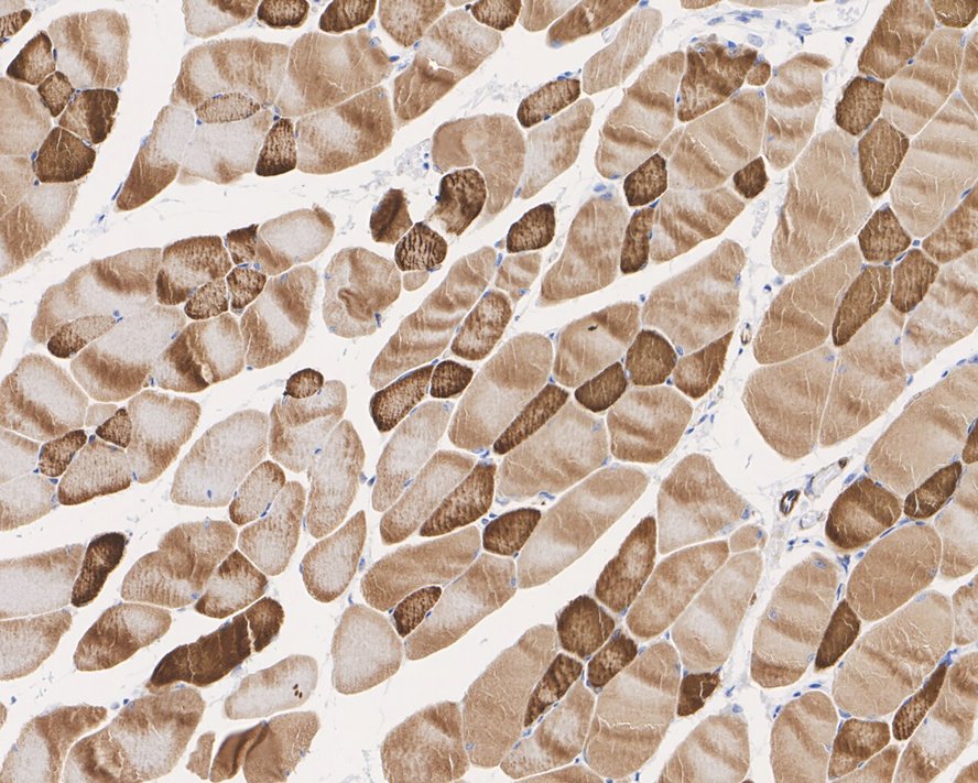
HA750857_7.jpg Fig7: Immunohistochemical analysis of paraffin-embedded mouse skeletal muscle tissue with Rabbit anti-Calsequestrin 2 antibody (HA750857) at 1/1,000 dilution.

The section was pre-treated using heat mediated antigen retrieval with Tris-EDTA buffer (pH 9.0) for 20 minutes. The tissues were blocked in 1% BSA for 20 minutes at room temperature, washed with ddH2O and PBS, and then probed with the primary antibody (HA750857) at 1/1,000 dilution for 1 hour at room temperature. The detection was performed using an HRP conjugated compact polymer system. DAB was used as the chromogen. Tissues were counterstained with hematoxylin and mounted with DPX.
HA750857_8.jpg Fig8: Immunohistochemical analysis of paraffin-embedded rat skeletal muscle tissue with Rabbit anti-Calsequestrin 2 antibody (HA750857) at 1/1,000 dilution.

The section was pre-treated using heat mediated antigen retrieval with Tris-EDTA buffer (pH 9.0) for 20 minutes. The tissues were blocked in 1% BSA for 20 minutes at room temperature, washed with ddH2O and PBS, and then probed with the primary antibody (HA750857) at 1/1,000 dilution for 1 hour at room temperature. The detection was performed using an HRP conjugated compact polymer system. DAB was used as the chromogen. Tissues were counterstained with hematoxylin and mounted with DPX.
Note: All products are “FOR RESEARCH USE ONLY AND ARE NOT INTENDED FOR DIAGNOSTIC OR THERAPEUTIC USE”.