LIMPII Recombinant Rabbit Monoclonal Antibody [PSH03-25]
cat.: HA750865
Product Type: Recombinant Rabbit monoclonal IgG, primary antibodies
Species reactivity: Human, Mouse, Rat, Monkey
Applications: WB, IHC-P, IF-Cell
Clonality: Monoclonal
Clone number: PSH03-25
Form: Liquid
Storage condition: Store at +4℃ after thawing. Aliquot store at -20℃. Avoid repeated freeze / thaw cycles.
Storage buffer: 1*PBS (pH7.4).
Concentration: 1ug/ul
Purification: Protein A affinity purified.
Molecular weight: Predicted band size: 54 kDa
Isotype: IgG
Immunogen: Recombinant protein within human LIMPII aa 5-459 / 478.
Positive control: HeLa cell lysate, HepG2 cell lysate, SH-SY5Y cell lysate, Neuro-2a cell lysate, MEF cell lysate, PC-12 cell lysate, COS-1 cell lysate, mouse kidney tissue lysate, rat kidney tissue lysate, mouse liver tissue lysate, rat liver tissue lysate, HeLa, U-87 MG cell lysate, human kidney tissue lysate, human liver tissue lysate, Neuro-2a, human kidney tissue, human liver tissue, mouse liver tissue, rat kidney tissue, rat liver tissue.
Subcellular location: Lysosome membrane.
Recommended Dilutions:
  WB
  IHC-P
  IF-Cell

1:2,000-1:5,000
1:10,000
1:200
Uniprot #: SwissProt: Q14108 Human | O35114 Mouse | P27615 Rat
Alternative names: 85 kDa lysosomal membrane sialoglycoprotein 85 kDa lysosomal sialoglycoprotein scavenger receptor class B member 2 AMRF CD36 CD36 antigen (collagen type I receptor, thrombospondin receptor)-like 2 (lysosomal integral membrane protein II) CD36 antigen CD36 antigen-like 2 CD36L2 EPM4 HLGP85 LGP85 LIMP 2 LIMP II LIMP2 LIMPII Lysosomal integral membrane protein II Lysosome membrane protein 2 Lysosome membrane protein II OTTHUMP00000160590 OTTHUMP00000219176 Scarb2 Scavenger receptor class B member 2 Scavenger receptor class B, member 2 SCRB2_HUMAN SR BII SRBII
Images
HA750865_1.jpg Fig1: Western blot analysis of LIMPII on different lysates with Rabbit anti-LIMPII antibody (HA750865) at 1/5,000 dilution and competitor's antibody at 1/5,000 dilution.

Lane 1: HeLa cell lysate (15 µg/Lane)
Lane 2: HepG2 cell lysate (15 µg/Lane)
Lane 3: SH-SY5Y cell lysate (15 µg/Lane)
Lane 4: Neuro-2a cell lysate (15 µg/Lane)
Lane 5: MEF cell lysate (15 µg/Lane)
Lane 6: PC-12 cell lysate (15 µg/Lane)
Lane 7: COS-1 cell lysate (15 µg/Lane)
Lane 8: Mouse kidney tissue lysate (30 µg/Lane)
Lane 9: Rat kidney tissue lysate (30 µg/Lane)
Lane 10: Mouse liver tissue lysate (30 µg/Lane)
Lane 11: Rat liver tissue lysate (30 µg/Lane)

Predicted band size: 54 kDa
Observed band size: 80 kDa

Exposure time: 30 seconds; ECL: K1801;
4-20% SDS-PAGE gel.

Proteins were transferred to a PVDF membrane and blocked with 5% NFDM/TBST for 1 hour at room temperature. The primary antibody (HA750865) at 1/5,000 dilution and competitor's antibody at 1/5,000 dilution were used in 5% NFDM/TBST at 4℃ overnight. Goat Anti-Rabbit IgG - HRP Secondary Antibody (HA1001) at 1/50,000 dilution was used for 1 hour at room temperature.
HA750865_2.jpg Fig2: Immunocytochemistry analysis of HeLa cells labeling LIMPII with Rabbit anti-LIMPII antibody (HA750865) at 1/200 dilution.

Cells were fixed in 100% precooled methanol for 5 minutes at room temperature, then blocked with 1% BSA in 10% negative goat serum for 1 hour at room temperature. Cells were then incubated with Rabbit anti-LIMPII antibody (HA750865) at 1/200 dilution in 1% BSA in PBST overnight at 4 ℃. Goat Anti-Rabbit IgG H&L (iFluor™ 488, HA1121) was used as the secondary antibody at 1/1,000 dilution. PBS instead of the primary antibody was used as the secondary antibody only control. Nuclear DNA was labelled in blue with DAPI.

Beta tubulin (M1305-2, red) was stained at 1/100 dilution overnight at +4℃. Goat Anti-Mouse IgG H&L (iFluor™ 594, HA1126) was used as the secondary antibody at 1/1,000 dilution.
HA750865_3.jpg Fig3: Western blot analysis of LIMPII on different lysates with Rabbit anti-LIMPII antibody (HA750865) at 1/2,000 dilution.

Lane 1: HeLa cell lysate (20 µg/Lane)
Lane 2: HepG2 cell lysate (20 µg/Lane)
Lane 3: SH-SY5Y cell lysate (20 µg/Lane)
Lane 4: U-87 MG cell lysate (20 µg/Lane)
Lane 5: Neuro-2a cell lysate (20 µg/Lane)
Lane 6: MEF cell lysate (20 µg/Lane)
Lane 7: PC-12 cell lysate (20 µg/Lane)
Lane 8: COS-1 cell lysate (20 µg/Lane)
Lane 9: Human kidney tissue lysate (40 µg/Lane)
Lane 10: Mouse kidney tissue lysate (40 µg/Lane)
Lane 11: Rat kidney tissue lysate (40 µg/Lane)
Lane 12: Human liver tissue lysate (40 µg/Lane)
Lane 13: Mouse liver tissue lysate (40 µg/Lane)
Lane 14: Rat liver tissue lysate (40 µg/Lane)

Predicted band size: 54 kDa
Observed band size: 80 kDa

Exposure time: 5 seconds; ECL: K1801;
4-20% SDS-PAGE gel.

Proteins were transferred to a PVDF membrane and blocked with 5% NFDM/TBST for 1 hour at room temperature. The primary antibody (HA750865) at 1/2,000 dilution was used in 5% NFDM/TBST at 4℃ overnight. Goat Anti-Rabbit IgG - HRP Secondary Antibody (HA1001) at 1/50,000 dilution was used for 1 hour at room temperature.
HA750865_4.jpg Fig4: Immunocytochemistry analysis of Neuro-2a cells labeling LIMPII with Rabbit anti-LIMPII antibody (HA750865) at 1/200 dilution.

Cells were fixed in 100% precooled methanol for 5 minutes at room temperature, then blocked with 1% BSA in 10% negative goat serum for 1 hour at room temperature. Cells were then incubated with Rabbit anti-LIMPII antibody (HA750865) at 1/200 dilution in 1% BSA in PBST overnight at 4 ℃. Goat Anti-Rabbit IgG H&L (iFluor™ 488, HA1121) was used as the secondary antibody at 1/1,000 dilution. PBS instead of the primary antibody was used as the secondary antibody only control. Nuclear DNA was labelled in blue with DAPI.

Beta tubulin (M1305-2, red) was stained at 1/100 dilution overnight at +4℃. Goat Anti-Mouse IgG H&L (iFluor™ 594, HA1126) was used as the secondary antibody at 1/1,000 dilution.
HA750865_5.jpg Fig5: Western blot analysis of LIMPII on different lysates with Rabbit anti-LIMPII antibody (HA750865) at 1/10,000 dilution.

Lane 1: HAP1-parental cell lysate
Lane 2: HAP1-LIMPII KD cell lysate

Lysates/proteins at 10 µg/Lane.

Predicted band size: 54 kDa
Observed band size: 75 kDa

Exposure time: 3 minutes; ECL: K1801;

4-20% SDS-PAGE gel.

Proteins were transferred to a PVDF membrane and blocked with 5% NFDM/TBST for 1 hour at room temperature. The primary antibody (HA750865) at 1/10,000 dilution was used in primary antibody dilution (K1803) at 4℃ overnight. Goat Anti-Rabbit IgG - HRP Secondary Antibody (HA1001) at 1/50,000 dilution was used for 1 hour at room temperature.
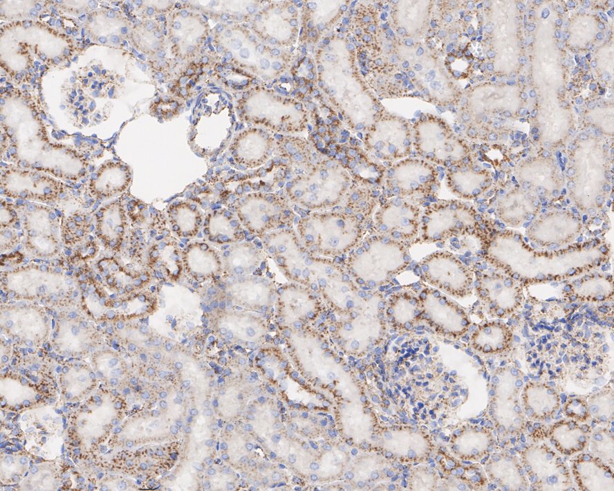
HA750865_6.jpg Fig6: Immunohistochemical analysis of paraffin-embedded human kidney tissue with Rabbit anti-LIMPII antibody (HA750865) at 1/10,000 dilution.

The section was pre-treated using heat mediated antigen retrieval with Tris-EDTA buffer (pH 9.0) for 20 minutes. The tissues were blocked in 1% BSA for 20 minutes at room temperature, washed with ddH2O and PBS, and then probed with the primary antibody (HA750865) at 1/10,000 dilution for 1 hour at room temperature. The detection was performed using an HRP conjugated compact polymer system. DAB was used as the chromogen. Tissues were counterstained with hematoxylin and mounted with DPX.
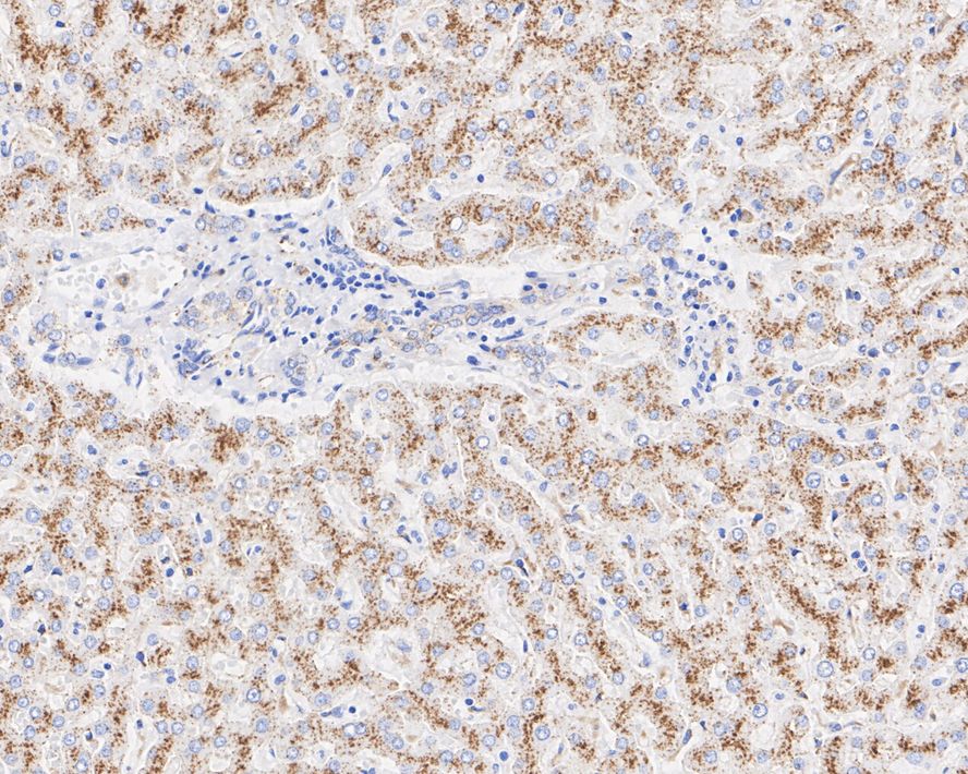
HA750865_7.jpg Fig7: Immunohistochemical analysis of paraffin-embedded human liver tissue with Rabbit anti-LIMPII antibody (HA750865) at 1/10,000 dilution.

The section was pre-treated using heat mediated antigen retrieval with Tris-EDTA buffer (pH 9.0) for 20 minutes. The tissues were blocked in 1% BSA for 20 minutes at room temperature, washed with ddH2O and PBS, and then probed with the primary antibody (HA750865) at 1/10,000 dilution for 1 hour at room temperature. The detection was performed using an HRP conjugated compact polymer system. DAB was used as the chromogen. Tissues were counterstained with hematoxylin and mounted with DPX.
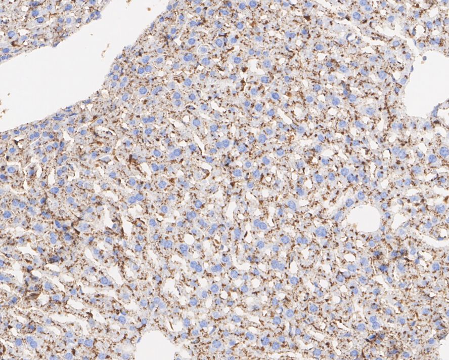
HA750865_8.jpg Fig8: Immunohistochemical analysis of paraffin-embedded mouse liver tissue with Rabbit anti-LIMPII antibody (HA750865) at 1/10,000 dilution.

The section was pre-treated using heat mediated antigen retrieval with Tris-EDTA buffer (pH 9.0) for 20 minutes. The tissues were blocked in 1% BSA for 20 minutes at room temperature, washed with ddH2O and PBS, and then probed with the primary antibody (HA750865) at 1/10,000 dilution for 1 hour at room temperature. The detection was performed using an HRP conjugated compact polymer system. DAB was used as the chromogen. Tissues were counterstained with hematoxylin and mounted with DPX.
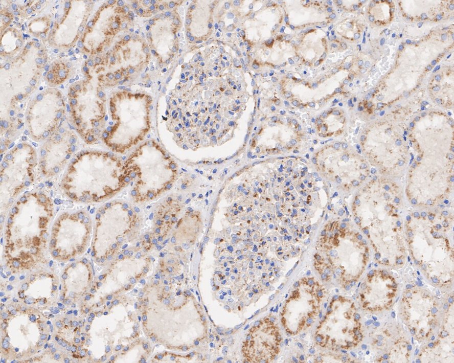
HA750865_9.jpg Fig9: Immunohistochemical analysis of paraffin-embedded rat kidney tissue with Rabbit anti-LIMPII antibody (HA750865) at 1/10,000 dilution.

The section was pre-treated using heat mediated antigen retrieval with Tris-EDTA buffer (pH 9.0) for 20 minutes. The tissues were blocked in 1% BSA for 20 minutes at room temperature, washed with ddH2O and PBS, and then probed with the primary antibody (HA750865) at 1/10,000 dilution for 1 hour at room temperature. The detection was performed using an HRP conjugated compact polymer system. DAB was used as the chromogen. Tissues were counterstained with hematoxylin and mounted with DPX.
HA750865_10.jpg Fig10: Immunohistochemical analysis of paraffin-embedded rat liver tissue with Rabbit anti-LIMPII antibody (HA750865) at 1/10,000 dilution.

The section was pre-treated using heat mediated antigen retrieval with Tris-EDTA buffer (pH 9.0) for 20 minutes. The tissues were blocked in 1% BSA for 20 minutes at room temperature, washed with ddH2O and PBS, and then probed with the primary antibody (HA750865) at 1/10,000 dilution for 1 hour at room temperature. The detection was performed using an HRP conjugated compact polymer system. DAB was used as the chromogen. Tissues were counterstained with hematoxylin and mounted with DPX.
Note: All products are “FOR RESEARCH USE ONLY AND ARE NOT INTENDED FOR DIAGNOSTIC OR THERAPEUTIC USE”.