NDUFS2 Recombinant Rabbit Monoclonal Antibody [PSH03-26]
cat.: HA750866
Product Type: Recombinant Rabbit monoclonal IgG, primary antibodies
Species reactivity: Human, Mouse, Rat
Applications: WB, IF-Cell, IHC-P, FC, IP, IHC-Fr
Clonality: Monoclonal
Clone number: PSH03-26
Form: Liquid
Storage condition: Store at +4℃ after thawing. Aliquot store at -20℃. Avoid repeated freeze / thaw cycles.
Storage buffer: 1*PBS (pH7.4).
Concentration: 1ug/ul
Purification: Protein A affinity purified.
Molecular weight: Predicted band size: 53 kDa
Isotype: IgG
Immunogen: Recombinant protein within human NDUFS2 aa 1-463 / 463.
Positive control: HeLa cell lysate, Jurkat cell lysate, 293T cell lysate, A431 cell lysate, Raji cell lysate, SK-Br-3 cell lysate, K-562 cell lysate, NIH/3T3 cell lysate, RAW264.7 cell lysate, PC-12 cell lysate, mouse brain tissue lysate, mouse kidney tissue lysate, rat brain tissue lysate, rat kidney tissue lysate, human kidney tissue, human liver tissue, mouse heart tissue, mouse kidney tissue, rat kidney tissue, A431, HeLa, NIH/3T3.
Subcellular location: Mitochondrion inner membrane.
Recommended Dilutions:
  WB
  IF-Cell
  IHC-P
  FC
  IP
  IHC-Fr

1:2,000
1:100
1:1,000
1:1,000
1-2μg/sample
1:500
Uniprot #: SwissProt: O75306 Human | Q91WD5 Mouse | Q641Y2 Rat
Alternative names: CI 49 CI 49kD CI-49kD Complex 1, mitochondrial respiratory chain, 49 KD subunit Complex I 49kD Complex I 49kDa subunit Complex I-49kD mitochondrial NADH dehydrogenase (ubiquinone) Fe S protein 2 49kDa NADH dehydrogenase (ubiquinone) Fe S protein 2, 49kDa (NADH coenzyme Q reductase) NADH dehydrogenase [ubiquinone] iron sulfur protein 2, mitochondrial NADH dehydrogenase [ubiquinone] iron-sulfur protein 2 NADH ubiquinone oxidoreductase 49 kDa subunit NADH ubiquinone oxidoreductase NDUFS2 subunit NADH-ubiquinone oxidoreductase 49 kDa subunit NADH:ubiquinone oxidoreductase core subunit S2 Ndufs2 NDUS2_HUMAN
Images
HA750866_1.jpg Fig1: Western blot analysis of NDUFS2 on different lysates with Rabbit anti-NDUFS2 antibody (HA750866) at 1/2,000 dilution.

Lane 1: HeLa cell lysate (20 µg/Lane)
Lane 2: Jurkat cell lysate (20 µg/Lane)
Lane 3: 293T cell lysate (20 µg/Lane)
Lane 4: A431 cell lysate (20 µg/Lane)
Lane 5: Raji cell lysate (20 µg/Lane)
Lane 6: SK-Br-3 cell lysate (20 µg/Lane)
Lane 7: K-562 cell lysate (20 µg/Lane)
Lane 8: NIH/3T3 cell lysate (20 µg/Lane)
Lane 9: RAW264.7 cell lysate (20 µg/Lane)
Lane 10: PC-12 cell lysate (20 µg/Lane)
Lane 11: Mouse brain tissue lysate (40 µg/Lane)
Lane 12: Mouse kidney tissue lysate (40 µg/Lane)
Lane 13: Rat brain tissue lysate (40 µg/Lane)
Lane 14: Rat kidney tissue lysate (40 µg/Lane)

Predicted band size: 53 kDa
Observed band size: 45 kDa

Exposure time: 24 seconds; ECL: K1801;

4-20% SDS-PAGE gel.

Proteins were transferred to a PVDF membrane and blocked with 5% NFDM/TBST for 1 hour at room temperature. The primary antibody (HA750866) at 1/2,000 dilution was used in 5% NFDM/TBST at 4℃ overnight. Goat Anti-Rabbit IgG - HRP Secondary Antibody (HA1001) at 1/50,000 dilution was used for 1 hour at room temperature.
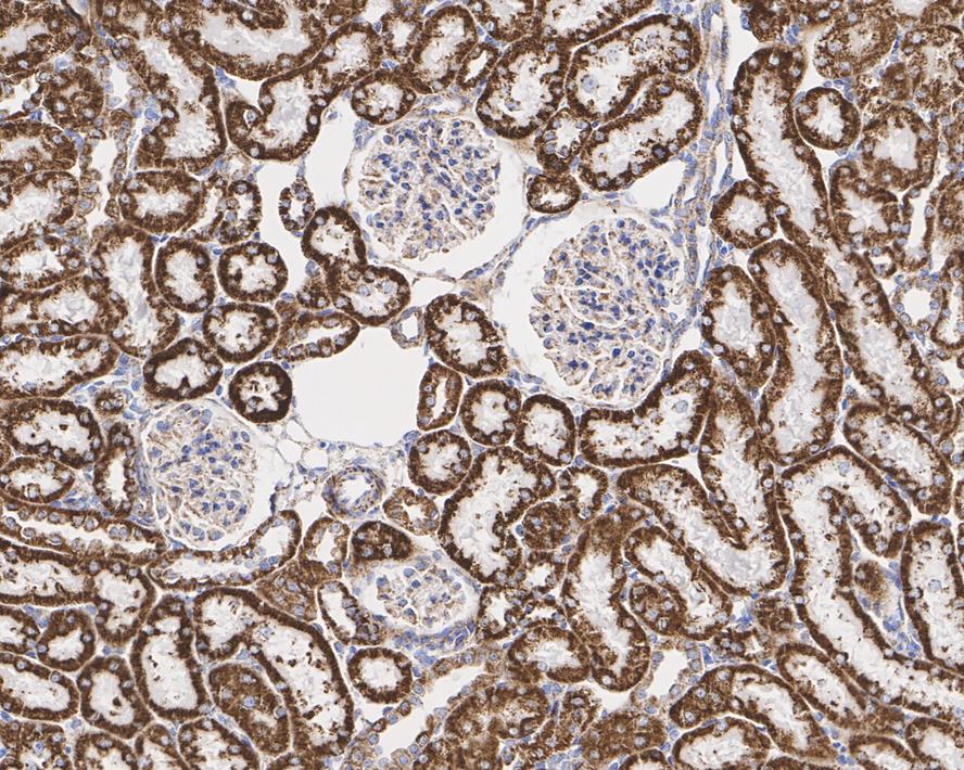
HA750866_2.jpg Fig2: Immunohistochemical analysis of paraffin-embedded human kidney tissue with Rabbit anti-NDUFS2 antibody (HA750866) at 1/1,000 dilution.

The section was pre-treated using heat mediated antigen retrieval with Tris-EDTA buffer (pH 9.0) for 20 minutes. The tissues were blocked in 1% BSA for 20 minutes at room temperature, washed with ddH2O and PBS, and then probed with the primary antibody (HA750866) at 1/1,000 dilution for 1 hour at room temperature. The detection was performed using an HRP conjugated compact polymer system. DAB was used as the chromogen. Tissues were counterstained with hematoxylin and mounted with DPX.
HA750866_3.jpg Fig3: Immunohistochemical analysis of paraffin-embedded human liver tissue with Rabbit anti-NDUFS2 antibody (HA750866) at 1/1,000 dilution.

The section was pre-treated using heat mediated antigen retrieval with Tris-EDTA buffer (pH 9.0) for 20 minutes. The tissues were blocked in 1% BSA for 20 minutes at room temperature, washed with ddH2O and PBS, and then probed with the primary antibody (HA750866) at 1/1,000 dilution for 1 hour at room temperature. The detection was performed using an HRP conjugated compact polymer system. DAB was used as the chromogen. Tissues were counterstained with hematoxylin and mounted with DPX.
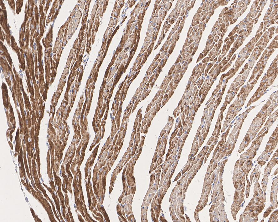
HA750866_4.jpg Fig4: Immunohistochemical analysis of paraffin-embedded mouse heart tissue with Rabbit anti-NDUFS2 antibody (HA750866) at 1/1,000 dilution.

The section was pre-treated using heat mediated antigen retrieval with Tris-EDTA buffer (pH 9.0) for 20 minutes. The tissues were blocked in 1% BSA for 20 minutes at room temperature, washed with ddH2O and PBS, and then probed with the primary antibody (HA750866) at 1/1,000 dilution for 1 hour at room temperature. The detection was performed using an HRP conjugated compact polymer system. DAB was used as the chromogen. Tissues were counterstained with hematoxylin and mounted with DPX.
HA750866_5.jpg Fig5: Immunocytochemistry analysis of A431 cells labeling NDUFS2 with Rabbit anti-NDUFS2 antibody (HA750866) at 1/100 dilution.

Cells were fixed in 4% paraformaldehyde for 20 minutes at room temperature, permeabilized with 0.1% Triton X-100 in PBS for 5 minutes at room temperature, then blocked with 1% BSA in 10% negative goat serum for 1 hour at room temperature. Cells were then incubated with Rabbit anti-NDUFS2 antibody (HA750866) at 1/100 dilution in 1% BSA in PBST overnight at 4 ℃. Goat Anti-Rabbit IgG H&L (iFluor™ 488, HA1121) was used as the secondary antibody at 1/1,000 dilution. PBS instead of the primary antibody was used as the secondary antibody only control. Nuclear DNA was labelled in blue with DAPI.

Beta tubulin (M1305-2, red) was stained at 1/100 dilution overnight at +4℃. Goat Anti-Mouse IgG H&L (iFluor™ 594, HA1126) was used as the secondary antibody at 1/1,000 dilution.
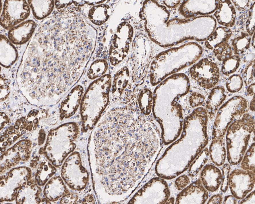
HA750866_6.jpg Fig6: Immunohistochemical analysis of paraffin-embedded mouse kidney tissue with Rabbit anti-NDUFS2 antibody (HA750866) at 1/1,000 dilution.

The section was pre-treated using heat mediated antigen retrieval with Tris-EDTA buffer (pH 9.0) for 20 minutes. The tissues were blocked in 1% BSA for 20 minutes at room temperature, washed with ddH2O and PBS, and then probed with the primary antibody (HA750866) at 1/1,000 dilution for 1 hour at room temperature. The detection was performed using an HRP conjugated compact polymer system. DAB was used as the chromogen. Tissues were counterstained with hematoxylin and mounted with DPX.
HA750866_7.jpg Fig7: Immunohistochemical analysis of paraffin-embedded rat kidney tissue with Rabbit anti-NDUFS2 antibody (HA750866) at 1/1,000 dilution.

The section was pre-treated using heat mediated antigen retrieval with Tris-EDTA buffer (pH 9.0) for 20 minutes. The tissues were blocked in 1% BSA for 20 minutes at room temperature, washed with ddH2O and PBS, and then probed with the primary antibody (HA750866) at 1/1,000 dilution for 1 hour at room temperature. The detection was performed using an HRP conjugated compact polymer system. DAB was used as the chromogen. Tissues were counterstained with hematoxylin and mounted with DPX.
HA750866_8.jpg Fig8: Immunocytochemistry analysis of HeLa cells labeling NDUFS2 with Rabbit anti-NDUFS2 antibody (HA750866) at 1/100 dilution.

Cells were fixed in 4% paraformaldehyde for 20 minutes at room temperature, permeabilized with 0.1% Triton X-100 in PBS for 5 minutes at room temperature, then blocked with 1% BSA in 10% negative goat serum for 1 hour at room temperature. Cells were then incubated with Rabbit anti-NDUFS2 antibody (HA750866) at 1/100 dilution in 1% BSA in PBST overnight at 4 ℃. Goat Anti-Rabbit IgG H&L (iFluor™ 488, HA1121) was used as the secondary antibody at 1/1,000 dilution. PBS instead of the primary antibody was used as the secondary antibody only control. Nuclear DNA was labelled in blue with DAPI.

Beta tubulin (M1305-2, red) was stained at 1/100 dilution overnight at +4℃. Goat Anti-Mouse IgG H&L (iFluor™ 594, HA1126) was used as the secondary antibody at 1/1,000 dilution.
HA750866_9.jpg Fig9: Immunocytochemistry analysis of NIH/3T3 cells labeling NDUFS2 with Rabbit anti-NDUFS2 antibody (HA750866) at 1/100 dilution.

Cells were fixed in 4% paraformaldehyde for 20 minutes at room temperature, permeabilized with 0.1% Triton X-100 in PBS for 5 minutes at room temperature, then blocked with 1% BSA in 10% negative goat serum for 1 hour at room temperature. Cells were then incubated with Rabbit anti-NDUFS2 antibody (HA750866) at 1/100 dilution in 1% BSA in PBST overnight at 4 ℃. Goat Anti-Rabbit IgG H&L (iFluor™ 488, HA1121) was used as the secondary antibody at 1/1,000 dilution. PBS instead of the primary antibody was used as the secondary antibody only control. Nuclear DNA was labelled in blue with DAPI.

Beta tubulin (M1305-2, red) was stained at 1/100 dilution overnight at +4℃. Goat Anti-Mouse IgG H&L (iFluor™ 594, HA1126) was used as the secondary antibody at 1/1,000 dilution.
HA750866_10.jpg Fig10: Flow cytometric analysis of A431 cells labeling NDUFS2.

Cells were fixed and permeabilized. Then stained with the primary antibody (HA750866, 1μg/mL) (red) compared with Rabbit IgG Isotype Control (green). After incubation of the primary antibody at +4℃ for an hour, the cells were stained with a iFluor™ 488 conjugate-Goat anti-Rabbit IgG Secondary antibody (HA1121) at 1/1,000 dilution for 30 minutes at +4℃. Unlabelled sample was used as a control (cells without incubation with primary antibody; black).
HA750866_11.jpg Fig11: Flow cytometric analysis of NIH/3T3 cells labeling NDUFS2.

Cells were fixed and permeabilized. Then stained with the primary antibody (HA750866, 1μg/mL) (red) compared with Rabbit IgG Isotype Control (green). After incubation of the primary antibody at +4℃ for an hour, the cells were stained with a iFluor™ 488 conjugate-Goat anti-Rabbit IgG Secondary antibody (HA1121) at 1/1,000 dilution for 30 minutes at +4℃. Unlabelled sample was used as a control (cells without incubation with primary antibody; black).
HA750866_12.jpg Fig12: NDUFS2 was immunoprecipitated in 0.2mg HeLa cell lysate with HA750866 at 2 µg/10 µl beads. Western blot was performed from the immunoprecipitate using HA750866 at 1/2,000 dilution. Anti-Rabbit IgG for IP Nano-secondary antibody (NBI01H) at 1/5,000 dilution was used for 1 hour at room temperature.

Lane 1: HeLa cell lysate (input)
Lane 2: HA750866 IP in HeLa cell lysate
Lane 3: Rabbit IgG instead of HA750866 in HeLa cell lysate

Blocking/Dilution buffer: 5% NFDM/TBST
Exposure time: 43 seconds
Note: All products are “FOR RESEARCH USE ONLY AND ARE NOT INTENDED FOR DIAGNOSTIC OR THERAPEUTIC USE”.