PMP70 Recombinant Rabbit Monoclonal Antibody [PSH03-27]
cat.: HA750867
Product Type: Recombinant Rabbit monoclonal IgG, primary antibodies
Species reactivity: Human, Mouse, Rat
Applications: WB, IF-Cell, IHC-P, FC
Clonality: Monoclonal
Clone number: PSH03-27
Form: Liquid
Storage condition: Store at +4℃ after thawing. Aliquot store at -20℃. Avoid repeated freeze / thaw cycles.
Storage buffer: 1*PBS (pH7.4).
Concentration: 1ug/ul
Purification: Protein A affinity purified.
Molecular weight: Predicted band size: 76 kDa
Isotype: IgG
Immunogen: Recombinant protein within human PMP70 aa 360-659 / 659.
Positive control: HepG2 cell lysate, 293T cell lysate, A431 cell lysate, Caco-2 cell lysate, SH-SY5Y cell lysate, human liver tissue lysate, mouse liver tissue lysate, HepG2, NIH/3T3, human kidney tissue, human liver tissue, mouse kidney tissue, mouse liver tissue, rat kidney tissue, rat liver tissue.
Subcellular location: Peroxisome membrane.
Recommended Dilutions:
  WB
  IF-Cell
  IHC-P
  FC

1:2,000-1:5,000
1:100
1:500-1:2,000
1:1,000
Uniprot #: SwissProt: P28288 Human | P55096 Mouse | P16970 Rat
Alternative names: 70 kDa peroxisomal membrane protein ABC 43 ABC D3 ABC43 ABCD 3 Abcd3 ABCD3 protein ABCD3_HUMAN ATP binding cassette sub family D (ALD) member 3 ATP binding cassette sub family D member 3 ATP-binding cassette sub-family D member 3 CBAS5 dJ824O18.1 (ATP-binding cassette, sub family D (ALD), member 3 (PMP70, PXMP1)) Peroxisomal membrane protein 1 (70kD) Peroxisomal membrane protein 1 (70kD, Zellweger syndrome) Peroxisomal membrane protein 1 PMP 70 PMP70 PXMP 1 PXMP1 ZWS2
Images
HA750867_1.jpg Fig1: Western blot analysis of PMP70 on different lysates with Rabbit anti-PMP70 antibody (HA750867) at 1/2,000 dilution.

Lane 1: HepG2 cell lysate (20 µg/Lane)
Lane 2: 293T cell lysate (20 µg/Lane)
Lane 3: A431 cell lysate (20 µg/Lane)
Lane 4: Caco-2 cell lysate (20 µg/Lane)
Lane 5: SH-SY5Y cell lysate (20 µg/Lane)
Lane 6: Human liver tissue lysate (40 µg/Lane)
Lane 7: Mouse liver tissue lysate (40 µg/Lane)

Lysates/proteins at 10 µg/Lane.

Predicted band size: 76 kDa
Observed band size: 70 kDa

Exposure time: 24 seconds;

4-20% SDS-PAGE gel.

Proteins were transferred to a PVDF membrane and blocked with 5% NFDM/TBST for 1 hour at room temperature. The primary antibody (HA750867) at 1/2,000 dilution was used in 5% NFDM/TBST at 4℃ overnight. Goat Anti-Rabbit IgG - HRP Secondary Antibody (HA1001) at 1/50,000 dilution was used for 1 hour at room temperature.
HA750867_2.jpg Fig2: Immunocytochemistry analysis of HepG2 cells labeling PMP70 with Rabbit anti-PMP70 antibody (HA750867) at 1/100 dilution.

Cells were fixed in 4% paraformaldehyde for 20 minutes at room temperature, permeabilized with 0.1% Triton X-100 in PBS for 5 minutes at room temperature, then blocked with 1% BSA in 10% negative goat serum for 1 hour at room temperature. Cells were then incubated with Rabbit anti-PMP70 antibody (HA750867) at 1/100 dilution in 1% BSA in PBST overnight at 4 ℃. Goat Anti-Rabbit IgG H&L (iFluor™ 488, HA1121) was used as the secondary antibody at 1/1,000 dilution. PBS instead of the primary antibody was used as the secondary antibody only control. Nuclear DNA was labelled in blue with DAPI.

Beta tubulin (M1305-2, red) was stained at 1/100 dilution overnight at +4℃. Goat Anti-Mouse IgG H&L (iFluor™ 594, HA1126) was used as the secondary antibody at 1/1,000 dilution.
HA750867_3.jpg Fig3: Immunocytochemistry analysis of NIH/3T3 cells labeling PMP70 with Rabbit anti-PMP70 antibody (HA750867) at 1/100 dilution.

Cells were fixed in 4% paraformaldehyde for 20 minutes at room temperature, permeabilized with 0.1% Triton X-100 in PBS for 5 minutes at room temperature, then blocked with 1% BSA in 10% negative goat serum for 1 hour at room temperature. Cells were then incubated with Rabbit anti-PMP70 antibody (HA750867) at 1/100 dilution in 1% BSA in PBST overnight at 4 ℃. Goat Anti-Rabbit IgG H&L (iFluor™ 488, HA1121) was used as the secondary antibody at 1/1,000 dilution. PBS instead of the primary antibody was used as the secondary antibody only control. Nuclear DNA was labelled in blue with DAPI.

Beta tubulin (M1305-2, red) was stained at 1/100 dilution overnight at +4℃. Goat Anti-Mouse IgG H&L (iFluor™ 594, HA1126) was used as the secondary antibody at 1/1,000 dilution.
HA750867_4.jpg Fig4: Immunohistochemical analysis of paraffin-embedded human kidney tissue with Rabbit anti-PMP70 antibody (HA750867) at 1/500 dilution.

The section was pre-treated using heat mediated antigen retrieval with Tris-EDTA buffer (pH 9.0) for 20 minutes. The tissues were blocked in 1% BSA for 20 minutes at room temperature, washed with ddH2O and PBS, and then probed with the primary antibody (HA750867) at 1/500 dilution for 1 hour at room temperature. The detection was performed using an HRP conjugated compact polymer system. DAB was used as the chromogen. Tissues were counterstained with hematoxylin and mounted with DPX.
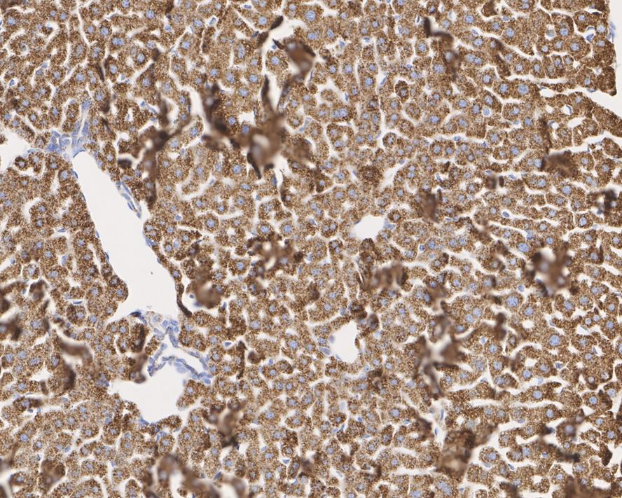
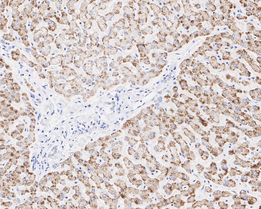
HA750867_5.jpg Fig5: Immunohistochemical analysis of paraffin-embedded human liver tissue with Rabbit anti-PMP70 antibody (HA750867) at 1/1,000 dilution.

The section was pre-treated using heat mediated antigen retrieval with Tris-EDTA buffer (pH 9.0) for 20 minutes. The tissues were blocked in 1% BSA for 20 minutes at room temperature, washed with ddH2O and PBS, and then probed with the primary antibody (HA750867) at 1/1,000 dilution for 1 hour at room temperature. The detection was performed using an HRP conjugated compact polymer system. DAB was used as the chromogen. Tissues were counterstained with hematoxylin and mounted with DPX.
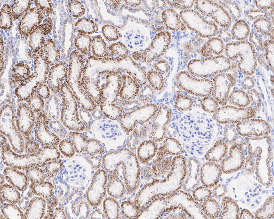
HA750867_6.jpg Fig6: Immunohistochemical analysis of paraffin-embedded mouse kidney tissue with Rabbit anti-PMP70 antibody (HA750867) at 1/1,000 dilution.

The section was pre-treated using heat mediated antigen retrieval with Tris-EDTA buffer (pH 9.0) for 20 minutes. The tissues were blocked in 1% BSA for 20 minutes at room temperature, washed with ddH2O and PBS, and then probed with the primary antibody (HA750867) at 1/1,000 dilution for 1 hour at room temperature. The detection was performed using an HRP conjugated compact polymer system. DAB was used as the chromogen. Tissues were counterstained with hematoxylin and mounted with DPX.
HA750867_7.jpg Fig7: Immunohistochemical analysis of paraffin-embedded mouse liver tissue with Rabbit anti-PMP70 antibody (HA750867) at 1/1,000 dilution.

The section was pre-treated using heat mediated antigen retrieval with Tris-EDTA buffer (pH 9.0) for 20 minutes. The tissues were blocked in 1% BSA for 20 minutes at room temperature, washed with ddH2O and PBS, and then probed with the primary antibody (HA750867) at 1/1,000 dilution for 1 hour at room temperature. The detection was performed using an HRP conjugated compact polymer system. DAB was used as the chromogen. Tissues were counterstained with hematoxylin and mounted with DPX.
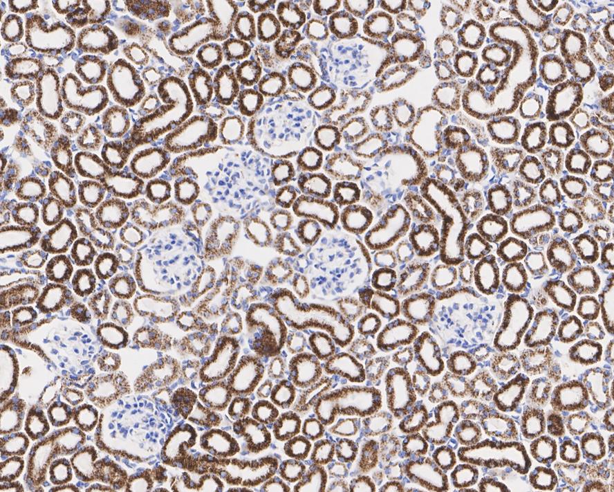
HA750867_8.jpg Fig8: Immunohistochemical analysis of paraffin-embedded rat kidney tissue with Rabbit anti-PMP70 antibody (HA750867) at 1/1,000 dilution.

The section was pre-treated using heat mediated antigen retrieval with Tris-EDTA buffer (pH 9.0) for 20 minutes. The tissues were blocked in 1% BSA for 20 minutes at room temperature, washed with ddH2O and PBS, and then probed with the primary antibody (HA750867) at 1/1,000 dilution for 1 hour at room temperature. The detection was performed using an HRP conjugated compact polymer system. DAB was used as the chromogen. Tissues were counterstained with hematoxylin and mounted with DPX.
HA750867_9.jpg Fig9: Immunohistochemical analysis of paraffin-embedded rat liver tissue with Rabbit anti-PMP70 antibody (HA750867) at 1/1,000 dilution.

The section was pre-treated using heat mediated antigen retrieval with Tris-EDTA buffer (pH 9.0) for 20 minutes. The tissues were blocked in 1% BSA for 20 minutes at room temperature, washed with ddH2O and PBS, and then probed with the primary antibody (HA750867) at 1/1,000 dilution for 1 hour at room temperature. The detection was performed using an HRP conjugated compact polymer system. DAB was used as the chromogen. Tissues were counterstained with hematoxylin and mounted with DPX.
HA750867_10.jpg Fig10: Flow cytometric analysis of NIH/3T3 cells labeling PMP70.

Cells were fixed and permeabilized. Then stained with the primary antibody (HA750867, 1μg/mL) (red) compared with Rabbit IgG Isotype Control (green). After incubation of the primary antibody at +4℃ for an hour, the cells were stained with a iFluor™ 488 conjugate-Goat anti-Rabbit IgG Secondary antibody (HA1121) at 1/1,000 dilution for 30 minutes at +4℃. Unlabelled sample was used as a control (cells without incubation with primary antibody; black).
HA750867_11.jpg Fig11: Western blot analysis of PMP70 on different lysates with Rabbit anti-PMP70 antibody (HA750867) at 1/5,000 dilution.

Lane 1: A549-si NT cell lysate
Lane 2: A549-si PMP70 cell lysate

Lysates/proteins at 10 µg/Lane.

Predicted band size: 76 kDa
Observed band size: 70 kDa

Exposure time: 40 seconds; ECL: K1801;

4-20% SDS-PAGE gel.

Proteins were transferred to a PVDF membrane and blocked with 5% NFDM/TBST for 1 hour at room temperature. The primary antibody (HA750867) at 1/5,000 dilution was used in 5% NFDM/TBST at 4℃ overnight. Goat Anti-Rabbit IgG - HRP Secondary Antibody (HA1001) at 1/50,000 dilution was used for 1 hour at room temperature.
Note: All products are “FOR RESEARCH USE ONLY AND ARE NOT INTENDED FOR DIAGNOSTIC OR THERAPEUTIC USE”.