Phospho-IRE1 (S724) Recombinant Rabbit Monoclonal Antibody [PSH03-35]
cat.: HA750869
Product Type: Recombinant Rabbit monoclonal IgG, primary antibodies
Species reactivity: Human, Mouse
Applications: WB, IF-Cell, IHC-P, FC
Clonality: Monoclonal
Clone number: PSH03-35
Form: Liquid
Storage condition: Store at +4℃ after thawing. Aliquot store at -20℃. Avoid repeated freeze / thaw cycles.
Storage buffer: 1*PBS (pH7.4).
Concentration: 1ug/ul
Purification: Protein A affinity purified.
Molecular weight: Predicted band size: 110 kDa
Isotype: IgG
Immunogen: Synthetic phospho-peptide corresponding to residues surrounding Ser724 of human IRE1.
Positive control: HeLa starved for 3 hours then treated with 100nM Calyculin A for 30 minutes cell lysate, Jurkat treated with 100nM Calyculin A for 30 minutes cell lysate, NIH/3T3 treated with 100nM Calyculin A for 30 minutes cell lysate, C2C12 starved for 3 hours then treated with 100nM Calyculin A for 30 minutes cell lysate, Jurkat cells treated with 100nM Calyculin A for 30 minutes, human pancreas tissue, HeLa cells treated with 100nM Calyculin A for 30 minutes.
Subcellular location: Endoplasmic reticulum membrane; nucleus.
Recommended Dilutions:
  WB
  IF-Cell
  IHC-P
  FC

1:1,000
1:500
1:500
1:1,000
Uniprot #: SwissProt: O75460 Human | Q9EQY0 Mouse
Alternative names: Endoplasmic reticulum (ER) to nucleus signalling 1 Endoplasmic reticulum to nucleus signaling 1 Endoplasmic reticulum-to-nucleus signaling 1 Endoribonuclease ER to nucleus signaling 1 ERN 1 Ern1 ERN1_HUMAN hIRE 1p hIRE1p Inositol requiring 1 Inositol requiring 1, S. cerevisiae, homolog of Inositol requiring enzyme 1, S. cerevisiae, homolog of Inositol requiring protein 1 inositol-requiring enzyme 1 Inositol-requiring protein 1 IRE 1 IRE 1a IRE 1P Ire1 alpha Ire1-alpha IRE1a Ire1alpha IRE1P MGC163277 MGC163279 Protein kinase/endoribonuclease RGD1559716 Serine/threonine protein kinase/endoribonuclease IRE1
Images
HA750869_1.jpg Fig1: Western blot analysis of Phospho-IRE1 (S724) on different lysates with Rabbit anti-Phospho-IRE1 (S724) antibody (HA750869) at 1/1,000 dilution.

Lane 1: HeLa cell lysate (20 µg/Lane)
Lane 2: HeLa starved for 3 hours then treated with 100nM Calyculin A for 30 minutes cell lysate (20 µg/Lane)
Lane 3: Jurkat cell lysate (20 µg/Lane)
Lane 4: Jurkat treated with 100nM Calyculin A for 30 minutes cell lysate (20 µg/Lane)

Predicted band size: 110 kDa
Observed band size: 110 kDa

Exposure time: 5 minutes 10 seconds; ECL: K1801;
4-20% SDS-PAGE gel.

Proteins were transferred to a PVDF membrane and blocked with 5% NFDM/TBST for 1 hour at room temperature. The primary antibody (HA750869) at 1/1,000 dilution was used in 5% NFDM/TBST at 4℃ overnight. Goat Anti-Rabbit IgG - HRP Secondary Antibody (HA1001) at 1/50,000 dilution was used for 1 hour at room temperature.
HA750869_2.jpg Fig2: Western blot analysis of Phospho-IRE1 (S724) on different lysates with Rabbit anti-Phospho-IRE1 (S724) antibody (HA750869) at 1/1,000 dilution.

Lane 1: NIH/3T3 cell lysate (20 µg/Lane)
Lane 2: NIH/3T3 treated with 100nM Calyculin A for 30 minutes cell lysate (20 µg/Lane)
Lane 3: C2C12 cell lysate (20 µg/Lane)
Lane 4: C2C12 starved for 3 hours then treated with 100nM Calyculin A for 30 minutes cell lysate (20 µg/Lane)

Predicted band size: 110 kDa
Observed band size: 110 kDa

Exposure time: 24 seconds; ECL: K1801;
4-20% SDS-PAGE gel.

Proteins were transferred to a PVDF membrane and blocked with 5% NFDM/TBST for 1 hour at room temperature. The primary antibody (HA750869) at 1/1,000 dilution was used in 5% NFDM/TBST at 4℃ overnight. Goat Anti-Rabbit IgG - HRP Secondary Antibody (HA1001) at 1/50,000 dilution was used for 1 hour at room temperature.
HA750869_3.jpg Fig3: Immunocytochemistry analysis of Jurkat cells treated with 100nM Calyculin A for 30 minutes labeling Phospho-IRE1 (S724) with Rabbit anti-Phospho-IRE1 (S724) antibody (HA750869) at 1/500 dilution.

Cells were fixed in 4% paraformaldehyde for 20 minutes at room temperature, permeabilized with 0.1% Triton X-100 in PBS for 5 minutes at room temperature, then blocked with 1% BSA in 10% negative goat serum for 1 hour at room temperature. Cells were then incubated with Rabbit anti-Phospho-IRE1 (S724) antibody (HA750869) at 1/500 dilution in 1% BSA in PBST overnight at 4 ℃. Goat Anti-Rabbit IgG H&L (iFluor™ 488, HA1121) was used as the secondary antibody at 1/1,000 dilution. PBS instead of the primary antibody was used as the secondary antibody only control. Nuclear DNA was labelled in blue with DAPI.

Beta tubulin (M1305-2, red) was stained at 1/100 dilution overnight at +4℃. Goat Anti-Mouse IgG H&L (iFluor™ 594, HA1126) was used as the secondary antibody at 1/1,000 dilution.
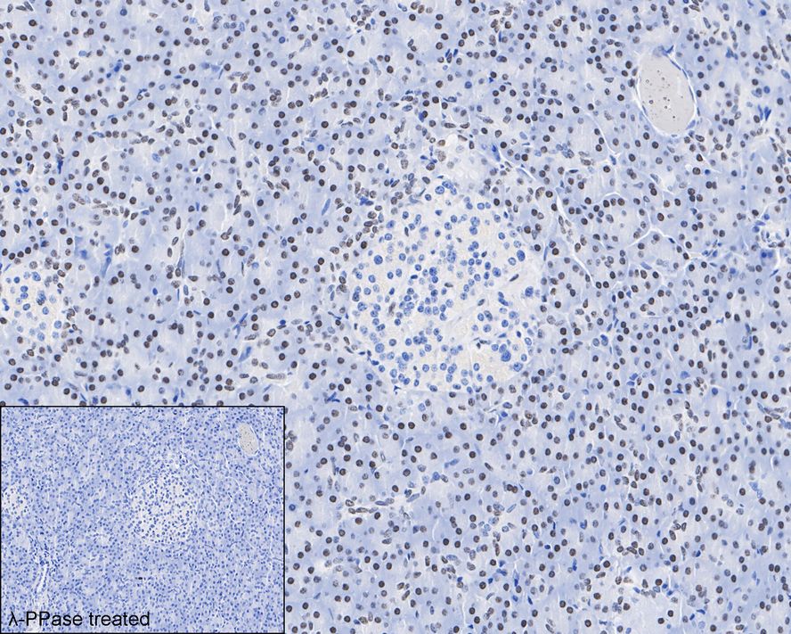
HA750869_4.jpg Fig4: Immunohistochemical analysis of paraffin-embedded human pancreas tissue untreated / treated with λpp with Rabbit anti-Phospho-IRE1 (S724) antibody (HA750869) at 1/500 dilution.

The section was pre-treated using heat mediated antigen retrieval with Tris-EDTA buffer (pH 9.0) for 20 minutes. The tissues were blocked in 1% BSA for 20 minutes at room temperature, washed with ddH2O and PBS, and then probed with the primary antibody (HA750869) at 1/500 dilution for 1 hour at room temperature. The detection was performed using an HRP conjugated compact polymer system. DAB was used as the chromogen. Tissues were counterstained with hematoxylin and mounted with DPX.
HA750869_5.jpg Fig5: Flow cytometric analysis of HeLa cells treated with or without 100nM Calyculin A for 30 minutes labeling Phospho-IRE1 (S724).

Cells were fixed and permeabilized. Then stained with the primary antibody (HA750869, 1μg/mL) (red) compared with Rabbit IgG Isotype Control (green). After incubation of the primary antibody at +4℃ for an hour, the cells were stained with a iFluor™ 488 conjugate-Goat anti-Rabbit IgG Secondary antibody (HA1121) at 1/1,000 dilution for 30 minutes at +4℃. Unlabelled sample was used as a control (cells without incubation with primary antibody; black).
Note: All products are “FOR RESEARCH USE ONLY AND ARE NOT INTENDED FOR DIAGNOSTIC OR THERAPEUTIC USE”.