TOM1 Recombinant Rabbit Monoclonal Antibody [PSH03-38]
cat.: HA750872
Product Type: Recombinant Rabbit monoclonal IgG, primary antibodies
Species reactivity: Human, Mouse, Rat
Applications: WB, IF-Tissue, IHC-P
Clonality: Monoclonal
Clone number: PSH03-38
Form: Liquid
Storage condition: Store at +4℃ after thawing. Aliquot store at -20℃. Avoid repeated freeze / thaw cycles.
Storage buffer: 1*PBS (pH7.4).
Concentration: 1ug/ul
Purification: Protein A affinity purified.
Molecular weight: Predicted band size: 54 kDa
Isotype: IgG
Immunogen: Recombinant protein within human TOM1 aa 300-450.
Positive control: 293T cell lysate, U-2 OS cell lysate, A431 cell lysate, K-562 cell lysate, HepG2 cell lysate, HeLa cell lysate, JAR cell lysate, THP-1 cell lysate, C2C12 cell lysate, PC-12 cell lysate, mouse heart tissue lysate, mouse skeletal muscle tissue lysate, rat liver tissue lysate, human stomach carcinoma tissue, human kidney tissue, human liver tissue, human stomach tissue, mouse stomach tissue, rat stomach tissue.
Subcellular location: Cytoplasm, Endosome membrane, Early endosome membrane.
Recommended Dilutions:
  WB
  IF-Tissue
  IHC-P

1:2,000
1:200
1:200-1:1,000
Uniprot #: SwissProt: O60784 Human | O88746 Mouse | Q5XI21 Rat
Alternative names: FLJ33404 OTTHUMP00000028777 Target of myb 1 Target of Myb protein 1 Target of myb1 TOM 1 TOM1 TOM1_HUMAN
Images
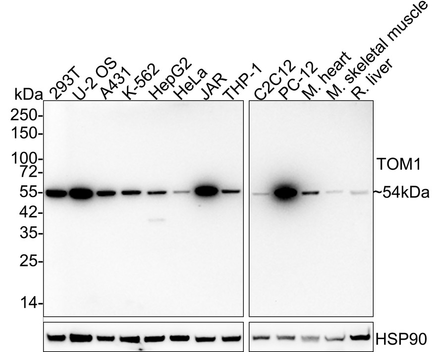
HA750872_1.jpg Fig1: Western blot analysis of TOM1 on different lysates with Rabbit anti-TOM1 antibody (HA750872) at 1/2,000 dilution.

Lane 1: 293T cell lysate (20 µg/Lane)
Lane 2: U-2 OS cell lysate (20 µg/Lane)
Lane 3: A431 cell lysate (20 µg/Lane)
Lane 4: K-562 cell lysate (20 µg/Lane)
Lane 5: HepG2 cell lysate (20 µg/Lane)
Lane 6: HeLa cell lysate (20 µg/Lane)
Lane 7: JAR cell lysate (20 µg/Lane)
Lane 8: THP-1 cell lysate (20 µg/Lane)
Lane 9: C2C12 cell lysate (20 µg/Lane)
Lane 10: PC-12 cell lysate (20 µg/Lane)
Lane 11: Mouse heart tissue lysate (40 µg/Lane)
Lane 12: Mouse skeletal muscle tissue lysate (40 µg/Lane)
Lane 13: Rat liver tissue lysate (40 µg/Lane)

Predicted band size: 54 kDa
Observed band size: 54 kDa

Exposure time: 3 minutes;

4-20% SDS-PAGE gel.

Proteins were transferred to a PVDF membrane and blocked with 5% NFDM/TBST for 1 hour at room temperature. The primary antibody (HA750872) at 1/2,000 dilution was used in 5% NFDM/TBST at 4℃ overnight. Goat Anti-Rabbit IgG - HRP Secondary Antibody (HA1001) at 1/50,000 dilution was used for 1 hour at room temperature.
HA750872_2.jpg Fig2: Immunofluorescence analysis of paraffin-embedded human stomach carcinoma tissue labeling TOM1 with Rabbit anti-TOM1 antibody (HA750872) at 1/200 dilution.

The section was pre-treated using heat mediated antigen retrieval with Tris-EDTA buffer (pH 9.0) for 20 minutes. The tissues were blocked in 10% negative goat serum for 1 hour at room temperature, washed with PBS, and then probed with the primary antibody (HA750872, green) at 1/200 dilution overnight at 4 ℃, washed with PBS. Goat Anti-Rabbit IgG H&L (iFluor™ 488, HA1121) was used as the secondary antibody at 1/1,000 dilution. Nuclei were counterstained with DAPI (blue).
HA750872_3.jpg Fig3: Western blot analysis of TOM1 on different lysates with Rabbit anti-TOM1 antibody (HA750872) at 1/5,000 dilution.

Lane 1: HAP1-parental cell lysate
Lane 2: HAP1-TOM1 KD cell lysate

Lysates/proteins at 10 µg/Lane.

Predicted band size: 54 kDa
Observed band size: 54 kDa

Exposure time: 3 minutes; ECL: K1801;

4-20% SDS-PAGE gel.

Proteins were transferred to a PVDF membrane and blocked with 5% NFDM/TBST for 1 hour at room temperature. The primary antibody (HA750872) at 1/5,000 dilution was used in primary antibody dilution (K1803) at 4℃ overnight. Goat Anti-Rabbit IgG - HRP Secondary Antibody (HA1001) at 1/50,000 dilution was used for 1 hour at room temperature.
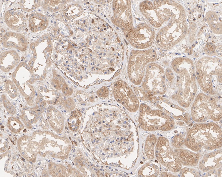
HA750872_4.jpg Fig4: Immunohistochemical analysis of paraffin-embedded human kidney tissue with Rabbit anti-TOM1 antibody (HA750872) at 1/200 dilution.

The section was pre-treated using heat mediated antigen retrieval with Tris-EDTA buffer (pH 9.0) for 20 minutes. The tissues were blocked in 1% BSA for 20 minutes at room temperature, washed with ddH2O and PBS, and then probed with the primary antibody (HA750872) at 1/200 dilution for 1 hour at room temperature. The detection was performed using an HRP conjugated compact polymer system. DAB was used as the chromogen. Tissues were counterstained with hematoxylin and mounted with DPX.
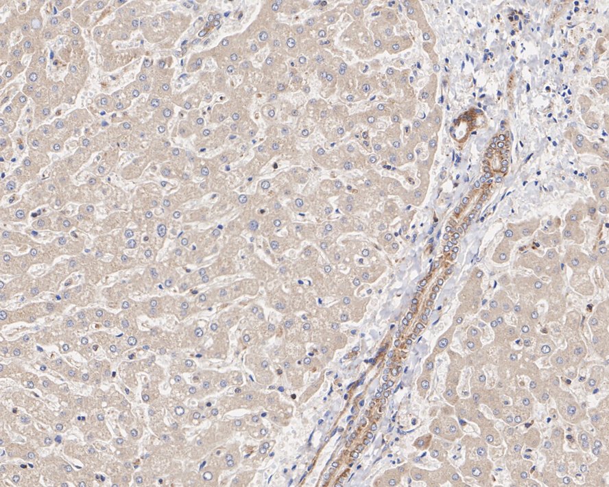
HA750872_5.jpg Fig5: Immunohistochemical analysis of paraffin-embedded human liver tissue with Rabbit anti-TOM1 antibody (HA750872) at 1/200 dilution.

The section was pre-treated using heat mediated antigen retrieval with Tris-EDTA buffer (pH 9.0) for 20 minutes. The tissues were blocked in 1% BSA for 20 minutes at room temperature, washed with ddH2O and PBS, and then probed with the primary antibody (HA750872) at 1/200 dilution for 1 hour at room temperature. The detection was performed using an HRP conjugated compact polymer system. DAB was used as the chromogen. Tissues were counterstained with hematoxylin and mounted with DPX.
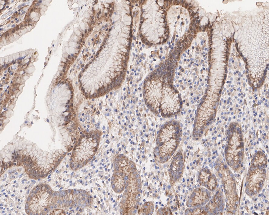
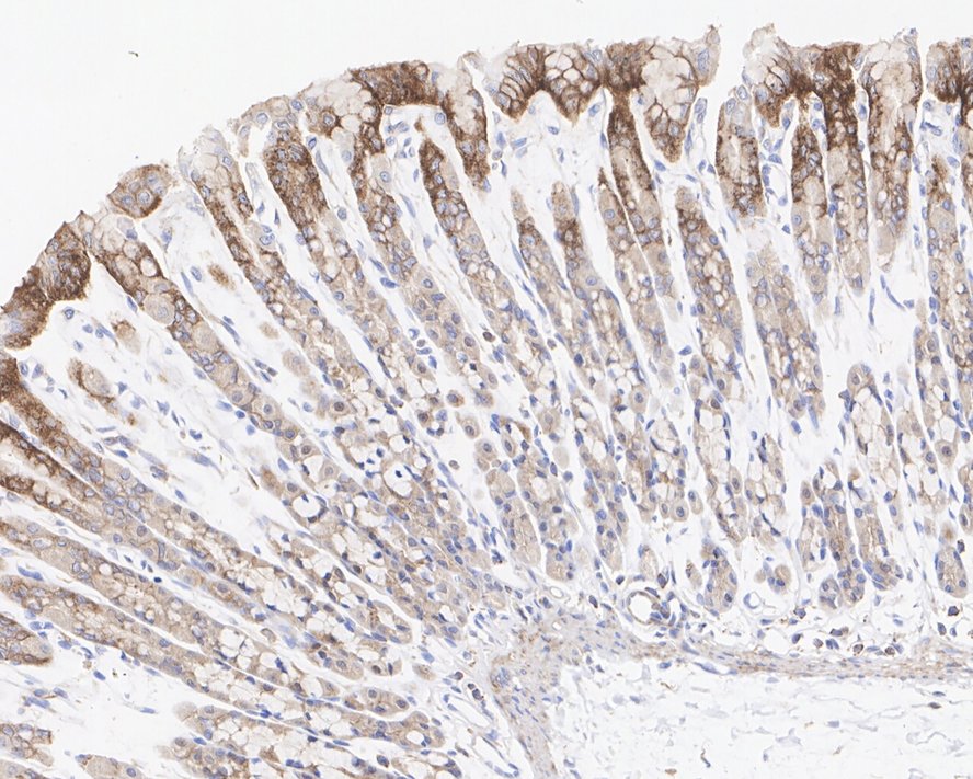
HA750872_6.jpg Fig6: Immunohistochemical analysis of paraffin-embedded human stomach tissue with Rabbit anti-TOM1 antibody (HA750872) at 1/200 dilution.

The section was pre-treated using heat mediated antigen retrieval with Tris-EDTA buffer (pH 9.0) for 20 minutes. The tissues were blocked in 1% BSA for 20 minutes at room temperature, washed with ddH2O and PBS, and then probed with the primary antibody (HA750872) at 1/200 dilution for 1 hour at room temperature. The detection was performed using an HRP conjugated compact polymer system. DAB was used as the chromogen. Tissues were counterstained with hematoxylin and mounted with DPX.
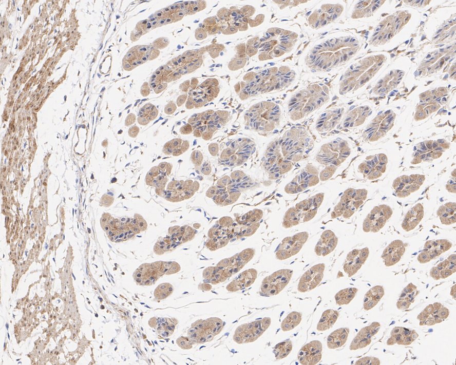
HA750872_7.jpg Fig7: Immunohistochemical analysis of paraffin-embedded mouse stomach tissue with Rabbit anti-TOM1 antibody (HA750872) at 1/200 dilution.

The section was pre-treated using heat mediated antigen retrieval with Tris-EDTA buffer (pH 9.0) for 20 minutes. The tissues were blocked in 1% BSA for 20 minutes at room temperature, washed with ddH2O and PBS, and then probed with the primary antibody (HA750872) at 1/200 dilution for 1 hour at room temperature. The detection was performed using an HRP conjugated compact polymer system. DAB was used as the chromogen. Tissues were counterstained with hematoxylin and mounted with DPX.
HA750872_8.jpg Fig8: Immunohistochemical analysis of paraffin-embedded rat stomach tissue with Rabbit anti-TOM1 antibody (HA750872) at 1/1,000 dilution.

The section was pre-treated using heat mediated antigen retrieval with Tris-EDTA buffer (pH 9.0) for 20 minutes. The tissues were blocked in 1% BSA for 20 minutes at room temperature, washed with ddH2O and PBS, and then probed with the primary antibody (HA750872) at 1/1,000 dilution for 1 hour at room temperature. The detection was performed using an HRP conjugated compact polymer system. DAB was used as the chromogen. Tissues were counterstained with hematoxylin and mounted with DPX.
Note: All products are “FOR RESEARCH USE ONLY AND ARE NOT INTENDED FOR DIAGNOSTIC OR THERAPEUTIC USE”.