Ninein Recombinant Rabbit Monoclonal Antibody [PSH03-46]
cat.: HA750880
Product Type: Recombinant Rabbit monoclonal IgG, primary antibodies
Species reactivity: Human, Mouse, Rat
Applications: WB, IHC-P, IF-Cell, FC
Clonality: Monoclonal
Clone number: PSH03-46
Form: Liquid
Storage condition: Store at +4℃ after thawing. Aliquot store at -20℃. Avoid repeated freeze / thaw cycles.
Storage buffer: 1*PBS (pH7.4).
Concentration: 1ug/ul
Purification: Protein A affinity purified.
Molecular weight: Predicted band size: 243 kDa
Isotype: IgG
Immunogen: Recombinant protein within human Ninein aa 1-500 / 2,090.
Positive control: Rat brain tissue, NIH/3T3, HeLa.
Subcellular location: Cytoplasm, cytoskeleton, microtubule organizing center, centrosome, centriole.
Recommended Dilutions:
  WB
  IHC-P
  IF-Cell
  FC

1:2,000
1:2,000
1:100
1:1,000
Uniprot #: SwissProt: Q8N4C6 Human | Q61043 Mouse
Entrez Gene: 299117 Rat
Alternative names: Centrosome Marker Glycogen synthase kinase 3 beta interacting protein GSK3B interacting protein h Glycogen synthase kinase 3 beta-interacting protein hNinein KIAA1565 NIN NIN protein NIN_HUMAN ninein (GSK3B interacting protein) Ninein Ninein centrosomal protein SCKL7
Images
HA750880_1.jpg Fig1: Western blot analysis of Ninein on Ninein recombinant protein with Rabbit anti-Ninein antibody (HA750880) at 1/2,000 dilution.

Lysates/proteins at 20 ng/Lane.

Exposure time: 24 seconds;

4-20% SDS-PAGE gel.

Proteins were transferred to a PVDF membrane and blocked with 5% NFDM/TBST for 1 hour at room temperature. The primary antibody (HA750880) at 1/2,000 dilution was used in 5% NFDM/TBST at room temperature for 2 hours. Goat Anti-Rabbit IgG - HRP Secondary Antibody (HA1001) at 1/50,000 dilution was used for 1 hour at room temperature.
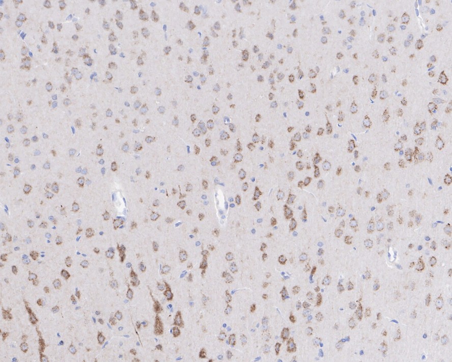
HA750880_2.jpg Fig2: Immunohistochemical analysis of paraffin-embedded rat brain tissue with Rabbit anti-Ninein antibody (HA750880) at 1/2,000 dilution.

The section was pre-treated using heat mediated antigen retrieval with Tris-EDTA buffer (pH 9.0) for 20 minutes. The tissues were blocked in 1% BSA for 20 minutes at room temperature, washed with ddH2O and PBS, and then probed with the primary antibody (HA750880) at 1/2,000 dilution for 1 hour at room temperature. The detection was performed using an HRP conjugated compact polymer system. DAB was used as the chromogen. Tissues were counterstained with hematoxylin and mounted with DPX.
HA750880_3.jpg Fig3: Immunocytochemistry analysis of NIH/3T3 cells labeling Ninein with Rabbit anti-Ninein antibody (HA750880) at 1/100 dilution.

Cells were fixed in 4% paraformaldehyde for 20 minutes at room temperature, permeabilized with 0.1% Triton X-100 in PBS for 5 minutes at room temperature, then blocked with 1% BSA in 10% negative goat serum for 1 hour at room temperature. Cells were then incubated with Rabbit anti-Ninein antibody (HA750880) at 1/100 dilution in 1% BSA in PBST overnight at 4 ℃. Goat Anti-Rabbit IgG H&L (iFluor™ 488, HA1121) was used as the secondary antibody at 1/1,000 dilution. PBS instead of the primary antibody was used as the secondary antibody only control. Nuclear DNA was labelled in blue with DAPI.

Beta tubulin (M1305-2, red) was stained at 1/100 dilution overnight at +4℃. Goat Anti-Mouse IgG H&L (iFluor™ 594, HA1126) was used as the secondary antibody at 1/1,000 dilution.
HA750880_4.jpg Fig4: Immunocytochemistry analysis of HeLa cells labeling Ninein with Rabbit anti-Ninein antibody (HA750880) at 1/100 dilution.

Cells were fixed in 4% paraformaldehyde for 20 minutes at room temperature, permeabilized with 0.1% Triton X-100 in PBS for 5 minutes at room temperature, then blocked with 1% BSA in 10% negative goat serum for 1 hour at room temperature. Cells were then incubated with Rabbit anti-Ninein antibody (HA750880) at 1/100 dilution in 1% BSA in PBST overnight at 4 ℃. Goat Anti-Rabbit IgG H&L (iFluor™ 488, HA1121) was used as the secondary antibody at 1/1,000 dilution. PBS instead of the primary antibody was used as the secondary antibody only control. Nuclear DNA was labelled in blue with DAPI.

Beta tubulin (M1305-2, red) was stained at 1/100 dilution overnight at +4℃. Goat Anti-Mouse IgG H&L (iFluor™ 594, HA1126) was used as the secondary antibody at 1/1,000 dilution.
HA750880_5.jpg Fig5: Flow cytometric analysis of NIH/3T3 cells labeling Ninein.

Cells were fixed and permeabilized. Then stained with the primary antibody (HA750880, 1μg/mL) (red) compared with Rabbit IgG Isotype Control (green). After incubation of the primary antibody at +4℃ for an hour, the cells were stained with a iFluor™ 488 conjugate-Goat anti-Rabbit IgG Secondary antibody (HA1121) at 1/1,000 dilution for 30 minutes at +4℃. Unlabelled sample was used as a control (cells without incubation with primary antibody; black).
HA750880_6.jpg Fig6: Flow cytometric analysis of HeLa cells labeling Ninein.

Cells were fixed and permeabilized. Then stained with the primary antibody (HA750880, 1μg/mL) (red) compared with Rabbit IgG Isotype Control (green). After incubation of the primary antibody at +4℃ for an hour, the cells were stained with a iFluor™ 488 conjugate-Goat anti-Rabbit IgG Secondary antibody (HA1121) at 1/1,000 dilution for 30 minutes at +4℃. Unlabelled sample was used as a control (cells without incubation with primary antibody; black).
Note: All products are “FOR RESEARCH USE ONLY AND ARE NOT INTENDED FOR DIAGNOSTIC OR THERAPEUTIC USE”.