CaSR Recombinant Rabbit Monoclonal Antibody [PSH03-47]
cat.: HA750881
Product Type: Recombinant Rabbit monoclonal IgG, primary antibodies
Species reactivity: Human, Mouse, Rat
Applications: WB, IHC-P, IF-Tissue
Clonality: Monoclonal
Clone number: PSH03-47
Form: Liquid
Storage condition: Store at +4℃ after thawing. Aliquot store at -20℃. Avoid repeated freeze / thaw cycles.
Storage buffer: 1*PBS (pH7.4).
Concentration: 1ug/ul
Purification: Protein A affinity purified.
Molecular weight: Predicted band size: 121 kDa
Isotype: IgG
Immunogen: Recombinant protein within human CaSR aa 1-612 / 1,078.
Positive control: Human kidney tissue lysate, mouse kidney tissue lysate, rat kidney tissue lysate, human kidney tissue, mouse kidney tissue, rat kidney tissue.
Subcellular location: Cell membrane.
Recommended Dilutions:
  WB
  IHC-P
  IF-Tissue

1:2,000
1:2,000
1:50
Uniprot #: SwissProt: P41180 Human | Q9QY96 Mouse | P48442 Rat
Alternative names: Ca sensing receptor Ca2+ sensing receptor 1 Ca2+ sensing receptor Calcium sensing receptor CAR CaSR CASR_HUMAN EIG8 Extracellular calcium sensing receptor Extracellular calcium sensing receptor [Precursor] Extracellular calcium-sensing receptor FHH FIH GPRC2A HHC HHC1 Hypocalciuric hypercalcemia 1 Hypocalciuric hypercalcemia 1 severe neonatal hyperparathyroidism MGC138441 NSHPT Parathyroid Ca(2+) sensing receptor 1 Parathyroid Cell calcium sensing receptor Parathyroid Cell calcium-sensing receptor PCAR 1 PCaR1
Images
HA750881_1.jpg Fig1: Western blot analysis of CaSR on different lysates with Rabbit anti-CaSR antibody (HA750881) at 1/2,000 dilution.

Lane 1: Human kidney tissue lysate (40 µg/Lane)
Lane 2: Mouse kidney tissue lysate (no heat) (40 µg/Lane)
Lane 3: Rat kidney tissue lysate (no heat) (40 µg/Lane)

Notice: no heat means the lysate is not boiled.

Predicted band size: 121 kDa
Observed band size: 160 kDa

Exposure time: 1 minute 50 seconds; ECL: K1801;
4-20% SDS-PAGE gel.

Proteins were transferred to a PVDF membrane and blocked with 5% NFDM/TBST for 1 hour at room temperature. The primary antibody (HA750881) at 1/2,000 dilution was used in 5% NFDM/TBST at 4℃ overnight. Goat Anti-Rabbit IgG - HRP Secondary Antibody (HA1001) at 1/50,000 dilution was used for 1 hour at room temperature.
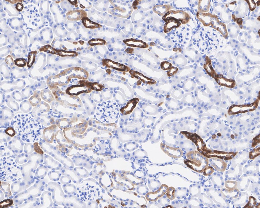
HA750881_2.jpg Fig2: Immunohistochemical analysis of paraffin-embedded human kidney tissue with Rabbit anti-CaSR antibody (HA750881) at 1/2,000 dilution.

The section was pre-treated using heat mediated antigen retrieval with Tris-EDTA buffer (pH 9.0) for 20 minutes. The tissues were blocked in 1% BSA for 20 minutes at room temperature, washed with ddH2O and PBS, and then probed with the primary antibody (HA750881) at 1/2,000 dilution for 1 hour at room temperature. The detection was performed using an HRP conjugated compact polymer system. DAB was used as the chromogen. Tissues were counterstained with hematoxylin and mounted with DPX.
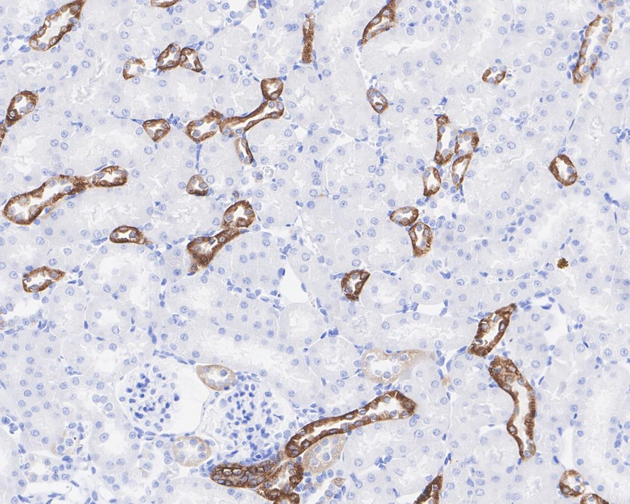
HA750881_3.jpg Fig3: Immunohistochemical analysis of paraffin-embedded mouse kidney tissue with Rabbit anti-CaSR antibody (HA750881) at 1/2,000 dilution.

The section was pre-treated using heat mediated antigen retrieval with Tris-EDTA buffer (pH 9.0) for 20 minutes. The tissues were blocked in 1% BSA for 20 minutes at room temperature, washed with ddH2O and PBS, and then probed with the primary antibody (HA750881) at 1/2,000 dilution for 1 hour at room temperature. The detection was performed using an HRP conjugated compact polymer system. DAB was used as the chromogen. Tissues were counterstained with hematoxylin and mounted with DPX.
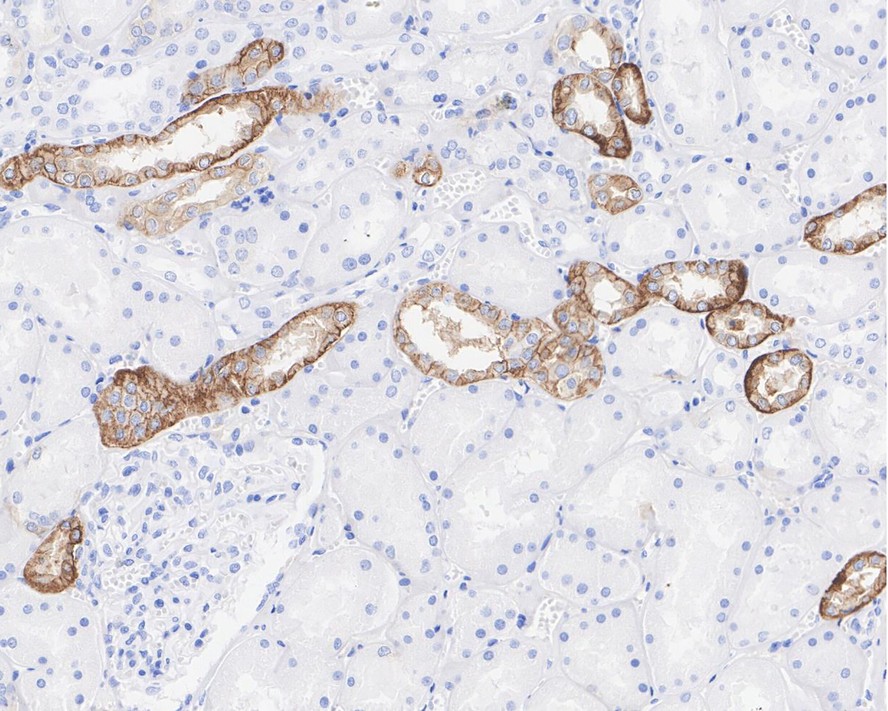
HA750881_4.jpg Fig4: Immunohistochemical analysis of paraffin-embedded rat kidney tissue with Rabbit anti-CaSR antibody (HA750881) at 1/2,000 dilution.

The section was pre-treated using heat mediated antigen retrieval with Tris-EDTA buffer (pH 9.0) for 20 minutes. The tissues were blocked in 1% BSA for 20 minutes at room temperature, washed with ddH2O and PBS, and then probed with the primary antibody (HA750881) at 1/2,000 dilution for 1 hour at room temperature. The detection was performed using an HRP conjugated compact polymer system. DAB was used as the chromogen. Tissues were counterstained with hematoxylin and mounted with DPX.
HA750881_5.jpg Fig5: Immunohistochemical analysis of paraffin-embedded human brain tissue (negative) with Rabbit anti-CaSR antibody (HA750881) at 1/2,000 dilution.

The section was pre-treated using heat mediated antigen retrieval with Tris-EDTA buffer (pH 9.0) for 20 minutes. The tissues were blocked in 1% BSA for 20 minutes at room temperature, washed with ddH2O and PBS, and then probed with the primary antibody (HA750881) at 1/2,000 dilution for 1 hour at room temperature. The detection was performed using an HRP conjugated compact polymer system. DAB was used as the chromogen. Tissues were counterstained with hematoxylin and mounted with DPX.
HA750881_6.jpg Fig6: Immunohistochemical analysis of paraffin-embedded mouse brain tissue (negative) with Rabbit anti-CaSR antibody (HA750881) at 1/2,000 dilution.

The section was pre-treated using heat mediated antigen retrieval with Tris-EDTA buffer (pH 9.0) for 20 minutes. The tissues were blocked in 1% BSA for 20 minutes at room temperature, washed with ddH2O and PBS, and then probed with the primary antibody (HA750881) at 1/2,000 dilution for 1 hour at room temperature. The detection was performed using an HRP conjugated compact polymer system. DAB was used as the chromogen. Tissues were counterstained with hematoxylin and mounted with DPX.
HA750881_7.jpg Fig7: Immunohistochemical analysis of paraffin-embedded rat brain tissue (negative) with Rabbit anti-CaSR antibody (HA750881) at 1/2,000 dilution.

The section was pre-treated using heat mediated antigen retrieval with Tris-EDTA buffer (pH 9.0) for 20 minutes. The tissues were blocked in 1% BSA for 20 minutes at room temperature, washed with ddH2O and PBS, and then probed with the primary antibody (HA750881) at 1/2,000 dilution for 1 hour at room temperature. The detection was performed using an HRP conjugated compact polymer system. DAB was used as the chromogen. Tissues were counterstained with hematoxylin and mounted with DPX.
HA750881_8.jpg Fig8: Immunofluorescence analysis of paraffin-embedded mouse kidney tissue labeling CaSR with Rabbit anti-CaSR antibody (HA750881) at 1/50 dilution.

The section was pre-treated using heat mediated antigen retrieval with Tris-EDTA buffer (pH 9.0) for 20 minutes. The tissues were blocked in 10% negative goat serum for 1 hour at room temperature, washed with PBS, and then probed with the primary antibody (HA750881, green) at 1/50 dilution overnight at 4 ℃, washed with PBS. Goat Anti-Rabbit IgG H&L (iFluor™ 488, HA1121) was used as the secondary antibody at 1/1,000 dilution. Nuclei were counterstained with DAPI (blue).
Note: All products are “FOR RESEARCH USE ONLY AND ARE NOT INTENDED FOR DIAGNOSTIC OR THERAPEUTIC USE”.