Plexin B2 Recombinant Rabbit Monoclonal Antibody [PSH03-48]
cat.: HA750882
Product Type: Recombinant Rabbit monoclonal IgG, primary antibodies
Species reactivity: Human
Applications: WB, IF-Cell, IHC-P
Clonality: Monoclonal
Clone number: PSH03-48
Form: Liquid
Storage condition: Store at +4℃ after thawing. Aliquot store at -20℃. Avoid repeated freeze / thaw cycles.
Storage buffer: 1*PBS (pH7.4).
Concentration: 1ug/ul
Purification: Protein A affinity purified.
Molecular weight: Predicted band size: 205 kDa
Isotype: IgG
Immunogen: Recombinant protein within human Plexin B2 aa 1-1,250 / 1,838.
Positive control: LNCaP cell lysate, 293T cell lysate, HeLa cell lysate, U-87 MG cell lysate, HepG2 cell lysate, K-562 cell lysate, Jurkat cell lysate, MCF7 cell lysate, HeLa, human colon cancer tissue, human liver tissue.
Subcellular location: Cell membrane.
Recommended Dilutions:
  WB
  IF-Cell
  IHC-P

1:2,000
1:100
1:2,000
Uniprot #: SwissProt: O15031 Human
Alternative names: KIAA0315 MM1 Plexin B2 PLXN B2 PLXNB2
Images
HA750882_1.jpg Fig1: Western blot analysis of Plexin B2 on different lysates with Rabbit anti-Plexin B2 antibody (HA750882) at 1/2,000 dilution.

Lane 1: LNCaP cell lysate
Lane 2: 293T cell lysate
Lane 3: HeLa cell lysate
Lane 4: U-87 MG cell lysate
Lane 5: HepG2 cell lysate
Lane 6: K-562 cell lysate
Lane 7: Jurkat cell lysate
Lane 8: MCF7 cell lysate

Lysates/proteins at 20 µg/Lane.

Predicted band size: 205 kDa
Observed band size: 170/240 kDa

Exposure time: 43 seconds;

4-20% SDS-PAGE gel.

Proteins were transferred to a PVDF membrane and blocked with 5% NFDM/TBST for 1 hour at room temperature. The primary antibody (HA750882) at 1/2,000 dilution was used in 5% NFDM/TBST at 4℃ overnight. Goat Anti-Rabbit IgG - HRP Secondary Antibody (HA1001) at 1/50,000 dilution was used for 1 hour at room temperature.
HA750882_2.jpg Fig2: Immunocytochemistry analysis of HeLa cells labeling Plexin B2 with Rabbit anti-Plexin B2 antibody (HA750882) at 1/100 dilution.

Cells were fixed in 100% precooled methanol for 5 minutes at room temperature, then blocked with 1% BSA in 10% negative goat serum for 1 hour at room temperature. Cells were then incubated with Rabbit anti-Plexin B2 antibody (HA750882) at 1/100 dilution in 1% BSA in PBST overnight at 4 ℃. Goat Anti-Rabbit IgG H&L (iFluor™ 488, HA1121) was used as the secondary antibody at 1/1,000 dilution. PBS instead of the primary antibody was used as the secondary antibody only control. Nuclear DNA was labelled in blue with DAPI.

Beta tubulin (M1305-2, red) was stained at 1/100 dilution overnight at +4℃. Goat Anti-Mouse IgG H&L (iFluor™ 594, HA1126) was used as the secondary antibody at 1/1,000 dilution.
HA750882_3.jpg Fig3: Immunohistochemical analysis of paraffin-embedded human colon cancer tissue with Rabbit anti-Plexin B2 antibody (HA750882) at 1/2,000 dilution.

The section was pre-treated using heat mediated antigen retrieval with Tris-EDTA buffer (pH 9.0) for 20 minutes. The tissues were blocked in 1% BSA for 20 minutes at room temperature, washed with ddH2O and PBS, and then probed with the primary antibody (HA750882) at 1/2,000 dilution for 1 hour at room temperature. The detection was performed using an HRP conjugated compact polymer system. DAB was used as the chromogen. Tissues were counterstained with hematoxylin and mounted with DPX.
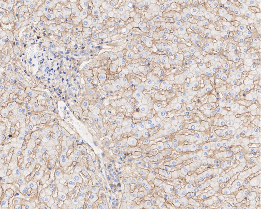
HA750882_4.jpg Fig4: Immunohistochemical analysis of paraffin-embedded human liver tissue with Rabbit anti-Plexin B2 antibody (HA750882) at 1/2,000 dilution.

The section was pre-treated using heat mediated antigen retrieval with Tris-EDTA buffer (pH 9.0) for 20 minutes. The tissues were blocked in 1% BSA for 20 minutes at room temperature, washed with ddH2O and PBS, and then probed with the primary antibody (HA750882) at 1/2,000 dilution for 1 hour at room temperature. The detection was performed using an HRP conjugated compact polymer system. DAB was used as the chromogen. Tissues were counterstained with hematoxylin and mounted with DPX.
Note: All products are “FOR RESEARCH USE ONLY AND ARE NOT INTENDED FOR DIAGNOSTIC OR THERAPEUTIC USE”.