MUSK Recombinant Rabbit Multiclonal Antibody [PSH03-51]
cat.: HA750885
Product Type: Recombinant Rabbit multiclonal IgG, primary antibodies
Species reactivity: Human, Mouse, Rat
Applications: WB, IHC-P
Clone number: PSH03-51
Form: Liquid
Storage condition: Store at +4℃ after thawing. Aliquot store at -20℃. Avoid repeated freeze / thaw cycles.
Storage buffer: 1*PBS (pH7.4).
Concentration: 1ug/ul
Purification: Protein A affinity purified.
Molecular weight: Predicted band size: 97 kDa
Isotype: IgG
Immunogen: Recombinant protein within human MUSK aa 1-516 / 869.
Positive control: Human brain tissue lysate, mouse brain tissue lysate, mouse skeletal muscle tissue lysate, mouse hippocampus tissue lysate, rat brain tissue lysate, rat skeletal muscle tissue lysate, rat hippocampus tissue lysate, human skeletal muscle tissue, mouse skeletal muscle tissue, rat skeletal muscle tissue.
Subcellular location: Postsynaptic cell membrane.
Recommended Dilutions:
  WB
  IHC-P

1:2,000
1:500-1:2,000
Uniprot #: SwissProt: O15146 Human | Q61006 Mouse | Q62838 Rat
Alternative names: CMS9 FADS MDK 4 MDK4 MGC126323 MGC126324 Muscle Muscle associated receptor tyrosine kinase Muscle skeletal receptor tyrosine kinase Muscle skeletal receptor tyrosine protein kinase Muscle specific kinase receptor Muscle specific tyrosine kinase receptor Muscle specific tyrosine protein kinase receptor Muscle-specific kinase receptor Muscle-specific tyrosine-protein kinase receptor MuSK MUSK_HUMAN Neural fold somite kinase 1 Neural fold somite kinase 2 Neural fold somite kinase 3 Neural fold somite kinase1 Neural fold somite kinase2 Neural fold somite kinase3 Nsk 1 Nsk 2 Nsk 3 Nsk1 Nsk2 Nsk3 Receptor tyrosine kinase MuSK Skeletal muscle receptor tyrosine kinase skeletal receptor tyrosine-protein kinase
Images
HA750885_1.jpg Fig1: Western blot analysis of MUSK on different lysates with Rabbit anti-MUSK antibody (HA750885) at 1/2,000 dilution.

Lane 1: Human brain tissue lysate
Lane 2: Mouse brain tissue lysate
Lane 3: Mouse skeletal muscle tissue lysate
Lane 4: Mouse hippocampus tissue lysate
Lane 5: Rat brain tissue lysate
Lane 6: Rat skeletal muscle tissue lysate
Lane 7: Rat hippocampus tissue lysate

Lysates/proteins at 30 µg/Lane.

Predicted band size: 97 kDa
Observed band size: 100 kDa

Exposure time: 50 seconds;

4-20% SDS-PAGE gel.

Proteins were transferred to a PVDF membrane and blocked with 5% NFDM/TBST for 1 hour at room temperature. The primary antibody (HA750885) at 1/2,000 dilution was used in 5% NFDM/TBST at 4℃ overnight. Goat Anti-Rabbit IgG - HRP Secondary Antibody (HA1001) at 1/50,000 dilution was used for 1 hour at room temperature.
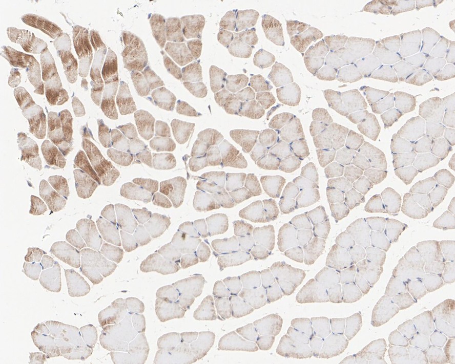
HA750885_2.jpg Fig2: Immunohistochemical analysis of paraffin-embedded human skeletal muscle tissue with Rabbit anti-MUSK antibody (HA750885) at 1/2,000 dilution.

The section was pre-treated using heat mediated antigen retrieval with Tris-EDTA buffer (pH 9.0) for 20 minutes. The tissues were blocked in 1% BSA for 20 minutes at room temperature, washed with ddH2O and PBS, and then probed with the primary antibody (HA750885) at 1/2,000 dilution for 1 hour at room temperature. The detection was performed using an HRP conjugated compact polymer system. DAB was used as the chromogen. Tissues were counterstained with hematoxylin and mounted with DPX.
HA750885_3.jpg Fig3: Immunohistochemical analysis of paraffin-embedded mouse skeletal muscle tissue with Rabbit anti-MUSK antibody (HA750885) at 1/500 dilution.

The section was pre-treated using heat mediated antigen retrieval with Tris-EDTA buffer (pH 9.0) for 20 minutes. The tissues were blocked in 1% BSA for 20 minutes at room temperature, washed with ddH2O and PBS, and then probed with the primary antibody (HA750885) at 1/500 dilution for 1 hour at room temperature. The detection was performed using an HRP conjugated compact polymer system. DAB was used as the chromogen. Tissues were counterstained with hematoxylin and mounted with DPX.
HA750885_4.jpg Fig4: Immunohistochemical analysis of paraffin-embedded rat skeletal muscle tissue with Rabbit anti-MUSK antibody (HA750885) at 1/2,000 dilution.

The section was pre-treated using heat mediated antigen retrieval with Tris-EDTA buffer (pH 9.0) for 20 minutes. The tissues were blocked in 1% BSA for 20 minutes at room temperature, washed with ddH2O and PBS, and then probed with the primary antibody (HA750885) at 1/2,000 dilution for 1 hour at room temperature. The detection was performed using an HRP conjugated compact polymer system. DAB was used as the chromogen. Tissues were counterstained with hematoxylin and mounted with DPX.
Note: All products are “FOR RESEARCH USE ONLY AND ARE NOT INTENDED FOR DIAGNOSTIC OR THERAPEUTIC USE”.