UFSP2 Recombinant Rabbit Monoclonal Antibody [PSH03-57]
cat.: HA750891
Product Type: Recombinant Rabbit monoclonal IgG, primary antibodies
Species reactivity: Human, Mouse, Rat
Applications: WB, IHC-P
Clonality: Monoclonal
Clone number: PSH03-57
Form: Liquid
Storage condition: Store at +4℃ after thawing. Aliquot store at -20℃. Avoid repeated freeze / thaw cycles.
Storage buffer: 1*PBS (pH7.4).
Concentration: 1ug/ul
Purification: Protein A affinity purified.
Molecular weight: Predicted band size: 53 kDa
Isotype: IgG
Immunogen: Synthetic peptide within human UFSP2 aa 420-469 / 469.
Positive control: 293T cell lysate, HeLa cell lysate, HepG2 cell lysate, U-87 MG cell lysate, Neuro-2a cell lysate, RAW264.7 cell lysate, PC-12 cell lysate, C6 cell lysate, human colon tissue, human stomach tissue, mouse kidney tissue, rat kidney tissue.
Subcellular location: Cytoplasm, Endoplasmic reticulum, Nucleus.
Recommended Dilutions:
  WB
  IHC-P

1:2,000
1:200-1:500
Uniprot #: SwissProt: Q9NUQ7 Human | Q99K23 Mouse | Q5XIB4 Rat
Alternative names: C4orf20 Chromosome 4 open reading frame 20 FLJ11200 Ufm1 specific protease 2 UFM1-specific peptidase 2 Ufm1-specific protease 2 UfSP2 UFSP2_HUMAN
Images
HA750891_1.jpg Fig1: Western blot analysis of UFSP2 on different lysates with Rabbit anti-UFSP2 antibody (HA750891) at 1/2,000 dilution.

Lane 1: 293T cell lysate
Lane 2: HeLa cell lysate
Lane 3: HepG2 cell lysate
Lane 4: U-87 MG cell lysate
Lane 5: Neuro-2a cell lysate
Lane 6: RAW264.7 cell lysate
Lane 7: PC-12 cell lysate
Lane 8: C6 cell lysate

Lysates/proteins at 30 µg/Lane.

Predicted band size: 53 kDa
Observed band size: 53 kDa

Exposure time: 1 minute 40 seconds;

4-20% SDS-PAGE gel.

Proteins were transferred to a PVDF membrane and blocked with 5% NFDM/TBST for 1 hour at room temperature. The primary antibody (HA750891) at 1/2,000 dilution was used in 5% NFDM/TBST at 4℃ overnight. Goat Anti-Rabbit IgG - HRP Secondary Antibody (HA1001) at 1/50,000 dilution was used for 1 hour at room temperature.
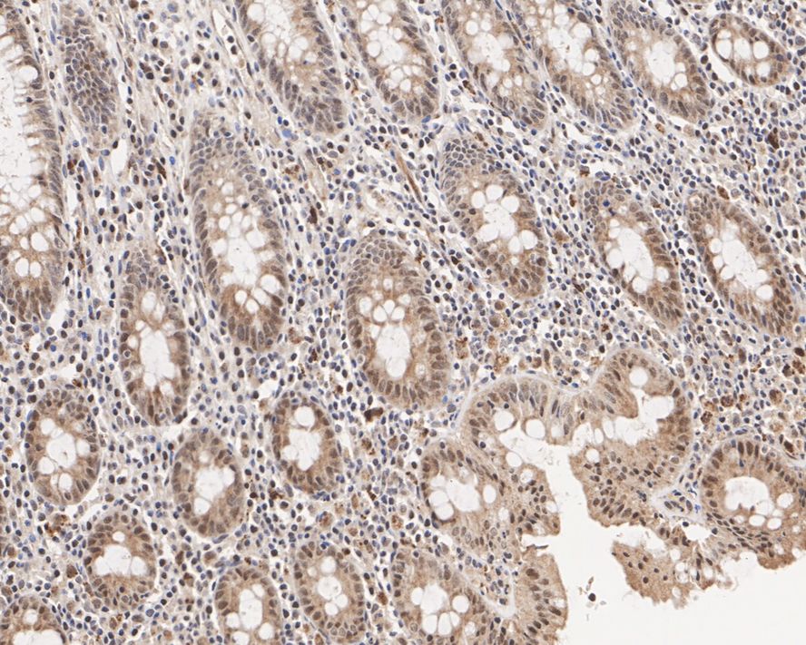
HA750891_2.jpg Fig2: Immunohistochemical analysis of paraffin-embedded human colon tissue with Rabbit anti-UFSP2 antibody (HA750891) at 1/200 dilution.

The section was pre-treated using heat mediated antigen retrieval with sodium citrate buffer (pH 6.0) (high pressure) for 2 minutes. The tissues were blocked in 1% BSA for 20 minutes at room temperature, washed with ddH2O and PBS, and then probed with the primary antibody (HA750891) at 1/200 dilution for 1 hour at room temperature. The detection was performed using an HRP conjugated compact polymer system. DAB was used as the chromogen. Tissues were counterstained with hematoxylin and mounted with DPX.
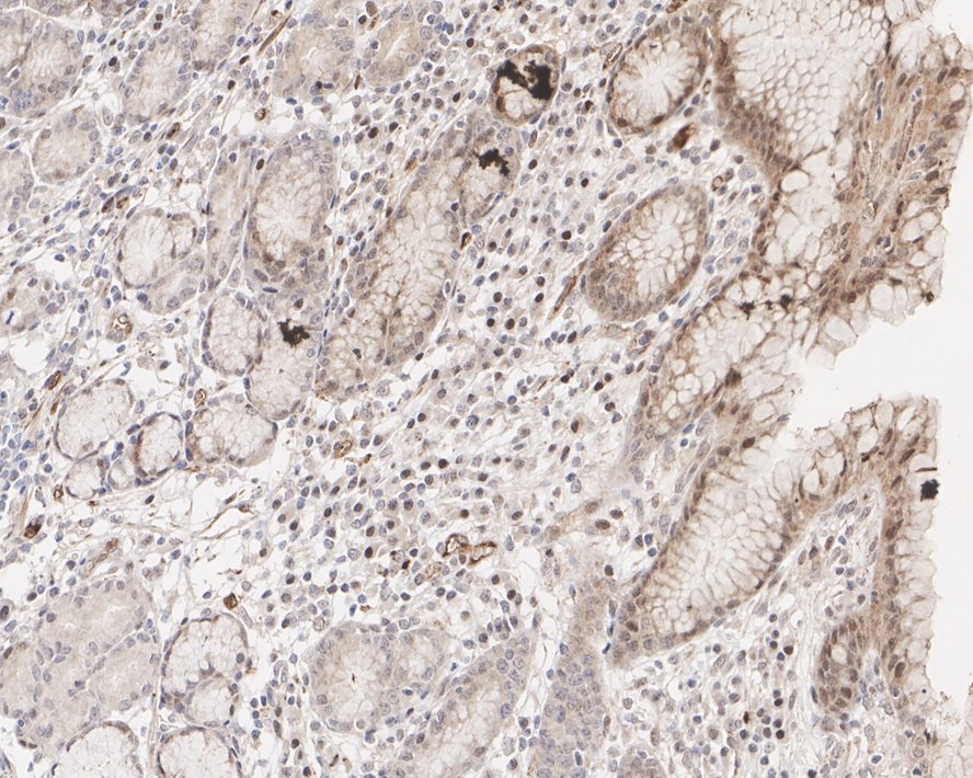
HA750891_3.jpg Fig3: Immunohistochemical analysis of paraffin-embedded human stomach tissue with Rabbit anti-UFSP2 antibody (HA750891) at 1/200 dilution.

The section was pre-treated using heat mediated antigen retrieval with sodium citrate buffer (pH 6.0) (high pressure) for 2 minutes. The tissues were blocked in 1% BSA for 20 minutes at room temperature, washed with ddH2O and PBS, and then probed with the primary antibody (HA750891) at 1/200 dilution for 1 hour at room temperature. The detection was performed using an HRP conjugated compact polymer system. DAB was used as the chromogen. Tissues were counterstained with hematoxylin and mounted with DPX.
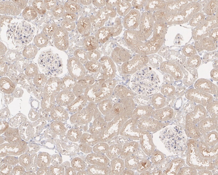
HA750891_4.jpg Fig4: Immunohistochemical analysis of paraffin-embedded mouse kidney tissue with Rabbit anti-UFSP2 antibody (HA750891) at 1/200 dilution.

The section was pre-treated using heat mediated antigen retrieval with sodium citrate buffer (pH 6.0) (high pressure) for 2 minutes. The tissues were blocked in 1% BSA for 20 minutes at room temperature, washed with ddH2O and PBS, and then probed with the primary antibody (HA750891) at 1/200 dilution for 1 hour at room temperature. The detection was performed using an HRP conjugated compact polymer system. DAB was used as the chromogen. Tissues were counterstained with hematoxylin and mounted with DPX.
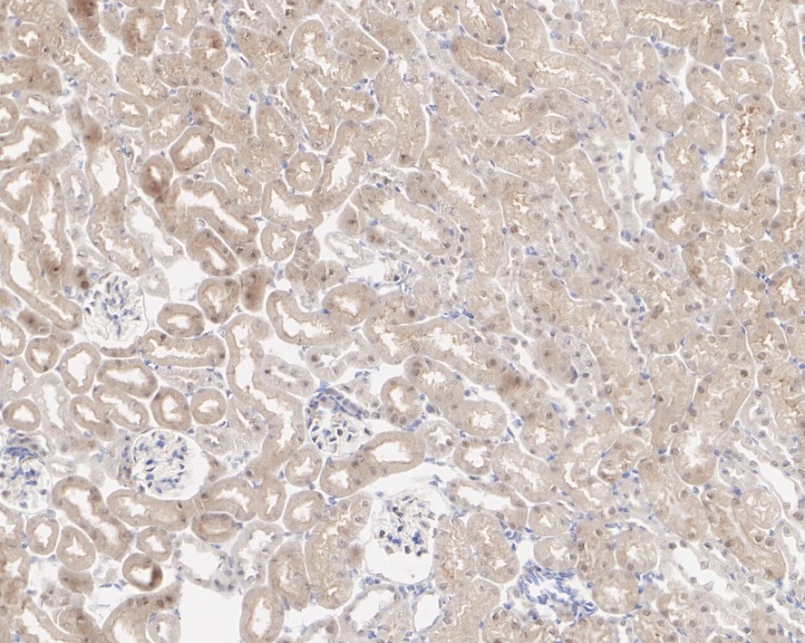
HA750891_5.jpg Fig5: Immunohistochemical analysis of paraffin-embedded rat kidney tissue with Rabbit anti-UFSP2 antibody (HA750891) at 1/200 dilution.

The section was pre-treated using heat mediated antigen retrieval with sodium citrate buffer (pH 6.0) (high pressure) for 2 minutes. The tissues were blocked in 1% BSA for 20 minutes at room temperature, washed with ddH2O and PBS, and then probed with the primary antibody (HA750891) at 1/200 dilution for 1 hour at room temperature. The detection was performed using an HRP conjugated compact polymer system. DAB was used as the chromogen. Tissues were counterstained with hematoxylin and mounted with DPX.
Note: All products are “FOR RESEARCH USE ONLY AND ARE NOT INTENDED FOR DIAGNOSTIC OR THERAPEUTIC USE”.