p38 gamma/MAPK12 Recombinant Rabbit Monoclonal Antibody [PSH03-58]
cat.: HA750892
Product Type: Recombinant Rabbit monoclonal IgG, primary antibodies
Species reactivity: Human, Mouse, Rat
Applications: WB, IHC-P, IF-Cell, FC
Clonality: Monoclonal
Clone number: PSH03-58
Form: Liquid
Storage condition: Store at +4℃ after thawing. Aliquot store at -20℃. Avoid repeated freeze / thaw cycles.
Storage buffer: 1*PBS (pH7.4).
Concentration: 1ug/ul
Purification: Protein A affinity purified.
Molecular weight: Predicted band size: 42 kDa
Isotype: IgG
Immunogen: Recombinant protein within human MAPK12 aa 1-367 / 367.
Positive control: 293T cell lysate, HeLa cell lysate, K-562 cell lysate, Neuro-2a cell lysate, PC-12 cell lysate, mouse heart tissue lysate, mouse skeletal muscle tissue lysate, rat skeletal muscle tissue lysate, rat heart tissue lysate, human colon cancer tissue, human heart tissue, human skeletal muscle tissue, mouse heart tissue, rat heart tissue, HeLa, Neuro-2a, PC-12.
Subcellular location: Cytoplasm, Nucleus, Mitochondrion.
Recommended Dilutions:
  WB
  IHC-P
  IF-Cell
  FC

1:2,000
1:1,000
1:100
1:1,000
Uniprot #: SwissProt: P53778 Human | O08911 Mouse | Q63538 Rat
Alternative names: ERK 6 ERK-6 ERK6 Extracellular signal-regulated kinase 6 MAP kinase 12 MAP kinase p38 gamma MAPK 12 Mapk12 Mitogen Activated Protein Kinase 12 Mitogen activated protein kinase p38 gamma Mitogen-activated protein kinase 12 Mitogen-activated protein kinase p38 gamma MK12_HUMAN P38 GAMMA P38GAMMA PRKM12 SAPK 3 SAPK-3 SAPK3 Stress Activated Protein Kinase 3 Stress-activated protein kinase 3
Images
HA750892_1.jpg Fig1: Western blot analysis of p38 gamma/MAPK12 on different lysates with Rabbit anti-p38 gamma/MAPK12 antibody (HA750892) at 1/2,000 dilution and competitor's antibody at 1/2,000 dilution.

Lane 1: 293T cell lysate
Lane 2: HeLa cell lysate
Lane 3: K-562 cell lysate
Lane 4: Neuro-2a cell lysate
Lane 5: PC-12 cell lysate
Lane 6: Mouse heart tissue lysate
Lane 7: Mouse skeletal muscle tissue lysate
Lane 8: Rat skeletal muscle tissue lysate
Lane 9: Rat heart tissue lysate

Lysates/proteins at 30 µg/Lane.

Predicted band size: 42 kDa
Observed band size: 42 kDa

Exposure time: 40 seconds;

4-20% SDS-PAGE gel.

Proteins were transferred to a PVDF membrane and blocked with 5% NFDM/TBST for 1 hour at room temperature. The primary antibody (HA750892) at 1/2,000 dilution and competitor's antibody at 1/2,000 dilution were used in 5% NFDM/TBST at 4℃ overnight. Goat Anti-Rabbit IgG - HRP Secondary Antibody (HA1001) at 1/50,000 dilution was used for 1 hour at room temperature.
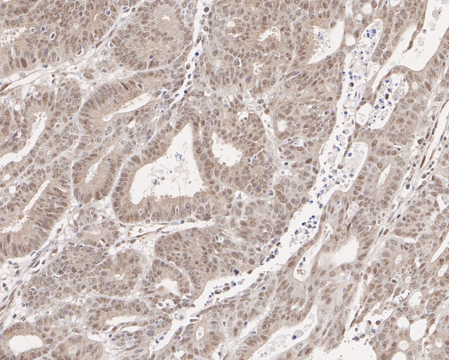
HA750892_2.jpg Fig2: Immunohistochemical analysis of paraffin-embedded human colon cancer tissue with Rabbit anti-p38 gamma/MAPK12 antibody (HA750892) at 1/1,000 dilution.

The section was pre-treated using heat mediated antigen retrieval with sodium citrate buffer (pH 6.0) (high pressure) for 2 minutes. The tissues were blocked in 1% BSA for 20 minutes at room temperature, washed with ddH2O and PBS, and then probed with the primary antibody (HA750892) at 1/1,000 dilution for 1 hour at room temperature. The detection was performed using an HRP conjugated compact polymer system. DAB was used as the chromogen. Tissues were counterstained with hematoxylin and mounted with DPX.
HA750892_3.jpg Fig3: Immunohistochemical analysis of paraffin-embedded human heart tissue with Rabbit anti-p38 gamma/MAPK12 antibody (HA750892) at 1/1,000 dilution.

The section was pre-treated using heat mediated antigen retrieval with sodium citrate buffer (pH 6.0) (high pressure) for 2 minutes. The tissues were blocked in 1% BSA for 20 minutes at room temperature, washed with ddH2O and PBS, and then probed with the primary antibody (HA750892) at 1/1,000 dilution for 1 hour at room temperature. The detection was performed using an HRP conjugated compact polymer system. DAB was used as the chromogen. Tissues were counterstained with hematoxylin and mounted with DPX.
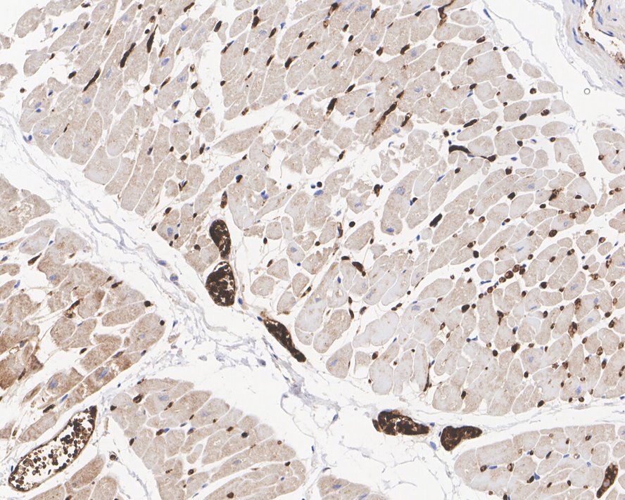
HA750892_4.jpg Fig4: Immunohistochemical analysis of paraffin-embedded human skeletal muscle tissue with Rabbit anti-p38 gamma/MAPK12 antibody (HA750892) at 1/1,000 dilution.

The section was pre-treated using heat mediated antigen retrieval with sodium citrate buffer (pH 6.0) (high pressure) for 2 minutes. The tissues were blocked in 1% BSA for 20 minutes at room temperature, washed with ddH2O and PBS, and then probed with the primary antibody (HA750892) at 1/1,000 dilution for 1 hour at room temperature. The detection was performed using an HRP conjugated compact polymer system. DAB was used as the chromogen. Tissues were counterstained with hematoxylin and mounted with DPX.
HA750892_5.jpg Fig5: Immunohistochemical analysis of paraffin-embedded mouse heart tissue with Rabbit anti-p38 gamma/MAPK12 antibody (HA750892) at 1/1,000 dilution.

The section was pre-treated using heat mediated antigen retrieval with sodium citrate buffer (pH 6.0) (high pressure) for 2 minutes. The tissues were blocked in 1% BSA for 20 minutes at room temperature, washed with ddH2O and PBS, and then probed with the primary antibody (HA750892) at 1/1,000 dilution for 1 hour at room temperature. The detection was performed using an HRP conjugated compact polymer system. DAB was used as the chromogen. Tissues were counterstained with hematoxylin and mounted with DPX.
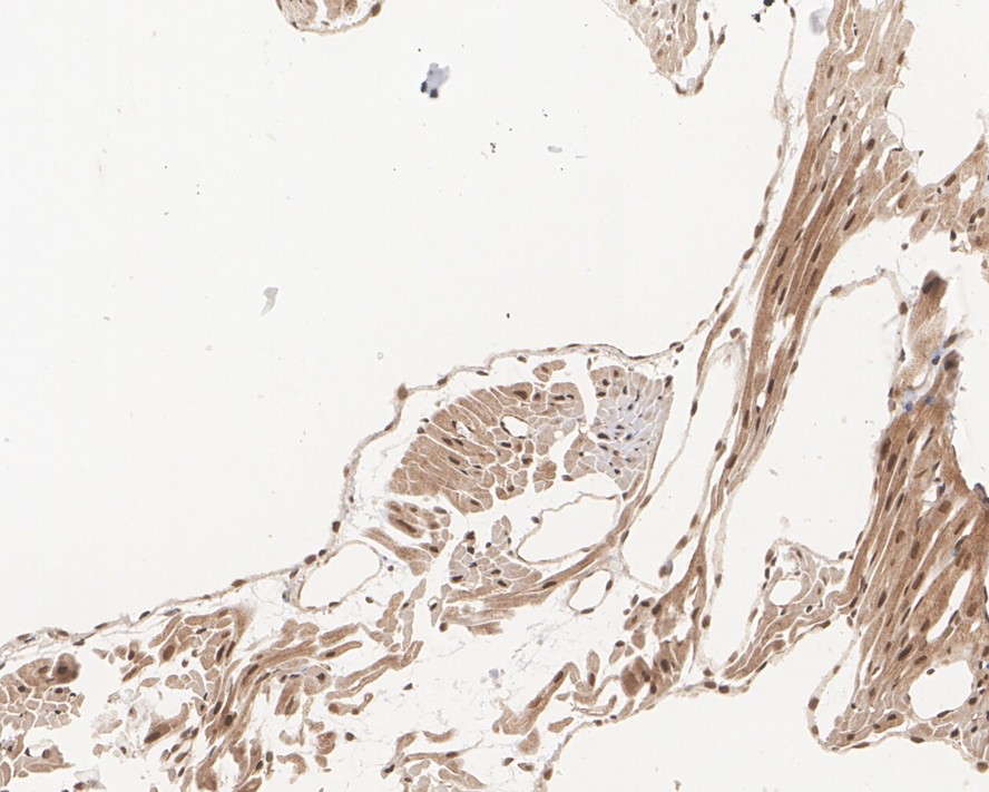
HA750892_6.jpg Fig6: Immunohistochemical analysis of paraffin-embedded rat heart tissue with Rabbit anti-p38 gamma/MAPK12 antibody (HA750892) at 1/1,000 dilution.

The section was pre-treated using heat mediated antigen retrieval with sodium citrate buffer (pH 6.0) (high pressure) for 2 minutes. The tissues were blocked in 1% BSA for 20 minutes at room temperature, washed with ddH2O and PBS, and then probed with the primary antibody (HA750892) at 1/1,000 dilution for 1 hour at room temperature. The detection was performed using an HRP conjugated compact polymer system. DAB was used as the chromogen. Tissues were counterstained with hematoxylin and mounted with DPX.
HA750892_7.jpg Fig7: Immunocytochemistry analysis of HeLa cells labeling p38 gamma/MAPK12 with Rabbit anti-p38 gamma/MAPK12 antibody (HA750892) at 1/100 dilution.

Cells were fixed in 100% precooled methanol for 5 minutes at room temperature, then blocked with 1% BSA in 10% negative goat serum for 1 hour at room temperature. Cells were then incubated with Rabbit anti-p38 gamma/MAPK12 antibody (HA750892) at 1/100 dilution in 1% BSA in PBST overnight at 4 ℃. Goat Anti-Rabbit IgG H&L (iFluor™ 488, HA1121) was used as the secondary antibody at 1/1,000 dilution. PBS instead of the primary antibody was used as the secondary antibody only control. Nuclear DNA was labelled in blue with DAPI.

Beta tubulin (M1305-2, red) was stained at 1/100 dilution overnight at +4℃. Goat Anti-Mouse IgG H&L (iFluor™ 594, HA1126) was used as the secondary antibody at 1/1,000 dilution.
HA750892_8.jpg Fig8: Immunocytochemistry analysis of Neuro-2a cells labeling p38 gamma/MAPK12 with Rabbit anti-p38 gamma/MAPK12 antibody (HA750892) at 1/100 dilution.

Cells were fixed in 4% paraformaldehyde for 20 minutes at room temperature, permeabilized with 0.1% Triton X-100 in PBS for 5 minutes at room temperature, then blocked with 1% BSA in 10% negative goat serum for 1 hour at room temperature. Cells were then incubated with Rabbit anti-p38 gamma/MAPK12 antibody (HA750892) at 1/100 dilution in 1% BSA in PBST overnight at 4 ℃. Goat Anti-Rabbit IgG H&L (iFluor™ 488, HA1121) was used as the secondary antibody at 1/1,000 dilution. PBS instead of the primary antibody was used as the secondary antibody only control. Nuclear DNA was labelled in blue with DAPI.

Beta tubulin (M1305-2, red) was stained at 1/100 dilution overnight at +4℃. Goat Anti-Mouse IgG H&L (iFluor™ 594, HA1126) was used as the secondary antibody at 1/1,000 dilution.
HA750892_9.jpg Fig9: Immunocytochemistry analysis of PC-12 cells labeling p38 gamma/MAPK12 with Rabbit anti-p38 gamma/MAPK12 antibody (HA750892) at 1/100 dilution.

Cells were fixed in 100% precooled methanol for 5 minutes at room temperature, then blocked with 1% BSA in 10% negative goat serum for 1 hour at room temperature. Cells were then incubated with Rabbit anti-p38 gamma/MAPK12 antibody (HA750892) at 1/100 dilution in 1% BSA in PBST overnight at 4 ℃. Goat Anti-Rabbit IgG H&L (iFluor™ 488, HA1121) was used as the secondary antibody at 1/1,000 dilution. PBS instead of the primary antibody was used as the secondary antibody only control. Nuclear DNA was labelled in blue with DAPI.

Beta tubulin (M1305-2, red) was stained at 1/100 dilution overnight at +4℃. Goat Anti-Mouse IgG H&L (iFluor™ 594, HA1126) was used as the secondary antibody at 1/1,000 dilution.
HA750892_10.jpg Fig10: Flow cytometric analysis of HeLa cells labeling p38 gamma/MAPK12.

Cells were fixed and permeabilized. Then stained with the primary antibody (HA750892, 1μg/mL) (red) compared with Rabbit IgG Isotype Control (green). After incubation of the primary antibody at +4℃ for an hour, the cells were stained with a iFluor™ 488 conjugate-Goat anti-Rabbit IgG Secondary antibody (HA1121) at 1/1,000 dilution for 30 minutes at +4℃. Unlabelled sample was used as a control (cells without incubation with primary antibody; black).
HA750892_11.jpg Fig11: Flow cytometric analysis of Neuro-2a cells labeling p38 gamma/MAPK12.

Cells were fixed and permeabilized. Then stained with the primary antibody (HA750892, 1μg/mL) (red) compared with Rabbit IgG Isotype Control (green). After incubation of the primary antibody at +4℃ for an hour, the cells were stained with a iFluor™ 488 conjugate-Goat anti-Rabbit IgG Secondary antibody (HA1121) at 1/1,000 dilution for 30 minutes at +4℃. Unlabelled sample was used as a control (cells without incubation with primary antibody; black).
HA750892_12.jpg Fig12: Flow cytometric analysis of PC-12 cells labeling p38 gamma/MAPK12.

Cells were fixed and permeabilized. Then stained with the primary antibody (HA750892, 1μg/mL) (red) compared with Rabbit IgG Isotype Control (green). After incubation of the primary antibody at +4℃ for an hour, the cells were stained with a iFluor™ 488 conjugate-Goat anti-Rabbit IgG Secondary antibody (HA1121) at 1/1,000 dilution for 30 minutes at +4℃. Unlabelled sample was used as a control (cells without incubation with primary antibody; black).
HA750892_13.jpg Fig13: Western blot analysis of p38 gamma/MAPK12 with Rabbit anti-p38 gamma/MAPK12 antibody (HA750892) at 1/2,000 dilution.

Lane 1: Human p38 gamma recombinant protein, 30ng/Lane
Lane 2: Human p38 alpha recombinant protein, 50ng/Lane
Lane 3: Human p38 delta recombinant protein, 50ng/Lane
Lane 4: Human p38 beta recombinant protein, 50ng/Lane

Exposure time: 5 seconds; ECL: K1801;

4-20% SDS-PAGE gel.

Proteins were transferred to a PVDF membrane and blocked with 5% NFDM/TBST for 1 hour at room temperature. The primary antibody (HA750892) at 1/2,000 dilution was used in 5% NFDM/TBST at room temperature for 2 hours. Goat Anti-Rabbit IgG - HRP Secondary Antibody (HA1001) at 1/50,000 dilution was used for 1 hour at room temperature.
Note: All products are “FOR RESEARCH USE ONLY AND ARE NOT INTENDED FOR DIAGNOSTIC OR THERAPEUTIC USE”.