PDE10A Recombinant Rabbit Monoclonal Antibody [PSH03-61]
cat.: HA750895
Product Type: Recombinant Rabbit monoclonal IgG, primary antibodies
Species reactivity: Human, Mouse, Rat
Applications: WB, IHC-P, FC
Clonality: Monoclonal
Clone number: PSH03-61
Form: Liquid
Storage condition: Store at +4℃ after thawing. Aliquot store at -20℃. Avoid repeated freeze / thaw cycles.
Storage buffer: 1*PBS (pH7.4).
Concentration: 1ug/ul
Purification: Protein A affinity purified.
Molecular weight: Predicted band size: 88 kDa
Isotype: IgG
Immunogen: Recombinant protein within human PDE10A aa 400-779 / 779.
Positive control: Human brain tissue lysate, mouse brain tissue lysate, mouse testis tissue lysate, rat brain tissue lysate, mouse brain tissue, rat brain tissue, SH-SY5Y.
Subcellular location: Cytoplasm, cytosol.
Recommended Dilutions:
  WB
  IHC-P
  FC

1:2,000
1:20,000
1:1,000
Uniprot #: SwissProt: Q9Y233 Human | Q8CA95 Mouse | Q9QYJ6 Rat
Alternative names: 5''-cyclic phosphodiesterase 10A cAMP and cAMP inhibited cGMP 3'5' cyclic phosphodiesterase 10A cAMP and cAMP-inhibited cGMP 3'' FLJ11894 HSPDE 10A HSPDE10A PDE 10A PDE10_HUMAN Pde10a Phosphodiesterase 10A Phosphodiesterase 10A1
Images
HA750895_1.jpg Fig1: Western blot analysis of PDE10A on different lysates with Rabbit anti-PDE10A antibody (HA750895) at 1/2,000 dilution and competitor's antibody at 1/2,000 dilution.

Lane 1: Human brain tissue lysate
Lane 2: Mouse brain tissue lysate
Lane 3: Mouse testis tissue lysate
Lane 4: Rat brain tissue lysate

Lysates/proteins at 40 µg/Lane.

Predicted band size: 88 kDa
Observed band size: 88 kDa

Exposure time: 24 seconds; ECL: K1801;

4-20% SDS-PAGE gel.

Proteins were transferred to a PVDF membrane and blocked with 5% NFDM/TBST for 1 hour at room temperature. The primary antibody (HA750895) at 1/2,000 dilution and competitor's antibody at 1/2,000 dilution were used in 5% NFDM/TBST at 4℃ overnight. Goat Anti-Rabbit IgG - HRP Secondary Antibody (HA1001) at 1/50,000 dilution was used for 1 hour at room temperature.
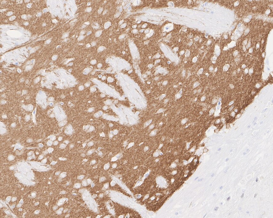
HA750895_2.jpg Fig2: Immunohistochemical analysis of paraffin-embedded mouse brain tissue with Rabbit anti-PDE10A antibody (HA750895) at 1/20,000 dilution.

The section was pre-treated using heat mediated antigen retrieval with Tris-EDTA buffer (pH 9.0) for 20 minutes. The tissues were blocked in 1% BSA for 20 minutes at room temperature, washed with ddH2O and PBS, and then probed with the primary antibody (HA750895) at 1/20,000 dilution for 1 hour at room temperature. The detection was performed using an HRP conjugated compact polymer system. DAB was used as the chromogen. Tissues were counterstained with hematoxylin and mounted with DPX.
HA750895_3.jpg Fig3: Immunohistochemical analysis of paraffin-embedded rat brain tissue with Rabbit anti-PDE10A antibody (HA750895) at 1/20,000 dilution.

The section was pre-treated using heat mediated antigen retrieval with Tris-EDTA buffer (pH 9.0) for 20 minutes. The tissues were blocked in 1% BSA for 20 minutes at room temperature, washed with ddH2O and PBS, and then probed with the primary antibody (HA750895) at 1/20,000 dilution for 1 hour at room temperature. The detection was performed using an HRP conjugated compact polymer system. DAB was used as the chromogen. Tissues were counterstained with hematoxylin and mounted with DPX.
HA750895_4.jpg Fig4: Flow cytometric analysis of SH-SY5Y cells labeling PDE10A.

Cells were fixed and permeabilized. Then stained with the primary antibody (HA750895, 1μg/mL) (red) compared with Rabbit IgG Isotype Control (green). After incubation of the primary antibody at +4℃ for an hour, the cells were stained with a iFluor™ 488 conjugate-Goat anti-Rabbit IgG Secondary antibody (HA1121) at 1/1,000 dilution for 30 minutes at +4℃. Unlabelled sample was used as a control (cells without incubation with primary antibody; black).
Note: All products are “FOR RESEARCH USE ONLY AND ARE NOT INTENDED FOR DIAGNOSTIC OR THERAPEUTIC USE”.