SP110 Recombinant Rabbit Monoclonal Antibody [PSH03-66]
cat.: HA750900
Product Type: Recombinant Rabbit monoclonal IgG1, primary antibodies
Species reactivity: Human, Mouse, Rat
Applications: WB, IHC-P, IF-Tissue
Clonality: Monoclonal
Clone number: PSH03-66
Form: Liquid
Storage condition: Store at +4℃ after thawing. Aliquot store at -20℃. Avoid repeated freeze / thaw cycles.
Storage buffer: 1*PBS (pH7.4).
Concentration: 1ug/ul
Purification: Protein A affinity purified.
Molecular weight: Predicted band size: 78 kDa
Isotype: IgG1
Immunogen: Recombinant protein within human SP110 aa 301-550 / 689.
Positive control: Jurkat cell lysate, HeLa cell lysate, HL-60 cell lysate, SW480 cell lysate, Daudi cell lysate, K-562 cell lysate, PC-3M cell lysate, human lymph node tissue.
Subcellular location: Nucleus.
Recommended Dilutions:
  WB
  IHC-P

1:1,000
1:2,000
Uniprot #: SwissProt: Q9HB58 Human
Alternative names: FLJ22835 IFI 41 IFI 75 IFI41 IFI75 Interferon induced protein 41 30kD Interferon induced protein 41 Interferon induced protein 41/75 Interferon induced protein 75 52kD Interferon induced protein 75 Interferon-induced protein 41/75 IPR 1 IPR1 Phosphoprotein 41 Phosphoprotein 75 SP 110 SP110 Sp110 nuclear body protein SP110_HUMAN Speckled 110 kDa Transcriptional coactivator Sp110 VODI
Images
HA750900_1.jpg Fig1: Western blot analysis of SP110 on different lysates with Rabbit anti-SP110 antibody (HA750900) at 1/1,000 dilution.

Lane 1: Jurkat cell lysate
Lane 2: HeLa cell lysate
Lane 3: HL-60 cell lysate
Lane 4: SW480 cell lysate
Lane 5: Daudi cell lysate
Lane 6: K-562 cell lysate
Lane 7: PC-3M cell lysate

Lysates/proteins at 20 µg/Lane.

Predicted band size: 78 kDa
Observed band size: 29-78 kDa

Exposure time: 3 minutes;

4-20% SDS-PAGE gel.

Proteins were transferred to a PVDF membrane and blocked with 5% NFDM/TBST for 1 hour at room temperature. The primary antibody (HA750900) at 1/1,000 dilution was used in 5% NFDM/TBST at 4℃ overnight. Goat Anti-Rabbit IgG - HRP Secondary Antibody (HA1001) at 1/50,000 dilution was used for 1 hour at room temperature.
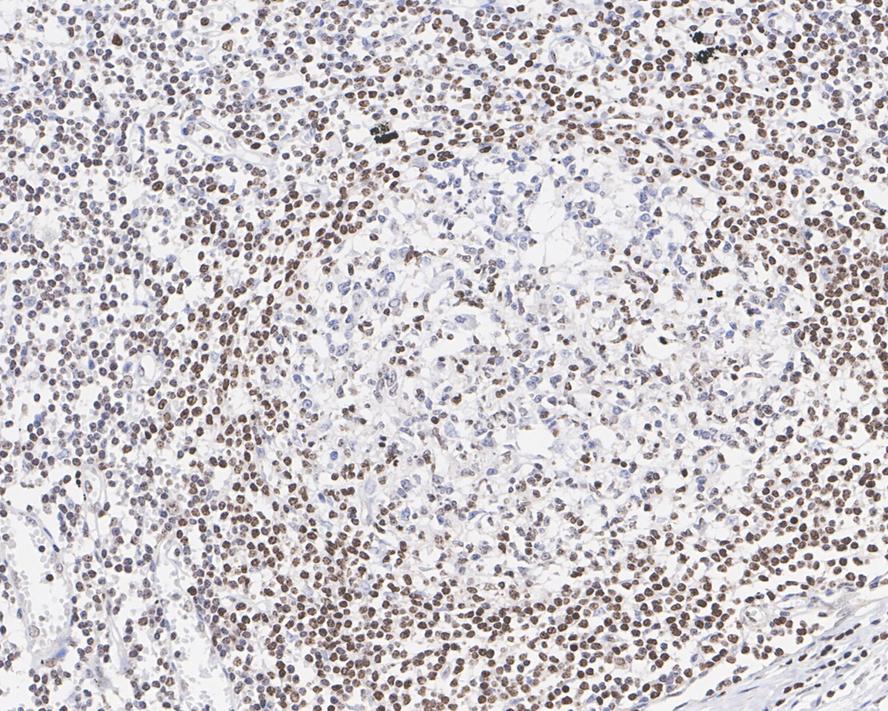
HA750900_2.jpg Fig2: Immunohistochemical analysis of paraffin-embedded human lymph node tissue with Rabbit anti-SP110 antibody (HA750900) at 1/2,000 dilution.

The section was pre-treated using heat mediated antigen retrieval with sodium citrate buffer (pH 6.0) (high pressure) for 2 minutes. The tissues were blocked in 1% BSA for 20 minutes at room temperature, washed with ddH2O and PBS, and then probed with the primary antibody (HA750900) at 1/2,000 dilution for 1 hour at room temperature. The detection was performed using an HRP conjugated compact polymer system. DAB was used as the chromogen. Tissues were counterstained with hematoxylin and mounted with DPX.
Note: All products are “FOR RESEARCH USE ONLY AND ARE NOT INTENDED FOR DIAGNOSTIC OR THERAPEUTIC USE”.