KDM4A Recombinant Rabbit Monoclonal Antibody [PSH03-67]
cat.: HA750901
Product Type: Recombinant Rabbit monoclonal IgG1, primary antibodies
Species reactivity: Human, Mouse, Rat
Applications: WB, IF-Cell, IHC-P, FC
Clonality: Monoclonal
Clone number: PSH03-67
Form: Liquid
Storage condition: Store at +4℃ after thawing. Aliquot store at -20℃. Avoid repeated freeze / thaw cycles.
Storage buffer: 1*PBS (pH7.4).
Concentration: 1ug/ul
Purification: Protein A affinity purified.
Molecular weight: Predicted band size: 121 kDa
Isotype: IgG1
Immunogen: Recombinant protein within human KDM4A aa 351-650 / 1,064.
Positive control: A549 cell lysate, HEK-293 cell lysate, HeLa cell lysate, HepG2 cell lysate, NIH/3T3 cell lysate, NCCIT, NIH/3T3, human colon tissue, mouse brain tissue, rat colon tissue.
Subcellular location: Nucleus.
Recommended Dilutions:
  WB
  IF-Cell
  IHC-P
  FC

1:2,000
1:100
1:500
1:1,000
Uniprot #: SwissProt: O75164 Human | Q8BW72 Mouse
Entrez Gene: 313539 Rat
Alternative names: JHDM3A JmjC domain containing histone demethylation protein 3A JmjC domain-containing histone demethylation protein 3A JMJD2 JMJD2A jumonji C domain containing histone demethylase 3A Jumonji domain containing 2 Jumonji domain containing 2A Jumonji domain containing protein 2A Jumonji domain-containing protein 2A KDM4A KDM4A_HUMAN KIAA0677 Lysine (K) specific demethylase 4A Lysine-specific demethylase 4A TDRD14A Tudor domain containing 14A
Images
HA750901_1.jpg Fig1: Western blot analysis of KDM4A on different lysates with Rabbit anti-KDM4A antibody (HA750901) at 1/2,000 dilution and competitor's antibody at 1/2,000 dilution.

Lane 1: A549 cell lysate
Lane 2: HEK-293 cell lysate
Lane 3: HeLa cell lysate
Lane 4: HepG2 cell lysate
Lane 5: NIH/3T3 cell lysate

Lysates/proteins at 20 µg/Lane.

Predicted band size: 121 kDa
Observed band size: 150 kDa

Exposure time: Lane 1-5 (left): 2 minutes 16 seconds; ECL: K1801;
Exposure time: Lane 1-5 (right): 3 minutes; ECL: K1802;

4-20% SDS-PAGE gel.

Proteins were transferred to a PVDF membrane and blocked with 5% NFDM/TBST for 1 hour at room temperature. The primary antibody (HA750901) at 1/2,000 dilution and competitor's antibody at 1/2,000 dilution were used in 5% NFDM/TBST at 4℃ overnight. Goat Anti-Rabbit IgG - HRP Secondary Antibody (HA1001) at 1/50,000 dilution was used for 1 hour at room temperature.
HA750901_2.jpg Fig2: Immunocytochemistry analysis of NCCIT cells labeling KDM4A with Rabbit anti-KDM4A antibody (HA750901) at 1/100 dilution.

Cells were fixed in 4% paraformaldehyde for 20 minutes at room temperature, permeabilized with 0.1% Triton X-100 in PBS for 5 minutes at room temperature, then blocked with 1% BSA in 10% negative goat serum for 1 hour at room temperature. Cells were then incubated with Rabbit anti-KDM4A antibody (HA750901) at 1/100 dilution in 1% BSA in PBST overnight at 4 ℃. Goat Anti-Rabbit IgG H&L (iFluor™ 488, HA1121) was used as the secondary antibody at 1/1,000 dilution. PBS instead of the primary antibody was used as the secondary antibody only control. Nuclear DNA was labelled in blue with DAPI.

Beta tubulin (M1305-2, red) was stained at 1/100 dilution overnight at +4℃. Goat Anti-Mouse IgG H&L (iFluor™ 594, HA1126) was used as the secondary antibody at 1/1,000 dilution.
HA750901_3.jpg Fig3: Immunocytochemistry analysis of NIH/3T3 cells labeling KDM4A with Rabbit anti-KDM4A antibody (HA750901) at 1/100 dilution.

Cells were fixed in 4% paraformaldehyde for 20 minutes at room temperature, permeabilized with 0.1% Triton X-100 in PBS for 5 minutes at room temperature, then blocked with 1% BSA in 10% negative goat serum for 1 hour at room temperature. Cells were then incubated with Rabbit anti-KDM4A antibody (HA750901) at 1/100 dilution in 1% BSA in PBST overnight at 4 ℃. Goat Anti-Rabbit IgG H&L (iFluor™ 488, HA1121) was used as the secondary antibody at 1/1,000 dilution. PBS instead of the primary antibody was used as the secondary antibody only control. Nuclear DNA was labelled in blue with DAPI.

Beta tubulin (M1305-2, red) was stained at 1/100 dilution overnight at +4℃. Goat Anti-Mouse IgG H&L (iFluor™ 594, HA1126) was used as the secondary antibody at 1/1,000 dilution.
HA750901_4.jpg Fig4: Immunohistochemical analysis of paraffin-embedded human colon tissue with Rabbit anti-KDM4A antibody (HA750901) at 1/1,000 dilution.

The section was pre-treated using heat mediated antigen retrieval with sodium citrate buffer (pH 6.0) (high pressure) for 2 minutes. The tissues were blocked in 1% BSA for 20 minutes at room temperature, washed with ddH2O and PBS, and then probed with the primary antibody (HA750901) at 1/1,000 dilution for 1 hour at room temperature. The detection was performed using an HRP conjugated compact polymer system. DAB was used as the chromogen. Tissues were counterstained with hematoxylin and mounted with DPX.
HA750901_5.jpg Fig5: Immunohistochemical analysis of paraffin-embedded mouse brain tissue with Rabbit anti-KDM4A antibody (HA750901) at 1/1,000 dilution.

The section was pre-treated using heat mediated antigen retrieval with sodium citrate buffer (pH 6.0) (high pressure) for 2 minutes. The tissues were blocked in 1% BSA for 20 minutes at room temperature, washed with ddH2O and PBS, and then probed with the primary antibody (HA750901) at 1/1,000 dilution for 1 hour at room temperature. The detection was performed using an HRP conjugated compact polymer system. DAB was used as the chromogen. Tissues were counterstained with hematoxylin and mounted with DPX.
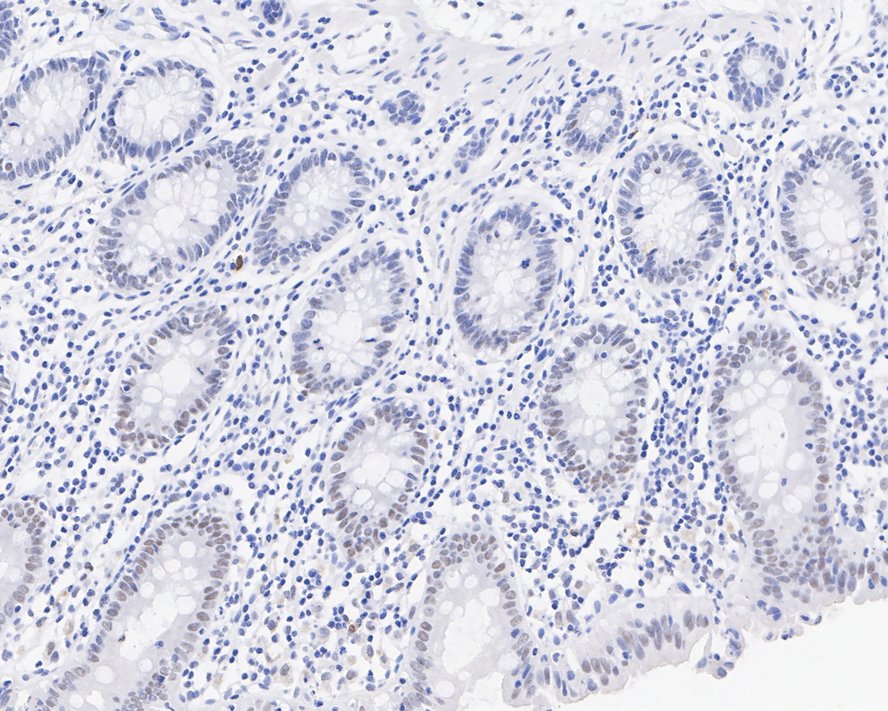
HA750901_6.jpg Fig6: Immunohistochemical analysis of paraffin-embedded rat colon tissue with Rabbit anti-KDM4A antibody (HA750901) at 1/1,000 dilution.

The section was pre-treated using heat mediated antigen retrieval with sodium citrate buffer (pH 6.0) (high pressure) for 2 minutes. The tissues were blocked in 1% BSA for 20 minutes at room temperature, washed with ddH2O and PBS, and then probed with the primary antibody (HA750901) at 1/1,000 dilution for 1 hour at room temperature. The detection was performed using an HRP conjugated compact polymer system. DAB was used as the chromogen. Tissues were counterstained with hematoxylin and mounted with DPX.
HA750901_7.jpg Fig7: Flow cytometric analysis of NCCIT cells labeling KDM4A.

Cells were fixed and permeabilized. Then stained with the primary antibody (HA750901, 1μg/mL) (red) compared with Rabbit IgG Isotype Control (green). After incubation of the primary antibody at +4℃ for an hour, the cells were stained with a iFluor™ 488 conjugate-Goat anti-Rabbit IgG Secondary antibody (HA1121) at 1/1,000 dilution for 30 minutes at +4℃. Unlabelled sample was used as a control (cells without incubation with primary antibody; black).
Note: All products are “FOR RESEARCH USE ONLY AND ARE NOT INTENDED FOR DIAGNOSTIC OR THERAPEUTIC USE”.