iNOS Recombinant Rabbit Monoclonal Antibody [PSH03-69]
cat.: HA750903
Product Type: Recombinant Rabbit monoclonal IgG, primary antibodies
Species reactivity: Human, Mouse
Applications: WB, IHC-P, IF-Cell
Clonality: Monoclonal
Clone number: PSH03-69
Form: Liquid
Storage condition: Store at +4℃ after thawing. Aliquot store at -20℃. Avoid repeated freeze / thaw cycles.
Storage buffer: 1*PBS (pH7.4).
Concentration: 1ug/ul
Purification: Protein A affinity purified.
Molecular weight: Predicted band size: 131 kDa
Isotype: IgG
Immunogen: Synthetic peptide.
Positive control: RAW264.7 treated with 1μg/mL LPS for 24 hours cell lysate, RAW264.7 cells treated with 1μg/mL LPS for 6 hours, uman breast carcinoma tissue, human lung tissue, human spleen tissue.
Subcellular location: Cytoskeleton, Nucleus, Cytosol.
Recommended Dilutions:
  WB
  IHC-P
  IF-Cell

1:1,000
1:200
1:100
Uniprot #: SwissProt: P35228 Human | P29477 Mouse
Alternative names: HEP-NOS Hepatocyte NOS HEPNOS inducible Inducible nitric oxide synthase Inducible NO synthase Inducible NOS iNOS MAC NOS Macrophage NOS Nitric oxide synthase 2 inducible Nitric oxide synthase 2 inducible macrophage nitric oxide synthase 2A (inducible, hepatocytes) Nitric oxide synthase Nitric oxide synthase inducible nitric oxide synthase, macrophage NOS 2 NOS Nos II NOS type II nos2 NOS2_HUMAN NOS2A NOS2A, Inducible, Hepatocyte Peptidyl-cysteine S-nitrosylase NOS2
Images
HA750903_1.jpg Fig1: Western blot analysis of iNOS on different lysates with Rabbit anti-iNOS antibody (HA750903) at 1/1,000 dilution.

Lane 1: RAW264.7 cell lysate
Lane 2: RAW264.7 treated with 1μg/mL LPS for 24 hours cell lysate

Lysates/proteins at 20 µg/Lane.

Predicted band size: 131 kDa
Observed band size: 131 kDa

Exposure time: 3 minutes; ECL: K1801;

4-20% SDS-PAGE gel.

Proteins were transferred to a PVDF membrane and blocked with 5% NFDM/TBST for 1 hour at room temperature. The primary antibody (HA750903) at 1/1,000 dilution was used in 5% NFDM/TBST at 4℃ overnight. Goat Anti-Rabbit IgG - HRP Secondary Antibody (HA1001) at 1/50,000 dilution was used for 1 hour at room temperature.
HA750903_2.jpg Fig2: Immunocytochemistry analysis of RAW264.7 cells treated with or without 1μg/mL LPS for 6 hours labeling iNOS with Rabbit anti-iNOS antibody (HA750903) at 1/100 dilution.

Cells were fixed in 100% precooled methanol for 5 minutes at room temperature, then blocked with 1% BSA in 10% negative goat serum for 1 hour at room temperature. Cells were then incubated with Rabbit anti-iNOS antibody (HA750903) at 1/100 dilution in 1% BSA in PBST overnight at 4 ℃. Goat Anti-Rabbit IgG H&L (iFluor™ 488, HA1121) was used as the secondary antibody at 1/1,000 dilution. PBS instead of the primary antibody was used as the secondary antibody only control. Nuclear DNA was labelled in blue with DAPI.

Beta tubulin (M1305-2, red) was stained at 1/100 dilution overnight at +4℃. Goat Anti-Mouse IgG H&L (iFluor™ 594, HA1126) was used as the secondary antibody at 1/1,000 dilution.
HA750903_3.jpg Fig3: Immunohistochemical analysis of paraffin-embedded human breast carcinoma tissue with Rabbit anti-iNOS antibody (HA750903) at 1/200 dilution.

The section was pre-treated using heat mediated antigen retrieval with Tris-EDTA buffer (pH 9.0) for 20 minutes. The tissues were blocked in 1% BSA for 20 minutes at room temperature, washed with ddH2O and PBS, and then probed with the primary antibody (HA750903) at 1/200 dilution for 1 hour at room temperature. The detection was performed using an HRP conjugated compact polymer system. DAB was used as the chromogen. Tissues were counterstained with hematoxylin and mounted with DPX.
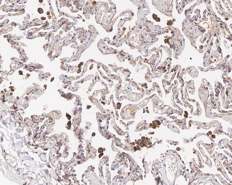
HA750903_4.jpg Fig4: Immunohistochemical analysis of paraffin-embedded human lung tissue with Rabbit anti-iNOS antibody (HA750903) at 1/200 dilution.

The section was pre-treated using heat mediated antigen retrieval with Tris-EDTA buffer (pH 9.0) for 20 minutes. The tissues were blocked in 1% BSA for 20 minutes at room temperature, washed with ddH2O and PBS, and then probed with the primary antibody (HA750903) at 1/200 dilution for 1 hour at room temperature. The detection was performed using an HRP conjugated compact polymer system. DAB was used as the chromogen. Tissues were counterstained with hematoxylin and mounted with DPX.
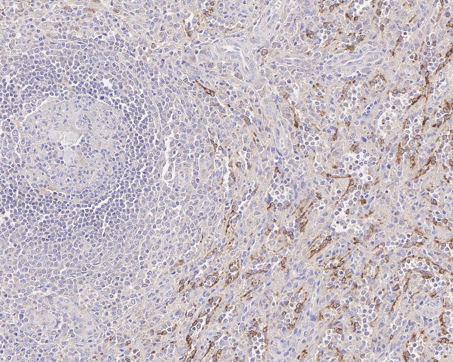
HA750903_5.jpg Fig5: Immunohistochemical analysis of paraffin-embedded human spleen tissue with Rabbit anti-iNOS antibody (HA750903) at 1/200 dilution.

The section was pre-treated using heat mediated antigen retrieval with Tris-EDTA buffer (pH 9.0) for 20 minutes. The tissues were blocked in 1% BSA for 20 minutes at room temperature, washed with ddH2O and PBS, and then probed with the primary antibody (HA750903) at 1/200 dilution for 1 hour at room temperature. The detection was performed using an HRP conjugated compact polymer system. DAB was used as the chromogen. Tissues were counterstained with hematoxylin and mounted with DPX.
Note: All products are “FOR RESEARCH USE ONLY AND ARE NOT INTENDED FOR DIAGNOSTIC OR THERAPEUTIC USE”.