Pan-Lactyl-lysine Recombinant Rabbit Monoclonal Antibody [PSH03-73]
cat.: HA750907
Product Type: Recombinant Rabbit monoclonal IgG, primary antibodies
Species reactivity: Species independent
Applications: WB, IHC-P, IF-Cell, Dot Blot
Clonality: Monoclonal
Clone number: PSH03-73
Form: Liquid
Storage condition: Store at +4℃ after thawing. Aliquot store at -20℃. Avoid repeated freeze / thaw cycles.
Storage buffer: 1*PBS (pH7.4).
Concentration: 1ug/ul
Purification: Protein A affinity purified.
Isotype: IgG
Immunogen: Synthetic Lactyl lysine-containing peptide.
Positive control: HeLa treated with 100mM Lactate sodium for 24 hours cell lysate, human breast cancer tissue, human colon cancer tissue, mouse small intestine tissue, rat small intestine tissue, HeLa cells treated with 100mM Lactate sodium for 24 hours.
Recommended Dilutions:
  WB
  IHC-P
  IF-Cell
  Dot Blot

1:2,000
1:500-1:1,000
1:1,000
1:2,000
Alternative names: Lactyllysine
Images
HA750907_1.jpg Fig1: Western blot analysis of Pan-Lactyl-lysine on different lysates with Rabbit anti-Pan-Lactyl-lysine antibody (HA750907) at 1/2,000 dilution.

Lane 1: HeLa cell lysate
Lane 2: HeLa treated with 100mM Lactate sodium for 24 hours cell lysate

Lysates/proteins at 20 µg/Lane.

Observed band size: Mutiple kDa

Exposure time: 59 seconds;

4-20% SDS-PAGE gel.

Proteins were transferred to a PVDF membrane and blocked with 5% NFDM/TBST for 1 hour at room temperature. The primary antibody (HA750907) at 1/2,000 dilution was used in 5% NFDM/TBST at 4℃ overnight. Goat Anti-Rabbit IgG - HRP Secondary Antibody (HA1001) at 1/50,000 dilution was used for 1 hour at room temperature.
HA750907_2.jpg Fig2: Immunocytochemistry analysis of HeLa cells treated with or without 100mM Lactate sodium for 24 hours labeling Pan-Lactyl-lysine with Rabbit anti-Pan-Lactyl-lysine antibody (HA750907) at 1/1,000 dilution.

Cells were fixed in 4% paraformaldehyde for 20 minutes at room temperature, permeabilized with 0.1% Triton X-100 in PBS for 5 minutes at room temperature, then blocked with 1% BSA in 10% negative goat serum for 1 hour at room temperature. Cells were then incubated with Rabbit anti-Pan-Lactyl-lysine antibody (HA750907) at 1/1,000 dilution in 1% BSA in PBST overnight at 4 ℃. Goat Anti-Rabbit IgG H&L (iFluor™ 488, HA1121) was used as the secondary antibody at 1/1,000 dilution. PBS instead of the primary antibody was used as the secondary antibody only control. Nuclear DNA was labelled in blue with DAPI.

Beta tubulin (M1305-2, red) was stained at 1/100 dilution overnight at +4℃. Goat Anti-Mouse IgG H&L (iFluor™ 594, HA1126) was used as the secondary antibody at 1/1,000 dilution.
HA750907_3.jpg Fig3: Immunohistochemical analysis of paraffin-embedded human breast cancer tissue with Rabbit anti-Pan-Lactyl-lysine antibody (HA750907) at 1/1,000 dilution.

The section was pre-treated using heat mediated antigen retrieval with sodium citrate buffer (pH 6.0) (high pressure) for 2 minutes. The tissues were blocked in 1% BSA for 20 minutes at room temperature, washed with ddH2O and PBS, and then probed with the primary antibody (HA750907) at 1/1,000 dilution for 1 hour at room temperature. The detection was performed using an HRP conjugated compact polymer system. DAB was used as the chromogen. Tissues were counterstained with hematoxylin and mounted with DPX.
HA750907_4.jpg Fig4: Immunohistochemical analysis of paraffin-embedded human colon cancer tissue with Rabbit anti-Pan-Lactyl-lysine antibody (HA750907) at 1/1,000 dilution.

The section was pre-treated using heat mediated antigen retrieval with sodium citrate buffer (pH 6.0) (high pressure) for 2 minutes. The tissues were blocked in 1% BSA for 20 minutes at room temperature, washed with ddH2O and PBS, and then probed with the primary antibody (HA750907) at 1/1,000 dilution for 1 hour at room temperature. The detection was performed using an HRP conjugated compact polymer system. DAB was used as the chromogen. Tissues were counterstained with hematoxylin and mounted with DPX.
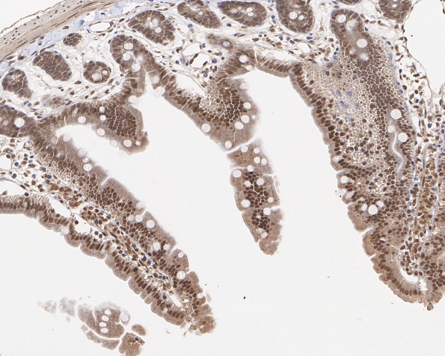
HA750907_5.jpg Fig5: Immunohistochemical analysis of paraffin-embedded mouse small intestine tissue with Rabbit anti-Pan-Lactyl-lysine antibody (HA750907) at 1/500 dilution.

The section was pre-treated using heat mediated antigen retrieval with sodium citrate buffer (pH 6.0) (high pressure) for 2 minutes. The tissues were blocked in 1% BSA for 20 minutes at room temperature, washed with ddH2O and PBS, and then probed with the primary antibody (HA750907) at 1/500 dilution for 1 hour at room temperature. The detection was performed using an HRP conjugated compact polymer system. DAB was used as the chromogen. Tissues were counterstained with hematoxylin and mounted with DPX.
HA750907_6.jpg Fig6: Immunohistochemical analysis of paraffin-embedded rat small intestine tissue with Rabbit anti-Pan-Lactyl-lysine antibody (HA750907) at 1/500 dilution.

The section was pre-treated using heat mediated antigen retrieval with sodium citrate buffer (pH 6.0) (high pressure) for 2 minutes. The tissues were blocked in 1% BSA for 20 minutes at room temperature, washed with ddH2O and PBS, and then probed with the primary antibody (HA750907) at 1/500 dilution for 1 hour at room temperature. The detection was performed using an HRP conjugated compact polymer system. DAB was used as the chromogen. Tissues were counterstained with hematoxylin and mounted with DPX.
HA750907_7.jpg Fig7: Dot blot analysis of Pan-Lactyl-lysine on different proteins with Rabbit anti-Pan-Lactyl-lysine antibody (HA750907) at 1/2,000 dilution. Goat Anti-Rabbit IgG - HRP Secondary Antibody (HA1001) at 1/50,000 dilution for 1 hour at room temperature.

Lane 1: Lac pepetide library (positive)
Lane 2: Ac peptide library (negative)
Lane 3: Non-lac peptide library (negative)

Proteins loading: 100ng, 20ng, 4ng;

Blocking and dilution buffer: 5% NFDM/TBST;

Exposure time: 20 seconds.
Note: All products are “FOR RESEARCH USE ONLY AND ARE NOT INTENDED FOR DIAGNOSTIC OR THERAPEUTIC USE”.