IL-13R alpha 2 Recombinant Rabbit Monoclonal Antibody [PSH03-85]
cat.: HA750910
Product Type: Recombinant Rabbit monoclonal IgG, primary antibodies
Species reactivity: Human
Applications: WB, IF-Cell, IHC-P, FC
Clonality: Monoclonal
Clone number: PSH03-85
Form: Liquid
Storage condition: Store at +4℃ after thawing. Aliquot store at -20℃. Avoid repeated freeze / thaw cycles.
Storage buffer: 1*PBS (pH7.4).
Concentration: 1ug/ul
Purification: Protein A affinity purified.
Molecular weight: Predicted band size: 44 kDa
Isotype: IgG
Immunogen: Recombinant protein within human IL-13R alpha 2 aa 1-350 / 380.
Positive control: A375 cell lysate, U-87 MG cell lysates, human testis tissue, A375.
Subcellular location: Membrane.
Recommended Dilutions:
  WB
  IHC-P
  FC

1:2,000
1:1,000
1:1,000
Uniprot #: SwissProt: Q14627 Human
Alternative names: Cancer/testis antigen 19 CD213a2 CT19 I13R2_HUMAN IL-13 receptor subunit alpha-2 IL-13R subunit alpha-2 IL-13R-alpha-2 IL-13RA2 IL13 receptor IL13BP IL13R Il13ra2 Interleukin 13 binding protein Interleukin 13 receptor alpha 2 chain Interleukin-13 receptor subunit alpha-2 Interleukin-13-binding protein
Images
HA750910_1.jpg Fig1: Western blot analysis of IL-13R alpha 2 on different lysates with Rabbit anti-IL-13R alpha 2 antibody (HA750910) at 1/2,000 dilution.

Lane 1: A375 cell lysate (no heat)
Lane 2: U-937 cell lysate (no heat) (negative)
Lane 3: Daudi cell lysate (negative)

Notice: no heat means the lysate is not boiled.

Lysates/proteins at 20 µg/Lane.

Predicted band size: 44 kDa
Observed band size: 50-80 kDa

Exposure time: 25 seconds; ECL: K1801;

4-20% SDS-PAGE gel.

Proteins were transferred to a PVDF membrane and blocked with 5% NFDM/TBST for 1 hour at room temperature. The primary antibody (HA750910) at 1/2,000 dilution was used in 5% NFDM/TBST at 4℃ overnight. Goat Anti-Rabbit IgG - HRP Secondary Antibody (HA1001) at 1/50,000 dilution was used for 1 hour at room temperature.
HA750910_2.jpg Fig2: Western blot analysis of IL-13R alpha 2 on U-87 MG cell lysates with Rabbit anti-IL-13R alpha 2 antibody (HA750910) at 1/2,000 dilution.

Lysates/proteins at 10 µg/Lane.

Predicted band size: 44 kDa
Observed band size: 50-70 kDa

Exposure time: 3 minutes; ECL: K1801;

4-20% SDS-PAGE gel.

Proteins were transferred to a PVDF membrane and blocked with 5% NFDM/TBST for 1 hour at room temperature. The primary antibody (HA750910) at 1/2,000 dilution was used in 5% NFDM/TBST at 4℃ overnight. Goat Anti-Rabbit IgG - HRP Secondary Antibody (HA1001) at 1/50,000 dilution was used for 1 hour at room temperature.
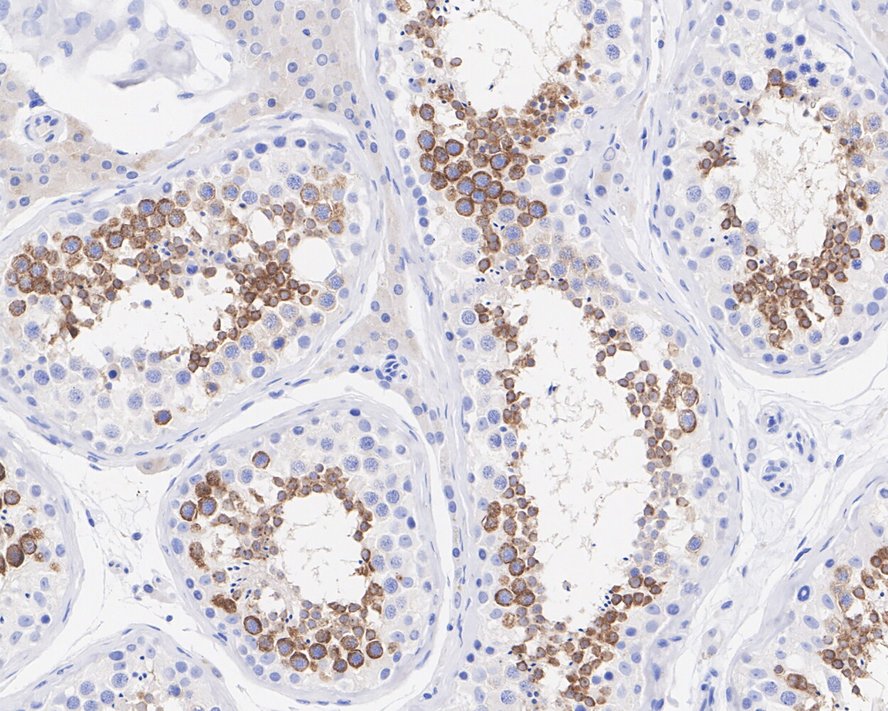
HA750910_3.jpg Fig3: Immunohistochemical analysis of paraffin-embedded human testis tissue with Rabbit anti-IL-13R alpha 2 antibody (HA750910) at 1/1,000 dilution.

The section was pre-treated using heat mediated antigen retrieval with Tris-EDTA buffer (pH 9.0) for 20 minutes. The tissues were blocked in 1% BSA for 20 minutes at room temperature, washed with ddH2O and PBS, and then probed with the primary antibody (HA750910) at 1/1,000 dilution for 1 hour at room temperature. The detection was performed using an HRP conjugated compact polymer system. DAB was used as the chromogen. Tissues were counterstained with hematoxylin and mounted with DPX.
HA750910_4.jpg Fig4: Flow cytometric analysis of A375 (positive) and U-937 (negative) cells labeling IL-13R alpha 2.

Cells were washed twice with cold PBS and resuspend. Then stained with the primary antibody (HA750910, 1μg/mL) (red) compared with Rabbit IgG Isotype Control (green). After incubation of the primary antibody at +4℃ for an hour, the cells were stained with a iFluor™ 488 conjugate-Goat anti-Rabbit IgG Secondary antibody (HA1121) at 1/1,000 dilution for 30 minutes at +4℃. Unlabelled sample was used as a control (cells without incubation with primary antibody; black).
Note: All products are “FOR RESEARCH USE ONLY AND ARE NOT INTENDED FOR DIAGNOSTIC OR THERAPEUTIC USE”.