Giantin Recombinant Rabbit Monoclonal Antibody [PSH03-86]
cat.: HA750911
Product Type: Recombinant Rabbit monoclonal IgG, primary antibodies
Species reactivity: Human, Mouse, Rat, Monkey
Applications: WB, IF-Cell, IHC-P, FC
Clonality: Monoclonal
Clone number: PSH03-86
Form: Liquid
Storage condition: Store at +4℃ after thawing. Aliquot store at -20℃. Avoid repeated freeze / thaw cycles.
Storage buffer: 1*PBS (pH7.4).
Concentration: 1ug/ul
Purification: Protein A affinity purified.
Molecular weight: Predicted band size: 376 kDa
Isotype: IgG
Immunogen: Recombinant protein within human Giantin aa 2,736-3,235 / 3,259.
Positive control: A549 cell lysate, HeLa cell lysate, Jurkat cell lysate, HepG2 cell lysate, Vero cell lysate, NIH/3T3 cell lysate, PC-12 cell lysate, mouse lung tissue lysate, mouse small intestine tissue lysate, rat lung tissue lysate, HeLa, human colon tissue, human kidney tissue, mouse kidney tissue, rat kidney tissue.
Subcellular location: Golgi apparatus membrane.
Recommended Dilutions:
  WB
  IF-Cell
  IHC-P
  FC

1:1,000
1:100
1:1,000
1:1,000
Uniprot #: SwissProt: Q14789 Human
Entrez Gene: 192243 Rat
Alternative names: 372 kDa Golgi complex associated protein 372 kDa Golgi complex-associated protein GCP GCP372 Giantin GOGB1_HUMAN GOLGB1 Golgi autoantigen golgin subfamily a member 1 Golgi autoantigen golgin subfamily b macrogolgin (with transmembrane signal) 1 Golgi autoantigen, golgin subfamily b, macrogolgin 1 Golgi complex associated protein 372kDa Golgi complex-associated protein 372kDa Golgin B1 Golgin B1, golgi integral membrane protein Golgin subfamily B member 1 GOLIM1 Macrogolgin MGC33154
Images
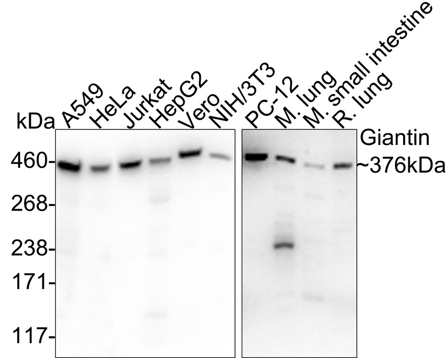
HA750911_1.jpg Fig1: Western blot analysis of Giantin on different lysates with Rabbit anti-Giantin antibody (HA750911) at 1/1,000 dilution.

Lane 1: A549 cell lysate (20 µg/Lane)
Lane 2: HeLa cell lysate (20 µg/Lane)
Lane 3: Jurkat cell lysate (20 µg/Lane)
Lane 4: HepG2 cell lysate (20 µg/Lane)
Lane 5: Vero cell lysate (20 µg/Lane)
Lane 6: NIH/3T3 cell lysate (20 µg/Lane)
Lane 7: PC-12 cell lysate (20 µg/Lane)
Lane 8: Mouse lung tissue lysate (40 µg/Lane)
Lane 9: Mouse small intestine tissue lysate (40 µg/Lane)
Lane 10: Rat lung tissue lysate (40 µg/Lane)

Predicted band size: 376 kDa
Observed band size: 376 kDa

Exposure time: Lane 1-6: 5 seconds; Lane 7-10: 1 minute 2 seconds;

3-8% SDS-PAGE gel.

Proteins were transferred to a PVDF membrane and blocked with 5% NFDM/TBST for 1 hour at room temperature. The primary antibody (HA750911) at 1/1,000 dilution was used in 5% NFDM/TBST at 4℃ overnight. Goat Anti-Rabbit IgG - HRP Secondary Antibody (HA1001) at 1/50,000 dilution was used for 1 hour at room temperature.
HA750911_2.jpg Fig2: Immunocytochemistry analysis of HeLa cells labeling Giantin with Rabbit anti-Giantin antibody (HA750911) at 1/100 dilution.

Cells were fixed in 4% paraformaldehyde for 20 minutes at room temperature, permeabilized with 0.1% Triton X-100 in PBS for 5 minutes at room temperature, then blocked with 1% BSA in 10% negative goat serum for 1 hour at room temperature. Cells were then incubated with Rabbit anti-Giantin antibody (HA750911) at 1/100 dilution in 1% BSA in PBST overnight at 4 ℃. Goat Anti-Rabbit IgG H&L (iFluor™ 488, HA1121) was used as the secondary antibody at 1/1,000 dilution. PBS instead of the primary antibody was used as the secondary antibody only control. Nuclear DNA was labelled in blue with DAPI.

Beta tubulin (M1305-2, red) was stained at 1/100 dilution overnight at +4℃. Goat Anti-Mouse IgG H&L (iFluor™ 594, HA1126) was used as the secondary antibody at 1/1,000 dilution.
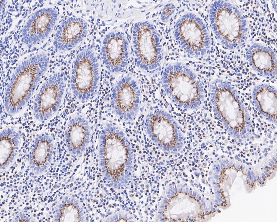
HA750911_3.jpg Fig3: Immunohistochemical analysis of paraffin-embedded human colon tissue with Rabbit anti-Giantin antibody (HA750911) at 1/1,000 dilution.

The section was pre-treated using heat mediated antigen retrieval with Tris-EDTA buffer (pH 9.0) for 20 minutes. The tissues were blocked in 1% BSA for 20 minutes at room temperature, washed with ddH2O and PBS, and then probed with the primary antibody (HA750911) at 1/1,000 dilution for 1 hour at room temperature. The detection was performed using an HRP conjugated compact polymer system. DAB was used as the chromogen. Tissues were counterstained with hematoxylin and mounted with DPX.
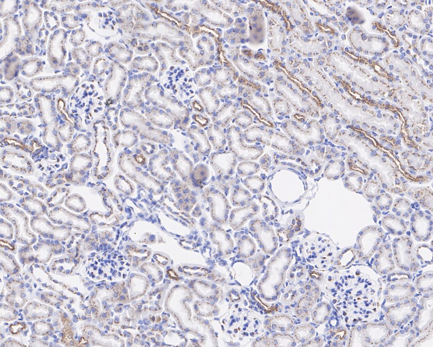
HA750911_4.jpg Fig4: Immunohistochemical analysis of paraffin-embedded human kidney tissue with Rabbit anti-Giantin antibody (HA750911) at 1/1,000 dilution.

The section was pre-treated using heat mediated antigen retrieval with Tris-EDTA buffer (pH 9.0) for 20 minutes. The tissues were blocked in 1% BSA for 20 minutes at room temperature, washed with ddH2O and PBS, and then probed with the primary antibody (HA750911) at 1/1,000 dilution for 1 hour at room temperature. The detection was performed using an HRP conjugated compact polymer system. DAB was used as the chromogen. Tissues were counterstained with hematoxylin and mounted with DPX.
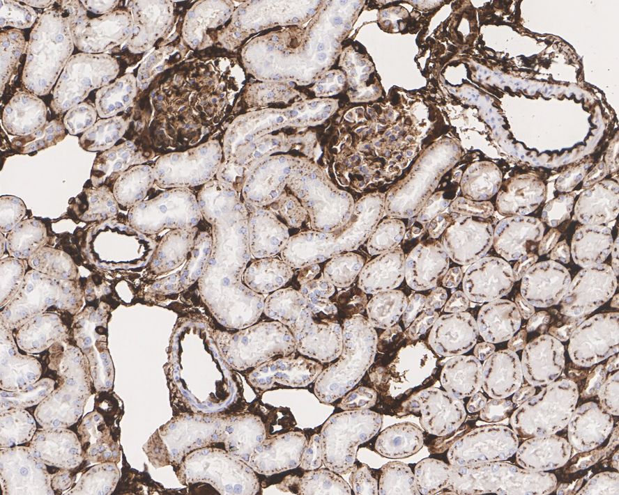
HA750911_5.jpg Fig5: Immunohistochemical analysis of paraffin-embedded mouse kidney tissue with Rabbit anti-Giantin antibody (HA750911) at 1/1,000 dilution.

The section was pre-treated using heat mediated antigen retrieval with Tris-EDTA buffer (pH 9.0) for 20 minutes. The tissues were blocked in 1% BSA for 20 minutes at room temperature, washed with ddH2O and PBS, and then probed with the primary antibody (HA750911) at 1/1,000 dilution for 1 hour at room temperature. The detection was performed using an HRP conjugated compact polymer system. DAB was used as the chromogen. Tissues were counterstained with hematoxylin and mounted with DPX.
HA750911_6.jpg Fig6: Immunohistochemical analysis of paraffin-embedded rat kidney tissue with Rabbit anti-Giantin antibody (HA750911) at 1/1,000 dilution.

The section was pre-treated using heat mediated antigen retrieval with Tris-EDTA buffer (pH 9.0) for 20 minutes. The tissues were blocked in 1% BSA for 20 minutes at room temperature, washed with ddH2O and PBS, and then probed with the primary antibody (HA750911) at 1/1,000 dilution for 1 hour at room temperature. The detection was performed using an HRP conjugated compact polymer system. DAB was used as the chromogen. Tissues were counterstained with hematoxylin and mounted with DPX.
HA750911_7.jpg Fig7: Flow cytometric analysis of HeLa cells labeling Giantin.

Cells were fixed and permeabilized. Then stained with the primary antibody (HA750911, 1μg/mL) (red) compared with Rabbit IgG Isotype Control (green). After incubation of the primary antibody at +4℃ for an hour, the cells were stained with a iFluor™ 488 conjugate-Goat anti-Rabbit IgG Secondary antibody (HA1121) at 1/1,000 dilution for 30 minutes at +4℃. Unlabelled sample was used as a control (cells without incubation with primary antibody; black).
Note: All products are “FOR RESEARCH USE ONLY AND ARE NOT INTENDED FOR DIAGNOSTIC OR THERAPEUTIC USE”.