GABA B Receptor 1 Recombinant Rabbit Monoclonal Antibody [PSH03-87]
cat.: HA750912
Product Type: Recombinant Rabbit monoclonal IgG, primary antibodies
Species reactivity: Human, Mouse, Rat, Cynomolgus monkey, Pig
Applications: WB, IF-Tissue, IHC-P
Clonality: Monoclonal
Clone number: PSH03-87
Form: Liquid
Storage condition: Store at +4℃ after thawing. Aliquot store at -20℃. Avoid repeated freeze / thaw cycles.
Storage buffer: 1*PBS (pH7.4).
Concentration: 1ug/ul
Purification: Protein A affinity purified.
Molecular weight: Predicted band size: 108 kDa
Isotype: IgG
Immunogen: Recombinant protein within human GABA B Receptor 1 aa 142-591 / 961.
Positive control: Human brain tissue lysate, mouse brain tissue lysate, rat brain tissue lysate, mouse cerebellum tissue lysate, rat cerebellum tissue lysate, mouse cerebellum tissue, human cerebellum tissue, rat cerebellum tissue.
Subcellular location: Cell membrane, Postsynaptic cell membrane, Cell projection, dendrite; Secreted.
Recommended Dilutions:
  WB
  IF-Tissue
  IHC-P

1:5,000
1:50-1:200
1:1,000-1:20,000
Uniprot #: SwissProt: Q9UBS5 Human | Q9WV18 Mouse | Q9Z0U4 Rat
Alternative names: dJ271M21.1.1 dJ271M21.1.2 FLJ92613 GABA-B receptor 1 GABA-B-R1 GABA-BR1 GABAB R1 GABAB subunit 1c GABABR1 GABBR1 3 GABBR1 GABR1_HUMAN Gamma aminobutyric acid (GABA) B receptor 1 Gamma-aminobutyric acid type B receptor subunit 1 Gb1 GPRC3A Seven transmembrane helix receptor
Images
HA750912_1.jpg Fig1: Western blot analysis of GABA B Receptor 1 on different lysates with Rabbit anti-GABA B Receptor 1 antibody (HA750912) at 1/2,000 dilution and competitor's antibody at 1/2,000 dilution.

Lane 1: Human brain tissue lysate
Lane 2: Mouse brain tissue lysate (hot lysis)
Lane 3: Rat brain tissue lysate (no heat)
Lane 4: Mouse cerebellum tissue lysate (70℃ heat)
Lane 5: Rat cerebellum tissue lysate
Lane 6: Mouse skeletal muscle tissue lysate (no heat) (negative)
Lane 7: Rat skeletal muscle tissue lysate (no heat) (negative)

Notice: no heat means the lysate is not boiled.

Lysates/proteins at 40 µg/Lane.

Predicted band size: 108 kDa
Observed band size: 95-108 kDa

Exposure time: Lane 1-7 (left): 28 seconds; Lane 1-5 (right): 2 minutes 34 seconds; ECL: K1801;

4-20% SDS-PAGE gel.

Proteins were transferred to a PVDF membrane and blocked with 5% NFDM/TBST for 1 hour at room temperature. The primary antibody (HA750912) at 1/2,000 dilution and competitor's antibody at 1/2,000 dilution were used in 5% NFDM/TBST at 4℃ overnight. Goat Anti-Rabbit IgG - HRP Secondary Antibody (HA1001) at 1/50,000 dilution was used for 1 hour at room temperature.
HA750912_2.jpg Fig2: Immunofluorescence analysis of paraffin-embedded mouse cerebellum tissue labeling GABA B Receptor 1 with Rabbit anti-GABA B Receptor 1 antibody (HA750912) at 1/50 dilution.

The section was pre-treated using heat mediated antigen retrieval with Tris-EDTA buffer (pH 9.0) for 20 minutes. The tissues were blocked in 10% negative goat serum for 1 hour at room temperature, washed with PBS, and then probed with the primary antibody (HA750912, green) at 1/50 dilution overnight at 4 ℃, washed with PBS. Goat Anti-Rabbit IgG H&L (iFluor™ 488, HA1121) was used as the secondary antibody at 1/1,000 dilution. Nuclei were counterstained with DAPI (blue).
HA750912_3.jpg Fig3: Western blot analysis of GABA B Receptor 1 on different lysates with Rabbit anti-GABA B Receptor 1 antibody (HA750912) at 1/5,000 dilution.

Lane 1: Human brain tissue lysate (40 µg/Lane)
Lane 2: Mouse brain tissue lysate (no heat) (20 µg/Lane)
Lane 3: Rat brain tissue lysate (no heat) (20 µg/Lane)
Lane 4: Mouse cerebellum tissue lysate (70℃ heat) (20 µg/Lane)
Lane 5: Rat cerebellum tissue lysate (20 µg/Lane)
Lane 6: Mouse skeletal muscle tissue lysate (no heat) (negative) (20 µg/Lane)
Lane 7: Rat skeletal muscle tissue lysate (no heat) (negative) (20 µg/Lane)

Notice: no heat means the lysate is not boiled.

Predicted band size: 108 kDa
Observed band size: 95-108 kDa

Exposure time: 4 seconds; ECL: K1801;

4-20% SDS-PAGE gel.

Proteins were transferred to a PVDF membrane and blocked with 5% NFDM/TBST for 1 hour at room temperature. The primary antibody (HA750912) at 1/5,000 dilution was used in 5% NFDM/TBST at 4℃ overnight. Goat Anti-Rabbit IgG - HRP Secondary Antibody (HA1001) at 1/50,000 dilution was used for 1 hour at room temperature.
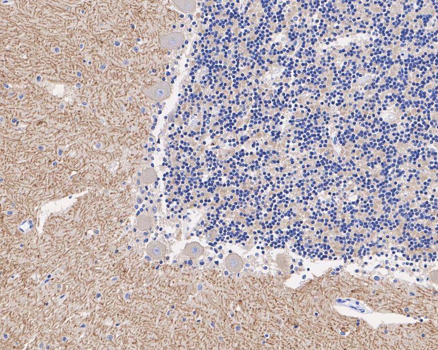
HA750912_4.jpg Fig4: Immunohistochemical analysis of paraffin-embedded human cerebellum tissue with Rabbit anti-GABA B Receptor 1 antibody (HA750912) at 1/20,000 dilution.

The section was pre-treated using heat mediated antigen retrieval with Tris-EDTA buffer (pH 9.0) for 20 minutes. The tissues were blocked in 1% BSA for 20 minutes at room temperature, washed with ddH2O and PBS, and then probed with the primary antibody (HA750912) at 1/20,000 dilution for 1 hour at room temperature. The detection was performed using an HRP conjugated compact polymer system. DAB was used as the chromogen. Tissues were counterstained with hematoxylin and mounted with DPX.
HA750912_5.jpg Fig5: Immunohistochemical analysis of paraffin-embedded mouse cerebellum tissue with Rabbit anti-GABA B Receptor 1 antibody (HA750912) at 1/1,000 dilution.

The section was pre-treated using heat mediated antigen retrieval with Tris-EDTA buffer (pH 9.0) for 20 minutes. The tissues were blocked in 1% BSA for 20 minutes at room temperature, washed with ddH2O and PBS, and then probed with the primary antibody (HA750912) at 1/1,000 dilution for 1 hour at room temperature. The detection was performed using an HRP conjugated compact polymer system. DAB was used as the chromogen. Tissues were counterstained with hematoxylin and mounted with DPX.
HA750912_6.jpg Fig6: Immunohistochemical analysis of paraffin-embedded rat cerebellum tissue with Rabbit anti-GABA B Receptor 1 antibody (HA750912) at 1/1,000 dilution.

The section was pre-treated using heat mediated antigen retrieval with Tris-EDTA buffer (pH 9.0) for 20 minutes. The tissues were blocked in 1% BSA for 20 minutes at room temperature, washed with ddH2O and PBS, and then probed with the primary antibody (HA750912) at 1/1,000 dilution for 1 hour at room temperature. The detection was performed using an HRP conjugated compact polymer system. DAB was used as the chromogen. Tissues were counterstained with hematoxylin and mounted with DPX.
Note: All products are “FOR RESEARCH USE ONLY AND ARE NOT INTENDED FOR DIAGNOSTIC OR THERAPEUTIC USE”.