CRLF3 Recombinant Rabbit Monoclonal Antibody [PSH03-88]
cat.: HA750913
Product Type: Recombinant Rabbit monoclonal IgG, primary antibodies
Species reactivity: Human, Mouse, Rat
Applications: WB, IF-Cell
Clonality: Monoclonal
Clone number: PSH03-88
Form: Liquid
Storage condition: Store at +4℃ after thawing. Aliquot store at -20℃. Avoid repeated freeze / thaw cycles.
Storage buffer: 1*PBS (pH7.4).
Concentration: 1ug/ul
Purification: Protein A affinity purified.
Molecular weight: Predicted band size: 50 kDa
Isotype: IgG
Immunogen: Recombinant protein within human CRLF3 aa 1-442 / 442.
Positive control: HeLa cell lysate, Raji cell lysate, Ramos cell lysate, K-562 cell lysate, Jurkat cell lysate, 293T cell lysate, A549 cell lysate, RAW264.7 cell lysate, PC-12 cell lysate, mouse thymus tissue lysate, mouse spleen tissue lysate, rat thymus tissue lysate, rat testis tissue lysate, RAW264.7.
Subcellular location: Cytoplasm.
Recommended Dilutions:
  WB
  IF-Cell

1:2,000
1:100
Uniprot #: SwissProt: Q8IUI8 Human | Q9Z2L7 Mouse
Entrez Gene: 54395 Rat
Alternative names: CREME 9 CREME9 CRLF 3 CRLM9 Cytokine receptor like factor 3 Cytokine receptor like molecule 9 Cytokine receptor related protein 4 CYTOR4 FRWS MGC20661 P48 p48.2 Type I cytokine receptor like factor Type I cytokine receptor like factor p48
Images
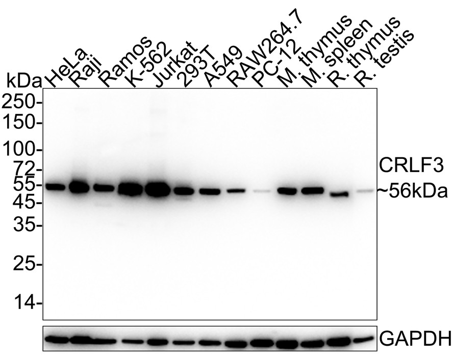
HA750913_1.jpg Fig1: Western blot analysis of CRLF3 on different lysates with Rabbit anti-CRLF3 antibody (HA750913) at 1/2,000 dilution.

Lane 1: HeLa cell lysate (20 µg/Lane)
Lane 2: Raji cell lysate (20 µg/Lane)
Lane 3: Ramos cell lysate (20 µg/Lane)
Lane 4: K-562 cell lysate (20 µg/Lane)
Lane 5: Jurkat cell lysate (20 µg/Lane)
Lane 6: 293T cell lysate (20 µg/Lane)
Lane 7: A549 cell lysate (20 µg/Lane)
Lane 8: RAW264.7 cell lysate (20 µg/Lane)
Lane 9: PC-12 cell lysate (20 µg/Lane)
Lane 10: Mouse thymus tissue lysate (40 µg/Lane)
Lane 11: Mouse spleen tissue lysate (40 µg/Lane)
Lane 12: Rat thymus tissue lysate (40 µg/Lane)
Lane 13: Rat testis tissue lysate (40 µg/Lane)

Predicted band size: 50 kDa
Observed band size: 50 kDa
Exposure time: 30 seconds; ECL: K1801;
4-20% SDS-PAGE gel.

Proteins were transferred to a PVDF membrane and blocked with 5% NFDM/TBST for 1 hour at room temperature. The primary antibody (HA750913) at 1/2,000 dilution was used in 5% NFDM/TBST at 4℃ overnight. Goat Anti-Rabbit IgG - HRP Secondary Antibody (HA1001) at 1/50,000 dilution was used for 1 hour at room temperature.
HA750913_2.jpg Fig2: Immunocytochemistry analysis of RAW264.7 cells labeling CRLF3 with Rabbit anti-CRLF3 antibody (HA750913) at 1/100 dilution.

Cells were fixed in 4% paraformaldehyde for 20 minutes at room temperature, permeabilized with 0.1% Triton X-100 in PBS for 5 minutes at room temperature, then blocked with 1% BSA in 10% negative goat serum for 1 hour at room temperature. Cells were then incubated with Rabbit anti-CRLF3 antibody (HA750913) at 1/100 dilution in 1% BSA in PBST overnight at 4 ℃. Goat Anti-Rabbit IgG H&L (iFluor™ 488, HA1121) was used as the secondary antibody at 1/1,000 dilution. PBS instead of the primary antibody was used as the secondary antibody only control. Nuclear DNA was labelled in blue with DAPI.

Beta tubulin (M1305-2, red) was stained at 1/100 dilution overnight at +4℃. Goat Anti-Mouse IgG H&L (iFluor™ 594, HA1126) was used as the secondary antibody at 1/1,000 dilution.
Note: All products are “FOR RESEARCH USE ONLY AND ARE NOT INTENDED FOR DIAGNOSTIC OR THERAPEUTIC USE”.