Lrp2 / Megalin Recombinant Rabbit Monoclonal Antibody [PSH04-52]
cat.: HA750959
Product Type: Recombinant Rabbit monoclonal IgG, primary antibodies
Species reactivity: Human, Mouse, Rat
Applications: WB, IHC-P, IF-Tissue
Clonality: Monoclonal
Clone number: PSH04-52
Form: Liquid
Storage condition: Store at +4℃ after thawing. Aliquot store at -20℃. Avoid repeated freeze / thaw cycles.
Storage buffer: 1*PBS (pH7.4).
Concentration: 1ug/ul
Purification: Protein A affinity purified.
Molecular weight: Predicted band size: 522 kDa
Isotype: IgG
Immunogen: Synthetic peptide within human Lrp2 aa 2,500-3,200 / 4,655.
Positive control: Human kidney tissue lysate, mouse kidney tissue lysate, rat kidney tissue lysate, human kidney tissue, mouse kidney tissue, rat kidney tissue.
Subcellular location: Apical cell membrane, Endosome lumen, Membrane, coated pit, Cell projection, dendrite, axon.
Recommended Dilutions:
  WB
  IHC-P
  IF-Tissue

1:2,000
1:1,000
1:200
Uniprot #: SwissProt: P98164 Human | A2ARV4 Mouse | P98158 Rat
Alternative names: Calcium sensor protein DBS Glycoprotein 330 gp330 Heymann nephritis antigen homolog Low-density lipoprotein receptor-related protein 2 LRP-2 Lrp2 LRP2_HUMAN Megalin
Images
HA750959_1.jpg Fig1: Western blot analysis of Lrp2 / Megalin on different lysates with Rabbit anti-Lrp2 / Megalin antibody (HA750959) at 1/2,000 dilution.

Lane 1: Human kidney tissue lysate
Lane 2: Mouse kidney tissue lysate
Lane 3: Rat kidney tissue lysate
Lane 4: Mouse skeletal muscle tissue lysate (negative)
Lane 5: Rat skeletal muscle tissue lysate (negative)

Lysates/proteins at 40 µg/Lane.

Predicted band size: 522 kDa
Observed band size: 600 kDa

Exposure time: 20 seconds; ECL: K1801;

4-20% SDS-PAGE gel.

Proteins were transferred to a PVDF membrane and blocked with 5% NFDM/TBST for 1 hour at room temperature. The primary antibody (HA750959) at 1/2,000 dilution was used in TBST at 4℃ overnight. Goat Anti-Rabbit IgG - HRP Secondary Antibody (HA1001) at 1/50,000 dilution was used for 1 hour at room temperature.
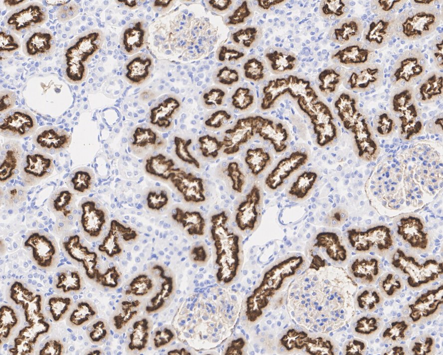
HA750959_2.jpg Fig2: Immunohistochemical analysis of paraffin-embedded human kidney tissue with Rabbit anti-Lrp2 / Megalin antibody (HA750959) at 1/1,000 dilution.

The section was pre-treated using heat mediated antigen retrieval with Tris-EDTA buffer (pH 9.0) for 20 minutes. The tissues were blocked in 1% BSA for 20 minutes at room temperature, washed with ddH2O and PBS, and then probed with the primary antibody (HA750959) at 1/1,000 dilution for 1 hour at room temperature. The detection was performed using an HRP conjugated compact polymer system. DAB was used as the chromogen. Tissues were counterstained with hematoxylin and mounted with DPX.
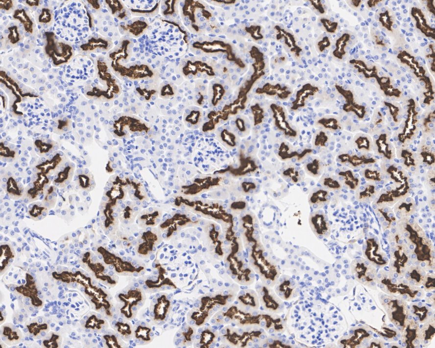
HA750959_3.jpg Fig3: Immunohistochemical analysis of paraffin-embedded mouse kidney tissue with Rabbit anti-Lrp2 / Megalin antibody (HA750959) at 1/1,000 dilution.

The section was pre-treated using heat mediated antigen retrieval with Tris-EDTA buffer (pH 9.0) for 20 minutes. The tissues were blocked in 1% BSA for 20 minutes at room temperature, washed with ddH2O and PBS, and then probed with the primary antibody (HA750959) at 1/1,000 dilution for 1 hour at room temperature. The detection was performed using an HRP conjugated compact polymer system. DAB was used as the chromogen. Tissues were counterstained with hematoxylin and mounted with DPX.
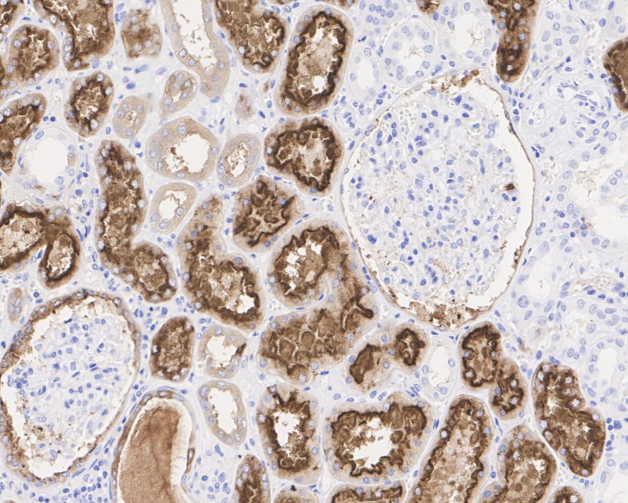
HA750959_4.jpg Fig4: Immunohistochemical analysis of paraffin-embedded rat kidney tissue with Rabbit anti-Lrp2 / Megalin antibody (HA750959) at 1/1,000 dilution.

The section was pre-treated using heat mediated antigen retrieval with Tris-EDTA buffer (pH 9.0) for 20 minutes. The tissues were blocked in 1% BSA for 20 minutes at room temperature, washed with ddH2O and PBS, and then probed with the primary antibody (HA750959) at 1/1,000 dilution for 1 hour at room temperature. The detection was performed using an HRP conjugated compact polymer system. DAB was used as the chromogen. Tissues were counterstained with hematoxylin and mounted with DPX.
HA750959_5.jpg Fig5: Immunohistochemical analysis of paraffin-embedded human skeletal muscle tissue (negative) with Rabbit anti-Lrp2 / Megalin antibody (HA750959) at 1/1,000 dilution.

The section was pre-treated using heat mediated antigen retrieval with Tris-EDTA buffer (pH 9.0) for 20 minutes. The tissues were blocked in 1% BSA for 20 minutes at room temperature, washed with ddH2O and PBS, and then probed with the primary antibody (HA750959) at 1/1,000 dilution for 1 hour at room temperature. The detection was performed using an HRP conjugated compact polymer system. DAB was used as the chromogen. Tissues were counterstained with hematoxylin and mounted with DPX.
HA750959_6.jpg Fig6: Immunohistochemical analysis of paraffin-embedded mouse skeletal muscle tissue (negative) with Rabbit anti-Lrp2 / Megalin antibody (HA750959) at 1/1,000 dilution.

The section was pre-treated using heat mediated antigen retrieval with Tris-EDTA buffer (pH 9.0) for 20 minutes. The tissues were blocked in 1% BSA for 20 minutes at room temperature, washed with ddH2O and PBS, and then probed with the primary antibody (HA750959) at 1/1,000 dilution for 1 hour at room temperature. The detection was performed using an HRP conjugated compact polymer system. DAB was used as the chromogen. Tissues were counterstained with hematoxylin and mounted with DPX.
HA750959_7.jpg Fig7: Immunohistochemical analysis of paraffin-embedded rat skeletal muscle tissue (negative) with Rabbit anti-Lrp2 / Megalin antibody (HA750959) at 1/1,000 dilution.

The section was pre-treated using heat mediated antigen retrieval with Tris-EDTA buffer (pH 9.0) for 20 minutes. The tissues were blocked in 1% BSA for 20 minutes at room temperature, washed with ddH2O and PBS, and then probed with the primary antibody (HA750959) at 1/1,000 dilution for 1 hour at room temperature. The detection was performed using an HRP conjugated compact polymer system. DAB was used as the chromogen. Tissues were counterstained with hematoxylin and mounted with DPX.
Note: All products are “FOR RESEARCH USE ONLY AND ARE NOT INTENDED FOR DIAGNOSTIC OR THERAPEUTIC USE”.